TIMM13 Antibody - BSA Free

Images

 
Immunocytochemistry/ Immunofluorescence: TIMM13 Antibody [NBP2-13431] - Staining of human cell line HEK 293 shows localization to nucleoli fibrillar center & mitochondria. Antibody staining is shown in green.
Immunohistochemistry-Paraffin: TIMM13 Antibody [NBP2-13431] - Staining of human stomach shows strong cytoplasmic positivity in glandular cells.
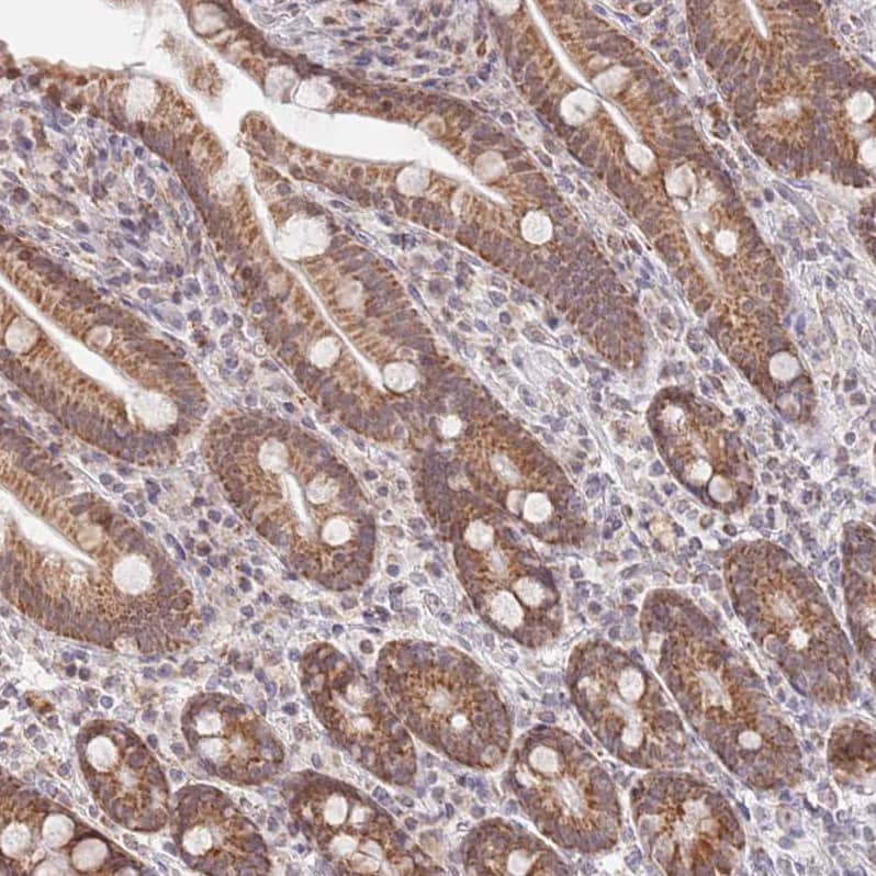
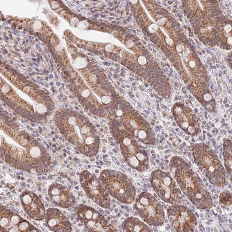
Immunohistochemistry-Paraffin: TIMM13 Antibody [NBP2-13431] - Staining of human duodenum shows moderate granular cytoplasmic positivity in glandular cells.
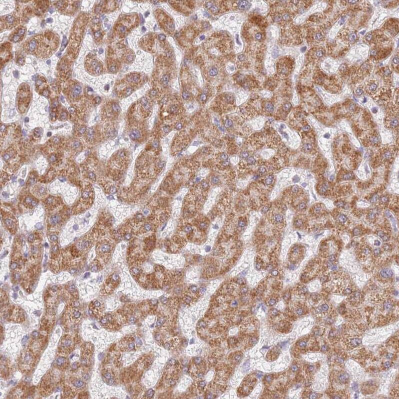
Immunohistochemistry-Paraffin: TIMM13 Antibody [NBP2-13431] - Staining of human liver shows moderate granular cytoplasmic positivity in hepatocytes.
Staining of human liver shows moderate granular cytoplasmic positivity in hepatocytes.
Staining of human heart muscle shows moderate granular cytoplasmic positivity in cardiomyocytes.
Staining of human duodenum shows moderate granular cytoplasmic positivity in glandular cells.
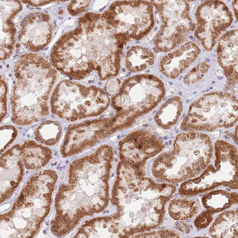
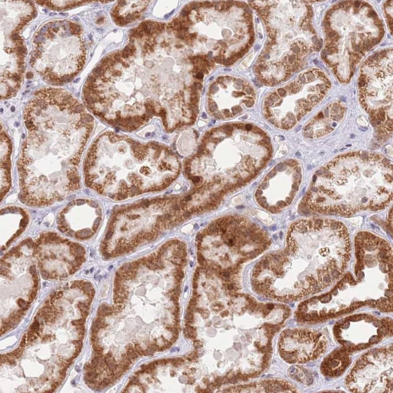
Staining of human kidney shows moderate granular cytoplasmic positivity in cells in tubules.

Product Details

Summary
Reactivity Hu, Mu, RtSpecies Glossary
Applications ICC/IF, IHC
Clonality
Polyclonal
Host
Rabbit
Conjugate
Unconjugated
Format
BSA Free

Order Details

View Available Formulations
Catalog# & Formulation Size Price

TIMM13 Antibody - BSA Free Summary

Description
Novus Biologicals Rabbit TIMM13 Antibody - BSA Free (NBP2-13431) is a polyclonal antibody validated for use in IHC, WB and ICC/IF. Anti-TIMM13 Antibody: Cited in 2 publications. All Novus Biologicals antibodies are covered by our 100% guarantee.
Immunogen
This antibody was developed against a recombinant protein corresponding to the amino acids: MEGGFGSDFGGSGSGKLDPGLIMEQVKVQIAVANAQELLQRMTDKCFRKCIGKPGGSLDNSEQKCIAMCMDRYMD
Predicted Species
Mouse (93%), Rat (93%). Backed by our 100% Guarantee.
Isotype
IgG
Clonality
Polyclonal
Host
Rabbit
Gene
TIMM13
Purity
Affinity purified
Innovator's Reward
Test in a species/application not listed above to receive a full credit towards a future purchase.

Applications/Dilutions

Dilutions
  • Immunocytochemistry/ Immunofluorescence 0.25-2 ug/ml
  • Immunohistochemistry 1:50 - 1:200
  • Immunohistochemistry-Paraffin 1:50 - 1:200
Application Notes
For IHC-Paraffin, HIER pH 6 retrieval is recommended. ICC/IF Fixation Permeabilization: Use PFA/Triton X-100.
Control Peptide
TIMM13 Protein (NBP2-13431PEP)
Publications
Read Publications using
NBP2-13431 in the following applications:

  • 1 publication
  • WB
    1 publication

Packaging, Storage & Formulations

Storage
Store at 4C short term. Aliquot and store at -20C long term. Avoid freeze-thaw cycles.
Buffer
PBS (pH 7.2) and 40% Glycerol
Preservative
0.02% Sodium Azide
Purity
Affinity purified

Alternate Names for TIMM13 Antibody - BSA Free

  • mitochondrial import inner membrane translocase subunit Tim13
  • mitochondrial import inner membrane translocase subunit Tim13B
  • ppv1
  • TIM13
  • TIM13B
  • TIMM13A
  • TIMM13B
  • translocase of inner mitochondrial membrane 13 (yeast) homolog B
  • translocase of inner mitochondrial membrane 13 homolog (yeast)

Background

The TIMM13 gene encodes a translocase with similarity to yeast mitochondrial proteins that are involved in the import of metabolite transporters from the cytoplasm and into the mitochondrial inner membrane. The encoded protein and the TIMM8a protein form a 70 k

Limitations

This product is for research use only and is not approved for use in humans or in clinical diagnosis. Primary Antibodies are guaranteed for 1 year from date of receipt.

Customers Who Viewed This Item Also Viewed...

H00001678-M01
Species: Hu
Applications: ELISA, IHC,  IHC-P, S-ELISA, WB
H00010431-P01
Species: Hu
Applications: ELISA, AP, PA, PAGE, WB
NB100-40853
Species: Hu
Applications: IHC,  IHC-P, IP, WB
NBP1-31470
Species: Bv, Hu, Mu, Rt
Applications: ELISA, Flow, ICC/IF, IHC,  IHC-P, WB
NB100-2559
Species: Hu
Applications: IHC,  IHC-P, PEP-ELISA, WB
H00026520-M01
Species: Hu, Mu, Rt
Applications: ELISA, IHC,  IHC-P, S-ELISA, WB
NBP1-80682
Species: Hu
Applications: ICC/IF, IHC,  IHC-P
NBP1-92298
Species: Hu
Applications: ICC/IF, IHC,  IHC-P, WB
NBP2-93133
Species: Hu, Mu, Rt
Applications: ELISA, ICC/IF, IHC,  IHC-P, WB
NBP3-33021
Species: Hu, Mu, Rt
Applications: ICC/IF, IHC,  IHC-P, WB
NBP1-80681
Species: Hu
Applications: ICC/IF, IHC,  IHC-P, WB
NBP2-99532
Species: Hu, Mu, Rt
Applications:  IHC-P
NB600-302
Species: Bv, Dr, Hu, Mu
Applications: ChIP, ELISA, Flow-IC, Flow, IB, ICC/IF, IHC, IHC-Fr,  IHC-P, IP, PLA, S-ELISA, Simple Western, WB
NB100-695
Species: Fi, Hu, Mu, Rt
Applications: ELISA, IHC, KD, Simple Western, WB
NBP2-94190
Species: Hu, Mu, Rt
Applications: ELISA, ICC/IF, IHC,  IHC-P, WB
NBP1-89020
Species: Hu, Mu, Rt
Applications: IHC,  IHC-P, WB
MAB7940
Species: Hu
Applications: IHC, WB
NBP2-61818
Species: Hu
Applications: ELISA, Flow, ICC/IF, IHC,  IHC-P, WB
NBP1-33380
Species: Hu, Mu, Rt
Applications: ICC/IF, IHC,  IHC-P, KO, WB

Publications for TIMM13 Antibody (NBP2-13431)(2)

We have publications tested in 2 confirmed species: Human, Mouse.

We have publications tested in 2 applications: IHC-P, WB.


Filter By Application
IHC-P
(1)
WB
(1)
All Applications
Filter By Species
Human
(1)
Mouse
(1)
All Species

Reviews for TIMM13 Antibody (NBP2-13431) (0)

There are no reviews for TIMM13 Antibody (NBP2-13431). By submitting a review you will receive an Amazon e-Gift Card or Novus Product Discount.
  • Review with no image -- $10/€7/£6/$10 CAD/¥70 Yuan/¥1110 Yen
  • Review with an image -- $25/€18/£15/$25 CAD/¥150 Yuan/¥2500 Yen

Product General Protocols

Find general support by application which include: protocols, troubleshooting, illustrated assays, videos and webinars.

Video Protocols

ICC/IF Video Protocol

FAQs for TIMM13 Antibody (NBP2-13431) (0)

There are no specific FAQs related to this product. Read our general customer & technical service FAQs.

Secondary Antibodies

 

Isotype Controls

Additional TIMM13 Products

Research Areas for TIMM13 Antibody (NBP2-13431)

Find related products by research area.

Blogs on TIMM13

There are no specific blogs for TIMM13, but you can read our latest blog posts.

Customers Who Bought This Also Bought

Contact Information

Product PDFs

Calculators

Concentration Calculator

The concentration calculator allows you to quickly calculate the volume, mass or concentration of your vial. Simply enter your mass, volume, or concentration values for your reagent and the calculator will determine the rest.

=
÷

Review this Product

Be the first to review our TIMM13 Antibody - BSA Free and receive a gift card or discount.

Bioinformatics

Gene Symbol TIMM13