Tubulin Beta 2C Antibody - BSA Free

Images

 
Western Blot: Tubulin Beta 2C Antibody [NBP2-14886] - Various whole cell extracts (30 ug) were separated by 10% SDS-PAGE, and the membrane was blotted with beta Tubulin 2C antibody diluted at 1:10000. HRP-conjugated ...read more
Immunohistochemistry-Paraffin: Tubulin Beta 2C Antibody [NBP2-14886] - Beta Tubulin 2C antibody detects beta Tubulin 2C protein at cytoplasm on human breast cancer by immunohistochemical analysis. Sample: ...read more
Western Blot: Tubulin Beta 2C Antibody [NBP2-14886] - Sample (30 ug of whole cell lysate) A: NIH-3T3 10% SDS PAGE; antibody diluted at 1:10000.
beta Tubulin 2C antibody [C1C3] detects beta Tubulin 2C protein by immunohistochemical analysis.Sample: Paraffin-embedded mouse tissues.beta Tubulin 2C stained by beta Tubulin 2C antibody [C1C3] (NBP2-14886) diluted at ...read more
beta Tubulin 2C antibody [C1C3] detects beta Tubulin 2C protein by immunohistochemical analysis.Sample: Paraffin-embedded rat tissues.beta Tubulin 2C stained by beta Tubulin 2C antibody [C1C3] (NBP2-14886) diluted at ...read more
beta Tubulin 2C antibody [C1C3] detects beta Tubulin 2C protein at cytoskeleton by immunofluorescent analysis.Sample: HeLa cells were fixed in 4% paraformaldehyde at RT for 15 min.Green: beta Tubulin 2C stained by beta ...read more
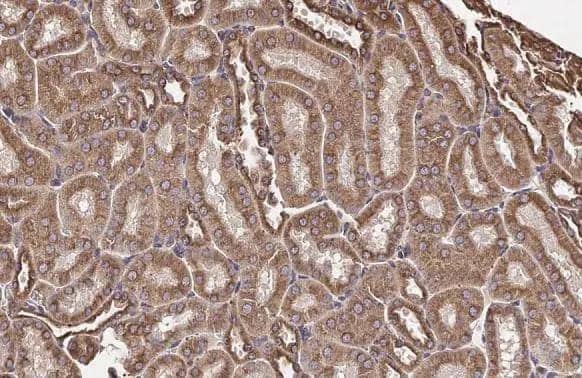
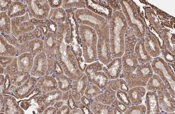
beta Tubulin 2C antibody [C1C3] detects beta Tubulin 2C protein at cytoplasm by immunohistochemical analysis.Sample: Paraffin-embedded mouse kidney.beta Tubulin 2C stained by beta Tubulin 2C antibody [C1C3] (NBP2-14886) ...read more

Product Details

Summary
Reactivity Hu, Mu, Pm, RMSpecies Glossary
Applications WB, ICC/IF, IHC
Clonality
Polyclonal
Host
Rabbit
Conjugate
Unconjugated
Format
BSA Free

Order Details

Tubulin Beta 2C Antibody - BSA Free Summary

Description
Novus Biologicals Rabbit Tubulin Beta 2C Antibody - BSA Free (NBP2-14886) is a polyclonal antibody validated for use in IHC, WB and ICC/IF. All Novus Biologicals antibodies are covered by our 100% guarantee.
Immunogen
Recombinant protein encompassing a sequence within the center region of human Tubulin Beta 2C. The exact sequence is proprietary.
Predicted Species
Rhesus Macaque (100%), Chimpanzee (100%). Backed by our 100% Guarantee.
Isotype
IgG
Clonality
Polyclonal
Host
Rabbit
Gene
TUBB4B
Purity
Antigen Affinity-purified
Innovator's Reward
Test in a species/application not listed above to receive a full credit towards a future purchase.

Applications/Dilutions

Dilutions
  • Immunocytochemistry/ Immunofluorescence 1:100-1:1000
  • Immunohistochemistry 1:100-1:1000
  • Immunohistochemistry-Paraffin 1:100-1:1000
  • Western Blot 1:5000-1:20000
Theoretical MW
50 kDa.
Disclaimer note: The observed molecular weight of the protein may vary from the listed predicted molecular weight due to post translational modifications, post translation cleavages, relative charges, and other experimental factors.

Packaging, Storage & Formulations

Storage
Aliquot and store at -20C or -80C. Avoid freeze-thaw cycles.
Buffer
PBS, 20% Glycerol
Preservative
0.025% Proclin 300
Purity
Antigen Affinity-purified

Alternate Names for Tubulin Beta 2C Antibody - BSA Free

  • class IVb beta tubulin
  • TUBB2
  • TUBB2C
  • TUBB4B
  • Tubulin Beta 2C
  • Tubulin beta-2 chain
  • tubulin beta-2C chain
  • tubulin, beta 2C
  • tubulin, beta, 2

Background

Tubulin is the major constituent of microtubules. It binds two moles of GTP, one at an exchangeable site on the beta chain and one at a non-exchangeable site on the alpha-chain.

Limitations

This product is for research use only and is not approved for use in humans or in clinical diagnosis. Primary Antibodies are guaranteed for 1 year from date of receipt.

Customers Who Viewed This Item Also Viewed...

NB600-936
Species: Bv, Ce, Ch, ChHa, Hu, I, In, Mu, Po, Pm, Rt, Xp, Ze
Applications: ICC/IF, IHC,  IHC-P, Simple Western, WB
MAB9036
Species: Hu
Applications: ICC, WB
MAB1195
Species: All-Multi
Applications: ICC, IHC, ICFlow, Simple Western, WB
MAB8527
Species: Hu
Applications: ICC, IHC, WB
NBP2-15581
Species: Dr, Hu, Mu, Rt
Applications: ICC/IF, IHC,  IHC-P, WB
NB600-533
Species: Hu, Mu
Applications: Flow, ICC/IF, IHC, IP, Simple Western, WB
NBP2-00812
Species: Ca, Hu, Pm, Mu, Pm, Rt
Applications: Flow, ICC/IF, IHC,  IHC-P, WB
NB600-501
Species: Bv, Ca, Ch, Dr(-), Fe, Fi, Gt, Gp, Ha, Hu, Le, Ma, Mu, Po, Pm, Rb, Rt, Sh, Sq, Tr, Ze
Applications: ChIP, ELISA, Flow, ICC/IF, IHC, IHC-Fr,  IHC-P, IP, KD, KO, Simple Western, WB
NB300-619
Species: Bv, Ch, Ha, Hu, Mu, Rt
Applications: ICC, ICC/IF, IHC,  IHC-P, IP, WB
NBP2-24859
Species: Ca, Hu, Mu, Pm
Applications: ICC/IF, IHC,  IHC-P, WB
AF5414
Species: Hu
Applications: Simple Western, WB
NBP1-06274
Species: Ce, Ch, Dr, Hu, Mu, Rt, Sh, Ze
Applications: Flow, ICC/IF, IHC-FrFl, IHC,  IHC-P, Simple Western, WB
NB600-501
Species: Bv, Ca, Ch, Dr(-), Fe, Fi, Gt, Gp, Ha, Hu, Le, Ma, Mu, Po, Pm, Rb, Rt, Sh, Sq, Tr, Ze
Applications: ChIP, ELISA, Flow, ICC/IF, IHC, IHC-Fr,  IHC-P, IP, KD, KO, Simple Western, WB
NBP2-32875
Species: Hu, Rt
Applications: Flow, ICC/IF, IHC,  IHC-P, Simple Western, WB
NBP2-29463
Species: Pm, Hu, Pm, Mu
Applications: Flow, ICC/IF, IHC,  IHC-P, WB
NBP1-28566
Species: Bv, Hu, Pm, Mu, Po, Rt
Applications: Func, IHC, IHC-Fr,  IHC-P, WB
NBP2-93653
Species: Hu, Mu, Rt
Applications: ELISA, ICC/IF, IHC,  IHC-P, WB
NB300-221
Species: Av, Bv, Ca, Ch, ChHa, Dr, Eq, Fe, Ha, Hu, Mu, Ma-Op, Po, Pm, Rb, Rt, Sh, Ze
Applications: ChIP, ICC/IF, IHC, IHC-Fr, IP, KD, Simple Western, Single-Cell Western, WB
NB100-2269
Species: Hu, Mu
Applications: IHC,  IHC-P, IP, KD, WB
NBP3-41568
Species: Hu, Mu, Rt
Applications: IHC,  IHC-P, WB
⚠ WARNING: This product can expose you to chemicals including mercury, which is known to the State of California to cause reproductive toxicity with developmental effects.  For more information go to www.P65Warnings.ca.gov.

Publications for Tubulin Beta 2C Antibody (NBP2-14886) (0)

There are no publications for Tubulin Beta 2C Antibody (NBP2-14886).
By submitting your publication information earn gift cards and discounts for future purchases.

Reviews for Tubulin Beta 2C Antibody (NBP2-14886) (0)

There are no reviews for Tubulin Beta 2C Antibody (NBP2-14886). By submitting a review you will receive an Amazon e-Gift Card or Novus Product Discount.
  • Review with no image -- $10/€7/£6/$10 CAD/¥70 Yuan/¥1110 Yen
  • Review with an image -- $25/€18/£15/$25 CAD/¥150 Yuan/¥2500 Yen

Product General Protocols

Find general support by application which include: protocols, troubleshooting, illustrated assays, videos and webinars.

Video Protocols

WB Video Protocol
ICC/IF Video Protocol

FAQs for Tubulin Beta 2C Antibody (NBP2-14886) (0)

There are no specific FAQs related to this product. Read our general customer & technical service FAQs.

Secondary Antibodies

 

Isotype Controls

Additional Tubulin Beta 2C Products

Research Areas for Tubulin Beta 2C Antibody (NBP2-14886)

Find related products by research area.

Blogs on Tubulin Beta 2C

There are no specific blogs for Tubulin Beta 2C, but you can read our latest blog posts.

Customers Who Bought This Also Bought

Contact Information

Product PDFs

Calculators

Concentration Calculator

The concentration calculator allows you to quickly calculate the volume, mass or concentration of your vial. Simply enter your mass, volume, or concentration values for your reagent and the calculator will determine the rest.

=
÷

Review this Product

Be the first to review our Tubulin Beta 2C Antibody - BSA Free and receive a gift card or discount.

Bioinformatics

Gene Symbol TUBB4B
Uniprot