StAR Antibody (STAR/3915R) - Azide and BSA Free

Images

 
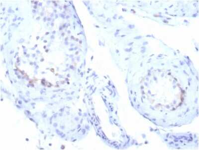
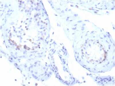
Immunohistochemistry-Paraffin: StAR Antibody (STAR/3915R) - Azide and BSA Free [NBP3-14189] - Formalin-fixed, paraffin-embedded human testicular carcinoma stained with StAR antibody (STAR/3915R). HIER: Tris/EDTA, pH9.0, ...read more

Product Details

Summary
Reactivity HuSpecies Glossary
Applications IHC
Clone
STAR/3915R
Clonality
Monoclonal
Host
Rabbit
Conjugate
Unconjugated
Format
Azide and BSA Free
Concentration
1 mg/ml

Order Details

StAR Antibody (STAR/3915R) - Azide and BSA Free Summary

Description
1.0 mg/ml of antibody purified from Bioreactor Concentrate by Protein A/G. Prepared in 10mM PBS WITHOUT BSA & azide. Also available at 200 ug/ml WITH BSA & azide (NBP3-13786).

Antibody with azide - store at 2 to 8C. Antibody without azide - store at -20 to -80 C.
Additional Information
Recombinant Monoclonal Antibody
Immunogen
Recombinant fragment (around aa 39-108) of human StAR protein (exact sequence is proprietary) (Uniprot: P49675)
Localization
Cytoplasm (Mitochondria)
Marker
Leydig Cell Marker
Specificity
Steroidogenic Acute Regulatory Protein (STAR) controls the rate-limiting step of steroidegenesis by translocating cholesterol from the outer mitochondrial membrane to the inner membrane where it is later cleaved to pregnenolone. It is primarily present in steroid-producing cells, including Leydig cells in the testis, theca cells and luteal cells in the ovary and adrenal cells in the adrenal cortex. Due to low levels of pregnenolone, seminomas and Leydig cell tumors display no specific STAR staining. Therefore, STAR antibody may assist in differentiating sex cord stromal tumors (SCST), seminomas and embryonal carcinomas.
Isotype
IgG Kappa
Clonality
Monoclonal
Host
Rabbit
Gene
STAR
Purity
Protein A or G purified
Innovator's Reward
Test in a species/application not listed above to receive a full credit towards a future purchase.

Applications/Dilutions

Dilutions
  • Immunohistochemistry-Paraffin 1-2 ug/ml
Application Notes
Immunohistochemistry (Formalin-fixed): 1-2ug/ml for 30 minutes at RT. Staining of formalin-fixed tissues requires heating tissue sections in 10mM Tris with 1mM EDTA, pH 9.0, for 45 min at 95C followed by cooling at RT for 20 minutes
Theoretical MW
30 kDa.
Disclaimer note: The observed molecular weight of the protein may vary from the listed predicted molecular weight due to post translational modifications, post translation cleavages, relative charges, and other experimental factors.

Packaging, Storage & Formulations

Storage
Store at -20 to -80C. Avoid freeze-thaw cycles.
Buffer
10mM PBS
Preservative
No Preservative
Concentration
1 mg/ml
Purity
Protein A or G purified

Alternate Names for StAR Antibody (STAR/3915R) - Azide and BSA Free

  • cholesterol trafficker
  • mitochondrial steroid acute regulatory protein
  • StAR
  • StARD1
  • STARD1StAR-related lipid transfer (START) domain containing 1
  • START domain containing 1
  • START domain-containing protein 1
  • steroid acute regulatory protein
  • steroidogenic acute regulator
  • steroidogenic acute regulatory protein
  • steroidogenic acute regulatory protein, mitochondrial

Background

StAR is encoded by this gene plays a key role in the acute regulation of steroid hormone synthesis by enhancing the conversion of cholesterol into pregnenolone. This protein permits the cleavage of cholesterol into pregnenolone by mediating the transport of cholesterol from the outer mitochondrial membrane to the inner mitochondrial membrane. Mutations in this gene are a cause of congenital lipoid adrenal hyperplasia (CLAH), also called lipoid CAH. A pseudogene of this gene is located on chromosome 13.

Limitations

This product is for research use only and is not approved for use in humans or in clinical diagnosis. Primary Antibodies are guaranteed for 1 year from date of receipt.

Customers Who Viewed This Item Also Viewed...

NBP1-85368
Species: Hu, RM
Applications: ICC/IF, IHC,  IHC-P, WB
NBP2-88921
Species: Hu
Applications: ICC/IF, IHC,  IHC-P, WB
NB100-1596
Species: Hu, Mu, Pm, Rb, Rt
Applications: ICC/IF, IHC,  IHC-P, Simple Western, WB
NB100-1533
Species: Hu, Mu, Po, Rt, Sh
Applications: Flow, ICC/IF, IHC,  IHC-P, PEP-ELISA, WB
NBP2-01151
Species: Hu
Applications: Flow, IHC,  IHC-P, WB
NBP2-38770
Species: Hu, Mu
Applications:  IHC-P, WB
NBP1-30475
Species: Hu, Mu
Applications: IHC,  IHC-P, IP, WB
NB100-41398
Species: Hu, Mu, Rt
Applications: Flow, ICC/IF, IHC,  IHC-P, PEP-ELISA, WB
PP-H7431-00
Species: Hu
Applications: WB
NB110-78644
Species: Pm, Bv, Gt, Hu, Mu, Po, Pm, Rt, Sh
Applications: ICC/IF, IHC, IHC-Fr,  IHC-P, WB
NBP2-22203
Species: Hu, Pm, Mu, Rt
Applications: ELISA, Flow, ICC/IF, IHC,  IHC-P, WB
NBP1-32353
Species: Hu, Mu
Applications: ICC/IF, IHC,  IHC-P, WB
291-G1
Species: Hu
Applications: BA
NBP3-17314
Species: Hu
Applications: ICC/IF, WB
NBP2-49223
Species: Hu
Applications: IHC,  IHC-P
NBP2-13891
Species: Hu
Applications: IHC,  IHC-P
AF1230
Species: Hu, Mu, Rt
Applications: IHC, KO, WB
NBP3-14189
Species: Hu
Applications: IHC

Publications for StAR Antibody (NBP3-14189) (0)

There are no publications for StAR Antibody (NBP3-14189).
By submitting your publication information earn gift cards and discounts for future purchases.

Reviews for StAR Antibody (NBP3-14189) (0)

There are no reviews for StAR Antibody (NBP3-14189). By submitting a review you will receive an Amazon e-Gift Card or Novus Product Discount.
  • Review with no image -- $10/€7/£6/$10 CAD/¥70 Yuan/¥1110 Yen
  • Review with an image -- $25/€18/£15/$25 CAD/¥150 Yuan/¥2500 Yen

Product General Protocols

Find general support by application which include: protocols, troubleshooting, illustrated assays, videos and webinars.

FAQs for StAR Antibody (NBP3-14189) (0)

There are no specific FAQs related to this product. Read our general customer & technical service FAQs.

Secondary Antibodies

 

Isotype Controls

Additional StAR Products

Research Areas for StAR Antibody (NBP3-14189)

Find related products by research area.

Blogs on StAR

There are no specific blogs for StAR, but you can read our latest blog posts.

Customers Who Bought This Also Bought

Contact Information

Product PDFs

Calculators

Concentration Calculator

The concentration calculator allows you to quickly calculate the volume, mass or concentration of your vial. Simply enter your mass, volume, or concentration values for your reagent and the calculator will determine the rest.

=
÷

Review this Product

Be the first to review our StAR Antibody (STAR/3915R) - Azide and BSA Free and receive a gift card or discount.

Bioinformatics

Gene Symbol STAR