PHACTR1 Antibody (HL3954)

Images

 
Orthogonal Strategies: PHACTR1 antibody [HL3954] detects PHACTR1 protein by immunohistochemical analysis.Sample: Paraffin-embedded mouse tissues.PHACTR1 stained by PHACTR1 antibody [HL3954] (NBP3-48857) diluted ...read more
PHACTR1 antibody [HL3954] detects PHACTR1 protein by immunohistochemical analysis.Sample: Paraffin-embedded rat brain.PHACTR1 stained by PHACTR1 antibody [HL3954] (NBP3-48857) diluted at 1:200.Antigen Retrieval: ...read more
PHACTR1 antibody [HL3954] detects PHACTR1 protein by immunohistochemical analysis.Sample: Paraffin-embedded mouse brain.PHACTR1 stained by PHACTR1 antibody [HL3954] (NBP3-48857) diluted at 1:200.Antigen Retrieval: ...read more
Orthogonal Strategies: PHACTR1 antibody [HL3954] detects PHACTR1 protein by immunohistochemical analysis.Sample: Paraffin-embedded rat tissues.PHACTR1 stained by PHACTR1 antibody [HL3954] (NBP3-48857) diluted at ...read more
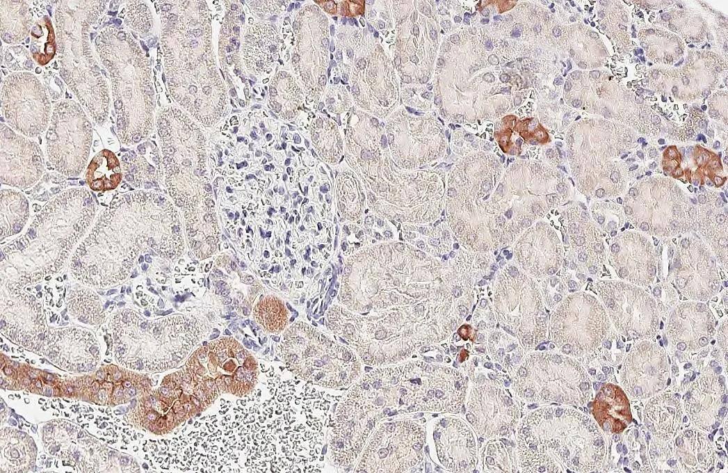
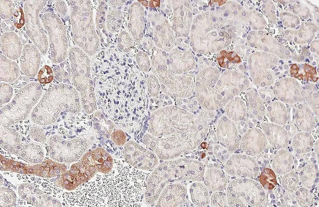
PHACTR1 antibody [HL3954] detects PHACTR1 protein by immunohistochemical analysis.Sample: Paraffin-embedded rat kidney.PHACTR1 stained by PHACTR1 antibody [HL3954] (NBP3-48857) diluted at 1:200.Antigen Retrieval: ...read more
Rat tissue extract (50 ug) was separated by 7.5% SDS-PAGE, and the membrane was blotted with PHACTR1 antibody [HL3954] (NBP3-48857) diluted at 1:1000. The HRP-conjugated anti-rabbit IgG antibody was used to detect the ...read more
Orthogonal Strategies: Various tissue extracts (50 ug) were separated by 7.5% SDS-PAGE, and the membrane was blotted with PHACTR1 antibody [HL3954] (NBP3-48857) diluted at 1:1000. The HRP-conjugated anti-rabbit ...read more

Product Details

Summary
Reactivity Mu, RtSpecies Glossary
Applications WB, IHC
Clone
HL3954
Clonality
Monoclonal
Host
Rabbit
Conjugate
Unconjugated
Validated by:
       

Orthogonal Strategies

 

Order Details

PHACTR1 Antibody (HL3954) Summary

Description
Novus Biologicals Rabbit PHACTR1 Antibody (HL3954) (NBP3-48857) is a recombinant monoclonal antibody validated for use in IHC and WB. All Novus Biologicals antibodies are covered by our 100% guarantee.
Additional Information
Recombinant Monoclonal Antibody
Immunogen
Recombinant fragment of human PHACTR1.
Isotype
IgG
Clonality
Monoclonal
Host
Rabbit
Gene
PHACTR1
Purity
Protein A purified
Innovator's Reward
Test in a species/application not listed above to receive a full credit towards a future purchase.

Applications/Dilutions

Dilutions
  • Immunohistochemistry
  • Immunohistochemistry-Paraffin
  • Western Blot

Packaging, Storage & Formulations

Storage
Store at 4C short term. Aliquot and store at -20C long term. Avoid freeze-thaw cycles.
Buffer
PBS
Preservative
No Preservative
Purity
Protein A purified

Alternate Names for PHACTR1 Antibody (HL3954)

  • dJ257A7.2
  • KIAA1733MGC126577
  • MGC126575
  • phosphatase and actin regulator 1
  • RPEL repeat containing 1
  • RPEL
  • RPEL1

Limitations

This product is for research use only and is not approved for use in humans or in clinical diagnosis. Primary Antibodies are guaranteed for 1 year from date of receipt.

Customers Who Viewed This Item Also Viewed...

NBP1-88498
Species: Hu, Mu
Applications: ICC/IF, IHC,  IHC-P, KD, WB
NBP3-13785
Species: Hu
Applications: ELISA, Flow, ICC/IF,  IHC-P, IP, PA, WB
NBP1-49045
Species: Mu, Rt
Applications: Cell Depl, CyTOF-ready, Flow, ICC/IF, IHC, IHC-Fr,  IHC-P, IP, InhibTFunc
NBP2-26245
Species: Hu, Mu
Applications: Flow, In vitro
NBP2-75563
Species: Hu, Mu, Rt
Applications: Flow, IHC,  IHC-P, WB
NB200-106
Species: Mu, Rt
Applications: ELISA, ICC/IF, IHC, IHC-Fr,  IHC-P, WB
MPC900
Species: Mu
Applications: ELISA
AF2255
Species: Mu
Applications: Block, CyTOF-ready, Flow, IHC, WB
AF-241-NA
Species: Hu
Applications: CyTOF-ready, ELISA(Cap), ELISA(Det), ELISA(Sta), Flow, IHC, Neut, WB
NBP1-33596
Species: Hu, Mu, Rt
Applications: ICC/IF, IHC,  IHC-P, IP, PAGE, WB
NBP2-46005
Species: Hu, Mu, Rt
Applications: ICC/IF, IHC,  IHC-P, IP, PLA, WB
NBP2-61421
Species: Hu, Mu, Rt
Applications: ICC/IF, IHC,  IHC-P
H00010438-M03
Species: Hu
Applications: ELISA, ICC/IF, IHC,  IHC-P, WB
NBP2-83632
Species: Hu
Applications: IHC,  IHC-P, WB
NBP1-51843
Species: Hu, Mu
Applications: ICC/IF, IHC,  IHC-P, Simple Western, WB
NBP1-58359
Species: Hu
Applications: IHC,  IHC-P, WB
NBP3-48857
Species: Mu, Rt
Applications: WB, IHC

Publications for PHACTR1 Antibody (NBP3-48857) (0)

There are no publications for PHACTR1 Antibody (NBP3-48857).
By submitting your publication information earn gift cards and discounts for future purchases.

Reviews for PHACTR1 Antibody (NBP3-48857) (0)

There are no reviews for PHACTR1 Antibody (NBP3-48857). By submitting a review you will receive an Amazon e-Gift Card or Novus Product Discount.
  • Review with no image -- $10/€7/£6/$10 CAD/¥70 Yuan/¥1110 Yen
  • Review with an image -- $25/€18/£15/$25 CAD/¥150 Yuan/¥2500 Yen

Product General Protocols

Find general support by application which include: protocols, troubleshooting, illustrated assays, videos and webinars.

Video Protocols

WB Video Protocol

FAQs for PHACTR1 Antibody (NBP3-48857) (0)

There are no specific FAQs related to this product. Read our general customer & technical service FAQs.

Customers Who Bought This Also Bought

Contact Information

Product PDFs

Calculators

Concentration Calculator

The concentration calculator allows you to quickly calculate the volume, mass or concentration of your vial. Simply enter your mass, volume, or concentration values for your reagent and the calculator will determine the rest.

=
÷

Review this Product

Be the first to review our PHACTR1 Antibody (HL3954) and receive a gift card or discount.

Bioinformatics

Gene Symbol PHACTR1