Ubiquitin B Antibody (rUBB/9476) - Azide and BSA Free

Images

 
Western Blot Analysis of HeLa lysate using Ubiquitin B Antibody (rUBB/9476) - Azide and BSA Free.
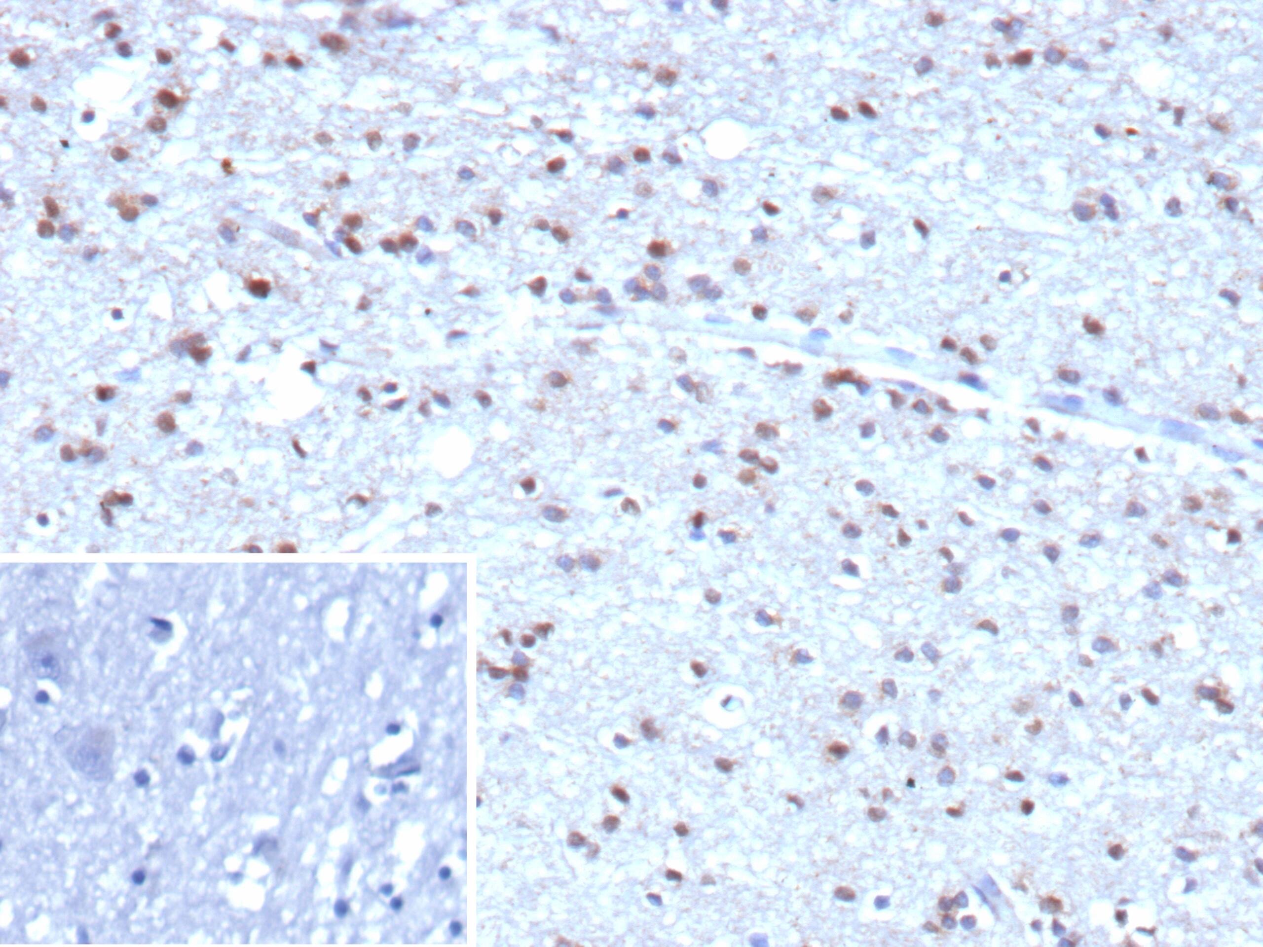
Formalin-fixed, paraffin-embedded human brain stained with Ubiquitin B Antibody (rUBB/9476) - Azide and BSA Free.Inset: PBS instead of primary antibody; secondary only negative control.

Product Details

Summary
Reactivity HuSpecies Glossary
Applications WB, IHC
Clone
rUBB/9476
Clonality
Monoclonal
Host
Mouse
Conjugate
Unconjugated
Format
Azide and BSA Free
Concentration
1 mg/ml

Order Details

View Available Formulations
Catalog# & Formulation Size Price

Ubiquitin B Antibody (rUBB/9476) - Azide and BSA Free Summary

Description
1.0 mg/ml of Ab produced in CHO cell mammalian-based expression system.. Prepared in 10 mM PBS WITHOUT BSA & azide. Also availabl at 200 ug/ml with BSA & azide.

Antibody with azide - store at 2 to 8C. Antibody without azide - store at -20 to -80C. Non-hazardous. No MSDS required.
Additional Information
Recombinant Monoclonal Antibody
Immunogen
Recombinant fragment of human Ubiquitin protein (around aa 1-119) (Uniprot: P0G47; P0G48; P62979; P62987; P62988). Exact sequence is proprietary.
Localization
Cell membrane, Secreted
Isotype
IgG2b Kappa
Clonality
Monoclonal
Host
Mouse
Gene
UBB
Purity
Protein A or G purified
Innovator's Reward
Test in a species/application not listed above to receive a full credit towards a future purchase.

Applications/Dilutions

Dilutions
  • Immunohistochemistry : 1-2ug/ml
  • Western Blot : 2-4ug/ml
Application Notes
Immunohistochemistry: 30 min at RT. Staining of formalin-fixed tissues requires heating tissue sections in 10mM Tris with 1mM EDTA, pH 9.0, for 45 min at 95C followed by cooling at RT for 20 minutes.
Theoretical MW
9 kDa.
Disclaimer note: The observed molecular weight of the protein may vary from the listed predicted molecular weight due to post translational modifications, post translation cleavages, relative charges, and other experimental factors.

Packaging, Storage & Formulations

Storage
Store at -20 to -80C. Avoid freeze-thaw cycles.
Buffer
10 mM PBS
Preservative
No Preservative
Concentration
1 mg/ml
Purity
Protein A or G purified

Alternate Names for Ubiquitin B Antibody (rUBB/9476) - Azide and BSA Free

  • FLJ25987
  • MGC8385
  • polyubiquitin B
  • polyubiquitin-B
  • RPS27A
  • UBA52
  • UBC
  • ubiquitin B
  • Ubiquitin+1

Background

ubiquitin B encodes ubiquitin, one of the most conserved proteins known. Ubiquitin is required for ATP-dependent, nonlysosomal intracellular protein degradation of abnormal proteins and normal proteins with a rapid turnover. Ubiquitin is covalently bound to proteins to be degraded, and presumably labels these proteins for degradation. Ubiquitin also binds to histone H2A in actively transcribed regions but does not cause histone H2A degradation, suggesting that ubiquitin is also involved in regulation of gene expression. This gene consists of three direct repeats of the ubiquitin coding sequence with no spacer sequence. Consequently, the protein is expressed as a polyubiquitin precursor with a final amino acid after the last repeat. Aberrant form of this protein has been noticed in patients with Alzheimer's and Down syndrome.

Limitations

This product is for research use only and is not approved for use in humans or in clinical diagnosis. Primary Antibodies are guaranteed for 1 year from date of receipt.

Customers Who Viewed This Item Also Viewed...

NB300-221
Species: Av, Bv, Ca, Ch, ChHa, Dr, Eq, Fe, Ha, Hu, Mu, Ma-Op, Po, Pm, Rb, Rt, Sh, Ze
Applications: ChIP, ICC/IF, IHC, IHC-Fr, IP, KD, Simple Western, Single-Cell Western, WB
NB100-64792
Species: Hu
Applications: ELISA, Flow, ICC/IF, IHC, IHC-Fr,  IHC-P, WB
MAB6609
Species: Hu, Mu
Applications: IHC, WB
NB500-317
Species: Bv(-), Ca(-), Ch(-), Hu, Mu(-), Rb(-)
Applications: ELISA, Flow, ICC/IF, IHC,  IHC-P, IP, RIA, WB
NBP1-89522
Species: Hu, Mu, Rt
Applications: ICC/IF, IHC,  IHC-P, WB
NBP1-33527
Species: Hu, Mu, Rt
Applications: ICC/IF, IHC,  IHC-P, KO, Simple Western, WB
NB600-501
Species: Bv, Ca, Ch, Dr(-), Fe, Fi, Gt, Gp, Ha, Hu, Le, Ma, Mu, Po, Pm, Rb, Rt, Sh, Sq, Tr, Ze
Applications: ChIP, ELISA, Flow, ICC/IF, IHC, IHC-Fr,  IHC-P, IP, KD, KO, Simple Western, WB
NBP2-33600
Species: Hu, Mu
Applications: ICC/IF, IHC,  IHC-P, WB
NB100-56360
Species: Hu
Applications: WB
NBP1-76593
Species: Hu, Mu, Rt
Applications: ELISA, ICC/IF, IHC,  IHC-P, WB
AF9024
Species: Mu, Rt
Applications: IHC, WB
NBP2-13961
Species: Hu
Applications: ICC/IF, IHC,  IHC-P, WB
MAB2669
Species: Hu
Applications: IHC, Simple Western, WB
NBP2-54301
Species: Hu, Mu, Rt
Applications: CyTOF-ready, ELISA, IHC,  IHC-P, WB
NBP3-13522
Species: Hu, Mu, Rt
Applications: ICC/IF, IHC,  IHC-P, WB
H00006908-Q01
Species: Hu
Applications: ELISA, AP, PA, PAGE, WB
E2-622
Species: Hu
Applications: EnzAct
NB100-93302
Species: Hu
Applications: ICC/IF, IHC,  IHC-P, IP, WB
NBP2-13075
Species: Ba, Hu, Pm, Mu, Rt
Applications: DB, ELISA, IB, ICC/IF, IHC-FrFl, IHC, IHC-Fr,  IHC-P, IP, WB
NBP3-45080
Species: Hu
Applications: WB, IHC

Publications for Ubiquitin B Antibody (NBP3-45080) (0)

There are no publications for Ubiquitin B Antibody (NBP3-45080).
By submitting your publication information earn gift cards and discounts for future purchases.

Reviews for Ubiquitin B Antibody (NBP3-45080) (0)

There are no reviews for Ubiquitin B Antibody (NBP3-45080). By submitting a review you will receive an Amazon e-Gift Card or Novus Product Discount.
  • Review with no image -- $10/€7/£6/$10 CAD/¥70 Yuan/¥1110 Yen
  • Review with an image -- $25/€18/£15/$25 CAD/¥150 Yuan/¥2500 Yen

Product General Protocols

Find general support by application which include: protocols, troubleshooting, illustrated assays, videos and webinars.

Video Protocols

WB Video Protocol

FAQs for Ubiquitin B Antibody (NBP3-45080) (0)

There are no specific FAQs related to this product. Read our general customer & technical service FAQs.

Secondary Antibodies

 

Isotype Controls

Additional Ubiquitin B Products

Research Areas for Ubiquitin B Antibody (NBP3-45080)

Find related products by research area.

Blogs on Ubiquitin B

There are no specific blogs for Ubiquitin B, but you can read our latest blog posts.

Customers Who Bought This Also Bought

Contact Information

Product PDFs

Calculators

Concentration Calculator

The concentration calculator allows you to quickly calculate the volume, mass or concentration of your vial. Simply enter your mass, volume, or concentration values for your reagent and the calculator will determine the rest.

=
÷

Review this Product

Be the first to review our Ubiquitin B Antibody (rUBB/9476) - Azide and BSA Free and receive a gift card or discount.

Bioinformatics

Gene Symbol UBB