SOX11 Antibody (SOX11/7236) - Azide and BSA Free

Images

 
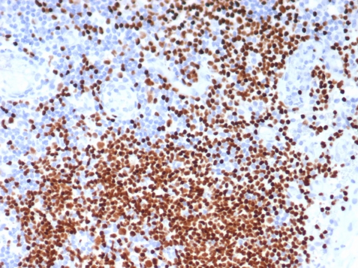
Formalin-fixed, paraffin-embedded human tonsil stained with SOX11 antibody (SOX11/7236). HIER: Tris/EDTA, pH9.0, 45min. Secondary: HRP-polymer, 30min. DAB, 5min.
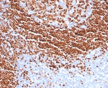
Formalin-fixed, paraffin-embedded human mantle cell lymphoma stained with SOX11 antibody (SOX11/7236). HIER: Tris/EDTA, pH9.0, 45min. Secondary: HRP-polymer, 30min. DAB, 5min.
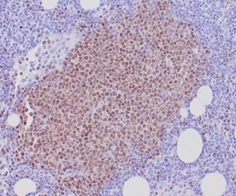
Formalin-fixed, paraffin-embedded human lymph node stained with SOX11 antibody (SOX11/7236). HIER: Tris/EDTA, pH9.0, 45min. Secondary: HRP-polymer, 30min. DAB, 5min.

Product Details

Summary
Reactivity HuSpecies Glossary
Applications IHC
Clone
SOX11/7236
Clonality
Monoclonal
Host
Mouse
Conjugate
Unconjugated
Format
Azide and BSA Free
Concentration
1 mg/ml

Order Details

SOX11 Antibody (SOX11/7236) - Azide and BSA Free Summary

Description
1.0 mg/ml of antibody purified from Bioreactor Concentrate by Protein A/G. Prepared in 10mM PBS WITHOUT BSA & azide. Also available at 200 ug/ml WITH BSA & azide (NBP3-13779).

Antibody with azide - store at 2 to 8C. Antibody without azide - store at -20 to -80 C.
Immunogen
Recombinant fragment (around aa50-200) of human SOX11 protein (exact sequence is proprietary) (Uniprot: P35716 )
Localization
Nucleus
Marker
Mantle Cell Lymphoma Marker
Specificity
Recognizes a protein of ~47kDa, identified as SOX11. This monoclonal antibody is highly specific and does not cross-react with other members of the SOX-family. Mantle cell lymphoma (MCL) accounts for 5% to 10% of mature B-cell neoplasms and is an aggressive disease genetically characterized by overexpression of Cyclin D1. Cyclin D1 overexpression is the hallmark of MCL. However, approximately 5%-10% of MCLs lack Cyclin D1 expression and may be misdiagnosed. Almost all Cyclin D1-positive as well as Cyclin D1-negative MCL, show overexpression of SOX-11. The detection of this transcription factor is a useful biomarker for identifying true cyclin D1-negative MCL.
Isotype
IgG1 Kappa
Clonality
Monoclonal
Host
Mouse
Gene
SOX11
Purity
Protein A or G purified
Innovator's Reward
Test in a species/application not listed above to receive a full credit towards a future purchase.

Applications/Dilutions

Dilutions
  • Immunohistochemistry-Paraffin 1-2 ug/ml
Application Notes
Immunohistochemistry (Formalin-fixed): 1-2ug/ml for 30 minutes at RT. Staining of formalin-fixed tissues requires heating tissue sections in 10mM Tris with 1mM EDTA, pH 9.0, for 45 min at 95C followed by cooling at RT for 20 minutes
Theoretical MW
47 kDa.
Disclaimer note: The observed molecular weight of the protein may vary from the listed predicted molecular weight due to post translational modifications, post translation cleavages, relative charges, and other experimental factors.

Packaging, Storage & Formulations

Storage
Store at -20 to -80C. Avoid freeze-thaw cycles.
Buffer
10mM PBS
Preservative
No Preservative
Concentration
1 mg/ml
Purity
Protein A or G purified

Alternate Names for SOX11 Antibody (SOX11/7236) - Azide and BSA Free

  • SOX11
  • SRY (sex determining region Y)-box 11
  • SRY (sex-determining region Y)-box 11
  • SRY-related HMG-box gene 11
  • transcription factor SOX-11

Background

SOX11 encodes a member of the SOX (SRY-related HMG-box) family of transcription factors involved in the regulation of embryonic development and in the determination of the cell fate. The encoded protein may act as a transcriptional regulator after forming a protein complex with other proteins. The protein may function in the developing nervous system and play a role in tumorigenesis.

Limitations

This product is for research use only and is not approved for use in humans or in clinical diagnosis. Primary Antibodies are guaranteed for 1 year from date of receipt.

Customers Who Viewed This Item Also Viewed...

NBP2-61421
Species: Hu, Mu, Rt
Applications: ICC/IF, IHC,  IHC-P
NBP2-32840
Species: Hu, Pm, Mu, Rt
Applications: Flow, ICC/IF, IHC,  IHC-P, WB
AF2018
Species: Hu, Mu, Rt
Applications: ChIP, ICC, IHC, Simple Western, WB
AF3075
Species: Hu
Applications: ICC, Simple Western, WB
AF2569
Species: Hu
Applications: ICC, WB
NBP3-41295
Species: Hu
Applications: IHC,  IHC-P, WB
AF4070
Species: Hu
Applications: ICC, WB
H00006666-Q01
Species: Hu
Applications: ELISA, AP, PA, PAGE, WB
NBP1-31336
Species: Hu, Mu, Rt
Applications: ICC/IF, IHC,  IHC-P, KD, WB
MAB2806
Species: Hu
Applications: CyTOF-ready, Flow, WB
AF2864
Species: Hu
Applications: ICC, IHC, WB
NB200-103
Species: Hu, Mu, Rt, Xp(-), Ye
Applications: CyTOF-ready, ELISA, Flow-IC, Flow, ICC/IF, IHC, IHC-Fr,  IHC-P, IP, WB
NBP1-36953
Species: Hu
Applications: PEP-ELISA, WB
AF5286
Species: Hu
Applications: WB
NBP1-49872
Species: Mu
Applications: Flow, ICC/IF, IHC, IHC-Fr, PEP-ELISA, WB
AF3538
Species: Hu
Applications: ICC, IHC, WB
NBP1-85816
Species: Fe, Hu, Mu, Rt
Applications: ICC/IF, IHC, IHC-Fr,  IHC-P, KO, WB
NBP3-12898
Species: Hu
Applications: ICC/IF, IHC,  IHC-P, WB
AF3369
Species: Hu, Mu, Rt
Applications: ICC, IHC, Simple Western, WB
NBP3-14182
Species: Hu
Applications: IHC

Publications for SOX11 Antibody (NBP3-14182) (0)

There are no publications for SOX11 Antibody (NBP3-14182).
By submitting your publication information earn gift cards and discounts for future purchases.

Reviews for SOX11 Antibody (NBP3-14182) (0)

There are no reviews for SOX11 Antibody (NBP3-14182). By submitting a review you will receive an Amazon e-Gift Card or Novus Product Discount.
  • Review with no image -- $10/€7/£6/$10 CAD/¥70 Yuan/¥1110 Yen
  • Review with an image -- $25/€18/£15/$25 CAD/¥150 Yuan/¥2500 Yen

Product General Protocols

Find general support by application which include: protocols, troubleshooting, illustrated assays, videos and webinars.

FAQs for SOX11 Antibody (NBP3-14182) (0)

There are no specific FAQs related to this product. Read our general customer & technical service FAQs.

Secondary Antibodies

 

Isotype Controls

Additional SOX11 Products

Blogs on SOX11.

SOX-11 seals your fate
The SOX-11 transcription factor is a member of the SOX family known to be involved in embryonic development regulation and cell fate determination. The protein acts as a transcriptional regulator and appears to modulate fundamental aspects of normal e...  Read full blog post.

Customers Who Bought This Also Bought

Contact Information

Product PDFs

Calculators

Concentration Calculator

The concentration calculator allows you to quickly calculate the volume, mass or concentration of your vial. Simply enter your mass, volume, or concentration values for your reagent and the calculator will determine the rest.

=
÷

Review this Product

Be the first to review our SOX11 Antibody (SOX11/7236) - Azide and BSA Free and receive a gift card or discount.

Bioinformatics

Gene Symbol SOX11