TACC1 Antibody (OTI1H2) - Azide and BSA Free

Images

 
Western Blot: TACC1 Antibody (OTI1H2) - Azide and BSA Free [NBP2-74429] - Analysis of HEK293T cells were transfected with the pCMV6-ENTRY control (Left lane) or pCMV6-ENTRY TACC1.
Immunohistochemistry: TACC1 Antibody (OTI1H2) - Azide and BSA Free [NBP2-74429] - Analysis of Carcinoma of Human kidney tissue. (Heat-induced epitope retrieval by 1 mM EDTA in 10mM Tris, pH8.5, 120C for 3min)
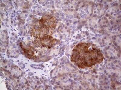
Immunohistochemistry: TACC1 Antibody (OTI1H2) - Azide and BSA Free [NBP2-74429] - Analysis of Human pancreas tissue. (Heat-induced epitope retrieval by 1 mM EDTA in 10mM Tris, pH8.5, 120C for 3min)

Product Details

Summary
Reactivity HuSpecies Glossary
Applications WB, IHC
Clone
OTI1H2
Clonality
Monoclonal
Host
Mouse
Conjugate
Unconjugated
Format
Azide and BSA Free
Concentration
LYOPH

Order Details

TACC1 Antibody (OTI1H2) - Azide and BSA Free Summary

Description
Novus Biologicals Mouse TACC1 Antibody (OTI1H2) - Azide and BSA Free (NBP2-46057) is a monoclonal antibody validated for use in IHC and WB. All Novus Biologicals antibodies are covered by our 100% guarantee.
Immunogen
Full length human recombinant protein of human TACC1 (NP_001116296) produced in HEK293T cell.
Isotype
IgG1
Clonality
Monoclonal
Host
Mouse
Gene
TACC1
Purity
Immunogen affinity purified
Innovator's Reward
Test in a species/application not listed above to receive a full credit towards a future purchase.

Applications/Dilutions

Dilutions
  • Immunohistochemistry 1:150
  • Immunohistochemistry-Paraffin
  • Western Blot 1:2000
Theoretical MW
43.8 kDa.
Disclaimer note: The observed molecular weight of the protein may vary from the listed predicted molecular weight due to post translational modifications, post translation cleavages, relative charges, and other experimental factors.

Packaging, Storage & Formulations

Storage
Store at -20C. Avoid freeze-thaw cycles.
Buffer
Lyophilized from PBS (pH 7.3) with 8% Trehalose
Preservative
No Preservative
Concentration
LYOPH
Purity
Immunogen affinity purified
Reconstitution Instructions
we recommend adding 100uL distilled water to a final antibody concentration of about 1 mg/mL. To use this carrier-free antibody for conjugation experiment, we strongly recommend performing another round of desalting process.

Alternate Names for TACC1 Antibody (OTI1H2) - Azide and BSA Free

  • DKFZp686K18126
  • FLJ42304
  • Ga55
  • Gastric cancer antigen Ga55
  • KIAA1103
  • taxin 1
  • taxin-1
  • transforming acidic coiled-coil-containing protein 1
  • transforming, acidic coiled-coil containing protein 1

Background

TACC1 is thought to be involved in the processes that promote cell division prior to the formation of differentiated tissues. It interacts with KIAA0097/CH-TOG and with the oncogenic transcription factor YEATS4, in addition to the Aurora kinases A and B (STK6 and AURKB) and LSM7, TDRD7 and SNRPG.

Limitations

This product is for research use only and is not approved for use in humans or in clinical diagnosis. Primary Antibodies are guaranteed for 1 year from date of receipt.

Customers Who Viewed This Item Also Viewed...

NBP2-46058
Species: Hu
Applications: IHC,  IHC-P, WB
AF5720
Species: Hu
Applications: Simple Western, WB
NB600-1287
Species: Ca, Hu, Mu, Rb, Rt
Applications: CyTOF-ready, Flow, ICC/IF, IHC,  IHC-P, IP, WB
MEP00B
Species: Mu
Applications: ELISA
NBP3-38243
Species: Hu, Mu, Rt
Applications: ELISA, ICC/IF, IHC,  IHC-P, WB
NB500-182
Species: Hu, Ma, Mu, Rt
Applications: ICC/IF, IP, WB
AF887
Species: Hu, Mu, Rt
Applications: CyTOF-ready, IHC, ICFlow, Simple Western, WB
AF1640
Species: Hu
Applications: ELISA(Cap), ELISA(Det), ELISA(Sta), IHC, WB
MAB6210
Species: Hu
Applications: Simple Western, WB
NBP1-47745
Species: Ca, Hu, Pm, Mu, Rt
Applications: ICC/IF, IHC,  IHC-P, IP, WB
NBP3-07388
Species: Hu
Applications: Flow, ICC/IF, IHC,  IHC-P
H00084000-Q01
Species: Hu
Applications: ELISA, AP, PA, PAGE, WB
DTM100
Species: Hu
Applications: ELISA
NBP2-45516
Species: Hu, Mu, Rt
Applications: ICC/IF, IHC,  IHC-P, WB
MAB7662
Species: Hu
Applications: Flow, ICC, IHC, WB
NBP1-92151
Species: Hu
Applications: ICC/IF, IHC,  IHC-P
NB100-319
Species: Hu
Applications: IP, WB
MAB6495
Species: Hu
Applications: ICC, Simple Western, WB
NBP1-87315
Species: Hu
Applications: IHC,  IHC-P
NB100-404
Species: Hu
Applications: ChIP, ICC/IF, IHC,  IHC-P, IP, KD, KO, WB

Publications for TACC1 Antibody (NBP2-74429) (0)

There are no publications for TACC1 Antibody (NBP2-74429).
By submitting your publication information earn gift cards and discounts for future purchases.

Reviews for TACC1 Antibody (NBP2-74429) (0)

There are no reviews for TACC1 Antibody (NBP2-74429). By submitting a review you will receive an Amazon e-Gift Card or Novus Product Discount.
  • Review with no image -- $10/€7/£6/$10 CAD/¥70 Yuan/¥1110 Yen
  • Review with an image -- $25/€18/£15/$25 CAD/¥150 Yuan/¥2500 Yen

Product General Protocols

Find general support by application which include: protocols, troubleshooting, illustrated assays, videos and webinars.

Video Protocols

WB Video Protocol

FAQs for TACC1 Antibody (NBP2-74429) (0)

There are no specific FAQs related to this product. Read our general customer & technical service FAQs.

Customers Who Bought This Also Bought

Contact Information

Product PDFs

Calculators

Concentration Calculator

The concentration calculator allows you to quickly calculate the volume, mass or concentration of your vial. Simply enter your mass, volume, or concentration values for your reagent and the calculator will determine the rest.

=
÷

Review this Product

Be the first to review our TACC1 Antibody (OTI1H2) - Azide and BSA Free and receive a gift card or discount.

Bioinformatics

Gene Symbol TACC1