Somatostatin Antibody (CL15076) - Azide and BSA Free

Images

 
Orthogonal Strategies: Analysis in human cerebral cortex and skeletal muscle tissues using NBP3-44173 antibody. Corresponding Somatostatin RNA-seq data are presented for the same tissues.
Staining of human cerebral cortex shows strong cytoplasmic positivity in a subset of neurons and neuronal processes.
Staining of human skeletal muscle shows no positivity in myocytes as expected.
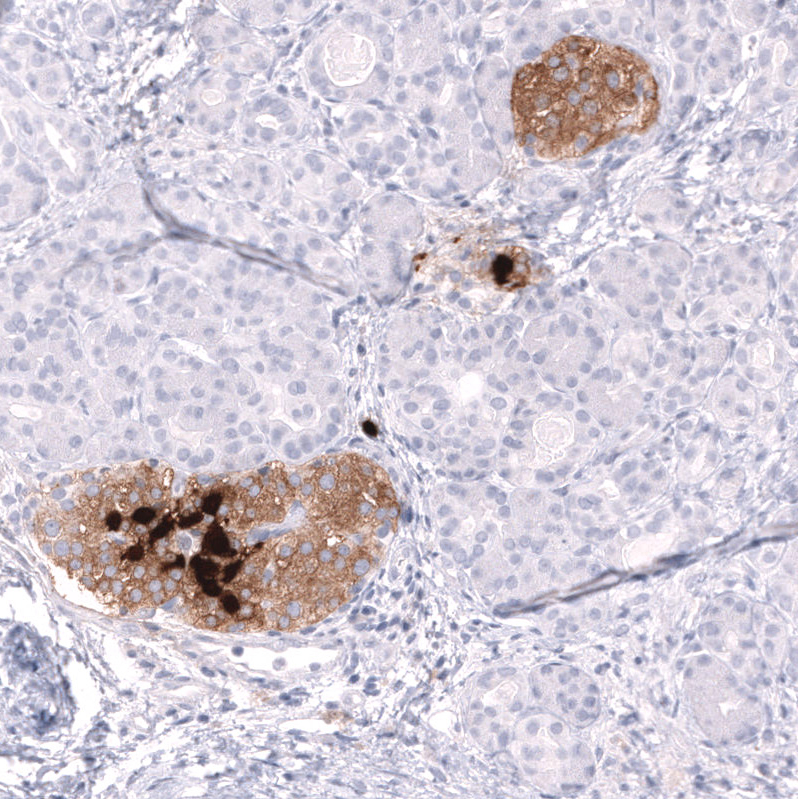
Staining of human pancreas shows moderate to strong cytoplasmic positivity in islets of Langerhans.
Staining of rat cerebral cortex shows strong cytoplasmic positivity in neurons and neuronal processes.
Staining of mouse cerebral cortex shows strong cytoplasmic positivity in a subset of neurons and neuronal processes.

Product Details

Summary
Reactivity Hu, Mu, RtSpecies Glossary
Applications IHC
Clone
CL15076
Clonality
Monoclonal
Host
Mouse
Conjugate
Unconjugated
Format
Azide and BSA Free
Concentration
LYOPH
Validated by:
       

Orthogonal Strategies

 

Order Details

Somatostatin Antibody (CL15076) - Azide and BSA Free Summary

Description
Novus Biologicals Mouse Somatostatin Antibody (CL15076) - Azide and BSA Free (NBP3-43653) is a monoclonal antibody validated for use in IHC. All Novus Biologicals antibodies are covered by our 100% guarantee.
Immunogen
This antibody was generated using a recombinant protein sequence of P61278, with the exact immunogen sequence remaining proprietary.
Isotype
IgG1
Clonality
Monoclonal
Host
Mouse
Gene
SST
Purity
Protein A purified
Innovator's Reward
Test in a species/application not listed above to receive a full credit towards a future purchase.

Applications/Dilutions

Dilutions
  • Immunohistochemistry-Paraffin 1:200-1:500
Application Notes
For IHC-Paraffin, HIER pH 6 retrieval is recommended.

Packaging, Storage & Formulations

Storage
Store at 4C short term. Aliquot and store at -20C long term. Avoid freeze-thaw cycles.
Buffer
Lyophilized from a 0.2 um filtered solution in PBS with Trehalose
Preservative
No Preservative
Concentration
LYOPH
Purity
Protein A purified
Reconstitution Instructions
Centrifuge the vial of lyophilized antibody at 12,000 x g for 20 seconds. Reconstitute by adding sterile, distilled water to achieve a final antibody concentration of 1mg/ml.

Alternate Names for Somatostatin Antibody (CL15076) - Azide and BSA Free

  • Growth hormone release-inhibiting factor
  • SMST
  • SOM
  • Somatostatin
  • somatostatin-14
  • somatostatin-28
  • SRIF
  • SST

Background

The hormone somatostatin has active 14 aa and 28 aa forms that are produced by alternate cleavage of the single preproprotein encoded by this gene. Somatostatin is expressed throughout the body and inhibits the release of numerous secondary hormones by binding to high-affinity G-protein-coupled somatostatin receptors. This hormone is an important regulator of the endocrine system through its interactions with pituitary growth hormone, thyroid stimulating hormone, and most hormones of the gastrointestinal tract. Somatostatin also affects rates of neurotransmission in the central nervous system and proliferation of both normal and tumorigenic cells. (provided by RefSeq)

Limitations

This product is for research use only and is not approved for use in humans or in clinical diagnosis. Primary Antibodies are guaranteed for 1 year from date of receipt.

Customers Who Viewed This Item Also Viewed...

MAB1417
Species: Bv, Hu, Mu
Applications: ICC, IHC
AF1067
Species: Hu, Mu, Rt
Applications: ELISA, IHC, Neut, WB
MAB1249
Species: Hu, Mu
Applications: CyTOF-ready, ICC, ICFlow
AF1067
Species: Hu, Mu, Rt
Applications: ELISA, IHC, Neut, WB
NBP1-90927
Species: Hu
Applications: IHC,  IHC-P, WB
NBP3-04850
Species: Hu, Mu, Rt
Applications: ICC/IF, WB
NBP2-46349
Species: Hu
Applications: IHC,  IHC-P, WB
MAB4375
Species: Hu, Mu, Rt
Applications: IHC
NBP2-62664
Species: Hu
Applications: IHC,  IHC-P
NBP1-46535
Species: Hu, Mu, Rb, Rt, Xp
Applications: ICC/IF, IHC-FrFl, IHC, IHC-Fr,  IHC-P, WB
291-G1
Species: Hu
Applications: BA
NBP3-12223
Species: Hu, Pm, Rt
Applications: ELISA, ICC/IF, IHC,  IHC-P, IP, WB
NB100-1533
Species: Hu, Mu, Po, Rt, Sh
Applications: Flow, ICC/IF, IHC,  IHC-P, PEP-ELISA, WB
NB100-1793
Species: Hu, Pm, Mu, Rt
Applications: Flow, IB, ICC/IF, IHC, IHC-Fr,  IHC-P, PEP-ELISA
NBP2-34014
Species: Hu
Applications: IHC,  IHC-P
NBP3-03282
Species: Hu, Mu, Rt
Applications: ELISA, ICC/IF, IHC,  IHC-P, WB
NBP2-33903
Species: Hu
Applications: IHC,  IHC-P
NB300-157
Species: Hu, Mu, Po, Rt
Applications: EM, Flow, ICC/IF, IHC, IHC-Fr,  IHC-P, IP, WB
AF1445
Species: Mu, Rt
Applications: ELISA(Cap), ELISA(Det), ELISA(Sta), IHC, Neut, Simple Western, WB
NBP3-44173
Species: Hu, Mu, Rt
Applications: IHC

Publications for Somatostatin Antibody (NBP3-44173) (0)

There are no publications for Somatostatin Antibody (NBP3-44173).
By submitting your publication information earn gift cards and discounts for future purchases.

Reviews for Somatostatin Antibody (NBP3-44173) (0)

There are no reviews for Somatostatin Antibody (NBP3-44173). By submitting a review you will receive an Amazon e-Gift Card or Novus Product Discount.
  • Review with no image -- $10/€7/£6/$10 CAD/¥70 Yuan/¥1110 Yen
  • Review with an image -- $25/€18/£15/$25 CAD/¥150 Yuan/¥2500 Yen

Product General Protocols

Find general support by application which include: protocols, troubleshooting, illustrated assays, videos and webinars.

FAQs for Somatostatin Antibody (NBP3-44173) (0)

There are no specific FAQs related to this product. Read our general customer & technical service FAQs.

Secondary Antibodies

 

Isotype Controls

Additional Somatostatin Products

Research Areas for Somatostatin Antibody (NBP3-44173)

Find related products by research area.

Blogs on Somatostatin.

Successful Transplantation of Friedreich Ataxia Induced Pluripotent Stem Cell (iPSC)-Derived Sensory Neurons in Dorsal Root Ganglia of Adult Rodents
Jamshed Arslan, Pharm D, PhD The dorsal root ganglia (DRG) are a collection of cell bodies of sensory nerves carrying sensory information – including nociception, mechanoreception and proprioception – from periphera...  Read full blog post.

Customers Who Bought This Also Bought

Contact Information

Product PDFs

Calculators

Concentration Calculator

The concentration calculator allows you to quickly calculate the volume, mass or concentration of your vial. Simply enter your mass, volume, or concentration values for your reagent and the calculator will determine the rest.

=
÷

Review this Product

Be the first to review our Somatostatin Antibody (CL15076) - Azide and BSA Free and receive a gift card or discount.

Bioinformatics

Gene Symbol SST