Protein Disulfide Isomerase/P4HB Antibody

Images

 
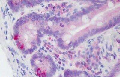
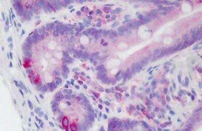
Immunohistochemistry-Paraffin: Protein Disulfide Isomerase/P4HB Antibody [NBP1-40137] - Staining of human small intestine. Immunohistochemistry of formalin-fixed, paraffin-embedded tissue after heat-induced antigen ...read more

Order Details


    • Catalog Number
      NBP1-40137
    • Availability
      Product Discontinued

    Can't find what you are looking for? Use our Antibody Concierge Service & we will help you locate your antibody!

    Or feel free to contact us for alternative products.

Protein Disulfide Isomerase/P4HB Antibody Summary

Immunogen
Synthetic peptide derived from the sequence around Pro329 of human Protein Disulfide Isomerase/P4HB (KLH).
Epitope
Around Pro329 of human protein
Marker
Fibroblast Marker
Specificity
Recognizes endogenous levels of total human Protein Disulfide Isomerase/P4HB protein. Species cross-reactivity: monkey, mouse and rat.
Isotype
IgG
Clonality
Polyclonal
Host
Rabbit
Gene
P4HB
Purity
Immunogen affinity purified
Innovator's Reward
Test in a species/application not listed above to receive a full credit towards a future purchase.

Applications/Dilutions

Dilutions
  • Immunocytochemistry 1:50
  • Immunocytochemistry/ Immunofluorescence
  • Immunofluorescence 1:50
  • Immunohistochemistry 1:10-1:500
  • Immunohistochemistry-Paraffin 1:50
  • Western Blot 1:1000
Application Notes
IHC: NBP1-40137 was validated for use in immunohistochemistry on a panel of 21 formalin-fixed, paraffin-embedded (FFPE) human tissues after heat induced antigen retrieval in pH 6.0 citrate buffer. After incubation with the primary antibody, slides were incubated with biotinylated secondary antibody, followed by alkaline phosphatase-streptavidin and chromogen. The stained slides were evaluated by a pathologist to confirm staining specificity. Immunofluorescence (IF-IC): Requires methanol permeabilization.

Packaging, Storage & Formulations

Storage
Store at 4C short term. Aliquot and store at -20C long term. Avoid freeze-thaw cycles.
Buffer
10mM Sodium HEPES (pH 7.5), 0.15M NaCl, 0.1 mg/ml BSA
Preservative
50% glycerol
Purity
Immunogen affinity purified

Alternate Names for Protein Disulfide Isomerase/P4HB Antibody

  • Cellular thyroid hormone-binding protein
  • collagen prolyl 4-hydroxylase beta
  • DSI
  • ERBA2L
  • GIT
  • glutathione-insulin transhydrogenase
  • P4HB
  • P4Hbeta
  • p55
  • PDI
  • PDIA1
  • PDIA1procollagen-proline, 2-oxoglutarate 4-dioxygenase (proline 4-hydroxylase), betapolypeptide (protein disulfide isomerase-associated 1)
  • PDIEC 5.3.4.1
  • PHDB
  • PO4DB
  • PO4HB
  • procollagen-proline, 2-oxoglutarate 4-dioxygenase (proline 4-hydroxylase), betapolypeptide
  • PROHB
  • PROHBprocollagen-proline, 2-oxoglutarate 4-dioxygenase (proline 4-hydroxylase), betapolypeptide (protein disulfide isomerase; thyroid hormone binding protein p55)
  • Prolyl 4-hydroxylase subunit beta
  • prolyl 4-hydroxylase, beta polypeptide
  • protein disulfide isomerase family A, member 1
  • protein disulfide isomerase/oxidoreductase
  • protein disulfide isomerase-associated 1
  • protein disulfide-isomerase
  • protocollagen hydroxylase
  • Thbp
  • thyroid hormone-binding protein p55

Background

P4HB, the beta subunit of prolyl 4-hydroxylase, a highly abundant member of the PDI family. P4HB is a multifunctional enzyme, involved in hydroxylation of prolyl residues in preprocollagen, as well as continual rearrangement of disulfide bonds. Other known functions include its ability to act as a chaperone that inhibits aggregation of misfolded proteins in a concentration-dependent manner, its ability to bind thyroid hormone, its role in both the influx and efflux of S-nitrosothiol-bound nitric oxide, and its function as a subunit of the microsomal triglyceride transfer protein complex.

Limitations

This product is for research use only and is not approved for use in humans or in clinical diagnosis. Primary Antibodies are guaranteed for 1 year from date of receipt.

Customers Who Viewed This Item Also Viewed...

202-IL
Species: Hu
Applications: BA
DRT200
Species: Hu
Applications: ELISA
NBP1-89394
Species: Hu
Applications: ICC/IF, IHC,  IHC-P
H00001523-M01
Species: Hu, Mu, Rt
Applications: ELISA, ICC/IF, IHC,  IHC-P, IP, WB
MAB224
Species: Hu
Applications: CyTOF-ready, Flow, IHC, Neut
MAB3468
Species: Hu
Applications: ICC, WB
H00003059-M02
Species: Hu
Applications: ELISA, IHC,  IHC-P, KD, PLA, S-ELISA, WB
NBP1-18910
Species: Hu, Mu, Rt
Applications: ICC/IF, IHC, IHC-Fr,  IHC-P, IP, Simple Western, WB
AF1138
Species: Hu
Applications: CyTOF-ready, Flow, IHC, Neut, WB
7268-CT
Species: Hu
Applications: BA
NBP2-79843
Species: Hu
Applications: CyTOF-ready, ELISA, Flow, ICC/IF, IHC,  IHC-P, PA, WB
NB100-524
Species: Hu, Mu
Applications: Flow-IC, Flow, ICC/IF, IHC, IHC-Fr,  IHC-P, IP, WB
M6000B
Species: Mu
Applications: ELISA
DRT100
Species: Hu
Applications: ELISA
NBP1-06274
Species: Ce, Ch, Dr, Hu, Mu, Rt, Sh, Ze
Applications: Flow, ICC/IF, IHC-FrFl, IHC,  IHC-P, Simple Western, WB
6507-IL/CF
Species: Hu
Applications: BA
DY417
Species: Mu
Applications: ELISA
MAB1417
Species: Bv, Hu, Mu
Applications: ICC, IHC
NBP2-34031
Species: Hu
Applications: ICC/IF, IHC,  IHC-P, WB

Publications for Protein Disulfide Isomerase/P4HB Antibody (NBP1-40137) (0)

There are no publications for Protein Disulfide Isomerase/P4HB Antibody (NBP1-40137).
By submitting your publication information earn gift cards and discounts for future purchases.

Reviews for Protein Disulfide Isomerase/P4HB Antibody (NBP1-40137) (0)

There are no reviews for Protein Disulfide Isomerase/P4HB Antibody (NBP1-40137). By submitting a review you will receive an Amazon e-Gift Card or Novus Product Discount.
  • Review with no image -- $10/€7/£6/$10 CAD/¥70 Yuan/¥1110 Yen
  • Review with an image -- $25/€18/£15/$25 CAD/¥150 Yuan/¥2500 Yen

Product General Protocols

Find general support by application which include: protocols, troubleshooting, illustrated assays, videos and webinars.

Video Protocols

WB Video Protocol
ICC/IF Video Protocol

FAQs for Protein Disulfide Isomerase/P4HB Antibody (NBP1-40137) (0)

There are no specific FAQs related to this product. Read our general customer & technical service FAQs.

Contact Information

Product PDFs

Calculators

Concentration Calculator

The concentration calculator allows you to quickly calculate the volume, mass or concentration of your vial. Simply enter your mass, volume, or concentration values for your reagent and the calculator will determine the rest.

=
÷

Review this Product

Be the first to review our Protein Disulfide Isomerase/P4HB Antibody and receive a gift card or discount.

Bioinformatics

Gene Symbol P4HB
Entrez
Uniprot