VEGFR2/KDR/Flk-1 Antibody (89115) [Unconjugated]

Images

 
VEGFR2/KDR/Flk-1 was detected in immersion fixed paraffin-embedded sections of human placenta using 25 µg/mL Human VEGFR2/KDR/Flk-1 Monoclonal Antibody (Catalog # MAB3571) overnight at 4 °C. Tissue was stained with ...read more
VEGFR2/KDR/Flk-1 was detected in immersion fixed paraffin-embedded sections of human kidney array using Human VEGFR2/KDR/Flk-1 Monoclonal Antibody (Catalog # MAB3571) at 15 µg/mL overnight at 4 °C. Tissue was stained ...read more
VEGFR2/KDR/Flk-1 was detected in immersion fixed human umbilical vein endothelial cells (HUVECs; left panel) but is not detected in Hela human cervical epithelial carcinoma cell line (right panel) using Mouse Anti-Human ...read more

Product Details

Summary
Reactivity HuSpecies Glossary
Applications WB, IHC, ICC/IF
Clone
89115
Clonality
Monoclonal
Host
Mouse
Conjugate
Unconjugated

Order Details

VEGFR2/KDR/Flk-1 Antibody (89115) [Unconjugated] Summary

Immunogen
S. frugiperda insect ovarian cell line Sf 21-derived recombinant human VEGFR2
Ala20-Glu764
Accession # P35968
Specificity
Detects human VEGFR2 in direct ELISAs and Western blots. In Western blots, this antibody does not cross-react with recombinant human (rh) VEGFR1, rhVEGFR3, or recombinant mouse VEGFR2.
Source
N/A
Isotype
IgG1
Clonality
Monoclonal
Host
Mouse
Gene
KDR
Purity Statement
Protein A or G purified from ascites
Innovator's Reward
Test in a species/application not listed above to receive a full credit towards a future purchase.

Applications/Dilutions

Dilutions
  • Immunocytochemistry 5-25 ug/mL
  • Immunohistochemistry 8-25 ug/mL
  • Western Blot 1 ug/mL
Reviewed Applications
Read 1 Review rated 5
using
MAB3571 in the following applications:

Publications
Read Publications using
MAB3571 in the following applications:

Packaging, Storage & Formulations

Storage
Use a manual defrost freezer and avoid repeated freeze-thaw cycles.
  • 12 months from date of receipt, -20 to -70 °C as supplied.
  • 1 month, 2 to 8 °C under sterile conditions after reconstitution.
  • 6 months, -20 to -70 °C under sterile conditions after reconstitution.
Buffer
Lyophilized from a 0.2 μm filtered solution in PBS with Trehalose. *Small pack size (SP) is supplied either lyophilized or as a 0.2 µm filtered solution in PBS.
Preservative
No Preservative
Reconstitution Instructions
Reconstitute at 0.5 mg/mL in sterile PBS.

Notes

This product is produced by and ships from R&D Systems, Inc., a Bio-Techne brand.

Alternate Names for VEGFR2/KDR/Flk-1 Antibody (89115) [Unconjugated]

  • CD309 antigen
  • CD309
  • EC 2.7.10
  • EC 2.7.10.1
  • Fetal liver kinase 1
  • fetal liver kinase-1
  • Flk1
  • Flk-1
  • FLK1tyrosine kinase growth factor receptor
  • KDR
  • kinase insert domain receptor (a type III receptor tyrosine kinase)
  • Kinase insert domain receptor
  • KRD1
  • Ly73
  • Protein-tyrosine kinase receptor flk-1
  • soluble VEGFR2
  • vascular endothelial growth factor receptor 2
  • VEGF R2
  • VEGFR
  • VEGFR2
  • VEGFR-2

Background

VEGFR2 (KDR/Flk-1), VEGFR1 (Flt-1), and VEGFR3 (Flt-4) belong to the class III subfamily of receptor tyrosine kinases (RTKs). All three receptors contain seven immunoglobulin-like repeats in their extracellular domains and kinase insert domains in their intracellular regions. The expression of VEGFR1, 2, and 3 is almost exclusively restricted to the endothelial cells. These receptors are likely to play essential roles in vasculogenesis and angiogenesis.

VEGFR2 cDNA encodes a 1356 amino acid (aa) residue precursor protein with a 19 aa residue signal peptide. Mature VEGFR2 is composed of a 745 aa residue extracellular domain, a 25 aa residue transmembrane domain and a 567 aa residue cytoplasmic domain. In contrast to VEGF R1 which binds both PlGF and VEGF with high affinity, VEGFR2 binds VEGF but not PlGF with high affinity. The recombinant soluble VEGFR2/Fc chimera binds VEGF with high affinity and is a potent VEGF antagonist.

  1. Ferra, N. and R. Davis-Smyth (1997) Endocrine Reviews 18:4.

Limitations

This product is for research use only and is not approved for use in humans or in clinical diagnosis. Primary Antibodies are guaranteed for 1 year from date of receipt.

Customers Who Viewed This Item Also Viewed...

DVE00
Species: Hu
Applications: ELISA
AF321
Species: Hu
Applications: Block, CyTOF-ready, Flow, IHC, WB
AF231
Species: Hu
Applications: CyTOF-ready, Dual ISH-IHC, ELISA(Cap), ELISA(Det), ELISA(Sta), Flow, ICC, IHC, IP, Simple Western, WB
AF4117
Species: Rt
Applications: IHC, WB
AF743
Species: Mu
Applications: CyTOF-ready, Flow, WB
AF3628
Species: Hu, Mu, Rt
Applications: CyTOF-ready, Flow, ICC, IHC, Simple Western, WB
AF887
Species: Hu, Mu, Rt
Applications: CyTOF-ready, IHC, ICFlow, Simple Western, WB
NB110-41083
Species: Hu
Applications: ChIP, ELISA, ICC/IF, WB
AF1356
Species: Hu, Mu
Applications: CyTOF-ready, Dual ISH-IHC, Flow, IHC, Simple Western, WB
DPG00
Species: Hu
Applications: ELISA
AF566
Species: Mu, Rt
Applications: Block, CyTOF-ready, Flow, IHC, WB
NBP2-22203
Species: Hu, Pm, Mu, Rt
Applications: ELISA, Flow, ICC/IF, IHC,  IHC-P, WB
DVEC00
Species: Hu
Applications: ELISA
233-FB
Species: Hu
Applications: BA
AF1042
Species: Mu
Applications: Dual ISH-IHC, IHC, WB
MAB3571
Species: Hu
Applications: WB, IHC, ICC/IF

Publications for VEGFR2/KDR/Flk-1 Antibody (MAB3571)(23)

We have publications tested in 4 confirmed species: Human, Mouse, Porcine, Rhesus Macaque.

We have publications tested in 8 applications: Drug Delivery, Flow Cytometry, ICC, IHC, IHC-Fr, IHC-P, Neutralization, Western Blot.


Filter By Application
Drug Delivery
(1)
Flow Cytometry
(1)
ICC
(9)
IHC
(2)
IHC-Fr
(1)
IHC-P
(2)
Neutralization
(3)
Western Blot
(4)
All Applications
Filter By Species
Human
(16)
Mouse
(1)
Porcine
(1)
Rhesus Macaque
(1)
All Species
Showing Publications 1 - 10 of 23. Show All 23 Publications.
Publications using MAB3571 Applications Species
Bansal, A;Singh, A;Nag, TC;Sharma, D;Garg, B;Bhatla, N;Choudhury, SD;Ramakrishnan, L; Augmenting the Angiogenic Profile and Functionality of Cord Blood Endothelial Colony-Forming Cells by Indirect Priming with Bone-Marrow-Derived Mesenchymal Stromal Cells Biomedicines 2023-05-05 [PMID: 37239042] (ICC, Human) ICC Human
A Sen, A Singh, A Roy, S Mohanty, N Naik, M Kalaivani, L Ramakrishn Role of endothelial colony forming cells (ECFCs) Tetrahydrobiopterin (BH4) in determining ECFCs functionality in coronary artery disease (CAD) patients Scientific Reports, 2022-02-23;12(1):3076. 2022-02-23 [PMID: 35197509] (ICC, Human) ICC Human
JR Dayton, Y Yuan, LP Pacumio, BG Dorflinger, SC Yoo, MJ Olson, SI Hernández-, MM McMahon, L Cruz-Oreng Expression of IL-20 Receptor Subunit beta Is Linked to EAE Neuropathology and CNS Neuroinflammation Frontiers in Cellular Neuroscience, 2021-09-07;15(0):683687. 2021-09-07 [PMID: 34557075] (IHC, Rhesus Macaque) IHC Rhesus Macaque
C Yang, M Eleftheria, S Kelaini, T Morrison, MV González, R Caines, N Edwards, A Yacoub, K Edgar, A Moez, A Ivetic, A Zampetaki, L Zeng, FL Wilkinson, N Lois, AW Stitt, DJ Grieve, A Margariti Targeting QKI-7 in vivo restores endothelial cell function in diabetes Nat Commun, 2020-07-30;11(1):3812. 2020-07-30 [PMID: 32732889] (Western Blot, Human, Mouse) Western Blot Human, Mouse
María Fernanda Estrella-Mendoza, Francisco Jiménez-Gómez, Adolfo López-Ornelas, Rosa Martha Pérez-Gutiérrez, Javier Flores-Estrada Cucurbita argyrosperma Seed Extracts Attenuate Angiogenesis in a Corneal Chemical Burn Model Nutrients 2019-05-27 [PMID: 31137826]
SM Seyed Jafa, C Wiedmer, S Cazzaniga, Ž Frangež, M Shafighi, H Beltramine, B Weber, HU Simon, RE Hunger Correlation of Vascular Endothelial Growth Factor subtypes and their receptors with melanoma progression: A next-generation Tissue Microarray (ngTMA) automated analysis PLoS ONE, 2018-11-08;13(11):e0207019. 2018-11-08 [PMID: 30408085] (IHC-P, Human) IHC-P Human
Marta Vilà-González, Sophia Kelaini, Corey Magee, Rachel Caines, David Campbell, Magdalini Eleftheriadou et al. Enhanced Function of Induced Pluripotent Stem Cell-Derived Endothelial Cells Through ESM1 Signaling Stem Cells 2019-02-01 [PMID: 30372556]
H Li, Y Teng, X Xu, J Liu Enhanced rapamycin delivery to hemangiomas by lipid polymer nanoparticles coupled with anti-VEGFR antibody Int. J. Mol. Med., 2018-02-28;0(0):. 2018-02-28 [PMID: 29512710] (Drug Delivery, Neutralization, Western Blot, Human) Drug Delivery, Neutralization, Western Blot Human
X Li, X Ren, J Liang, W Ma, Z Wang, Z Yang Delivery of sodium morrhuate to hemangioma endothelial cells using immunoliposomes conjugated with anti-VEGFR2/KDR antibody Int J Nanomedicine, 2017-09-19;12(0):6963-6972. 2017-09-19 [PMID: 29033564] (ICC, Human) ICC Human
Jin-Ning Lou Endothelial progenitor cells from human fetal aorta cure diabetic foot in a rat model Metab. Clin. Exp., 2016-09-28;65(12):1755-1767. 2016-09-28 [PMID: 27832863] (Flow Cytometry, ICC, Human) Flow Cytometry, ICC Human
Show All 23 Publications.

Review for VEGFR2/KDR/Flk-1 Antibody (MAB3571) (1) 51

Average Rating: 5
(Based on 1 review)
We have 1 review tested in 1 species: Human.

Reviews using MAB3571:
Filter by Applications
 IHC-P
(1)
All Applications
Filter by Species
Human
(1)
All Species
Images Ratings Applications Species Date Details
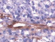
Immunohistochemistry-Paraffin VEGFR2/KDR/Flk-1 MAB3571
Enlarge
5
reviewed by:
Verified Customer
 IHC-P Human 10/01/2021
View

Summary

ApplicationImmunohistochemistry-Paraffin
Sample TestedL540 Hodgkin’s disease tumor
SpeciesHuman
Lot89115

Product General Protocols

Find general support by application which include: protocols, troubleshooting, illustrated assays, videos and webinars.

Video Protocols

WB Video Protocol

FAQs for VEGFR2/KDR/Flk-1 Antibody (MAB3571) (0)

There are no specific FAQs related to this product. Read our general customer & technical service FAQs.

Contact Information

Product PDFs

Calculators

Concentration Calculator

The concentration calculator allows you to quickly calculate the volume, mass or concentration of your vial. Simply enter your mass, volume, or concentration values for your reagent and the calculator will determine the rest.

=
÷

Recent Reviews

5
5
1
4
0
3
0
2
0
1
0

Verified Customer
10/01/2021
Application:  IHC-P
Species: Human

Bioinformatics

Gene Symbol KDR
Uniprot