SNRPD2 Antibody

Images

 
Western Blot: SNRPD2 Antibody [NBP2-20438] - Sample (30 ug of whole cell lysate) A: A549 15% SDS PAGE gel, diluted at 1:1000.
Immunohistochemistry-Paraffin: SNRPD2 Antibody [NBP2-20438] - Immunohistochemical analysis of paraffin-embedded Colon ca, using antibody at 1:250 dilution.
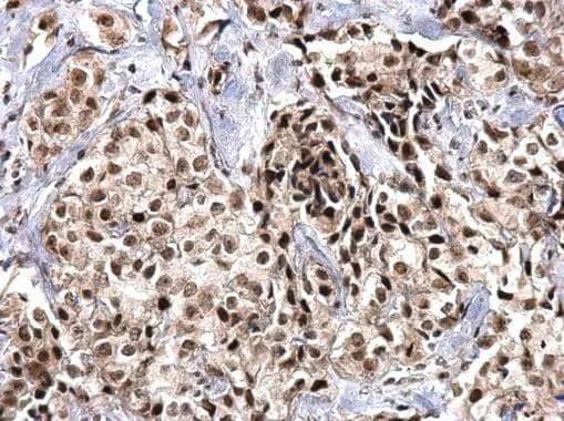
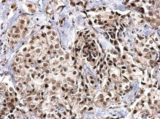
Immunohistochemistry-Paraffin: SNRPD2 Antibody [NBP2-20438] - Paraffin-embedded human ovarian carcinoma. SNRPD2 antibody dilution: 1:500.
SNRPD2 antibody detects SNRPD2 protein at nucleus on mouse fore brain by immunohistochemical analysis. Sample: Paraffin-embedded mouse fore brain. SNRPD2 antibody (NBP2-20438) dilution: 1:500.Antigen Retrieval: ...read more
SNRPD2 antibody detects SNRPD2 protein at nucleus on human breast carcinoma by immunohistochemical analysis. Sample: Paraffin-embedded human breast carcinoma. SNRPD2 antibody (NBP2-20438) dilution: 1:500.Antigen ...read more
SNRPD2 antibody detects SNRPD2 protein at nucleus on mouse duodenum by immunohistochemical analysis. Sample: Paraffin-embedded mouse duodenum. SNRPD2 antibody (NBP2-20438) dilution: 1:500.Antigen Retrieval: Trilogy(TM) ...read more
SNRPD2 antibody detects SNRPD2 protein at nucleus by immunofluorescent analysis. Sample: HCT116 cells were fixed in 4% paraformaldehyde/PBS for 15 min.Green: SNRPD2 protein stained by SNRPD2 antibody (NBP2-20438) ...read more

Product Details

Summary
Reactivity Hu, Mu, Rt, Po, Bv, Ca, RM, Xp, ZeSpecies Glossary
Applications WB, ICC/IF, IHC
Clonality
Polyclonal
Host
Rabbit
Conjugate
Unconjugated

Order Details

SNRPD2 Antibody Summary

Description
Novus Biologicals Rabbit SNRPD2 Antibody (NBP2-20438) is a polyclonal antibody validated for use in IHC, WB and ICC/IF. All Novus Biologicals antibodies are covered by our 100% guarantee.
Immunogen
Recombinant protein encompassing a sequence within the center region of human SNRPD2. The exact sequence is proprietary.
Localization
Nucleus
Predicted Species
Rat (100%), Porcine (100%), Bovine (100%), Zebrafish (100%), Rhesus Macaque (100%), Canine (100%), Xenopus (98%). Backed by our 100% Guarantee.
Isotype
IgG
Clonality
Polyclonal
Host
Rabbit
Gene
SNRPD2
Purity
Antigen Affinity-purified
Innovator's Reward
Test in a species/application not listed above to receive a full credit towards a future purchase.

Applications/Dilutions

Dilutions
  • Immunocytochemistry/ Immunofluorescence 1:100-1:2000
  • Immunohistochemistry 1:100-1:1000
  • Immunohistochemistry-Paraffin 1:100-1:1000
  • Western Blot 1:500-1:3000
Theoretical MW
14 kDa.
Disclaimer note: The observed molecular weight of the protein may vary from the listed predicted molecular weight due to post translational modifications, post translation cleavages, relative charges, and other experimental factors.

Reactivity Notes

Xenopus laevis (98%).

Packaging, Storage & Formulations

Storage
Aliquot and store at -20C or -80C. Avoid freeze-thaw cycles.
Buffer
PBS, 1% BSA, 20% Glycerol
Preservative
0.01% Thimerosal
Purity
Antigen Affinity-purified

Alternate Names for SNRPD2 Antibody

  • small nuclear ribonucleoprotein D2 polypeptide (16.5kD)
  • small nuclear ribonucleoprotein D2 polypeptide 16.5kDa
  • small nuclear ribonucleoprotein Sm D2
  • Sm-D2SMD2
  • snRNP core protein D2
  • SNRPD1

Background

The protein encoded by this gene belongs to the small nuclear ribonucleoprotein core protein family. It is required for pre-mRNA splicing and small nuclear ribonucleoprotein biogenesis. Alternative splicing occurs at this locus and two transcript variants encoding the same protein have been identified. [provided by RefSeq]

Limitations

This product is for research use only and is not approved for use in humans or in clinical diagnosis. Primary Antibodies are guaranteed for 1 year from date of receipt.

Customers Who Viewed This Item Also Viewed...

NBP1-83280
Species: Hu, Mu, Rt
Applications: IHC,  IHC-P, KD, WB
NBP1-32174
Species: Dr, Hu
Applications: ICC/IF, WB
NBP1-80735
Species: Hu, Mu, Rt
Applications: ICC/IF, IHC,  IHC-P, KD, WB
NBP2-52454
Species: Hu, Rt
Applications: CyTOF-ready, ELISA, Flow, ICC/IF, WB
NBP1-88927
Species: Hu, Mu
Applications: ICC/IF, IHC,  IHC-P, WB
NBP2-43792
Species: Hu, Mu
Applications: ICC/IF, IHC,  IHC-P, WB
NB100-1936
Species: Hu, Mu, Pm, Rt, Xp, Ze
Applications: ELISA, Flow, ICC/IF, IHC,  IHC-P, IP, WB
H00006607-M01
Species: Hu
Applications: ELISA, ICC/IF, IHC,  IHC-P, WB
NBP1-76798
Species: Hu, Mu, Rt
Applications: ELISA, ICC/IF, IHC,  IHC-P, KO, WB
NBP1-89396
Species: Hu
Applications: ICC/IF, IHC,  IHC-P, WB
NBP1-05767
Species: Ha, Hu, Mu, Rb, Rt
Applications: Flow, ICC/IF, IHC, IHC-Fr,  IHC-P, WB
202-IL
Species: Hu
Applications: BA
NBP2-45831
Species: Hu, Mu, Rt
Applications: IHC,  IHC-P, WB
NBP1-00178
Species: Hu, Mu, Sh
Applications: Flow, ICC/IF, IHC, IHC-Fr, PEP-ELISA, WB
NBP3-48776
Species: Hu, Mu, Rt
Applications: ICC/IF, IHC,  IHC-P, WB
AF1916
Species: Hu
Applications: ICC, IHC, WB
DY417
Species: Mu
Applications: ELISA
H00728695-B01P
Species: Hu
Applications: ICC/IF, IP, WB
⚠ WARNING: This product can expose you to chemicals including mercury, which is known to the State of California to cause reproductive toxicity with developmental effects.  For more information go to www.P65Warnings.ca.gov.

Publications for SNRPD2 Antibody (NBP2-20438) (0)

There are no publications for SNRPD2 Antibody (NBP2-20438).
By submitting your publication information earn gift cards and discounts for future purchases.

Reviews for SNRPD2 Antibody (NBP2-20438) (0)

There are no reviews for SNRPD2 Antibody (NBP2-20438). By submitting a review you will receive an Amazon e-Gift Card or Novus Product Discount.
  • Review with no image -- $10/€7/£6/$10 CAD/¥70 Yuan/¥1110 Yen
  • Review with an image -- $25/€18/£15/$25 CAD/¥150 Yuan/¥2500 Yen

Product General Protocols

Find general support by application which include: protocols, troubleshooting, illustrated assays, videos and webinars.

Video Protocols

WB Video Protocol
ICC/IF Video Protocol

FAQs for SNRPD2 Antibody (NBP2-20438) (0)

There are no specific FAQs related to this product. Read our general customer & technical service FAQs.

Secondary Antibodies

 

Isotype Controls

Additional SNRPD2 Products

Research Areas for SNRPD2 Antibody (NBP2-20438)

Find related products by research area.

Blogs on SNRPD2

There are no specific blogs for SNRPD2, but you can read our latest blog posts.

Customers Who Bought This Also Bought

Contact Information

Product PDFs

Calculators

Concentration Calculator

The concentration calculator allows you to quickly calculate the volume, mass or concentration of your vial. Simply enter your mass, volume, or concentration values for your reagent and the calculator will determine the rest.

=
÷

Review this Product

Be the first to review our SNRPD2 Antibody and receive a gift card or discount.

Bioinformatics

Gene Symbol SNRPD2
Uniprot