Rif1 Antibody Summary
| Immunogen |
Synthetic peptide corresponding to C-Terminal region near aa 2375-2419 of Mouse Rif1. |
| Epitope |
C-Terminal region near aa 2375-2419 |
| Specificity |
Databases confirm that the immunogen sequence represents the C-terminal end of mouse Rif1 (534 aa 58.1 kDa), mouse telomere-associated protein RIF1 (2418 aa 265.7 kDa) and mouse Rap1-interacting factor 1 (2426 267.1 kDa). |
| Isotype |
IgG |
| Clonality |
Polyclonal |
| Host |
Rabbit |
| Gene |
RIF1 |
| Purity |
Immunogen affinity purified |
| Innovator's Reward |
Test in a species/application not listed above to receive a full credit towards a future purchase. |
Applications/Dilutions
| Dilutions |
- ELISA 1:5000 - 1:40000
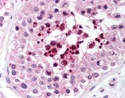
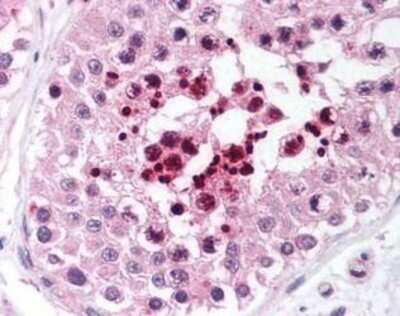
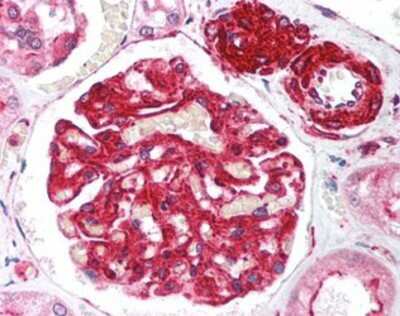
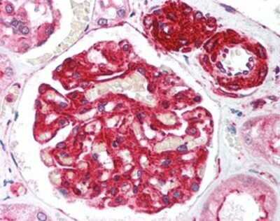
- Immunohistochemistry 5 ug/ml
- Immunohistochemistry-Paraffin 5 ug/ml
- Western Blot 1:500 - 1:3000
|
Packaging, Storage & Formulations
| Storage |
Store at -20C. Avoid freeze-thaw cycles. |
| Buffer |
20mM Potassium Phosphate (pH 7.2) and 0.15M NaCl |
| Preservative |
0.01% Sodium Azide |
| Concentration |
1.0 mg/ml |
| Purity |
Immunogen affinity purified |
Alternate Names for Rif1 Antibody
Background
Rif1 (Rap1-interacting factor homolog) is a protein whose primary function is in the DNA-damage response, RIF1 forms foci that colocalize with other DNA damage response factors, after induction of double-strand breaks. Rif1 localizes to double strand breaks in an ATM (ataxia telangiectasia mutated)- and 53BP1-dependent manner and functions in the intra-S-phase checkpoint that serves to slow down DNA synthesis when DNA damage has occurred.
Limitations
This product is for research use only and is not approved for use in humans or in clinical diagnosis. Primary Antibodies are
guaranteed for 1 year from date of receipt.
Customers Who Viewed This Item Also Viewed...
Species: Hu
Applications: ICC/IF, IHC, IHC-P, IP, WB
Species: Hu, Mu, Rt
Applications: IHC, WB
Species: Hu, Mu
Applications: IHC, IHC-P, IP, WB
Species: Ce
Applications: IHC, IHC-P, IP, WB
Species: Hu, Pm, Mu, Rt
Applications: ChIP, ELISA, Flow, ICC/IF, IHC, IHC-P, IP, KD, PAGE, Single-Cell Western, WB
Species: Hu
Applications: ChIP-EXO-SEQ, ICC/IF, IHC, IHC-P, WB
Species: Hu
Applications: CyTOF-ready, ELISA, Flow, WB
Species: Hu, Mu
Applications: ChIP, ChIP, ICC/IF, IHC, IHC-P, IP, WB
Species: Hu
Applications: ICC/IF, IP, WB
Species: Hu, Mu
Applications: CyTOF-ready, Flow, WB
Species: Hu, Mu
Applications: ICC/IF, IHC, IHC-P, WB
Species: Hu, Mu, Rt
Applications: Flow, IHC, IHC-P
Species: Hu, Mu
Applications: IHC, IHC-P, WB
Species: Hu, Mu
Applications: Func, ICC/IF, IP, In vitro, KO, WB
Species: Hu
Applications: ICC/IF, IHC, IHC-P
Species: ChHa, Hu, Mu, Pm, Rt
Applications: ChIP, DB, ELISA, Flow-IC, Flow, ICC/IF, IHC, IHC-P, IP, KD, Simple Western, WB
Species: Hu
Applications: ELISA
Species: Hu, Mu
Applications: ChIP, ICC, IP, Simple Western, WB
Publications for Rif1 Antibody (NB100-80875) (0)
There are no publications for Rif1 Antibody (NB100-80875).
By submitting your publication information earn gift cards and discounts for future purchases.
Reviews for Rif1 Antibody (NB100-80875) (0)
There are no reviews for Rif1 Antibody (NB100-80875).
By submitting a review you will receive an Amazon e-Gift Card or Novus Product Discount.
- Review with no image -- $10/€7/£6/$10 CAD/¥70 Yuan/¥1110 Yen
- Review with an image -- $25/€18/£15/$25 CAD/¥150 Yuan/¥2500 Yen
Product General Protocols
Find general support by application which include: protocols, troubleshooting, illustrated assays, videos and webinars.
Video Protocols
FAQs for Rif1 Antibody (NB100-80875) (0)