THAP11 Antibody (3F3)

Images

 
Western Blot: THAP11 Antibody (3F3) [NBP1-51638] - Analysis using THAP11 mouse mAb against Hela (1) and NTERA-2 (2) cell lysate.
Immunocytochemistry/ Immunofluorescence: THAP11 Antibody (3F3) [NBP1-51638] - Analysis of NTERA-2 cells using THAP11 mouse mAb (green). Red: Actin filaments have been labeled with Alexa Fluor-555 phalloidin.
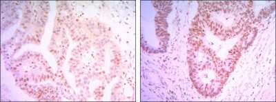
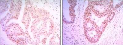
Immunohistochemistry-Paraffin: THAP11 Antibody (3F3) [NBP1-51638] - Analysis of paraffin-embedded colon cancer tissues (left) and ovary cancer tissues (right) using THAP11 mouse mAb with DAB staining.
Flow Cytometry: THAP11 Antibody (3F3) [NBP1-51638] - Analysis of Hela cells using THAP11 mouse mAb (green) and negative control (purple).

Product Details

Summary
Product Discontinued
View other related THAP11 Primary Antibodies

Order Details


    • Catalog Number
      NBP1-51638
    • Availability
      Product Discontinued

    Can't find what you are looking for? Use our Antibody Concierge Service & we will help you locate your antibody!

    Or feel free to contact us for alternative products.

THAP11 Antibody (3F3) Summary

Immunogen
Purified recombinant fragment of human THAP11 expressed in E. Coli.
Isotype
IgG1
Clonality
Monoclonal
Host
Mouse
Gene
THAP11
Purity
Unpurified
Innovator's Reward
Test in a species/application not listed above to receive a full credit towards a future purchase.

Applications/Dilutions

Dilutions
  • ELISA 1:10000
  • Flow Cytometry
  • Immunocytochemistry/ Immunofluorescence 1:200-1:1000
  • Immunohistochemistry 1:10-1:500
  • Immunohistochemistry-Paraffin 1:200-1:1000
  • Western Blot 1:500-1:2000
Theoretical MW
44 kDa.
Disclaimer note: The observed molecular weight of the protein may vary from the listed predicted molecular weight due to post translational modifications, post translation cleavages, relative charges, and other experimental factors.

Reactivity Notes

Human

Packaging, Storage & Formulations

Storage
Store at 4C short term. Aliquot and store at -20C long term. Avoid freeze-thaw cycles.
Buffer
Ascites
Preservative
0.03% Sodium Azide
Purity
Unpurified

Alternate Names for THAP11 Antibody (3F3)

  • CTG-B43a
  • CTG-B45d
  • HRIHFB2206
  • Ronin
  • THAP domain containing 11
  • THAP domain-containing protein 11
  • THAP11

Background

THAP11 is a member of the thanatos-associated proteins (THAP) family, which are zinc-dependent, sequence-specific DNA-binding factors involved in cell proliferation, apoptosis, cell cycle, chromatin modification and transcriptional regulation (Zhu, et al). THAP11 has been hypothesized to be a cell growth inhibitor via the repression of c-myc (Zhu, et al), and THAP11 expression has also been linked to the proliferation of embryonic stem cells (Dejosez M et al).

Limitations

This product is for research use only and is not approved for use in humans or in clinical diagnosis. Primary Antibodies are guaranteed for 1 year from date of receipt.

Customers Who Viewed This Item Also Viewed...

NB100-68209
Species: Hu
Applications: IP, KD, WB
AF1759
Species: Hu, Mu
Applications: ChIP, ICC, IP, Simple Western, WB
NB600-302
Species: Bv, Dr, Hu, Mu
Applications: ChIP, ELISA, Flow-IC, Flow, IB, ICC/IF, IHC, IHC-Fr,  IHC-P, IP, PLA, S-ELISA, Simple Western, WB
NBP1-90095
Species: Hu
Applications: IHC,  IHC-P
NBP2-29463
Species: Pm, Hu, Pm, Mu
Applications: Flow, ICC/IF, IHC,  IHC-P, WB
H00388112-B01P
Species: Hu
Applications: WB
AF1997
Species: Hu
Applications: ChIP, ICC, IHC, Simple Western, WB
AF3158
Species: Mu
Applications: ChIP, ICC, IHC, WB
AF6116
Species: Hu
Applications: ICC, WB
AF887
Species: Hu, Mu, Rt
Applications: CyTOF-ready, IHC, ICFlow, Simple Western, WB
H00057167-M03
Species: Hu, Mu, Rt
Applications: ChIP, ELISA, ICC/IF, IHC,  IHC-P, WB
NBP1-82493
Species: Hu
Applications: IHC,  IHC-P, WB
AF4429
Species: Mu
Applications: IHC, WB
NBP2-32887
Species: Hu, Mu, Rt
Applications: Flow, ICC/IF, IHC,  IHC-P, WB
AF4117
Species: Rt
Applications: IHC, WB
NBP2-13980
Species: Hu
Applications: ICC/IF, IHC,  IHC-P, WB
MAB7650
Species: Mu
Applications: IHC, WB
AF5414
Species: Hu
Applications: Simple Western, WB
NBP1-87377
Species: Hu
Applications: ICC/IF, IHC,  IHC-P, WB
NBP1-51638
Species: Hu
Applications: WB, ELISA, Flow, ICC/IF, IHC

Publications for THAP11 Antibody (NBP1-51638) (0)

There are no publications for THAP11 Antibody (NBP1-51638).
By submitting your publication information earn gift cards and discounts for future purchases.

Reviews for THAP11 Antibody (NBP1-51638) (0)

There are no reviews for THAP11 Antibody (NBP1-51638). By submitting a review you will receive an Amazon e-Gift Card or Novus Product Discount.
  • Review with no image -- $10/€7/£6/$10 CAD/¥70 Yuan/¥1110 Yen
  • Review with an image -- $25/€18/£15/$25 CAD/¥150 Yuan/¥2500 Yen

Product General Protocols

Find general support by application which include: protocols, troubleshooting, illustrated assays, videos and webinars.

Video Protocols

WB Video Protocol
ICC/IF Video Protocol

FAQs for THAP11 Antibody (NBP1-51638) (0)

There are no specific FAQs related to this product. Read our general customer & technical service FAQs.

Secondary Antibodies

 

Isotype Controls

Additional THAP11 Products

Research Areas for THAP11 Antibody (NBP1-51638)

Find related products by research area.

Blogs on THAP11

There are no specific blogs for THAP11, but you can read our latest blog posts.

Contact Information

Product PDFs

Calculators

Concentration Calculator

The concentration calculator allows you to quickly calculate the volume, mass or concentration of your vial. Simply enter your mass, volume, or concentration values for your reagent and the calculator will determine the rest.

=
÷

Review this Product

Be the first to review our THAP11 Antibody (3F3) and receive a gift card or discount.

Bioinformatics

Gene Symbol THAP11