VAMP-2 Antibody

Images

 
Western Blot: VAMP-2 Antibody [NBP2-99076] - Anti-VAMP-2 rabbit polyclonal antibody at 1:500 dilution. Lane A: Rat brain Whole Cell Lysate. Lane B: Mouse brain Whole Cell Lysate. Lysates/proteins at 30 ug per lane. ...read more
Immunocytochemistry/ Immunofluorescence: VAMP-2 Antibody [NBP2-99076] - Immunofluorescence staining of VAMP-2 in U87MG cells. Cells were fixed with 4% PFA, permeabilzed with 0.3% Triton X-100 in PBS, blocked with 10% ...read more
Immunohistochemistry-Paraffin: VAMP-2 Antibody [NBP2-99076] - Immunochemical staining of human VAMP-2 in human brain with rabbit polyclonal antibody (1:1000, formalin-fixed paraffin embedded sections).
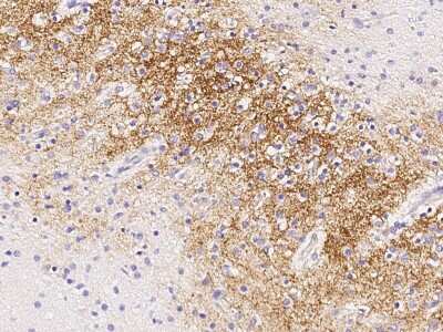
Immunohistochemistry-Paraffin: VAMP-2 Antibody [NBP2-99076] - Immunochemical staining of human VAMP-2 in human adrenal gland with rabbit polyclonal antibody (1:1000, formalin-fixed paraffin embedded sections).

Product Details

Summary
Product Discontinued
View other related VAMP-2 Primary Antibodies

Order Details


    • Catalog Number
      NBP2-99076
    • Availability
      Product Discontinued

    Can't find what you are looking for? Use our Antibody Concierge Service & we will help you locate your antibody!

    Or feel free to contact us for alternative products.

VAMP-2 Antibody Summary

Description
This antibody can be stored at 2C to 8C for one month without detectable loss of activity. Antibody products are stable for twelve months from date of receipt when stored at -20C to -80C. Avoid repeated freeze-thaw cycles.
Immunogen
Produced in rabbits immunized with a synthetic peptide corresponding to the N-terminus of the Human VAMP-2.
Isotype
IgG
Clonality
Polyclonal
Host
Rabbit
Gene
VAMP2
Purity
Antigen Affinity-purified
Innovator's Reward
Test in a species/application not listed above to receive a full credit towards a future purchase.

Applications/Dilutions

Dilutions
  • Immunocytochemistry/ Immunofluorescence
  • Immunohistochemistry
  • Immunohistochemistry-Paraffin
  • Western Blot

Packaging, Storage & Formulations

Storage
Store at 4C short term. Aliquot and store at -20C long term. Avoid freeze-thaw cycles.
Buffer
0.2 um filtered solution in PBS
Preservative
No Preservative
Purity
Antigen Affinity-purified

Alternate Names for VAMP-2 Antibody

  • FLJ11460
  • SYB2
  • SYB2vesicle-associated membrane protein 2
  • synaptobrevin 2
  • synaptobrevin-2
  • VAMP2
  • VAMP-2
  • VAMP-2vesicle associated membrane protein 2
  • vesicle-associated membrane protein 2 (synaptobrevin 2)

Background

Vesicle-associated membrane protein (VAMP), also known as synaptobrevin, is an 18 kDa integral membrane protein localized to the cytoplasmic surface of synaptic vesicle (2). VAMP consists of a proline-rich amino-terminal region, a highly conserved hydrophilic domain, followed by a transmembrane anchor and a carboxylterminal tail (3). Two VAMP homologs, VAMP1 and VAMP2, are differentially expressed in the nervous system (3). VAMP1 expression is localized to neurons involved in modulating overlapping patterns, whereas VAMP2 is found in neurons ssociated with autonomic, sensory and integrative functions. In non-neuronal tissues, VAMP1 is restricted to pancreas and kidney tubular cells, whereas VAMP2 is predominantly expressed in Langerhans islets and glomerular cells (4). Evidences for VAMP

Limitations

This product is for research use only and is not approved for use in humans or in clinical diagnosis. Primary Antibodies are guaranteed for 1 year from date of receipt.

Customers Who Viewed This Item Also Viewed...

NBP1-33714
Species: Hu, Mu, Rt, Ze
Applications: ICC/IF, IHC-WhMt, IHC, IHC-Fr,  IHC-P, Simple Western, WB
NB300-510
Species: Ca, Hu, Mu, Rt
Applications: ICC/IF, WB
NBP1-49533
Species: Hu, Mu, Pl, Rt
Applications: Flow-IC, Flow, ICC/IF, IHC,  IHC-P, KD, WB
MAB1417
Species: Bv, Hu, Mu
Applications: ICC, IHC
AF6306
Species: Hu
Applications: ICC, WB
MAB4364
Species: Rt
Applications: ICC, IHC, IP, KO, WB
NB300-653
Species: Ch, Fe, Hu, Pm, Mu, Rt
Applications: ELISA, ICC/IF, IHC, IHC-Fr,  IHC-P, IP, WB
NBP1-87374
Species: Hu
Applications: ICC/IF, IHC,  IHC-P, KD, WB
NBP1-87035
Species: Hu, Rt
Applications: ICC/IF, IHC,  IHC-P, WB
NBP3-15706
Species: Hu, Mu, Rt
Applications: ELISA, ICC/IF, IHC,  IHC-P, Simple Western, WB
AF4828
Species: Hu, Mu
Applications: IHC, WB
NBP2-33414
Species: Hu
Applications: ICC/IF, IHC,  IHC-P, WB
MAB6117
Species: Hu
Applications: IHC, WB
AF5354
Species: Hu
Applications: IHC, WB
AF5675
Species: Hu, Mu, Rt
Applications: IHC, IP, KO, WB
AF5659
Species: Hu
Applications: WB
NB110-74682
Species: Hu, Mu, Rt
Applications: ICC/IF, IHC, IHC-Fr,  IHC-P, WB
NBP1-86984
Species: Hu
Applications: ICC/IF, IHC,  IHC-P, WB
AF6386
Species: Hu
Applications: IP, WB
NBP2-99076
Species: Hu
Applications: WB, ICC/IF, IHC

Publications for VAMP-2 Antibody (NBP2-99076) (0)

There are no publications for VAMP-2 Antibody (NBP2-99076).
By submitting your publication information earn gift cards and discounts for future purchases.

Reviews for VAMP-2 Antibody (NBP2-99076) (0)

There are no reviews for VAMP-2 Antibody (NBP2-99076). By submitting a review you will receive an Amazon e-Gift Card or Novus Product Discount.
  • Review with no image -- $10/€7/£6/$10 CAD/¥70 Yuan/¥1110 Yen
  • Review with an image -- $25/€18/£15/$25 CAD/¥150 Yuan/¥2500 Yen

Product General Protocols

Find general support by application which include: protocols, troubleshooting, illustrated assays, videos and webinars.

Video Protocols

WB Video Protocol
ICC/IF Video Protocol

FAQs for VAMP-2 Antibody (NBP2-99076) (0)

There are no specific FAQs related to this product. Read our general customer & technical service FAQs.

Secondary Antibodies

 

Isotype Controls

Additional VAMP-2 Products

Research Areas for VAMP-2 Antibody (NBP2-99076)

Find related products by research area.

Blogs on VAMP-2

There are no specific blogs for VAMP-2, but you can read our latest blog posts.

Contact Information

Product PDFs

Calculators

Concentration Calculator

The concentration calculator allows you to quickly calculate the volume, mass or concentration of your vial. Simply enter your mass, volume, or concentration values for your reagent and the calculator will determine the rest.

=
÷

Review this Product

Be the first to review our VAMP-2 Antibody and receive a gift card or discount.

Bioinformatics

Gene Symbol VAMP2