PTPN4 Antibody - BSA Free

Images

 
Western Blot: PTPN4 Antibody - BSA Free [NBP3-46850] - Mouse testis tissue were subjected to SDS PAGE followed by western blot with (PTPN4 antibody) at dilution of 1:300
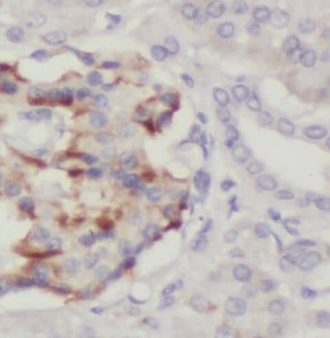
Immunohistochemistry: PTPN4 Antibody - BSA Free [NBP3-46850] - Immunohistochemistry of paraffin-embedded human pancreas cancer using (PTPN4 antibody) at dilution of 1:50

Product Details

Summary
Reactivity Hu, Mu, RtSpecies Glossary
Applications WB, ELISA, IHC
Clonality
Polyclonal
Host
Rabbit
Conjugate
Unconjugated
Format
BSA Free

Order Details

PTPN4 Antibody - BSA Free Summary

Description
Novus Biologicals Rabbit PTPN4 Antibody - BSA Free (NBP3-46850) is a polyclonal antibody validated for use in IHC, WB and ELISA. All Novus Biologicals antibodies are covered by our 100% guarantee.
Immunogen
protein tyrosine phosphatase, non-receptor type 4(megakaryocyte). (Uniprot# P29074)
Isotype
IgG
Clonality
Polyclonal
Host
Rabbit
Gene
PTPN4
Purity
Immunogen affinity purified
Innovator's Reward
Test in a species/application not listed above to receive a full credit towards a future purchase.

Applications/Dilutions

Dilutions
  • ELISA
  • Immunohistochemistry 1:20-1:200
  • Western Blot 1:200-1:2000
Application Notes
Theoretical Molecular Weight is 50-60 kDa, 110 kDa

Packaging, Storage & Formulations

Storage
Store at -20C. Avoid freeze-thaw cycles.
Buffer
PBS, 50% Glycerol, pH (7.3)
Preservative
0.02% Sodium Azide
Purity
Immunogen affinity purified

Alternate Names for PTPN4 Antibody - BSA Free

  • EC 3.1.3.48
  • MEG
  • megakaryocyte phosphatase
  • megakaryocyte protein-tyrosine phosphatase
  • protein tyrosine phosphatase MEG1
  • protein tyrosine phosphatase, non-receptor type 4 (megakaryocyte)
  • Protein-tyrosine phosphatase MEG1
  • PTPase-MEG1
  • PTPMEG
  • PTPMEG1
  • PTPN4
  • tyrosine-protein phosphatase non-receptor type 4

Background

PTPN4 is encoded by this gene is a member of the protein tyrosine phosphatase (PTP) family. PTPs are known to be signaling molecules that regulate a variety of cellular processes including cell growth, differentiation, mitotic cycle, and oncogenic transformation. This protein contains a C-terminal PTP domain and an N-terminal domain homologous to the band 4.1 superfamily of cytoskeletal-associated proteins. This PTP has been shown to interact with glutamate receptor delta 2 and epsilon subunits, and is thought to play a role in signalling downstream of the glutamate receptors through tyrosine dephosphorylation. [provided by RefSeq]

Limitations

This product is for research use only and is not approved for use in humans or in clinical diagnosis. Primary Antibodies are guaranteed for 1 year from date of receipt.

Customers Who Viewed This Item Also Viewed...

NBP3-47467
Species: Hu, Mu, Rt
Applications: ELISA, IHC, WB
MAB7475
Species: Hu, Rt
Applications: WB
H00005250-B02P
Species: Hu
Applications: ICC/IF, WB
MAB4937
Species: Hu
Applications: CyTOF-ready, ICFlow, WB
NB300-605
Species: Hu, Mu, Po, Rt
Applications: Flow, IB, ICC/IF, IHC, IHC-Fr,  IHC-P, In vitro, WB
H00002035-M01
Species: Hu
Applications: ELISA, ICC/IF, IHC,  IHC-P, S-ELISA, WB
NBP2-32875
Species: Hu, Rt
Applications: Flow, ICC/IF, IHC,  IHC-P, Simple Western, WB
MEP00B
Species: Mu
Applications: ELISA
NBP2-16396
Species: Hu, Mu, Rt, Ze
Applications: ICC/IF, IHC-WhMt, IHC,  IHC-P, WB
NB100-1020
Species: Hu
Applications: IHC,  IHC-P, PEP-ELISA, WB
NB110-96417
Species: Hu, Mu, Rt
Applications: ICC/IF, IHC, IHC-Fr,  IHC-P
AF2685
Species: Hu
Applications: IHC, Simple Western, WB
MAB1930
Species: Hu, Mu, Rt
Applications: WB
NBP1-83276
Species: Hu, Rt
Applications: ICC/IF, IHC,  IHC-P, WB
AF1230
Species: Hu, Mu, Rt
Applications: IHC, KO, WB
NBP2-44520
Species: Ca(-), Hu, Rt(-)
Applications: Flow-IC, Flow, ICC/IF, IF, IHC,  IHC-P, MI, WB
203-IL
Species: Hu
Applications: BA
NBP1-76917
Species: Hu, Mu, Rt
Applications: ELISA, ICC/IF, IHC,  IHC-P, WB
H00005962-M06
Species: Ch, Hu, Mu, Rt
Applications: ELISA, ICC/IF, IHC, WB

Publications for PTPN4 Antibody (NBP3-46850) (0)

There are no publications for PTPN4 Antibody (NBP3-46850).
By submitting your publication information earn gift cards and discounts for future purchases.

Reviews for PTPN4 Antibody (NBP3-46850) (0)

There are no reviews for PTPN4 Antibody (NBP3-46850). By submitting a review you will receive an Amazon e-Gift Card or Novus Product Discount.
  • Review with no image -- $10/€7/£6/$10 CAD/¥70 Yuan/¥1110 Yen
  • Review with an image -- $25/€18/£15/$25 CAD/¥150 Yuan/¥2500 Yen

Product General Protocols

Find general support by application which include: protocols, troubleshooting, illustrated assays, videos and webinars.

Video Protocols

WB Video Protocol

FAQs for PTPN4 Antibody (NBP3-46850) (0)

There are no specific FAQs related to this product. Read our general customer & technical service FAQs.

Secondary Antibodies

 

Isotype Controls

Additional PTPN4 Products

Research Areas for PTPN4 Antibody (NBP3-46850)

Find related products by research area.

Blogs on PTPN4

There are no specific blogs for PTPN4, but you can read our latest blog posts.

Customers Who Bought This Also Bought

Contact Information

Product PDFs

Calculators

Concentration Calculator

The concentration calculator allows you to quickly calculate the volume, mass or concentration of your vial. Simply enter your mass, volume, or concentration values for your reagent and the calculator will determine the rest.

=
÷

Review this Product

Be the first to review our PTPN4 Antibody - BSA Free and receive a gift card or discount.

Bioinformatics

Gene Symbol PTPN4