RAB9A Antibody (Mab9)

Images

 
Western Blot: RAB9A Antibody (Mab9) [NB300-621] - Analysis of 25 ug of K562 (lane 1), 293 (lane 2) and Hela (lane 3).
Immunocytochemistry/ Immunofluorescence: RAB9A Antibody (Mab9) [NB300-621] - Analysis of RAB9 using RAB9 Monoclonal Antibody (Mab9) shows staining in U251 Cells. RAB9 (green), F-Actin staining with Phalloidin (red) and ...read more
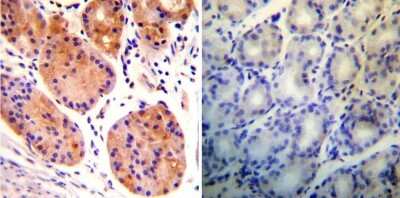
Immunohistochemistry-Paraffin: RAB9A Antibody (Mab9) [NB300-621] - Both normal and cancer biopsies of deparaffinized Human prostate carcinoma tissues.
Immunocytochemistry/ Immunofluorescence: RAB9A Antibody (Mab9) [NB300-621] - Analysis of RAB9 using RAB9 Monoclonal Antibody (Mab9) shows staining in Hela Cells. RAB9 (green), F-Actin staining with Phalloidin (red) and ...read more
Immunocytochemistry/ Immunofluorescence: RAB9A Antibody (Mab9) [NB300-621] - Analysis of RAB9 using RAB9 Monoclonal Antibody (Mab9) shows staining in A2058 Cells. RAB9 (green), F-Actin staining with Phalloidin (red) and ...read more
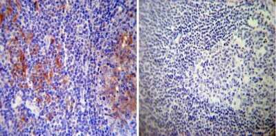
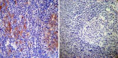
Immunohistochemistry-Paraffin: RAB9A Antibody (Mab9) [NB300-621] - Both normal and cancer biopsies of deparaffinized Human tonsil tissues.
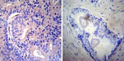
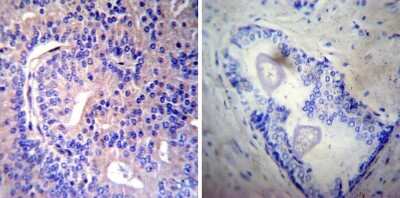
Immunohistochemistry-Paraffin: RAB9A Antibody (Mab9) [NB300-621] - Both normal and cancer biopsies of deparaffinized Human stomach tissues.

Product Details

Summary
Product Discontinued
View other related RAB9A Primary Antibodies

Order Details


    • Catalog Number
      NB300-621
    • Availability
      Product Discontinued

    Can't find what you are looking for? Use our Antibody Concierge Service & we will help you locate your antibody!

    Or feel free to contact us for alternative products.

RAB9A Antibody (Mab9) Summary

Immunogen
Recombinant canine rab 9a.
Localization
Cell Membrane (lipid anchor; cytoplasmic side).
Marker
Endosome Marker
Specificity
Recognizes prenylated and non-prenylated rab 9. This does not cross-react with other rab family members.
Isotype
IgG1
Clonality
Monoclonal
Host
Mouse
Gene
RAB9A
Purity
Unpurified
Innovator's Reward
Test in a species/application not listed above to receive a full credit towards a future purchase.

Applications/Dilutions

Dilutions
  • Immunocytochemistry/ Immunofluorescence 1:500
  • Immunohistochemistry 1:20
  • Immunohistochemistry-Paraffin 1:10 - 1:500
  • Immunomicroscopy 1:10 - 1:500
  • Immunoprecipitation 1:10 - 1:500
  • Western Blot 1:1000 - 1:5000
Application Notes
In WB: Detects an approx. 26 kDa protein representing Rab 9 from K562 cell extract. Electron Microscopy usage was reported in scientific literature (PMID: 21829543). IP usage was reported in scientific literature (PMID: 8389620).
Publications
Read Publication using
NB300-621 in the following applications:

Packaging, Storage & Formulations

Storage
Store at -20C. Avoid freeze-thaw cycles.
Buffer
Ascites diluted with PBS
Preservative
0.05% Sodium Azide
Purity
Unpurified

Alternate Names for RAB9A Antibody (Mab9)

  • RAB9A, member RAS oncogene family
  • RAB9RAB9, member RAS oncogene family
  • ras-related protein Rab-9A

Background

Rab proteins are a family of Ras-like GTPases involved in intracellular compartment protein transport. Different members of the 40+ member rab family are responsible for docking and fusion of transport vesicles between different compartments within the cell. Rab 9 is required for trafficking mannose 6-phosphate receptor between the late endosome to trans-Golgi network (TGN). By facilitating receptor transport, rab 9 enables cells to efficiently recycle important cellular trafficking components. It is functionally necessary for rab 9, like other rab family members, to be prenylated by two 20-carbon geranylgeranyl groups at the C-terminus. Most prenylated rab 9 is membrane bound, however, 10-20% of the cellular pool of rab 9 is bound to GDP dissociation inhibitor-alpha (GDI-alpha) in the cytosol. GDI recycles prenylated, GDP bound rab 9 from their fusion targets back to their membranes of origin.

Limitations

This product is for research use only and is not approved for use in humans or in clinical diagnosis. Primary Antibodies are guaranteed for 1 year from date of receipt.

Customers Who Viewed This Item Also Viewed...

NBP1-87174
Species: Hu, Mu, Rt
Applications: ICC/IF, IHC,  IHC-P, KD, WB
H00338382-M01
Species: Hu
Applications: ELISA, IP, WB
NB110-40764
Species: Hu, Mu, Po, Pm
Applications: ICC/IF, WB
NBP1-91991
Species: Hu, Mu, Rt
Applications: ICC/IF, IHC,  IHC-P, WB
NB400-148
Species: ChHa, Ha, Hu, Mu, Po, Pm, Rt
Applications: EM, ICC/IF, IHC,  IHC-P, IP, KD, KO, WB
NB120-13253
Species: Bv, Hu, Pm, Mu, Rt
Applications: ICC/IF, IHC-FrFl, IHC,  IHC-P, IP, WB
NBP2-49320
Species: Hu
Applications: ICC/IF, IHC,  IHC-P, WB
NBP1-83220
Species: Hu, Mu, Rt
Applications: ICC/IF, IHC,  IHC-P, KD, Simple Western, WB
NBP1-33110
Species: Hu, Mu, Rt
Applications: ICC/IF, IHC,  IHC-P, KO, WB
NB120-19294
Species: Hu, Mu, Rt
Applications: ICC/IF, IHC,  IHC-P, WB
NBP1-31528
Species: Hu, Mu
Applications: IHC,  IHC-P, WB
NBP2-34294
Species: Hu, Mu, Rt
Applications: Flow, IHC,  IHC-P
NB300-514
Species: Bv, Hu, Mu, Pm, Rt
Applications: CyTOF-ready, ELISA, Flow, ICC/IF, IHC,  IHC-P, IP, WB
NBP2-04024
Species: Hu
Applications: ICC/IF, IP, WB
NBP1-32956
Species: Hu
Applications: ICC/IF, IHC,  IHC-P, IP, WB
NBP1-55113
Species: Hu, Pm, Mu
Applications: IHC,  IHC-P, WB
NBP1-49643
Species: Bv, Hu, Pm
Applications: Flow-IC, Flow, IB, ICC/IF, IHC,  IHC-P, KO, WB
NBP2-36776
Species: Hu
Applications: ICC/IF, IHC,  IHC-P, KD, WB
NBP2-21577
Species: Hu, Mu, Rt
Applications: ICC/IF, IHC, IHC-Fr,  IHC-P, IP, KD, WB
NB500-249
Species: Hu, Mu, Rt
Applications: Flow, ICC/IF, IHC, IHC-Fr,  IHC-P, IP, KD, Simple Western, WB

Publications for RAB9A Antibody (NB300-621)(1)

We have publications tested in 1 confirmed species: Human.

We have publications tested in 1 application: ICC/IF.


Filter By Application
ICC/IF
(1)
All Applications
Filter By Species
Human
(1)
All Species

Reviews for RAB9A Antibody (NB300-621) (0)

There are no reviews for RAB9A Antibody (NB300-621). By submitting a review you will receive an Amazon e-Gift Card or Novus Product Discount.
  • Review with no image -- $10/€7/£6/$10 CAD/¥70 Yuan/¥1110 Yen
  • Review with an image -- $25/€18/£15/$25 CAD/¥150 Yuan/¥2500 Yen

Product General Protocols

Find general support by application which include: protocols, troubleshooting, illustrated assays, videos and webinars.

Video Protocols

WB Video Protocol
ICC/IF Video Protocol

FAQs for RAB9A Antibody (NB300-621) (0)

There are no specific FAQs related to this product. Read our general customer & technical service FAQs.

Secondary Antibodies

 

Isotype Controls

Additional RAB9A Products

Research Areas for RAB9A Antibody (NB300-621)

Find related products by research area.

Blogs on RAB9A

There are no specific blogs for RAB9A, but you can read our latest blog posts.

Contact Information

Product PDFs

Calculators

Concentration Calculator

The concentration calculator allows you to quickly calculate the volume, mass or concentration of your vial. Simply enter your mass, volume, or concentration values for your reagent and the calculator will determine the rest.

=
÷

Review this Product

Be the first to review our RAB9A Antibody (Mab9) and receive a gift card or discount.

Bioinformatics

Gene Symbol RAB9A
Entrez