SOD2/Mn-SOD Antibody (JJ089-02)

Images

 
Western Blot: SOD2/Mn-SOD Antibody (JJ089-02) [NBP2-67879] - Analysis of SOD2 on different lysates. Proteins were transferred to a PVDF membrane and blocked with 5% BSA in PBS for 1 hour at room temperature. The primary ...read more
Immunohistochemistry-Paraffin: SOD2/Mn-SOD Antibody (JJ089-02) [NBP2-67879] - Analysis of paraffin-embedded mouse liver tissue using anti-SOD2 antibody. Counter stained with hematoxylin.
Immunohistochemistry-Paraffin: SOD2/Mn-SOD Antibody (JJ089-02) [NBP2-67879] - Analysis of paraffin-embedded human kidney tissue using anti-SOD2 antibody. Counter stained with hematoxylin.
Immunohistochemistry-Paraffin: SOD2/Mn-SOD Antibody (JJ089-02) [NBP2-67879] - Analysis of paraffin-embedded human liver tissue using anti-SOD2 antibody. Counter stained with hematoxylin.
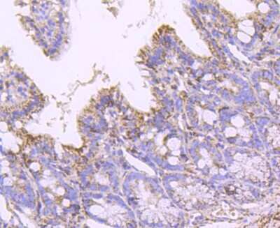
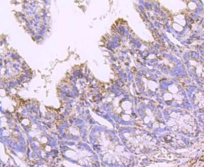
Immunohistochemistry-Paraffin: SOD2/Mn-SOD Antibody (JJ089-02) [NBP2-67879] - Analysis of paraffin-embedded mouse colon tissue using anti-SOD2 antibody. Counter stained with hematoxylin.
Immunohistochemistry-Paraffin: SOD2/Mn-SOD Antibody (JJ089-02) [NBP2-67879] - Analysis of paraffin-embedded mouse heart tissue using anti-SOD2 antibody. Counter stained with hematoxylin.

Product Details

Summary
Product Discontinued
View other related SOD2/Mn-SOD Primary Antibodies

Order Details


    • Catalog Number
      NBP2-67879
    • Availability
      Product Discontinued

    Can't find what you are looking for? Use our Antibody Concierge Service & we will help you locate your antibody!

    Or feel free to contact us for alternative products.

SOD2/Mn-SOD Antibody (JJ089-02) Summary

Additional Information
Recombinant Monoclonal Antibody.
Immunogen
Synthetic peptide within Human SOD2/Mn-SOD aa 1-50 / 222. (SwissProt: P04179 Human; SwissProt: P09671 Mouse; SwissProt: P07895 Rat)
Localization
Mitochondrion matrix.
Isotype
IgG
Clonality
Monoclonal
Host
Rabbit
Gene
SOD2
Purity
Protein A purified
Innovator's Reward
Test in a species/application not listed above to receive a full credit towards a future purchase.

Applications/Dilutions

Dilutions
  • Immunohistochemistry
  • Immunohistochemistry-Paraffin 1:50-1:200
  • Western Blot 1:1000-1:2000

Packaging, Storage & Formulations

Storage
Store at 4C short term. Aliquot and store at -20C long term. Avoid freeze-thaw cycles.
Buffer
TBS (pH7.4), 0.05% BSA, 40% Glycerol
Preservative
0.05% Sodium Azide
Concentration
1 mg/ml
Purity
Protein A purified

Alternate Names for SOD2/Mn-SOD Antibody (JJ089-02)

  • EC 1.15.1.1
  • indophenoloxidase B
  • IPOB
  • IPO-B
  • manganese-containing superoxide dismutase
  • mangano-superoxide dismutase
  • Mn SOD
  • Mn superoxide dismutase
  • MnSOD
  • MVCD6
  • SOD, Mitochodrial
  • SOD2
  • superoxide dismutase [Mn], mitochondrial
  • superoxide dismutase 2, mitochondrial

Background

Superoxide dismutase (SOD) is responsible for the elimination of cytotoxic active oxygen by catalyzing the dismutation of the superoxide radical to oxygen and hydrogen peroxide (1, 2, 3). There are three SOD isoenzymes in mammalian cells. They are: extracellular SOD (EC SOD), copper and zinc-containing SOD (CuZn SOD) and manganese-containing SOD (Mn SOD, SOD-2). The CuZn form contains Cu and Zn ions and exists as a 32 kDa dimer in the cytosol. Mn SOD is an 80 kDa tetramer that contains Mn ion and resides in the mitochondrial matrix. Mn SOD is a tumor necrosis factor (TNF)-inducible enzyme that protects cells from NFmediated apoptosis (4) via superoxide anion detoxification and the subsequent regulation of apoptosis through cytochrome c release and the modulation of the redox state of the mitochondria (6). Mn SOD has also been shown to be a tumor suppressor in human breast cancer (7). Overexpression of this enzyme protects neurons from NMDAand nitric oxide-induced neurotoxicity.

Limitations

This product is for research use only and is not approved for use in humans or in clinical diagnosis. Primary Antibodies are guaranteed for 1 year from date of receipt.

Customers Who Viewed This Item Also Viewed...

NBP2-24915
Species: Bv, Hu, Mu, Rt
Applications: IHC,  IHC-P, WB
AF3398
Species: Hu, Mu, Rt
Applications: ICC, KO, Simple Western, WB
NBP1-86616
Species: Hu
Applications: IHC,  IHC-P, WB
NBP2-58917
Species: Hu
Applications: IHC,  IHC-P, WB
NBP2-16684
Species: Hu, Mu, Rt
Applications: EM, IHC,  IHC-P, WB
NB100-56583
Species: Hu, Rb, Rt
Applications: Flow, IHC,  IHC-P, KO, Simple Western, WB
NB300-605
Species: Hu, Mu, Po, Rt
Applications: Flow, IB, ICC/IF, IHC, IHC-Fr,  IHC-P, In vitro, WB
AF3798
Species: Hu, Mu, Rt
Applications: IHC, KO, Simple Western, WB
NB200-103
Species: Hu, Mu, Rt, Xp(-), Ye
Applications: CyTOF-ready, ELISA, Flow-IC, Flow, ICC/IF, IHC, IHC-Fr,  IHC-P, IP, WB
NBP2-67471
Species: Hu, Mu, Rt
Applications: ICC/IF, IHC,  IHC-P, WB
M6000B
Species: Mu
Applications: ELISA
NB100-56098
Species: Ca, Hu, Mu, Rt
Applications: IHC,  IHC-P, IP, WB
NB100-56503
Species: Dr, Hu, Mu, Rb, Rt
Applications: Flow-CS, Flow-IC, Flow, IB, ICC/IF, IHC,  IHC-P, Simple Western, WB
NBP2-45626
Species: Hu
Applications: ICC/IF, IHC,  IHC-P, WB
NB300-500
Species: Am, Bv, Ca, Dr, Hu, Mu, Po, Rt, Sh
Applications: IHC, IHC-Fr,  IHC-P, WB
NBP2-67879
Species: Hu, Mu, Rt
Applications: WB, IHC

Publications for SOD2/Mn-SOD Antibody (NBP2-67879) (0)

There are no publications for SOD2/Mn-SOD Antibody (NBP2-67879).
By submitting your publication information earn gift cards and discounts for future purchases.

Reviews for SOD2/Mn-SOD Antibody (NBP2-67879) (0)

There are no reviews for SOD2/Mn-SOD Antibody (NBP2-67879). By submitting a review you will receive an Amazon e-Gift Card or Novus Product Discount.
  • Review with no image -- $10/€7/£6/$10 CAD/¥70 Yuan/¥1110 Yen
  • Review with an image -- $25/€18/£15/$25 CAD/¥150 Yuan/¥2500 Yen

Product General Protocols

Find general support by application which include: protocols, troubleshooting, illustrated assays, videos and webinars.

Video Protocols

WB Video Protocol

FAQs for SOD2/Mn-SOD Antibody (NBP2-67879) (0)

There are no specific FAQs related to this product. Read our general customer & technical service FAQs.

Secondary Antibodies

 

Isotype Controls

Additional SOD2/Mn-SOD Products

Research Areas for SOD2/Mn-SOD Antibody (NBP2-67879)

Find related products by research area.

Blogs on SOD2/Mn-SOD

There are no specific blogs for SOD2/Mn-SOD, but you can read our latest blog posts.

Contact Information

Product PDFs

Calculators

Concentration Calculator

The concentration calculator allows you to quickly calculate the volume, mass or concentration of your vial. Simply enter your mass, volume, or concentration values for your reagent and the calculator will determine the rest.

=
÷

Review this Product

Be the first to review our SOD2/Mn-SOD Antibody (JJ089-02) and receive a gift card or discount.

Bioinformatics

Gene Symbol SOD2