Versican Antibody (JB42-32)

Images

 
Western Blot: Versican Antibody (JB42-32) [NBP2-75706] - Analysis of Versican on Hela cell lysates. Proteins were transferred to a PVDF membrane and blocked with 5% BSA in PBS for 1 hour at room temperature. The primary ...read more
Immunohistochemistry-Paraffin: Versican Antibody (JB42-32) [NBP2-75706] - Analysis of paraffin-embedded mouse brain tissue using anti-Versican antibody. Counter stained with hematoxylin.
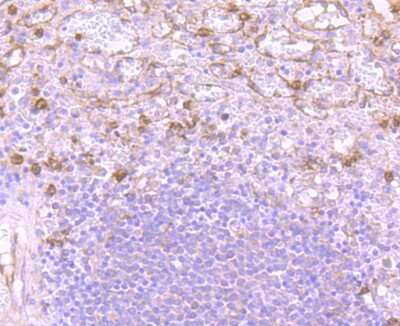
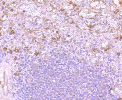
Immunohistochemistry-Paraffin: Versican Antibody (JB42-32) [NBP2-75706] - Analysis of paraffin-embedded human spleen tissue using anti-Versican antibody. Counter stained with hematoxylin.

Product Details

Summary
Product Discontinued
View other related Versican Primary Antibodies

Order Details


    • Catalog Number
      NBP2-75706
    • Availability
      Product Discontinued

    Can't find what you are looking for? Use our Antibody Concierge Service & we will help you locate your antibody!

    Or feel free to contact us for alternative products.

Versican Antibody (JB42-32) Summary

Additional Information
Recombinant Monoclonal Antibody.
Immunogen
Recombinant protein within Human Versican aa 3,160-3,396 / 3,396. (SwissProt: P13611 Human; SwissProt: Q62059 Mouse)
Localization
Extracellular matrix. Secreted.
Isotype
IgG
Clonality
Monoclonal
Host
Rabbit
Gene
VCAN
Purity
Protein A purified
Innovator's Reward
Test in a species/application not listed above to receive a full credit towards a future purchase.

Applications/Dilutions

Dilutions
  • Immunohistochemistry
  • Immunohistochemistry-Paraffin 1:50-1:200
  • Western Blot 1:500
Theoretical MW
373 kDa.
Disclaimer note: The observed molecular weight of the protein may vary from the listed predicted molecular weight due to post translational modifications, post translation cleavages, relative charges, and other experimental factors.

Packaging, Storage & Formulations

Storage
Store at 4C short term. Aliquot and store at -20C long term. Avoid freeze-thaw cycles.
Buffer
TBS (pH7.4), 0.05% BSA, 40% Glycerol
Preservative
0.05% Sodium Azide
Concentration
1 mg/ml
Purity
Protein A purified

Alternate Names for Versican Antibody (JB42-32)

  • Chondroitin sulfate proteoglycan 2WGN
  • Chondroitin sulfate proteoglycan core protein 2
  • CSPG2
  • CSPG2DKFZp686K06110
  • ERVR
  • GHAP
  • Glial hyaluronate-binding protein
  • Large fibroblast proteoglycan
  • PG-M
  • PG-MWGN1
  • VCAN
  • versican core protein
  • versican proteoglycan
  • Versican

Background

Versican is a member of the aggrecan/versican proteoglycan family. The protein encoded is a large chondroitin sulfate proteoglycan and is a major component of the extracellular matrix. This protein is involved in cell adhesion, proliferation, proliferation, migration and angiogenesis and plays a central role in tissue morphogenesis and maintenance. Mutations in this gene are the cause of Wagner syndrome type 1. Multiple transcript variants encoding different isoforms have been found for this gene. [provided by RefSeq]

Limitations

This product is for research use only and is not approved for use in humans or in clinical diagnosis. Primary Antibodies are guaranteed for 1 year from date of receipt.

Customers Who Viewed This Item Also Viewed...

AF1060
Species: Mu
Applications: ELISA(Cap), ELISA(Det), IHC, Simple Western, WB
NB100-74350
Species: Bv, Ca, Hu, Mu, Po, Rt
Applications: Flow, ICC/IF, IHC, IHC-Fr,  IHC-P, WB
AF2667
Species: Hu
Applications: IHC, WB
BBA10
Species: Hu
Applications: CyTOF-ready, Flow, IHC, IP, KO, Simple Western, WB
AF5800
Species: Mu, Rt
Applications: IHC, WB
AF4009
Species: Hu, Rt
Applications: ICC, IHC, IP, WB
NBP1-91258
Species: Bv, Ca, Eq, Fe, Hu, Mu, Po, Rt
Applications: ICC/IF, IHC, IHC-Fr,  IHC-P, Simple Western, WB
H00028299-P01
Species: Hu
Applications: ELISA, AP, PA, WB
NBP2-43648
Species: Hu, Mu, Rt, Ze
Applications: ICC/IF, IHC,  IHC-P, WB
NBP3-41339
Species: Hu, Mu, Rt
Applications: IHC,  IHC-P, WB
NB110-68136
Species: Fe, Hu, Mu, Rt
Applications: CyTOF-ready, ELISA, Flow-IC, Flow, ICC/IF, IHC, IHC-Fr,  IHC-P, WB
NBP1-32899
Species: Hu, Mu, Rt
Applications: ICC/IF, IHC,  IHC-P, WB
AF5867
Species: Hu, Mu
Applications: IHC, IP, WB
236-EG
Species: Hu
Applications: BA
NB100-2076
Species: Bv, Fe, Hu, Rb
Applications: ICC/IF, IHC, IHC-Fr,  IHC-P, WB
MAB2688
Species: Hu
Applications: WB
AF2780
Species: Hu
Applications: ELISA(Cap), ELISA(Det), ELISA(Sta), IHC, WB
NBP1-89020
Species: Hu, Mu, Rt
Applications: IHC,  IHC-P, WB

Publications for Versican Antibody (NBP2-75706) (0)

There are no publications for Versican Antibody (NBP2-75706).
By submitting your publication information earn gift cards and discounts for future purchases.

Reviews for Versican Antibody (NBP2-75706) (0)

There are no reviews for Versican Antibody (NBP2-75706). By submitting a review you will receive an Amazon e-Gift Card or Novus Product Discount.
  • Review with no image -- $10/€7/£6/$10 CAD/¥70 Yuan/¥1110 Yen
  • Review with an image -- $25/€18/£15/$25 CAD/¥150 Yuan/¥2500 Yen

Product General Protocols

Find general support by application which include: protocols, troubleshooting, illustrated assays, videos and webinars.

Video Protocols

WB Video Protocol

FAQs for Versican Antibody (NBP2-75706) (0)

There are no specific FAQs related to this product. Read our general customer & technical service FAQs.

Secondary Antibodies

 

Isotype Controls

Additional Versican Products

Research Areas for Versican Antibody (NBP2-75706)

Find related products by research area.

Blogs on Versican

There are no specific blogs for Versican, but you can read our latest blog posts.

Contact Information

Product PDFs

Calculators

Concentration Calculator

The concentration calculator allows you to quickly calculate the volume, mass or concentration of your vial. Simply enter your mass, volume, or concentration values for your reagent and the calculator will determine the rest.

=
÷

Review this Product

Be the first to review our Versican Antibody (JB42-32) and receive a gift card or discount.

Bioinformatics

Gene Symbol VCAN