RDH11 Antibody

Images

 
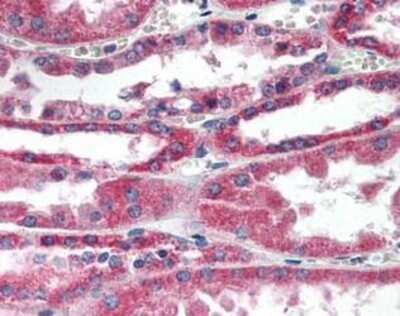
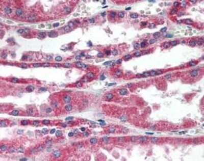
Immunohistochemistry-Paraffin: RDH11 Antibody [NBP1-40130] - Analysis of anti-RDH11 antibody with human kidney at concentration 5 ug/ml.

Product Details

Summary
Product Discontinued
View other related RDH11 Primary Antibodies

Order Details


    • Catalog Number
      NBP1-40130
    • Availability
      Product Discontinued

    Can't find what you are looking for? Use our Antibody Concierge Service & we will help you locate your antibody!

    Or feel free to contact us for alternative products.

RDH11 Antibody Summary

Immunogen
Synthetic peptide from human RDH11.
Specificity
N terminal sequence MVELMFP and the C terminal sequence LLGLPID of the human PSDR1 protein.
Isotype
IgG
Clonality
Polyclonal
Host
Rabbit
Gene
RDH11
Purity
Immunogen affinity purified
Innovator's Reward
Test in a species/application not listed above to receive a full credit towards a future purchase.

Applications/Dilutions

Dilutions
  • Immunohistochemistry
  • Immunohistochemistry-Paraffin 5 ug/ml
  • Western Blot 1:500-1:1000

Packaging, Storage & Formulations

Storage
Store at 4C short term. Aliquot and store at -20C long term. Avoid freeze-thaw cycles.
Buffer
PBS
Preservative
0.02% Sodium Azide
Concentration
1 mg/ml
Purity
Immunogen affinity purified

Alternate Names for RDH11 Antibody

  • Androgen-regulated short-chain dehydrogenase/reductase 1
  • ARSDR1CGI82
  • EC 1.1.1.300
  • HCBP12
  • HCV core-binding protein HCBP12
  • MDT1
  • prostate short-chain dehydrogenase reductase 1
  • Prostate short-chain dehydrogenase/reductase 1
  • PSDR1FLJ32633
  • RALR1
  • Retinal reductase 1
  • retinol dehydrogenase 11 (all-trans and 9-cis)
  • retinol dehydrogenase 11 (all-trans/9-cis/11-cis)
  • retinol dehydrogenase 11
  • SCALD
  • SDR7C1
  • short chain dehydrogenase/reductase family 7C, member 1

Background

RHD11, a member of the short-chain dehydrogenase/reductase (SDR) superfamily of oxidoreductases, is expressed at high levels in prostate epithelium, and its expression is regulated by androgens.[supplied by OMIM]

Limitations

This product is for research use only and is not approved for use in humans or in clinical diagnosis. Primary Antibodies are guaranteed for 1 year from date of receipt.

Customers Who Viewed This Item Also Viewed...

NBP2-30446
Species: Hu
Applications: ICC/IF, IHC,  IHC-P
AF5759
Species: Hu, Mu
Applications: WB
H00145226-M01
Species: Hu
Applications: ELISA, ICC/IF, S-ELISA, WB
NBP1-90233
Species: Hu
Applications: IHC,  IHC-P, WB
NBP2-02164
Species: Hu, Mu, Rt
Applications: Flow, ICC/IF, IHC,  IHC-P, WB
NBP1-90232
Species: Hu, Mu, Rt
Applications: IHC,  IHC-P, WB
NBP1-52047
Species: Hu
Applications: Flow, ICC/IF, IHC,  IHC-P, PEP-ELISA
H00001806-M01
Species: Hu
Applications: DB, ELISA, ICC/IF, WB
H00000126-D01P
Species: Hu, Mu
Applications: WB
NBP2-00649
Species: Ca, Hu, Rt
Applications: Flow, ICC/IF, IHC,  IHC-P, WB
NBP3-35880
Species: Hu, Mu, Rt
Applications: ELISA, ICC/IF, WB
NBP1-92382
Species: Hu
Applications: ICC/IF, IHC,  IHC-P
NBP2-62658
Species: Hu
Applications: IHC,  IHC-P, WB
NBP2-04144
Species: Hu
Applications: IHC,  IHC-P, IP, WB
NBP2-32431
Species: Hu
Applications: IHC,  IHC-P
NBP2-71688
Species: Ca, Hu, Mu, Rt
Applications: CyTOF-ready, Flow, ICC/IF, IHC,  IHC-P, IP, WB
NBP1-86616
Species: Hu
Applications: IHC,  IHC-P, WB
NBP3-03109
Species: Hu, Mu
Applications: IHC,  IHC-P, WB
AF3398
Species: Hu, Mu, Rt
Applications: ICC, KO, Simple Western, WB
NBP1-40130
Species: Hu
Applications: WB, IHC

Publications for RDH11 Antibody (NBP1-40130) (0)

There are no publications for RDH11 Antibody (NBP1-40130).
By submitting your publication information earn gift cards and discounts for future purchases.

Reviews for RDH11 Antibody (NBP1-40130) (0)

There are no reviews for RDH11 Antibody (NBP1-40130). By submitting a review you will receive an Amazon e-Gift Card or Novus Product Discount.
  • Review with no image -- $10/€7/£6/$10 CAD/¥70 Yuan/¥1110 Yen
  • Review with an image -- $25/€18/£15/$25 CAD/¥150 Yuan/¥2500 Yen

Product General Protocols

Find general support by application which include: protocols, troubleshooting, illustrated assays, videos and webinars.

Video Protocols

WB Video Protocol

FAQs for RDH11 Antibody (NBP1-40130) (0)

There are no specific FAQs related to this product. Read our general customer & technical service FAQs.

Secondary Antibodies

 

Isotype Controls

Additional RDH11 Products

Research Areas for RDH11 Antibody (NBP1-40130)

Find related products by research area.

Blogs on RDH11

There are no specific blogs for RDH11, but you can read our latest blog posts.

Contact Information

Product PDFs

Calculators

Concentration Calculator

The concentration calculator allows you to quickly calculate the volume, mass or concentration of your vial. Simply enter your mass, volume, or concentration values for your reagent and the calculator will determine the rest.

=
÷

Review this Product

Be the first to review our RDH11 Antibody and receive a gift card or discount.

Bioinformatics

Gene Symbol RDH11
Entrez
Uniprot