SEC24B Antibody - BSA Free

Images

 
Immunocytochemistry/ Immunofluorescence: SEC24B Antibody [NBP1-86263] - Staining of human cell line A-431 shows localization to nucleoplasm & vesicles. Antibody staining is shown in green.
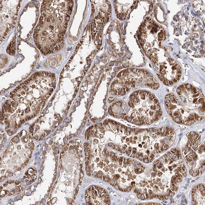
Staining of human kidney shows strong granular cytoplasmic positivity in cells in tubules.
Staining of human pancreas shows very weak granular cytoplasmic positivity in exocrine glandular cells.
Staining of human tonsil shows strong granular cytoplasmic positivity in germinal and non-germinal center cells.
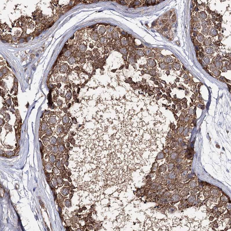
Staining of human testis shows strong granular cytoplasmic positivity in cells in seminiferous ducts.

Product Details

Summary
Reactivity HuSpecies Glossary
Applications ICC/IF, IHC
Clonality
Polyclonal
Host
Rabbit
Conjugate
Unconjugated
Format
BSA Free

Order Details

View Available Formulations
Catalog# & Formulation Size Price

SEC24B Antibody - BSA Free Summary

Description
Novus Biologicals Rabbit SEC24B Antibody - BSA Free (NBP1-86263) is a polyclonal antibody validated for use in IHC and ICC/IF. All Novus Biologicals antibodies are covered by our 100% guarantee.
Immunogen
This antibody was developed against Recombinant Protein corresponding to amino acids: SFQGAASSASHLHTSASQPYSSFVNHYNSPAMYSASSSVASQGFPSTCGHYAMSTVSNAAYPSVSYPSLPAGDTYGQMFTSQNAPTVR
Isotype
IgG
Clonality
Polyclonal
Host
Rabbit
Gene
SEC24B
Purity
Affinity purified
Innovator's Reward
Test in a species/application not listed above to receive a full credit towards a future purchase.

Applications/Dilutions

Dilutions
  • Immunocytochemistry/ Immunofluorescence 0.25-2 ug/ml
  • Immunohistochemistry 1:200 - 1:500
  • Immunohistochemistry-Paraffin 1:200 - 1:500
Application Notes
For IHC-Paraffin, HIER pH 6 retrieval is recommended. ICC/IF Fixation Permeabilization: Use PFA/Triton X-100.
Control Peptide
SEC24B Protein (NBP1-86263PEP)

Packaging, Storage & Formulations

Storage
Store at 4C short term. Aliquot and store at -20C long term. Avoid freeze-thaw cycles.
Buffer
PBS (pH 7.2) and 40% Glycerol
Preservative
0.02% Sodium Azide
Purity
Affinity purified

Alternate Names for SEC24B Antibody - BSA Free

  • member B
  • MGC48822
  • protein transport protein Sec24B
  • SEC24 family, member B (S. cerevisiae)
  • SEC24
  • Sec24-related protein B
  • secretory protein 24

Background

The protein encoded by the SEC24B gene is a member of the SEC24 subfamily of the SEC23/SEC24 family, which is involved in vesicle trafficking. The encoded protein has similarity to yeast Sec24p component of COPII. COPII is the coat protein complex responsible for vesicle budding from the ER. The role of this gene product is implicated in the shaping of the vesicle, and also in cargo selection and concentration. Two transcript variants encoding different isoforms have been found for this gene. (provided by RefSeq)

Limitations

This product is for research use only and is not approved for use in humans or in clinical diagnosis. Primary Antibodies are guaranteed for 1 year from date of receipt.

Customers Who Viewed This Item Also Viewed...

NBP1-80789
Species: Hu
Applications: IHC,  IHC-P, KD, WB
NBP1-33291
Species: Hu
Applications: ICC/IF, IHC,  IHC-P, IP, WB
H00008826-M01
Species: Hu
Applications: ELISA, ICC/IF, IHC,  IHC-P, KD, S-ELISA, WB
NBP1-81550
Species: Hu
Applications: ICC/IF, IHC,  IHC-P, WB
NBP3-32936
Species: Hu, Pm, Mu, Rt
Applications: Flow, ICC/IF, IHC,  IHC-P, WB
NBP2-34842
Species: Ha, Hu, Mu, Rt
Applications: Flow, ICC/IF, IHC, IP, WB
H00058488-M01
Species: Hu
Applications: ELISA, KD, S-ELISA, WB
NBP3-32937
Species: Hu, Mu, Rt
Applications: Flow, ICC/IF, IHC,  IHC-P, WB
NBP3-45454
Species: Hu, Mu, Rt
Applications: ELISA, ICC/IF, IHC, IP, WB
NB400-106
Species: Hu, Mu
Applications: ICC/IF, IHC,  IHC-P, WB
NBP1-92273
Species: Hu, Mu
Applications: IHC,  IHC-P
NBP1-82456
Species: Hu, Mu, Rt
Applications: ICC/IF, IHC,  IHC-P, WB
NBP2-03381
Species: Ca, Hu, Pm, Mu, Pm, Rt
Applications: Flow, ICC/IF, IHC,  IHC-P, WB
AF4815
Species: Hu, Mu, Rt
Applications: IHC, WB
NBP1-32252
Species: Hu, Mu
Applications: ICC/IF, IHC,  IHC-P, WB
NBP1-89301
Species: Hu
Applications: ICC/IF, IHC,  IHC-P
NBP1-86263
Species: Hu
Applications: ICC/IF, IHC

Publications for SEC24B Antibody (NBP1-86263) (0)

There are no publications for SEC24B Antibody (NBP1-86263).
By submitting your publication information earn gift cards and discounts for future purchases.

Reviews for SEC24B Antibody (NBP1-86263) (0)

There are no reviews for SEC24B Antibody (NBP1-86263). By submitting a review you will receive an Amazon e-Gift Card or Novus Product Discount.
  • Review with no image -- $10/€7/£6/$10 CAD/¥70 Yuan/¥1110 Yen
  • Review with an image -- $25/€18/£15/$25 CAD/¥150 Yuan/¥2500 Yen

Product General Protocols

Find general support by application which include: protocols, troubleshooting, illustrated assays, videos and webinars.

Video Protocols

ICC/IF Video Protocol

FAQs for SEC24B Antibody (NBP1-86263) (0)

There are no specific FAQs related to this product. Read our general customer & technical service FAQs.

Customers Who Bought This Also Bought

Contact Information

Product PDFs

Calculators

Concentration Calculator

The concentration calculator allows you to quickly calculate the volume, mass or concentration of your vial. Simply enter your mass, volume, or concentration values for your reagent and the calculator will determine the rest.

=
÷

Review this Product

Be the first to review our SEC24B Antibody - BSA Free and receive a gift card or discount.

Bioinformatics

Gene Symbol SEC24B