SP17 Antibody (3G9F3) - BSA Free

Images

 
Flow Cytometry: SP17 Antibody (3G9F3) [NBP3-27160] - Analysis of SK-OV-3 cells using SP17 mouse mAb (green) and negative control (red).
Western Blot: SP17 Antibody (3G9F3) [NBP3-27160] - Analysis using SP17 mAb against human SP17 (AA: 1-152) recombinant protein. (Expected MW is 20.3 kDa)
Immunohistochemistry: SP17 Antibody (3G9F3) [NBP3-27160] - Analysis of paraffin-embedded rectal cancer tissues using SP17 mouse mAb with DAB staining.
ELISA: SP17 Antibody (3G9F3) [NBP3-27160] - Black line: Control Antigen (100 ng); Purple line: Antigen (10 ng); Blue line: Antigen (50 ng); Red line: Antigen (100 ng)
Flow Cytometry: SP17 Antibody (3G9F3) [NBP3-27160] - Analysis of Hela cells using SP17 mouse mAb (green) and negative control (red).
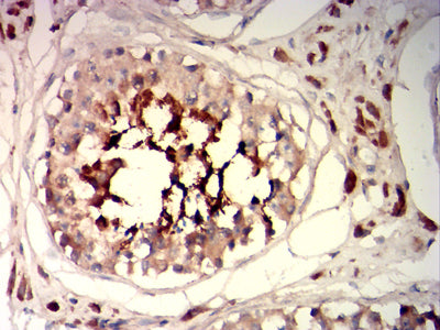
Immunohistochemistry: SP17 Antibody (3G9F3) [NBP3-27160] - Analysis of paraffin-embedded testis tissues using SP17 mouse mAb with DAB staining.
Western Blot: SP17 Antibody (3G9F3) [NBP3-27160] - Analysis using SP17 mAb against HEK293-6e (1) and SP17 (AA: 1-152)-hIgGFc transfected HEK293-6e (2) cell lysate.

Product Details

Summary
Reactivity HuSpecies Glossary
Applications WB, ELISA, Flow, IHC
Clone
3G9F3
Clonality
Monoclonal
Host
Mouse
Conjugate
Unconjugated
Format
BSA Free
Concentration
1 mg/ml

Order Details

View Available Formulations
Catalog# & Formulation Size Price

SP17 Antibody (3G9F3) - BSA Free Summary

Description
Novus Biologicals Mouse SP17 Antibody (3G9F3) - BSA Free (NBP3-27160) is a monoclonal antibody validated for use in IHC, WB, ELISA and Flow. All Novus Biologicals antibodies are covered by our 100% guarantee.
Immunogen
Purified recombinant fragment of human SP17 (AA: 1-152) expressed in E. Coli.
Isotype
IgG1
Clonality
Monoclonal
Host
Mouse
Gene
SPA17
Purity
Protein G purified
Innovator's Reward
Test in a species/application not listed above to receive a full credit towards a future purchase.

Applications/Dilutions

Dilutions
  • ELISA 1:10000
  • Flow Cytometry 1:200 - 1:400
  • Immunohistochemistry 1:200 - 1:1000
  • Immunohistochemistry-Paraffin 1:200 - 1:1000
  • Western Blot 1:500 - 1:2000
Theoretical MW
17.4 kDa.
Disclaimer note: The observed molecular weight of the protein may vary from the listed predicted molecular weight due to post translational modifications, post translation cleavages, relative charges, and other experimental factors.

Packaging, Storage & Formulations

Storage
Store at 4C short term. Aliquot and store at -20C long term. Avoid freeze-thaw cycles.
Buffer
PBS
Preservative
0.05% Sodium Azide
Concentration
1 mg/ml
Purity
Protein G purified

Alternate Names for SP17 Antibody (3G9F3) - BSA Free

  • Cancer/testis antigen 22
  • CT22SP17-1
  • Sp17-1
  • SP17sperm surface protein Sp17
  • sperm autoantigenic protein 17Sperm protein 17

Background

SP17 encodes a protein present at the cell surface. The N-terminus has sequence similarity to human cAMP-dependent protein kinase A (PKA) type II alpha regulatory subunit (RIIa) while the C-terminus has an IQ calmodulin-binding motif. The central portion of the protein has carbohydrate binding motifs and likely functions in cell-cell adhesion. The protein was initially characterized by its involvement in the binding of sperm to the zona pellucida of the oocyte. Recent studies indicate that it is also involved in additional cell-cell adhesion functions such as immune cell migration and metastasis. A retrotransposed pseudogene is present on chromosome 10q22.

Limitations

This product is for research use only and is not approved for use in humans or in clinical diagnosis. Primary Antibodies are guaranteed for 1 year from date of receipt.

Customers Who Viewed This Item Also Viewed...

NBP1-89163
Species: Hu
Applications: ICC/IF, IHC,  IHC-P
H00054763-M03
Species: Hu
Applications: ELISA, ICC/IF, IHC,  IHC-P, WB
NBP1-89172
Species: Hu
Applications: IHC,  IHC-P, WB
NBP2-47299
Species: Hu
Applications: IHC,  IHC-P, WB
NBP1-49045
Species: Mu, Rt
Applications: Cell Depl, CyTOF-ready, Flow, ICC/IF, IHC, IHC-Fr,  IHC-P, IP, InhibTFunc
NB120-2928
Species: Hu, Mu, Pm, Rb, Rt, Sh
Applications: ICC/IF, IHC,  IHC-P, IP, WB
NBP1-89165
Species: Hu
Applications: IHC,  IHC-P
6507-IL/CF
Species: Hu
Applications: BA
NBP1-89173
Species: Hu
Applications: IHC,  IHC-P
NBP2-14430
Species: Hu
Applications: ICC/IF, IHC,  IHC-P, WB
NBP1-32858
Species: Hu, Mu
Applications: ICC/IF, IHC,  IHC-P, IP, WB
664-LI
Species: Hu
Applications: BA
AF887
Species: Hu, Mu, Rt
Applications: CyTOF-ready, IHC, ICFlow, Simple Western, WB
NBP1-47924
Species: Ca, Hu, Mu, Rt
Applications: ICC/IF, IHC,  IHC-P, WB
NBP2-16669
Species: Hu, Mu, Rt
Applications: ICC/IF, IHC,  IHC-P, WB
NBP3-12487
Species: Hu, Mu, Rt
Applications: ELISA, IHC,  IHC-P, WB
NBP1-85397
Species: Hu
Applications: IHC,  IHC-P, WB
AF2780
Species: Hu
Applications: ELISA(Cap), ELISA(Det), ELISA(Sta), IHC, WB

Publications for SP17 Antibody (NBP3-27160) (0)

There are no publications for SP17 Antibody (NBP3-27160).
By submitting your publication information earn gift cards and discounts for future purchases.

Reviews for SP17 Antibody (NBP3-27160) (0)

There are no reviews for SP17 Antibody (NBP3-27160). By submitting a review you will receive an Amazon e-Gift Card or Novus Product Discount.
  • Review with no image -- $10/€7/£6/$10 CAD/¥70 Yuan/¥1110 Yen
  • Review with an image -- $25/€18/£15/$25 CAD/¥150 Yuan/¥2500 Yen

Product General Protocols

Find general support by application which include: protocols, troubleshooting, illustrated assays, videos and webinars.

Video Protocols

WB Video Protocol

FAQs for SP17 Antibody (NBP3-27160) (0)

There are no specific FAQs related to this product. Read our general customer & technical service FAQs.

Secondary Antibodies

 

Isotype Controls

Additional SP17 Products

Research Areas for SP17 Antibody (NBP3-27160)

Find related products by research area.

Blogs on SP17

There are no specific blogs for SP17, but you can read our latest blog posts.

Customers Who Bought This Also Bought

Contact Information

Product PDFs

Calculators

Concentration Calculator

The concentration calculator allows you to quickly calculate the volume, mass or concentration of your vial. Simply enter your mass, volume, or concentration values for your reagent and the calculator will determine the rest.

=
÷

Review this Product

Be the first to review our SP17 Antibody (3G9F3) - BSA Free and receive a gift card or discount.

Bioinformatics

Gene Symbol SPA17