TORC3/CRTC3 Antibody (5G9)

Images

 
Western Blot: TORC3/CRTC3 Antibody (5G9) [NBP2-37635] - Western blot analysis using CRTC3 mouse mAb against Hela (1), Jurkat (2), Cos7 (3) and MCF-7 (4) cell lysate.
Immunocytochemistry/ Immunofluorescence: TORC3/CRTC3 Antibody (5G9) [NBP2-37635] - Immunofluorescence analysis of NTERA-2 cells using CRTC3 mouse mAb (green). Red: Actin filaments have been labeled with Alexa Fluor-555 ...read more
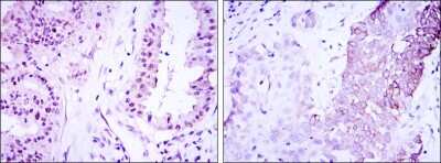
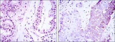
Immunohistochemistry: TORC3/CRTC3 Antibody (5G9) [NBP2-37635] - Immunohistochemical analysis of paraffin-embedded lung cancer (left) and esophagus cancer (right) using CRTC3 mouse mAb with DAB staining.
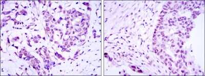
Immunohistochemistry: TORC3/CRTC3 Antibody (5G9) [NBP2-37635] - Immunohistochemical analysis of paraffin-embedded breast cancer (left) and ovarian cancer (right) using CRTC3 mouse mAb with DAB staining.
ELISA: TORC3/CRTC3 Antibody (5G9) [NBP2-37635] - Red: Control Antigen (100ng); Purple: Antigen (10ng); Green: Antigen (50ng); Blue: Antigen (100ng);

Product Details

Summary
Product Discontinued
View other related TORC3/CRTC3 Primary Antibodies

Order Details


    • Catalog Number
      NBP2-37635
    • Availability
      Product Discontinued

    Can't find what you are looking for? Use our Antibody Concierge Service & we will help you locate your antibody!

    Or feel free to contact us for alternative products.

TORC3/CRTC3 Antibody (5G9) Summary

Immunogen
Purified recombinant fragment of human CRTC3 expressed in E. Coli.
Isotype
IgG1
Clonality
Monoclonal
Host
Mouse
Gene
CRTC3
Purity
Unpurified
Innovator's Reward
Test in a species/application not listed above to receive a full credit towards a future purchase.

Applications/Dilutions

Dilutions
  • ELISA 1:10000
  • Immunocytochemistry/ Immunofluorescence 1:200 - 1:1000
  • Immunohistochemistry 1:200 - 1:1000
  • Immunohistochemistry-Paraffin 1:200 - 1:1000
  • Western Blot 1:500 - 1:2000
Theoretical MW
68 kDa.
Disclaimer note: The observed molecular weight of the protein may vary from the listed predicted molecular weight due to post translational modifications, post translation cleavages, relative charges, and other experimental factors.

Packaging, Storage & Formulations

Storage
Store at 4C short term. Aliquot and store at -20C long term. Avoid freeze-thaw cycles.
Buffer
Ascites
Preservative
0.03% Sodium Azide
Purity
Unpurified

Alternate Names for TORC3/CRTC3 Antibody (5G9)

  • CREB regulated transcription coactivator 3
  • CRTC3
  • FLJ21868
  • TORC3
  • TORC-3
  • TORC3CREB-regulated transcription coactivator 3
  • Transducer of CREB protein 3
  • transducer of regulated cAMP response element-binding protein (CREB) 3
  • Transducer of regulated cAMP response element-binding protein 3
  • transducer of regulated CREB protein 3

Background

Transcriptional coactivator for CREB1 which activates transcription through both consensus and variant cAMPresponse element (CRE) sites. Acts as a coactivator, in the SIK/TORC signaling pathway, being active whendephosphorylated and acts independently of CREB1 'Ser-133' phosphorylation. Enhances the interaction of CREB1 withTAF4. Regulates the expression of specific CREB-activated genes such as the steroidogenic gene, StAR. Potentcoactivator of PPARGC1A and inducer of mitochondrial biogenesis in muscle cells. Also coactivator for TAX activationof the human T-cell leukemia virus type 1 (HTLV-1) long terminal repeats (LTR)

Limitations

This product is for research use only and is not approved for use in humans or in clinical diagnosis. Primary Antibodies are guaranteed for 1 year from date of receipt.

Customers Who Viewed This Item Also Viewed...

DYC2510-2
Species: Hu, Mu, Rt
Applications: ELISA
NBP2-22356
Species: Hu, Mu
Applications: ICC/IF, IHC,  IHC-P, Simple Western, WB
NBP1-89865
Species: Hu, Mu, Rt
Applications: ICC/IF, IHC,  IHC-P, WB
AF4439
Species: Hu, Mu, Rt
Applications: IHC, Simple Western, WB
NBP2-92041
Species: Hu, Mu, Rt
Applications: ICC/IF, WB
NBP2-53228
Species: Hu
Applications: Flow, ICC/IF, IHC,  IHC-P, WB
NBP1-04676
Species: Gt, Ha, Hu, Mu, Po, Rt, Sh, Sq
Applications: ChIP, ChIP, Flow-IC, Flow, ICC/IF, IHC, IHC-Fr,  IHC-P, IP, KD, KO, Simple Western, WB
DY417
Species: Mu
Applications: ELISA
NB100-616
Species: Hu, Mu, Md, Pm, Rt
Applications: ChIP, EM, Flow-IC, Flow, ICC/IF, IP, In vitro, KD, WB
NB100-612
Species: Hu, Mu
Applications: ICC/IF, IHC,  IHC-P, IP, KD, WB
NB600-101
Species: Bv, Ha, Hu, Mu, Pm, Rt
Applications: B/N, DB, EM, Flow, ICC/IF, IHC,  IHC-P, IP, KD, PA, Simple Western, WB
NBP2-22106
Species: Hu, Mu, Rt
Applications: IHC,  IHC-P, IP, WB
NBP2-03993
Species: Bv, Ca, Hu, Mu, Pm
Applications: WB
H00001392-M02
Species: Hu
Applications: ELISA, IHC,  IHC-P, S-ELISA, WB
NBP2-67766
Species: Hu, Mu, Rt
Applications: Flow, ICC/IF, IHC,  IHC-P, IP, WB
DBD00
Species: Hu
Applications: ELISA

Publications for TORC3/CRTC3 Antibody (NBP2-37635) (0)

There are no publications for TORC3/CRTC3 Antibody (NBP2-37635).
By submitting your publication information earn gift cards and discounts for future purchases.

Reviews for TORC3/CRTC3 Antibody (NBP2-37635) (0)

There are no reviews for TORC3/CRTC3 Antibody (NBP2-37635). By submitting a review you will receive an Amazon e-Gift Card or Novus Product Discount.
  • Review with no image -- $10/€7/£6/$10 CAD/¥70 Yuan/¥1110 Yen
  • Review with an image -- $25/€18/£15/$25 CAD/¥150 Yuan/¥2500 Yen

Product General Protocols

Find general support by application which include: protocols, troubleshooting, illustrated assays, videos and webinars.

Video Protocols

WB Video Protocol
ICC/IF Video Protocol

FAQs for TORC3/CRTC3 Antibody (NBP2-37635). (Showing 1 - 1 of 1 FAQ).

  1. Can you please tell me where the epitope of this antibody lies inside CRTC3?
    • we only have the range of the immunogen as we have not mapped the epitope. The range is large aa 37-325 

Contact Information

Product PDFs

Calculators

Concentration Calculator

The concentration calculator allows you to quickly calculate the volume, mass or concentration of your vial. Simply enter your mass, volume, or concentration values for your reagent and the calculator will determine the rest.

=
÷

Review this Product

Be the first to review our TORC3/CRTC3 Antibody (5G9) and receive a gift card or discount.

Bioinformatics

Gene Symbol CRTC3