SMYD3 Antibody (JM73-63)

Images

 
Western Blot: SMYD3 Antibody (JM73-63) [NBP2-75668] - Analysis of SMYD3 on different cell/tissue lysate using anti-Profilin 1 antibody at 1/1,000 dilution.Positive control:Lane1: Rat kidney Lane2: PC-12Lane3: Hela ...read more
Immunocytochemistry/ Immunofluorescence: SMYD3 Antibody (JM73-63) [NBP2-75668] - Staining SMYD3 in LOVO cells (green). The nuclear counter stain is DAPI (blue). Cells were fixed in paraformaldehyde, permeabilised with ...read more
Immunohistochemistry-Paraffin: SMYD3 Antibody (JM73-63) [NBP2-75668] - Analysis of paraffin-embedded mouse stomach tissue using anti-SMYD3 antibody. Counter stained with hematoxylin.
Flow Cytometry: SMYD3 Antibody (JM73-63) [NBP2-75668] - Analysis of Hela cells with SMYD3 antibody at 1/100 dilution (red) compared with an unlabelled control (cells without incubation with primary antibody; black).
Immunocytochemistry/ Immunofluorescence: SMYD3 Antibody (JM73-63) [NBP2-75668] - Staining SMYD3 in Hela cells (green). The nuclear counter stain is DAPI (blue). Cells were fixed in paraformaldehyde, permeabilised with ...read more
Immunocytochemistry/ Immunofluorescence: SMYD3 Antibody (JM73-63) [NBP2-75668] - Staining SMYD3 in HepG2 cells (green). The nuclear counter stain is DAPI (blue). Cells were fixed in paraformaldehyde, permeabilised with ...read more
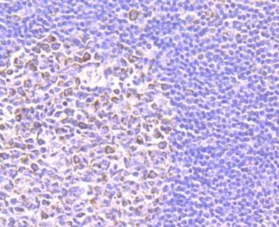
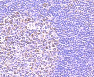
Immunohistochemistry-Paraffin: SMYD3 Antibody (JM73-63) [NBP2-75668] - Analysis of paraffin-embedded human tonsil tissue using anti-SMYD3 antibody. Counter stained with hematoxylin.
Immunohistochemistry-Paraffin: SMYD3 Antibody (JM73-63) [NBP2-75668] - Analysis of paraffin-embedded human colon cancer tissue using anti-SMYD3 antibody. Counter stained with hematoxylin.
Immunohistochemistry-Paraffin: SMYD3 Antibody (JM73-63) [NBP2-75668] - Analysis of paraffin-embedded human placenta tissue using anti-SMYD3 antibody. Counter stained with hematoxylin.

Product Details

Summary
Product Discontinued
View other related SMYD3 Primary Antibodies

Order Details


    • Catalog Number
      NBP2-75668
    • Availability
      Product Discontinued

    Can't find what you are looking for? Use our Antibody Concierge Service & we will help you locate your antibody!

    Or feel free to contact us for alternative products.

SMYD3 Antibody (JM73-63) Summary

Additional Information
Recombinant Monoclonal Antibody.
Immunogen
Synthetic peptide within Human SMYD3 aa 251-300 / 428. (SwissProt: Q9H7B4 Human; SwissProt: Q9CWR2 Mouse)
Localization
Cytoplasm. Nucleus.
Isotype
IgG
Clonality
Monoclonal
Host
Rabbit
Gene
SMYD3
Purity
Protein A purified
Innovator's Reward
Test in a species/application not listed above to receive a full credit towards a future purchase.

Applications/Dilutions

Dilutions
  • Flow Cytometry 1:50-1:100
  • Immunocytochemistry/ Immunofluorescence 1:50-1:200
  • Immunohistochemistry
  • Immunohistochemistry-Paraffin 1:50-1:200
  • Immunoprecipitation
  • Western Blot 1:500-1:2000

Packaging, Storage & Formulations

Storage
Store at 4C short term. Aliquot and store at -20C long term. Avoid freeze-thaw cycles.
Buffer
TBS (pH7.4), 0.05% BSA, 40% Glycerol
Preservative
0.05% Sodium Azide
Concentration
1 mg/ml
Purity
Protein A purified

Alternate Names for SMYD3 Antibody (JM73-63)

  • bA74P14.1 (novel protein)
  • bA74P14.1
  • EC 2.1.1
  • EC 2.1.1.43
  • FLJ21080
  • KMT3E
  • MGC104324
  • MYND domain containing 1
  • SET and MYND domain containing 3
  • SET and MYND domain-containing protein 3
  • SMYD3
  • Zinc finger MYND domain-containing protein 1
  • zinc finger protein, subfamily 3A (MYND domain containing), 1
  • ZMYND1
  • ZNFN3A1

Background

SMYD3 is a histone methyltransferase that plays a role in transcriptional regulation as a member of an RNA polymerase complex.[supplied by OMIM]

Limitations

This product is for research use only and is not approved for use in humans or in clinical diagnosis. Primary Antibodies are guaranteed for 1 year from date of receipt.

Customers Who Viewed This Item Also Viewed...

NB500-171
Species: Hu, I, Mu, Rt, Xp, Ye
Applications: ChIP, IB, ICC/IF, IHC,  IHC-P, Single-Cell Western, WB
NB120-2928
Species: Hu, Mu, Pm, Rb, Rt, Sh
Applications: ICC/IF, IHC,  IHC-P, IP, WB
NB600-302
Species: Bv, Dr, Hu, Mu
Applications: ChIP, ELISA, Flow-IC, Flow, IB, ICC/IF, IHC, IHC-Fr,  IHC-P, IP, PLA, S-ELISA, Simple Western, WB
7196-WN
Species: Hu
Applications: BA
NB100-1762
Species: Hu, Mu, Pm
Applications: ChIP, ELISA, IHC,  IHC-P, KD, Simple Western, WB
NBP2-20428
Species: Hu, Mu, Rt
Applications: ICC/IF, IHC,  IHC-P, WB
NBP3-03807
Species: Hu, Mu, Rt
Applications: ICC/IF, IP, WB
NB200-109
Species: Hu, Mu
Applications: ChIP, ChIP, CyTOF-ready, Flow, GS, ICC/IF, IP, WB
NBP1-89644
Species: Hu
Applications: ChIP-EXO-SEQ, ICC/IF, IHC,  IHC-P
NBP1-83186
Species: Hu
Applications: ICC/IF, IHC,  IHC-P
NB100-55328
Species: Hu
Applications: IP, WB
NB110-40585
Species: Hu, Mu
Applications: ICC/IF, IP, WB
AF591
Species: Mu
Applications: CyTOF-ready, Dual ISH-IHC, Flow, IHC
H00008826-M01
Species: Hu
Applications: ELISA, ICC/IF, IHC,  IHC-P, KD, S-ELISA, WB
NBP1-51641
Species: Hu, Mu, Pm, Rb, Rt
Applications: ELISA, Flow-IC, Flow, ICC/IF, IHC-FrFl, IHC,  IHC-P, WB
NB200-103
Species: Hu, Mu, Rt, Xp(-), Ye
Applications: CyTOF-ready, ELISA, Flow-IC, Flow, ICC/IF, IHC, IHC-Fr,  IHC-P, IP, WB
NBP1-91189
Species: Hu, Mu(-)
Applications: ICC/IF, IHC,  IHC-P, WB (-)
NB300-223
Species: Bv, Ca, Ch, Eq, Hu, Mu, Po, Rt
Applications: ICC/IF, IHC, IHC-Fr,  IHC-P, WB
NBP1-80628
Species: Hu, Mu
Applications: ICC/IF, IHC,  IHC-P, WB
NBP2-22152
Species: Hu, Mu, Pm, Rt
Applications: ChIP, ChIP, ICC/IF, IHC,  IHC-P, WB

Publications for SMYD3 Antibody (NBP2-75668) (0)

There are no publications for SMYD3 Antibody (NBP2-75668).
By submitting your publication information earn gift cards and discounts for future purchases.

Reviews for SMYD3 Antibody (NBP2-75668) (0)

There are no reviews for SMYD3 Antibody (NBP2-75668). By submitting a review you will receive an Amazon e-Gift Card or Novus Product Discount.
  • Review with no image -- $10/€7/£6/$10 CAD/¥70 Yuan/¥1110 Yen
  • Review with an image -- $25/€18/£15/$25 CAD/¥150 Yuan/¥2500 Yen

Product General Protocols

Video Protocols

WB Video Protocol
ICC/IF Video Protocol

FAQs for SMYD3 Antibody (NBP2-75668) (0)

There are no specific FAQs related to this product. Read our general customer & technical service FAQs.

Secondary Antibodies

 

Isotype Controls

Additional SMYD3 Products

Research Areas for SMYD3 Antibody (NBP2-75668)

Find related products by research area.

Blogs on SMYD3

There are no specific blogs for SMYD3, but you can read our latest blog posts.

Contact Information

Product PDFs

Calculators

Concentration Calculator

The concentration calculator allows you to quickly calculate the volume, mass or concentration of your vial. Simply enter your mass, volume, or concentration values for your reagent and the calculator will determine the rest.

=
÷

Review this Product

Be the first to review our SMYD3 Antibody (JM73-63) and receive a gift card or discount.

Bioinformatics

Gene Symbol SMYD3