SDHB Antibody (CL0347) - Azide and BSA Free

Images

 
Lane 1: Marker [kDa]Lane 2: Human cell line RT-4
Staining of human heart muscle shows strong cytoplasmic positivity in cardiomyocytes.
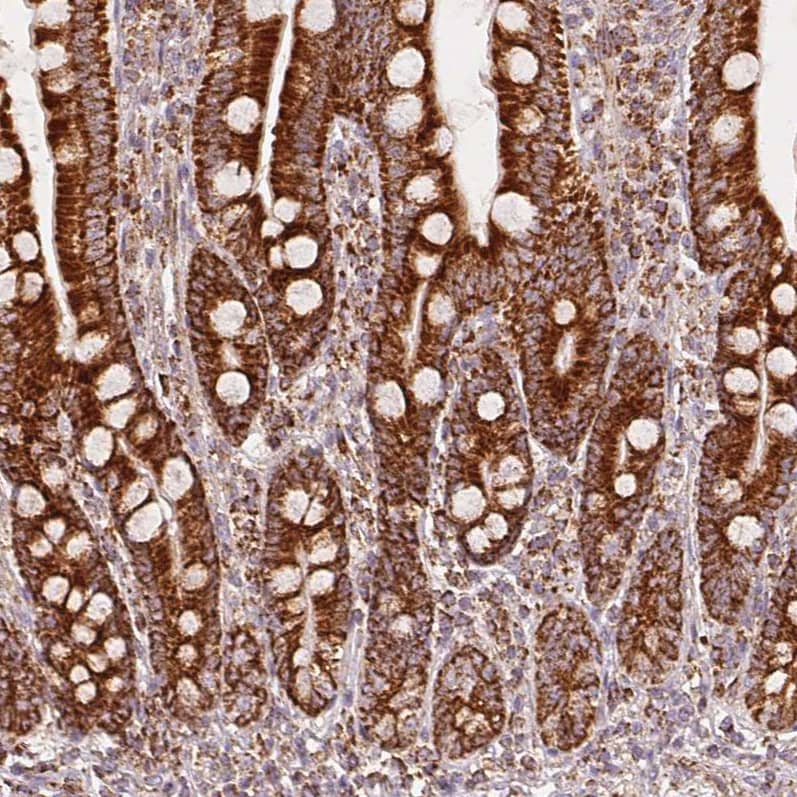
Staining of human duodenum shows strong positivity in glandular cells.
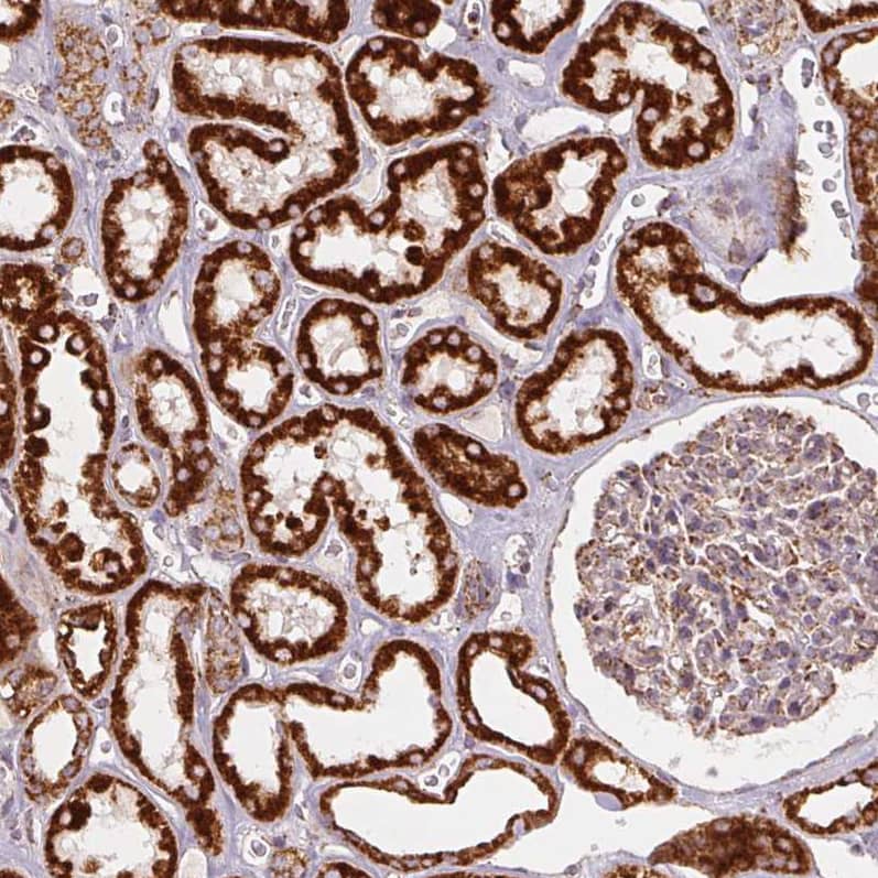
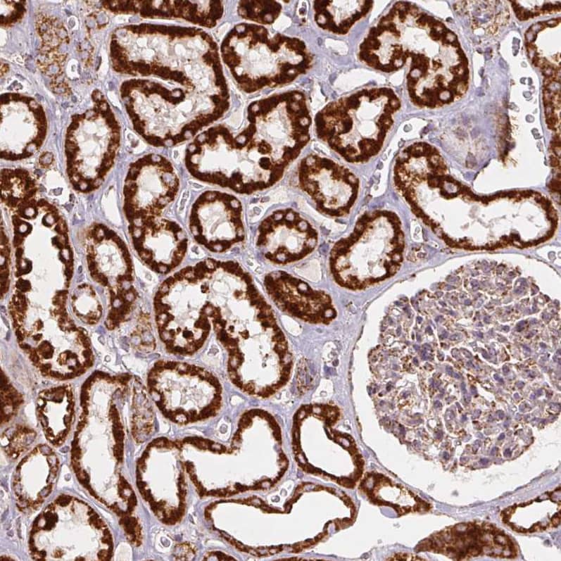
Staining of human kidney shows strong positivity in cells in tubules.
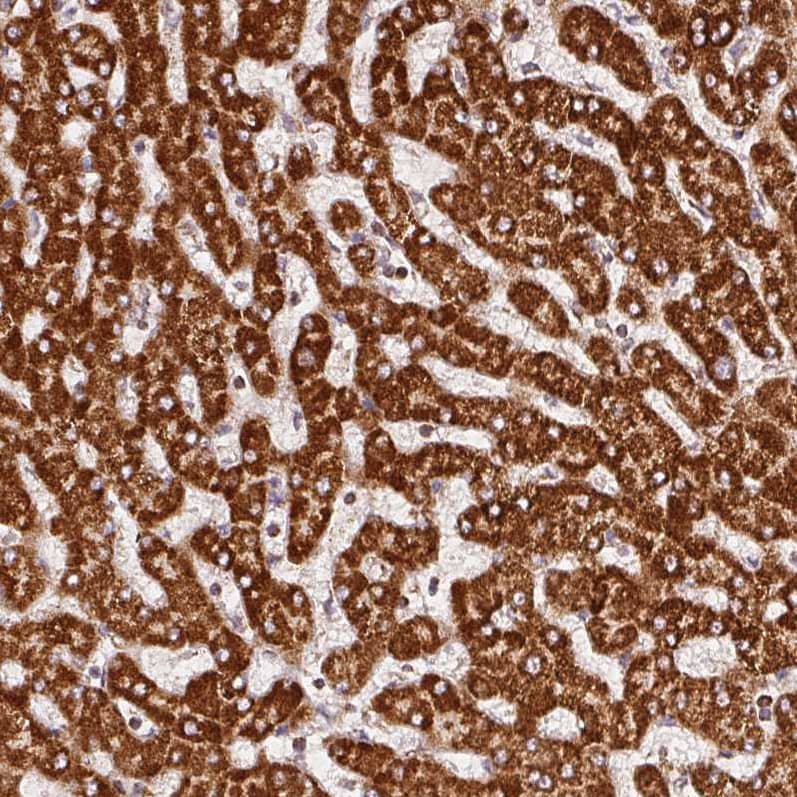
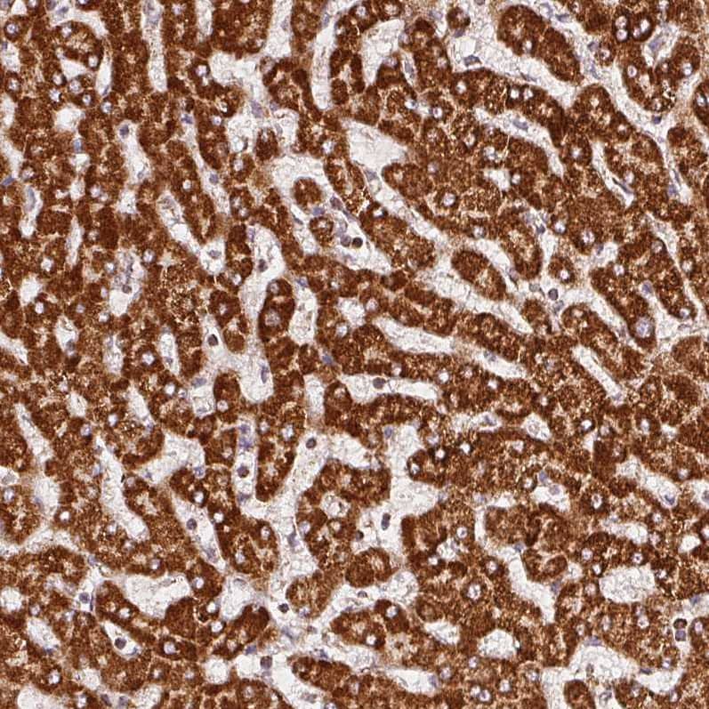
Staining of human liver shows strong granular cytoplasmic positivity in hepatocytes.

Product Details

Summary
Reactivity HuSpecies Glossary
Applications WB, IHC
Clone
CL0347
Clonality
Monoclonal
Host
Mouse
Conjugate
Unconjugated
Format
Azide and BSA Free
Concentration
LYOPH

Order Details

SDHB Antibody (CL0347) - Azide and BSA Free Summary

Description
Novus Biologicals Mouse SDHB Antibody (CL0347) - Azide and BSA Free (NBP2-52920) is a monoclonal antibody validated for use in IHC and WB. All Novus Biologicals antibodies are covered by our 100% guarantee.
Immunogen
This antibody was generated using a recombinant protein sequence of P21912, with the exact immunogen sequence remaining proprietary.
Isotype
IgG1
Clonality
Monoclonal
Host
Mouse
Gene
SDHB
Purity
Protein A purified
Innovator's Reward
Test in a species/application not listed above to receive a full credit towards a future purchase.

Applications/Dilutions

Dilutions
  • Immunohistochemistry-Paraffin 1:200 - 1:500
  • Western Blot 1 ug/ml
Application Notes
For IHC-Paraffin, HIER pH 6 retrieval is recommended.

Packaging, Storage & Formulations

Storage
Store at 4C short term. Aliquot and store at -20C long term. Avoid freeze-thaw cycles.
Buffer
Lyophilized from a 0.2 um filtered solution in PBS with Trehalose
Preservative
No Preservative
Concentration
LYOPH
Purity
Protein A purified
Reconstitution Instructions
Centrifuge the vial of lyophilized antibody at 12,000 x g for 20 seconds. Reconstitute by adding sterile, distilled water to achieve a final antibody concentration of 1mg/ml.

Alternate Names for SDHB Antibody (CL0347) - Azide and BSA Free

  • EC 1.3.5.1
  • FLJ92337
  • IP
  • Iron-sulfur subunit of complex II
  • PGL4
  • SDH
  • SDH1
  • SDH2
  • SDHIP
  • succinate dehydrogenase [ubiquinone] iron-sulfur subunit, mitochondrial
  • succinate dehydrogenase complex, subunit B, iron sulfur (Ip)

Background

Complex II of the respiratory chain, which is specifically involved in the oxidation of succinate, carries electrons from FADH to CoQ. The complex is composed of four nuclear-encoded subunits and is localized in the mitochondrial inner membrane. The iron-sulfur subunit is highly conserved and contains three cysteine-rich clusters which may comprise the iron-sulfur centers of the enzyme. Sporadic and familial mutations in this gene result in paragangliomas and pheochromocytoma, and support a link between mitochondrial dysfunction and tumorigenesis. [provided by RefSeq]

Limitations

This product is for research use only and is not approved for use in humans or in clinical diagnosis. Primary Antibodies are guaranteed for 1 year from date of receipt.

Customers Who Viewed This Item Also Viewed...

NBP1-87416
Species: Hu
Applications: ICC/IF, IHC,  IHC-P, WB
NBP1-92372
Species: Hu
Applications: IHC,  IHC-P
NBP3-37905
Species: Hu, Mu, Rt
Applications: ELISA, ICC/IF, IHC,  IHC-P, WB
NBP2-45411
Species: Hu, Mu, Rt
Applications: IHC,  IHC-P, WB
NBP3-13522
Species: Hu, Mu, Rt
Applications: ICC/IF, IHC,  IHC-P, WB
NBP1-32259
Species: Hu, Mu, Rt
Applications: ICC/IF, IHC,  IHC-P, KO, WB
AF482
Species: Mu
Applications: IHC, WB
NBP1-91942
Species: Hu, Mu, Rt
Applications: IHC,  IHC-P, WB
NBP1-32398
Species: Hu, Mu, Rt
Applications: ICC/IF, IHC,  IHC-P, IP, KD, WB
NBP1-89559
Species: Hu
Applications: IHC,  IHC-P, WB
NBP3-05078
Species: Hu, Mu, Rt
Applications: ICC/IF, IHC,  IHC-P, WB
AF3398
Species: Hu, Mu, Rt
Applications: ICC, KO, Simple Western, WB
NBP2-43648
Species: Hu, Mu, Rt, Ze
Applications: ICC/IF, IHC,  IHC-P, WB
NB100-1519
Species: Hu, Mu, Rt
Applications: Flow, ICC/IF, IHC-FrFl, PEP-ELISA, WB
NBP1-89146
Species: Hu
Applications: ICC/IF, IHC,  IHC-P
NBP2-20383
Species: Hu, Mu
Applications: ICC/IF, IHC,  IHC-P, WB
NBP1-92259
Species: Hu
Applications: IHC,  IHC-P
NBP2-01506
Species: Hu
Applications: Flow, ICC/IF, IHC,  IHC-P, WB
NB100-236
Species: Hu, Mu
Applications: IB, IHC, IHC-Fr, WB
NBP1-31336
Species: Hu, Mu, Rt
Applications: ICC/IF, IHC,  IHC-P, KD, WB

Publications for SDHB Antibody (NBP3-43915) (0)

There are no publications for SDHB Antibody (NBP3-43915).
By submitting your publication information earn gift cards and discounts for future purchases.

Reviews for SDHB Antibody (NBP3-43915) (0)

There are no reviews for SDHB Antibody (NBP3-43915). By submitting a review you will receive an Amazon e-Gift Card or Novus Product Discount.
  • Review with no image -- $10/€7/£6/$10 CAD/¥70 Yuan/¥1110 Yen
  • Review with an image -- $25/€18/£15/$25 CAD/¥150 Yuan/¥2500 Yen

Product General Protocols

Find general support by application which include: protocols, troubleshooting, illustrated assays, videos and webinars.

Video Protocols

WB Video Protocol

FAQs for SDHB Antibody (NBP3-43915) (0)

There are no specific FAQs related to this product. Read our general customer & technical service FAQs.

Secondary Antibodies

 

Isotype Controls

Additional SDHB Products

Research Areas for SDHB Antibody (NBP3-43915)

Find related products by research area.

Blogs on SDHB.

HIF Antibodies: Beyond HIF-1 alpha
The hypoxia inducible factors are a family of heterodimeric transcription factors which are activated in response to lowered oxygen levels, or hypoxia. Although it may seem that HIF-1 alpha receives all the attention, other HIF antibodies, such as the...  Read full blog post.

Customers Who Bought This Also Bought

Contact Information

Product PDFs

Calculators

Concentration Calculator

The concentration calculator allows you to quickly calculate the volume, mass or concentration of your vial. Simply enter your mass, volume, or concentration values for your reagent and the calculator will determine the rest.

=
÷

Review this Product

Be the first to review our SDHB Antibody (CL0347) - Azide and BSA Free and receive a gift card or discount.

Bioinformatics

Gene Symbol SDHB