SNRPE Antibody

Images

 
Western Blot: SNRPE Antibody [NBP2-43792] - Various whole cell extracts (30 ug) were separated by 15% SDS-PAGE, and the membrane was blotted with SNRPE antibody diluted at 1:5000. The HRP-conjugated anti-rabbit IgG ...read more
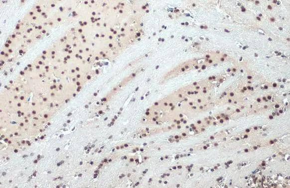
SNRPE antibody detects SNRPE protein at nucleus by immunohistochemical analysis.Sample: Paraffin-embedded mouse brain.SNRPE stained by SNRPE antibody (NBP2-43792) diluted at 1:500.Antigen Retrieval: Citrate buffer, pH ...read more
SNRPE antibody detects SNRPE protein at nucleus by immunohistochemical analysis.Sample: Paraffin-embedded mouse brain.SNRPE stained by SNRPE antibody (NBP2-43792) diluted at 1:500.Antigen Retrieval: Citrate buffer, pH ...read more

Product Details

Summary
Reactivity Hu, Mu, Rt, Po, Bv, Ch, RMSpecies Glossary
Applications WB, ICC/IF, IHC
Clonality
Polyclonal
Host
Rabbit
Conjugate
Unconjugated

Order Details

SNRPE Antibody Summary

Description
Novus Biologicals Rabbit SNRPE Antibody (NBP2-43792) is a polyclonal antibody validated for use in IHC, WB and ICC/IF. Anti-SNRPE Antibody: Cited in 2 publications. All Novus Biologicals antibodies are covered by our 100% guarantee.
Immunogen
Carrier-protein conjugated synthetic peptide encompassing a sequence within the center region of human SNRPE. The exact sequence is proprietary.
Predicted Species
Rat (100%), Porcine (100%), Bovine (100%), Rhesus Macaque (100%), Chicken (100%). Backed by our 100% Guarantee.
Isotype
IgG
Clonality
Polyclonal
Host
Rabbit
Gene
SNRPE
Purity
Antigen Affinity-purified
Innovator's Reward
Test in a species/application not listed above to receive a full credit towards a future purchase.

Applications/Dilutions

Dilutions
  • Immunocytochemistry/ Immunofluorescence Reported in scientific literature (PMID:34096600)
  • Immunohistochemistry Assay dependent
  • Immunohistochemistry-Paraffin Assay dependent
  • Western Blot 1:500-1:3000
Theoretical MW
11 kDa.
Disclaimer note: The observed molecular weight of the protein may vary from the listed predicted molecular weight due to post translational modifications, post translation cleavages, relative charges, and other experimental factors.
Publications
Read Publications using
NBP2-43792 in the following applications:

  • 2 publications
  • WB
    2 publications

Packaging, Storage & Formulations

Storage
Aliquot and store at -20C or -80C. Avoid freeze-thaw cycles.
Buffer
PBS, 1% BSA, 20% Glycerol
Preservative
0.025% Proclin 300
Purity
Antigen Affinity-purified

Alternate Names for SNRPE Antibody

  • B-raf
  • Sm protein E
  • small nuclear ribonucleoprotein E
  • small nuclear ribonucleoprotein polypeptide E
  • SmE
  • Sm-ESME
  • snRNP-E

Background

Appears to function in the U7 snRNP complex that is involved in histone 3'-end processing. Associated with snRNP U1, U2, U4/U6 and U5

Limitations

This product is for research use only and is not approved for use in humans or in clinical diagnosis. Primary Antibodies are guaranteed for 1 year from date of receipt.

Customers Who Viewed This Item Also Viewed...

MAB4540
Species: Hu, Mu, Rt
Applications: IHC, Simple Western, WB
AF1230
Species: Hu, Mu, Rt
Applications: IHC, KO, WB
NBP1-82956
Species: Hu
Applications: ICC/IF, IHC,  IHC-P, WB
AF467
Species: Hu, Mu
Applications: CyTOF-ready, Flow, ICC, IHC, Simple Western, WB
NBP1-47668
Species: Hu, Pm, Mu, Rt
Applications: Flow, ICC/IF, IHC,  IHC-P, IP, WB
NBP2-22203
Species: Hu, Pm, Mu, Rt
Applications: ELISA, Flow, ICC/IF, IHC,  IHC-P, WB
NBP1-47833
Species: Hu, Mu, Rt
Applications: ICC/IF, IHC,  IHC-P, WB
NBP2-42864
Species: Hu, Mu, Rt
Applications: ICC/IF, IHC,  IHC-P, IP, WB
NBP2-13304
Species: Hu
Applications: ICC/IF, IHC,  IHC-P, WB
AF887
Species: Hu, Mu, Rt
Applications: CyTOF-ready, IHC, ICFlow, Simple Western, WB
NBP2-46538
Species: Hu, Mu, Rt
Applications: IHC,  IHC-P, WB
AF231
Species: Hu
Applications: CyTOF-ready, Dual ISH-IHC, ELISA(Cap), ELISA(Det), ELISA(Sta), Flow, ICC, IHC, IP, Simple Western, WB
AF3767
Species: Hu, Mu, Rt
Applications: IHC, WB
NB100-292
Species: Hu
Applications: ICC/IF, IHC,  IHC-P, IP, WB
NBP1-49938
Species: Hu, Mu
Applications: IHC,  IHC-P, IP, WB
236-EG
Species: Hu
Applications: BA
AF1347
Species: Hu, Mu, Rt
Applications: ICC, IHC, Simple Western, WB
NBP2-43792
Species: Hu, Mu, Rt, Po, Bv, Ch, RM
Applications: WB, ICC/IF, IHC

Publications for SNRPE Antibody (NBP2-43792)(2)

We have publications tested in 1 confirmed species: Human.

We have publications tested in 2 applications: ICC/IF, WB.


Filter By Application
ICC/IF
(2)
WB
(2)
All Applications
Filter By Species
Human
(2)
All Species

Reviews for SNRPE Antibody (NBP2-43792) (0)

There are no reviews for SNRPE Antibody (NBP2-43792). By submitting a review you will receive an Amazon e-Gift Card or Novus Product Discount.
  • Review with no image -- $10/€7/£6/$10 CAD/¥70 Yuan/¥1110 Yen
  • Review with an image -- $25/€18/£15/$25 CAD/¥150 Yuan/¥2500 Yen

Product General Protocols

Find general support by application which include: protocols, troubleshooting, illustrated assays, videos and webinars.

Video Protocols

WB Video Protocol
ICC/IF Video Protocol

FAQs for SNRPE Antibody (NBP2-43792) (0)

There are no specific FAQs related to this product. Read our general customer & technical service FAQs.

Customers Who Bought This Also Bought

Contact Information

Product PDFs

Calculators

Concentration Calculator

The concentration calculator allows you to quickly calculate the volume, mass or concentration of your vial. Simply enter your mass, volume, or concentration values for your reagent and the calculator will determine the rest.

=
÷

Review this Product

Be the first to review our SNRPE Antibody and receive a gift card or discount.

Bioinformatics

Gene Symbol SNRPE