Filter ResultsClear All
clearclear

Protein/Target

clearclearclear

Citation

clearclear

Host

clearclear

Format

clear

Modification

clear

Clonality

clearclearclear

Has Sample Size

clear

Promotional Item

Sort By:
page of 1

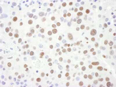
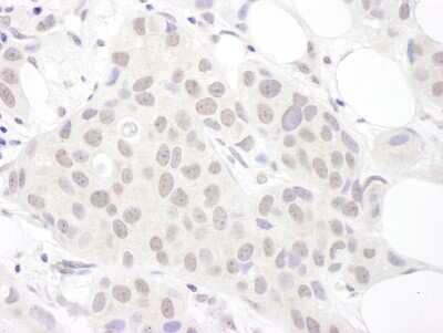
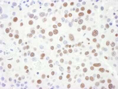
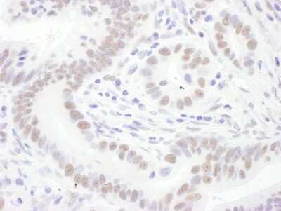
SNRPD3 Antibodies

We offer SNRPD3 Antibodies for use in common research applications: Immunocytochemistry/Immunofluorescence, Immunohistochemistry, Immunohistochemistry-Paraffin, Immunoprecipitation, Western Blot. Each SNRPD3 Antibody is fully covered by our Guarantee+, to give you complete peace of mind and the support when you need it. Our SNRPD3 Antibodies can be used in a variety of model species: Human, Mouse, Rat. Use the list below to choose the SNRPD3 Antibody which is most appropriate for your research; you can click on each one to view full technical details, images, references, reviews and related products. Choose from our SNRPD3 polyclonal antibodies.
Alternate Names for SNRPD3 Antibodies
anti-SNRPD3 antibody, anti-small nuclear ribonucleoprotein D3 polypeptide 18kDa antibody, anti-small nuclear ribonucleoprotein Sm D3 antibody, anti-snRNP core protein D3 antibody
5 Results for "snrpd3" in Primary Antibodies
Hu, Mu, Rt
Species Glossary
Reactivity: Hu, Mu, Rt
WB, ICC/IF, IHC, Mycoplasma
Applications: WB, ICC/IF, IHC, Mycoplasma
Rabbit Polyclonal
Host: Rabbit Polyclonal
Sample Size Available
Sizes: Sample Size Available
Unconjugated  
         
Validated by:          
Available Formulations
Formulation Catalog # Availability Price  
compare
(select up to 3 products from this page to compare)
Hu, Mu, Xp
Species Glossary
Reactivity: Hu, Mu, Xp
WB, IHC, IP
Applications: WB, IHC, IP
Rabbit Polyclonal
Host: Rabbit Polyclonal
Unconjugated  
Available Conjugates:
         
Validated by:          
compare
(select up to 3 products from this page to compare)
100 ul
Hu
Species Glossary
Reactivity: Hu
WB, IHC, IP (-)
Applications: WB, IHC, IP (-)
Rabbit Polyclonal
Host: Rabbit Polyclonal
Unconjugated  
Available Conjugates:
         
Validated by:          
compare
(select up to 3 products from this page to compare)
100 ul
Hu
Species Glossary
Reactivity: Hu
WB
Applications: WB
Rabbit Polyclonal
Host: Rabbit Polyclonal
Unconjugated  
compare
(select up to 3 products from this page to compare)
100 ul
Hu
Species Glossary
Reactivity: Hu
WB
Applications: WB
Rabbit Polyclonal
Host: Rabbit Polyclonal
Unconjugated  
compare
(select up to 3 products from this page to compare)
page of 1