RSRC2 Antibody - BSA Free

Images

 
Western Blot: RSRC2 Antibody [NBP1-83787] - Analysis in control (vector only transfected HEK293T lysate) and RSRC2 over-expression lysate (Co-expressed with a C-terminal myc-DDK tag (3.1 kDa) in mammalian HEK293T cells).
Immunocytochemistry/ Immunofluorescence: RSRC2 Antibody [NBP1-83787] - Staining of human cell line U-2 OS shows positivity in nucleoli and nucleus but not nucleoli.
Analysis in human cell line RT-4.
Staining of human skeletal muscle shows moderate nuclear/cytoplasmic positivity in myocytes.
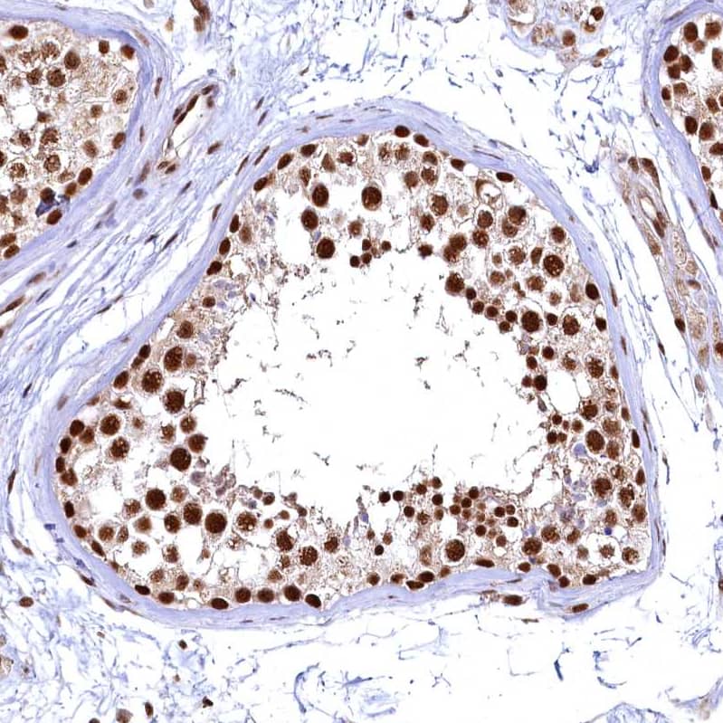
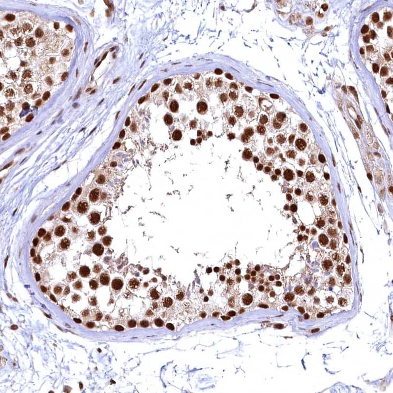
Staining of human testis shows strong nuclear positivity in cells in seminiferous ducts and leydig cells with weak cytoplasmic positivity.
Staining of human colon shows strong nuclear positivity in glandular cells with weak cytoplasmic positivity.
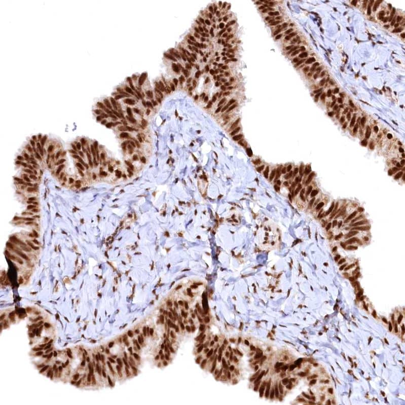
Staining of human fallopian tube shows strong nuclear positivity in glandular cells with weak cytoplasmic positivity.

Product Details

Summary
Reactivity Hu, Mu, RtSpecies Glossary
Applications WB, ICC/IF, IHC
Clonality
Polyclonal
Host
Rabbit
Conjugate
Unconjugated
Format
BSA Free

Order Details

View Available Formulations
Catalog# & Formulation Size Price

RSRC2 Antibody - BSA Free Summary

Description
Novus Biologicals Rabbit RSRC2 Antibody - BSA Free (NBP1-83787) is a polyclonal antibody validated for use in IHC, WB and ICC/IF. All Novus Biologicals antibodies are covered by our 100% guarantee.
Immunogen
This antibody was developed against Recombinant Protein corresponding to amino acids: KKEGDKSQSAEIWEKLNFGNKDQNVKFRKLMGIKSEDEAGCSSVDEESYKTLKQQEEVFRNLDAQYEMARSQTHTQRGMGLGFT
Predicted Species
Mouse (100%), Rat (100%). Backed by our 100% Guarantee.
Isotype
IgG
Clonality
Polyclonal
Host
Rabbit
Gene
RSRC2
Purity
Immunogen affinity purified
Innovator's Reward
Test in a species/application not listed above to receive a full credit towards a future purchase.

Applications/Dilutions

Dilutions
  • Immunocytochemistry/ Immunofluorescence 0.25-2 ug/ml
  • Immunohistochemistry 1:500 - 1:1000
  • Immunohistochemistry-Paraffin 1:500 - 1:1000
  • Western Blot 0.04-0.4 ug/ml
Application Notes
For IHC-Paraffin, HIER pH 6 retrieval is recommended. ICC/IF,Fixation Permeabilization: Use PFA/Triton X-100.
Control Peptide
RSRC2 Protein (NBP1-83787PEP)

Packaging, Storage & Formulations

Storage
Store at 4C short term. Aliquot and store at -20C long term. Avoid freeze-thaw cycles.
Buffer
PBS (pH 7.2) and 40% Glycerol
Preservative
0.02% Sodium Azide
Purity
Immunogen affinity purified

Alternate Names for RSRC2 Antibody - BSA Free

  • arginine/serine-rich coiled-coil 2
  • arginine/serine-rich coiled-coil protein 2
  • FLJ11021

Limitations

This product is for research use only and is not approved for use in humans or in clinical diagnosis. Primary Antibodies are guaranteed for 1 year from date of receipt.

Customers Who Viewed This Item Also Viewed...

NBP2-29463
Species: Pm, Hu, Pm, Mu
Applications: Flow, ICC/IF, IHC,  IHC-P, WB
NB100-56509
Species: Hu, Mu, Rt
Applications: CyTOF-ready, Flow, IB, ICC/IF, IHC,  IHC-P, IP, Simple Western, WB
NB200-109
Species: Hu, Mu
Applications: ChIP, ChIP, CyTOF-ready, Flow, GS, ICC/IF, IP, WB
NB100-94995
Species: Hu
Applications: ICC/IF, IHC,  IHC-P, IP, KD, WB
NB100-524
Species: Hu, Mu
Applications: Flow-IC, Flow, ICC/IF, IHC, IHC-Fr,  IHC-P, IP, WB
NBP1-31308
Species: Bv, Hu, Mu, Rt
Applications: ICC/IF, IHC,  IHC-P, Simple Western, WB
7268-CT
Species: Hu
Applications: BA
NBP3-35867
Species: Hu, Mu, Rt
Applications: ELISA, ICC/IF, IHC,  IHC-P, WB
NBP1-20984
Species: Hu
Applications: ICC/IF, IHC,  IHC-P, PEP-ELISA, Simple Western, WB
NB100-2736
Species: Hu, Mu, Rt
Applications: IHC, IHC-Fr,  IHC-P, IP, WB
NBP1-87870
Species: Hu
Applications: IHC,  IHC-P
NBP1-83032
Species: Hu
Applications: ICC/IF, IHC,  IHC-P
NB100-56311
Species: Hu, Mu
Applications: ICC/IF, IHC,  IHC-P, WB
NBP2-60655
Species: Hu
Applications: ICC/IF, IHC,  IHC-P, WB
NBP2-24597
Species: Ch, Hu, Mu, Pm, Rt
Applications: IHC,  IHC-P, WB
H00002115-M01
Species: Hu
Applications: ELISA, WB
H00027065-M01
Species: Hu, Rt
Applications: ELISA, ICC/IF, S-ELISA, WB
NBP2-79843
Species: Hu
Applications: CyTOF-ready, ELISA, Flow, ICC/IF, IHC,  IHC-P, PA, WB
NBP2-46085
Species: Hu
Applications: IHC,  IHC-P, WB
NBP3-03109
Species: Hu, Mu
Applications: IHC,  IHC-P, WB

Publications for RSRC2 Antibody (NBP1-83787) (0)

There are no publications for RSRC2 Antibody (NBP1-83787).
By submitting your publication information earn gift cards and discounts for future purchases.

Reviews for RSRC2 Antibody (NBP1-83787) (0)

There are no reviews for RSRC2 Antibody (NBP1-83787). By submitting a review you will receive an Amazon e-Gift Card or Novus Product Discount.
  • Review with no image -- $10/€7/£6/$10 CAD/¥70 Yuan/¥1110 Yen
  • Review with an image -- $25/€18/£15/$25 CAD/¥150 Yuan/¥2500 Yen

Product General Protocols

Find general support by application which include: protocols, troubleshooting, illustrated assays, videos and webinars.

Video Protocols

WB Video Protocol
ICC/IF Video Protocol

FAQs for RSRC2 Antibody (NBP1-83787) (0)

There are no specific FAQs related to this product. Read our general customer & technical service FAQs.

Customers Who Bought This Also Bought

Contact Information

Product PDFs

Calculators

Concentration Calculator

The concentration calculator allows you to quickly calculate the volume, mass or concentration of your vial. Simply enter your mass, volume, or concentration values for your reagent and the calculator will determine the rest.

=
÷

Review this Product

Be the first to review our RSRC2 Antibody - BSA Free and receive a gift card or discount.

Bioinformatics

Gene Symbol RSRC2