TSLP Antibody (55N2D4) - Azide and BSA Free

Images

 
Western Blot: TSLP Antibody (55N2D4) - Azide and BSA Free [NBP2-80998] - Analysis of a TSLP recombinant protein using TSLP antibody at 0.5 ug/ml. Goat anti-mouse Ig HRP secondary antibody and PicoTect ECL substrate ...read more
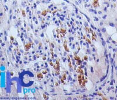
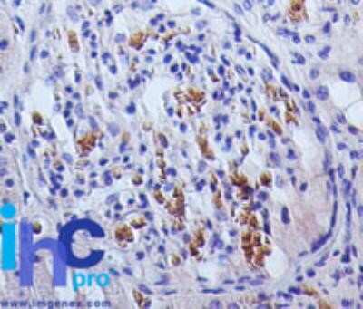
Immunohistochemistry: TSLP Antibody (55N2D4) - Azide and BSA Free [NBP2-80998] - Formalin-fixed, paraffin-embedded normal human kidney stained with TSLP antibody (3 ug/ml), peroxidase-conjugate and DAB chromogen. tissue ...read more

Product Details

Summary
Reactivity HuSpecies Glossary
Applications WB, IHC
Clone
55N2D4
Clonality
Monoclonal
Host
Mouse
Conjugate
Unconjugated
Format
Azide and BSA Free
Concentration
0.5 mg/ml

Order Details

TSLP Antibody (55N2D4) - Azide and BSA Free Summary

Description
Novus Biologicals Mouse TSLP Antibody (55N2D4) - Azide and BSA Free (NBP2-27325) is a monoclonal antibody validated for use in IHC and WB. All Novus Biologicals antibodies are covered by our 100% guarantee.
Immunogen
amino acids (27-158) MDYDFTNCDFEkIkAAYLSTISkDLITYMSGTkSTEFNNTVSCSNRPHCLTEIQSLTFNP~TAGCASLAkEMFAMkTkAALAIWCPGYSETQINATQAMkkRRkRkVTTNkCLEQVSQLQG~LWRRFNRPLLkQQL
Isotype
IgG2a Kappa
Clonality
Monoclonal
Host
Mouse
Gene
TSLP
Purity
Protein G purified
Innovator's Reward
Test in a species/application not listed above to receive a full credit towards a future purchase.

Applications/Dilutions

Dilutions
  • Immunohistochemistry
  • Immunohistochemistry-Paraffin 3-5ug/ml
  • Western Blot 0.5-2ug/ml
Application Notes
Staining of formalin-fixed tissues is enhanced by boiling tissue sections in 10 mM sodium citrate buffer, pH 6.0 for 10-20 min followed by cooling at RT for 20 min.

Packaging, Storage & Formulations

Storage
Store at 4C short term. Aliquot and store at -20C long term. Avoid freeze-thaw cycles.
Buffer
PBS
Preservative
No Preservative
Concentration
0.5 mg/ml
Purity
Protein G purified

Alternate Names for TSLP Antibody (55N2D4) - Azide and BSA Free

  • thymic stromal lymphopoietin
  • TSLP

Background

TSLP is a 159 amino acid four helix-bundle hemopoietic cytokine that signals through a heterodimeric receptor complex consisting of the human TSLP receptor and the IL-7R alpha-chain. It impacts myeloid cells and induces the release of Tcell-attracting chemokines from monocytes, enhances the maturation of CD11c+ dendritic cells, naive CD4+, and CD8+ Tcells into proallergic effectors, and primes DCs to produce large amounts of IL-12 after CD40 ligand stimulation. TSLP influences the regulation of the positive selection of regulatory Tcells and maintenance of peripheral CD4+ Tcell homeostasis. It induces allergic inflammation by directly activating mast cells and may be involved in the pathophysiology of inflammatory arthritis. TSLP is expressed in heart, liver and prostate.

Limitations

This product is for research use only and is not approved for use in humans or in clinical diagnosis. Primary Antibodies are guaranteed for 1 year from date of receipt.

Customers Who Viewed This Item Also Viewed...

AF546
Species: Mu
Applications: CyTOF-ready, Flow, Neut, WB
6507-IL/CF
Species: Hu
Applications: BA
DY413
Species: Mu
Applications: ELISA
207-IL
Species: Hu
Applications: BA
NBP1-19371
Species: Ca, Hu, Mu, Po, Rb, Rt
Applications: Dual ISH-IHC, Flow, ICC/IF, IHC, IHC-Fr,  IHC-P, Simple Western, WB
AF3626
Species: Mu
Applications: CyTOF-ready, ELISA(Cap), ELISA(Det), ELISA(Sta), ICC, IHC, ICFlow, Neut, WB
M5000
Species: Mu
Applications: ELISA
MCC170
Species: Mu
Applications: ELISA
NBP1-72042
Species: Hu, Mu, Rt
Applications: ICC/IF, IHC,  IHC-P, PEP-ELISA, WB
MAB10541
Species: Hu
Applications: CyTOF-ready, Flow, ICC, Neut
NBP2-24875
Species: Ca, Hu, Mu
Applications: BA, B/N, Flow-IC, Flow, ICC/IF, IHC,  IHC-P, WB
DY417
Species: Mu
Applications: ELISA
NB600-922
Species: Ch, Mu
Applications: ELISA, IHC, Single-Cell Western, WB
DY421
Species: Mu
Applications: ELISA
M6000B
Species: Mu
Applications: ELISA
DMD00
Species: Hu
Applications: ELISA
NB110-97871
Species: Hu, Mu
Applications: CyTOF-ready, Flow, ICC/IF, IHC, IHC-Fr,  IHC-P, IP
Supplier Logo

Publications for TSLP Antibody (NBP2-80998) (0)

There are no publications for TSLP Antibody (NBP2-80998).
By submitting your publication information earn gift cards and discounts for future purchases.

Reviews for TSLP Antibody (NBP2-80998) (0)

There are no reviews for TSLP Antibody (NBP2-80998). By submitting a review you will receive an Amazon e-Gift Card or Novus Product Discount.
  • Review with no image -- $10/€7/£6/$10 CAD/¥70 Yuan/¥1110 Yen
  • Review with an image -- $25/€18/£15/$25 CAD/¥150 Yuan/¥2500 Yen

Product General Protocols

Find general support by application which include: protocols, troubleshooting, illustrated assays, videos and webinars.

Video Protocols

WB Video Protocol

FAQs for TSLP Antibody (NBP2-80998) (0)

There are no specific FAQs related to this product. Read our general customer & technical service FAQs.

Customers Who Bought This Also Bought

Contact Information

Product PDFs

Calculators

Concentration Calculator

The concentration calculator allows you to quickly calculate the volume, mass or concentration of your vial. Simply enter your mass, volume, or concentration values for your reagent and the calculator will determine the rest.

=
÷

Review this Product

Be the first to review our TSLP Antibody (55N2D4) - Azide and BSA Free and receive a gift card or discount.

Bioinformatics

Gene Symbol TSLP