SNRPD3 Antibody - BSA Free

Images

 
Genetic Strategies: Western Blot: SNRPD3 Antibody [NBP1-80735] - Analysis in HEK293 cells transfected with control siRNA, target specific siRNA probe #1 and #2, using anti-SNRPD3 antibody. Remaining relative ...read more
Immunocytochemistry/ Immunofluorescence: SNRPD3 Antibody [NBP1-80735] - Staining of human cell line U-2 OS shows localization to nucleoplasm & nuclear bodies.
Immunohistochemistry-Paraffin: SNRPD3 Antibody [NBP1-80735] - Immunohistochemical staining of human small intestine shows moderate to strong nuclear positivity in glandular cells.
Western Blot: SNRPD3 Antibody [NBP1-80735] - Analysis in mouse cell line NIH-3T3 and rat cell line NBT-II.
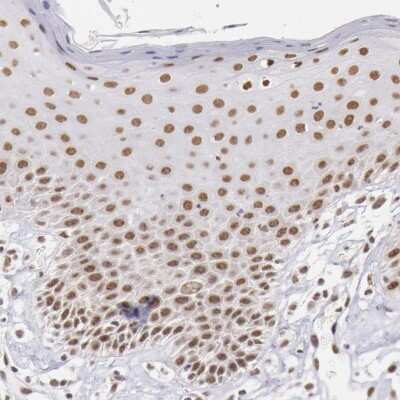
Immunohistochemistry-Paraffin: SNRPD3 Antibody [NBP1-80735] - Immunohistochemical staining of human skin shows moderate to strong nuclear positivity in squamous epithelial cells.
Immunohistochemistry-Paraffin: SNRPD3 Antibody [NBP1-80735] - Immunohistochemical staining of human prostate shows moderate nuclear positivity in glandular cells.
Immunohistochemistry-Paraffin: SNRPD3 Antibody [NBP1-80735] - Immunohistochemical staining of human cerebral cortex shows moderate nuclear positivity in neuronal cells.

Product Details

Summary
Reactivity Hu, Mu, RtSpecies Glossary
Applications WB, ICC/IF, IHC, Mycoplasma
Clonality
Polyclonal
Host
Rabbit
Conjugate
Unconjugated
Format
BSA Free
Validated by:
     

Genetic Strategies

   

Order Details

View Available Formulations
Catalog# & Formulation Size Price

SNRPD3 Antibody - BSA Free Summary

Description
Novus Biologicals Rabbit SNRPD3 Antibody - BSA Free (NBP1-80735) is a polyclonal antibody validated for use in IHC, WB and ICC/IF. Anti-SNRPD3 Antibody: Cited in 4 publications. All Novus Biologicals antibodies are covered by our 100% guarantee.
Immunogen
This antibody was developed against Recombinant Protein corresponding to amino acids: KVLHEAEGHIVTCETNTGEVYRGKLIEAEDNMNCQMSNITVTYRDGRVAQLEQVYIRGSKIRFLILPDMLKNAPMLKSMKNKNQGSGAGRGKAAILKAQVAARGRGRGMGRGNI
Isotype
IgG
Clonality
Polyclonal
Host
Rabbit
Gene
SNRPD3
Purity
Affinity purified
Innovator's Reward
Test in a species/application not listed above to receive a full credit towards a future purchase.

Applications/Dilutions

Dilutions
  • Immunocytochemistry/ Immunofluorescence 0.25-2 ug/ml
  • Immunohistochemistry 1:200 - 1:500
  • Immunohistochemistry-Paraffin 1:200 - 1:500
  • Knockdown Validated
  • Western Blot 0.04-0.4 ug/ml
Application Notes
For IHC-Paraffin, HIER pH 6 retrieval is recommended. ICC/IF Fixation Permeabilization: PFA/Triton X-100
Control Peptide
SNRPD3 Protein (NBP1-80735PEP)
Publications
Read Publications using
NBP1-80735 in the following applications:

Packaging, Storage & Formulations

Storage
Store at 4C short term. Aliquot and store at -20C long term. Avoid freeze-thaw cycles.
Buffer
PBS (pH 7.2) and 40% Glycerol
Preservative
0.02% Sodium Azide
Purity
Affinity purified

Alternate Names for SNRPD3 Antibody - BSA Free

  • small nuclear ribonucleoprotein D3 polypeptide 18kDa
  • small nuclear ribonucleoprotein Sm D3
  • snRNP core protein D3

Limitations

This product is for research use only and is not approved for use in humans or in clinical diagnosis. Primary Antibodies are guaranteed for 1 year from date of receipt.

Customers Who Viewed This Item Also Viewed...

NBP2-36427
Species: Hu
Applications: IHC,  IHC-P, WB
NBP2-20438
Species: Hu, Mu
Applications: ICC/IF, IHC,  IHC-P, WB
NBP1-83280
Species: Hu, Mu, Rt
Applications: IHC,  IHC-P, KD, WB
NB100-1936
Species: Hu, Mu, Pm, Rt, Xp, Ze
Applications: ELISA, Flow, ICC/IF, IHC,  IHC-P, IP, WB
H00006607-M01
Species: Hu
Applications: ELISA, ICC/IF, IHC,  IHC-P, WB
NBP1-76798
Species: Hu, Mu, Rt
Applications: ELISA, ICC/IF, IHC,  IHC-P, KO, WB
NBP1-32174
Species: Dr, Hu
Applications: ICC/IF, WB
NBP2-52454
Species: Hu, Rt
Applications: CyTOF-ready, ELISA, Flow, ICC/IF, WB
NBP2-45394
Species: Hu, Mu, Rt
Applications: IHC,  IHC-P
NBP1-05767
Species: Ha, Hu, Mu, Rb, Rt
Applications: Flow, ICC/IF, IHC, IHC-Fr,  IHC-P, WB
NBP2-43792
Species: Hu, Mu
Applications: ICC/IF, IHC,  IHC-P, WB
NBP2-57100
Species: Hu
Applications: ICC/IF
NBP3-48776
Species: Hu, Mu, Rt
Applications: ICC/IF, IHC,  IHC-P, WB
NBP2-45831
Species: Hu, Mu, Rt
Applications: IHC,  IHC-P, WB
NBP1-88927
Species: Hu, Mu
Applications: ICC/IF, IHC,  IHC-P, WB
NBP1-92553
Species: Hu
Applications: ICC/IF, IHC,  IHC-P, KD, WB
NBP3-38160
Species: Hu, Mu, Rt
Applications: ELISA, ICC/IF, IHC,  IHC-P, IP, WB
NBP1-47302
Species: Hu, Mu
Applications: IP, WB
NBP2-19939
Species: Hu, Mu
Applications: ChIP, ICC/IF, IHC,  IHC-P, IP, WB
NBP1-80735
Species: Hu, Mu, Rt
Applications: WB, ICC/IF, IHC, Mycoplasma

Publications for SNRPD3 Antibody (NBP1-80735)(4)

Reviews for SNRPD3 Antibody (NBP1-80735) (0)

There are no reviews for SNRPD3 Antibody (NBP1-80735). By submitting a review you will receive an Amazon e-Gift Card or Novus Product Discount.
  • Review with no image -- $10/€7/£6/$10 CAD/¥70 Yuan/¥1110 Yen
  • Review with an image -- $25/€18/£15/$25 CAD/¥150 Yuan/¥2500 Yen

Product General Protocols

Find general support by application which include: protocols, troubleshooting, illustrated assays, videos and webinars.

Video Protocols

WB Video Protocol
ICC/IF Video Protocol

FAQs for SNRPD3 Antibody (NBP1-80735) (0)

There are no specific FAQs related to this product. Read our general customer & technical service FAQs.

Secondary Antibodies

 

Isotype Controls

Additional SNRPD3 Products

Research Areas for SNRPD3 Antibody (NBP1-80735)

Find related products by research area.

Blogs on SNRPD3

There are no specific blogs for SNRPD3, but you can read our latest blog posts.

Customers Who Bought This Also Bought

Contact Information

Product PDFs

Calculators

Concentration Calculator

The concentration calculator allows you to quickly calculate the volume, mass or concentration of your vial. Simply enter your mass, volume, or concentration values for your reagent and the calculator will determine the rest.

=
÷

Review this Product

Be the first to review our SNRPD3 Antibody - BSA Free and receive a gift card or discount.

Bioinformatics

Gene Symbol SNRPD3
Entrez
Uniprot