Sca-1/Ly6 Antibody (177228) [Biotin]

Images

 
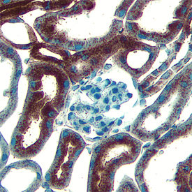
Sca-1/Ly6 was detected in perfusion fixed frozen sections of mouse kidney using Mouse Sca-1/Ly6 Biotinylated Monoclonal Antibody (Catalog # BAM1226) at 25 µg/mL overnight at 4 °C. Tissue was stained using the Anti-Rat ...read more
Sca-1/Ly6 was detected in perfusion fixed frozen sections of mouse thymus using Mouse Sca-1/Ly6 Biotinylated Monoclonal Antibody (Catalog # BAM1226) at 25 µg/mL overnight at 4 °C. Tissue was stained using the Anti-Rat ...read more

Product Details

Summary
Reactivity MuSpecies Glossary
Applications WB, Flow, IHC
Clone
177228
Clonality
Monoclonal
Host
Rat
Conjugate
Biotin
Concentration
LYOPH

Order Details

Sca-1/Ly6 Antibody (177228) [Biotin] Summary

Immunogen
Mouse myeloma cell line NS0-derived recombinant mouse Sca-1 C-terminally truncated Ly-6E allele
Leu27-Gly119
Accession # CAA28351
Specificity
Detects mouse Sca-1/Ly6 in Western blots.
Source
N/A
Isotype
IgG2a
Clonality
Monoclonal
Host
Rat
Gene
Ly6a
Purity Statement
Protein A or G purified from hybridoma culture supernatant
Innovator's Reward
Test in a species/application not listed above to receive a full credit towards a future purchase.

Applications/Dilutions

Dilutions
  • Flow Cytometry 2.5 ug/10^6 cells
  • Immunohistochemistry 8-25 ug/mL
  • Western Blot 1 ug/mL
Readout System
Publications
Read Publications using
BAM1226 in the following applications:

  • ICC
    1 publication
  • IHC
    4 publications

Packaging, Storage & Formulations

Storage
Use a manual defrost freezer and avoid repeated freeze-thaw cycles.
  • 12 months from date of receipt, -20 to -70 °C as supplied.
  • 1 month, 2 to 8 °C under sterile conditions after reconstitution.
  • 6 months, -20 to -70 °C under sterile conditions after reconstitution.
Buffer
Lyophilized from a 0.2 μm filtered solution in PBS with BSA as a carrier protein.
Preservative
No Preservative
Concentration
LYOPH
Reconstitution Instructions
Reconstitute at 0.5 mg/mL in sterile PBS.

Notes

This product is produced by and ships from R&D Systems, Inc., a Bio-Techne brand.

Alternate Names for Sca-1/Ly6 Antibody (177228) [Biotin]

  • Ly6
  • Ly-6
  • Ly-6A.2
  • Ly-6A/E
  • Ly-6E.1
  • lymphocyte antigen 6 complex, locus A
  • lymphocyte antigen 6A-2/6E-1
  • Sca1
  • Sca-1
  • Stem cell antigen 1
  • TAP
  • T-cell-activating protein

Background

Sca-1 is an 18 kDa phosphatidylositol-anchored protein that is a member of the lymphocyte antigen 6 (Ly-6) family (1). Sca-1 is encoded by the strain-specific Ly-6 E/A allelic gene. Its expression on multipotent hematopoietic stem cells (HSC) has been used as a marker of HSC in mice of both Ly-6 haplotypes (2,3). Sca-1-positive HSC can be found in the adult bone marrow, fetal liver, and mobilized peripheral blood and spleen in the adult animal (2-7). However, Sca-1 has also been discovered in several non-hematopoietic tissues (1) and can be used to enrich progenitor cell populations other than HSC (8). It is suggested that Sca-1 could be involved in regulating both B and T cell activation (9-12).
  1. Van de Rijn, M. et al. (1989) Proc. Natl. Acad. Sci. USA 86:4634.
  2. Spangrude, G.I. et al. (1988) Science 241:58.
  3. Spangrude, G.I. et al. (1993) Blood 82:3327.
  4. Morrison, S.J. et al. (1995) Proc. Natl. Acad. Sci. USA 92:10302.
  5. Kawamoto, H. et al. (1997) Int. Immunol. 9:1011.
  6. Yamamoto, Y. et al. (1996) Blood 88:445.
  7. Morrison, S.J. et al. (1997) Proc. Natl. Acad. Sci. USA 94:1908.
  8. Welm, B.E. et al. (2002) Dev. Biol. 245:42.
  9. Codias, E.K. et al. (1990) J. Immunol. 144:2197.
  10. Malek, T.R. et al. (1986) J. Exp. Med. 164:709.
  11. Codias, E.K. et al. (1990) J. Immunol. 145:1407.

Limitations

This product is for research use only and is not approved for use in humans or in clinical diagnosis. Primary Antibodies are guaranteed for 1 year from date of receipt.

Customers Who Viewed This Item Also Viewed...

H00006890-M04
Species: Hu
Applications: ELISA, Flow, ICC/IF, WB
NBP2-01346
Species: Ca, Hu, Pm, Mu, Pm, Rt
Applications: Flow, ICC/IF, IHC,  IHC-P, WB
AF1356
Species: Hu, Mu
Applications: CyTOF-ready, Dual ISH-IHC, Flow, IHC, Simple Western, WB
NBP2-93797
Species: Hu, Mu, Rt
Applications: ELISA, ICC/IF, IHC,  IHC-P, WB
NBP2-31769
Species: Hu
Applications: IHC,  IHC-P
AF4117
Species: Rt
Applications: IHC, WB
AF114
Species: Mu
Applications: CyTOF-ready, Flow, ICC, IHC, WB
NBP3-25371
Species: Hu, Mu, Rt
Applications: ICC/IF, IHC,  IHC-P, WB
NBP1-52176
Species: Mu
Applications: Flow, ICC/IF, PEP-ELISA
H00002523-P01
Species: Hu
Applications: ELISA, AP, PA, WB
NBP1-90063
Species: Hu, Mu
Applications: ICC/IF, IHC,  IHC-P
NB120-6405
Species: Rt
Applications: B/N, CyTOF-ready, EM, ELISA, Flow-IC, Flow, ICC/IF, IHC, IHC-Fr,  IHC-P, IP
NBP1-86968
Species: Hu
Applications: IHC,  IHC-P
NBP1-51689
Species: Hu
Applications: ELISA, Flow, ICC/IF, IHC,  IHC-P, WB
255-SC
Species: Hu
Applications: BA
NBP1-49045
Species: Mu, Rt
Applications: Cell Depl, CyTOF-ready, Flow, ICC/IF, IHC, IHC-Fr,  IHC-P, IP, InhibTFunc
NBP3-30941
Species: Hu, Rt
Applications: IHC, WB
M6000B
Species: Mu
Applications: ELISA
NBP2-79843
Species: Hu
Applications: CyTOF-ready, ELISA, Flow, ICC/IF, IHC,  IHC-P, PA, WB
7268-CT
Species: Hu
Applications: BA

Publications for Sca-1/Ly6 Antibody (BAM1226)(7)

We have publications tested in 1 confirmed species: Mouse.

We have publications tested in 2 applications: ICC, IHC.


Filter By Application
ICC
(1)
IHC
(4)
All Applications
Filter By Species
Mouse
(5)
All Species
Showing Publications 1 - 7 of 7.
Publications using BAM1226 Applications Species
Hansen, SL;Larsen, HL;Pikkupeura, LM;Maciag, G;Guiu, J;Müller, I;Clement, DL;Mueller, C;Johansen, JV;Helin, K;Lerdrup, M;Jensen, KB; An organoid-based CRISPR-Cas9 screen for regulators of intestinal epithelial maturation and cell fate Science advances 2023-07-14 [PMID: 37436979] (IHC, Mouse) IHC Mouse
Atreyi Biswas, Shailendra Kumar Singh, Gayathri M. Kartha, Satish Khurana Immuno-localization of definitive hematopoietic stem cells in the vascular niche of mouse fetal liver STAR Protocols 2022-12-16 [PMID: 36223268]
Jessica Cristina Marín-Llera, Carlos Ignacio Lorda-Diez, Juan Mario Hurle, Jesús Chimal-Monroy SCA-1/Ly6A Mesodermal Skeletal Progenitor Subpopulations Reveal Differential Commitment of Early Limb Bud Cells Frontiers in Cell and Developmental Biology 2021-07-16 [PMID: 34336823]
JDG Leach, N Vlahov, P Tsantoulis, RA Ridgway, DJ Flanagan, K Gilroy, N Sphyris, EG Vázquez, DF Vincent, WJ Faller, MC Hodder, A Raven, S Fey, AK Najumudeen, D Strathdee, C Nixon, M Hughes, W Clark, R Shaw, S:CORT con, SR van Hooff, DJ Huels, JP Medema, ST Barry, MC Frame, A Unciti-Bro, SJ Leedham, GJ Inman, R Jackstadt, BJ Thompson, AD Campbell, S Tejpar, OJ Sansom Oncogenic BRAF, unrestrained by TGF&beta-receptor signalling, drives right-sided colonic tumorigenesis Nature Communications, 2021-06-08;12(1):3464. 2021-06-08 [PMID: 34103493] (IHC, Mouse) IHC Mouse
T Sato, M Sase, S Ishikawa, M Kajita, J Asano, T Sato, Y Mori, T Ohteki Characterization of radioresistant epithelial stem cell heterogeneity in the damaged mouse intestine Sci Rep, 2020-05-22;10(1):8308. 2020-05-22 [PMID: 32444673] (IHC, Mouse) IHC Mouse
S Yui, L Azzolin, M Maimets, MT Pedersen, RP Fordham, SL Hansen, HL Larsen, J Guiu, MRP Alves, CF Rundsten, JV Johansen, Y Li, CD Madsen, T Nakamura, M Watanabe, OH Nielsen, PJ Schweiger, S Piccolo, KB Jensen YAP/TAZ-Dependent Reprogramming of Colonic Epithelium Links ECM Remodeling to Tissue Regeneration Cell Stem Cell, 2017-12-14;22(1):35-49.e7. 2017-12-14 [PMID: 29249464] (IHC, Mouse) IHC Mouse
Sergejeva S, Johansson AK, Malmhall C, Lotvall J Allergen exposure-induced differences in CD34+ cell phenotype: relationship to eosinophilopoietic responses in different compartments. Blood, 2003-09-25;103(4):1270-7. 2003-09-25 [PMID: 14512324] (ICC, Mouse) ICC Mouse

Reviews for Sca-1/Ly6 Antibody (BAM1226) (0)

There are no reviews for Sca-1/Ly6 Antibody (BAM1226). By submitting a review you will receive an Amazon e-Gift Card or Novus Product Discount.
  • Review with no image -- $10/€7/£6/$10 CAD/¥70 Yuan/¥1110 Yen
  • Review with an image -- $25/€18/£15/$25 CAD/¥150 Yuan/¥2500 Yen

Product General Protocols

Find general support by application which include: protocols, troubleshooting, illustrated assays, videos and webinars.

Video Protocols

WB Video Protocol

FAQs for Sca-1/Ly6 Antibody (BAM1226) (0)

There are no specific FAQs related to this product. Read our general customer & technical service FAQs.

Secondary Antibodies

 

Isotype Controls

Additional Sca-1/Ly6 Products

Array BAM1226

Blogs on Sca-1/Ly6

There are no specific blogs for Sca-1/Ly6, but you can read our latest blog posts.

Customers Who Bought This Also Bought

Contact Information

Product PDFs

Calculators

Concentration Calculator

The concentration calculator allows you to quickly calculate the volume, mass or concentration of your vial. Simply enter your mass, volume, or concentration values for your reagent and the calculator will determine the rest.

=
÷

Review this Product

Be the first to review our Sca-1/Ly6 Antibody (177228) [Biotin] and receive a gift card or discount.

Bioinformatics

Gene Symbol Ly6a
Uniprot