Proteasome 20S beta2 Antibody - BSA Free

Images

 
Western Blot: Proteasome 20S beta2 Antibody [NBP1-92294] - Lane 1: NIH-3T3 cell lysate (Mouse embryonic fibroblast cells). Lane 2: NBT-II cell lysate (Rat Wistar bladder tumor cells).
Immunocytochemistry/ Immunofluorescence: Proteasome 20S beta2 Antibody [NBP1-92294] - Staining of human cell line A-431 shows localization to nucleoplasm. Antibody staining is shown in green.
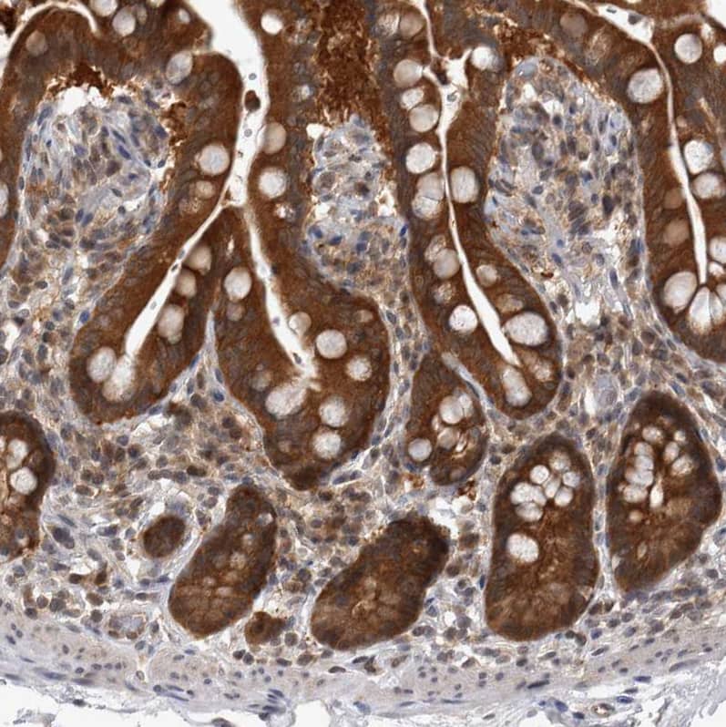
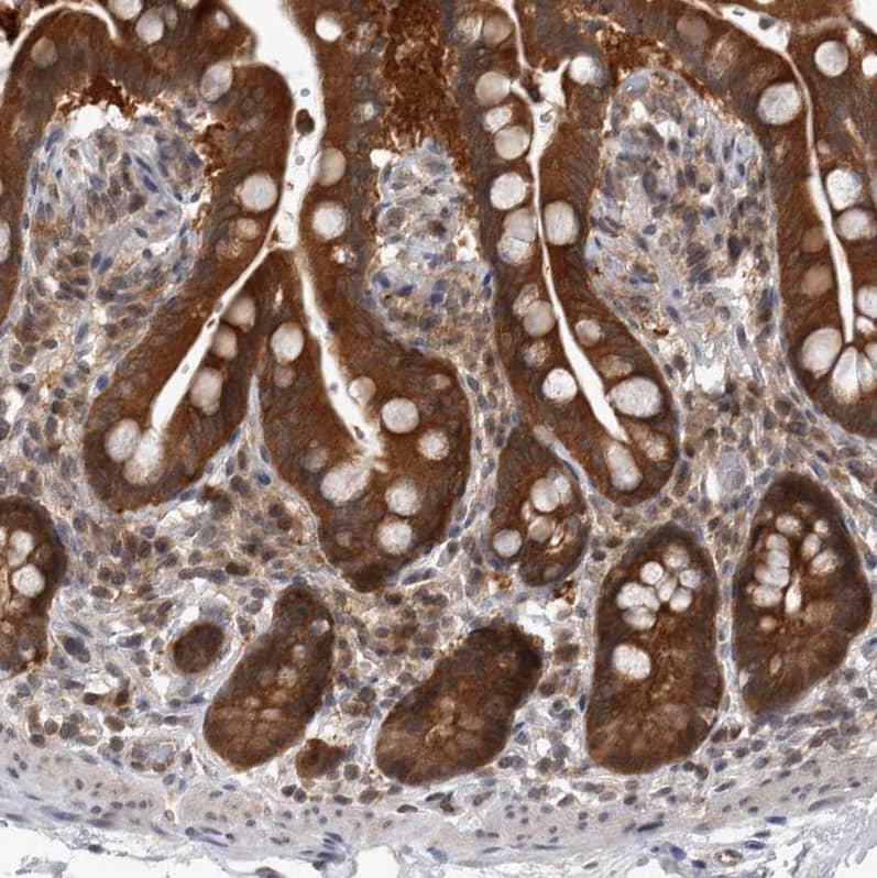
Immunohistochemistry-Paraffin: Proteasome 20S beta2 Antibody [NBP1-92294] - Staining of human colon shows strong cytoplasmic positivity in glandular cells
Lane 1: Marker [kDa] 230, 130, 95, 72, 56, 36, 28, 17, 11Lane 2: Human cell line RT-4Lane 3: Human cell line U-251MG spLane 4: Human plasma (IgG/HSA depleted)Lane 5: Human liver tissueLane 6: Human tonsil tissue
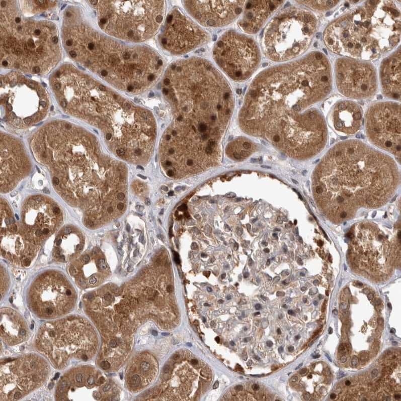
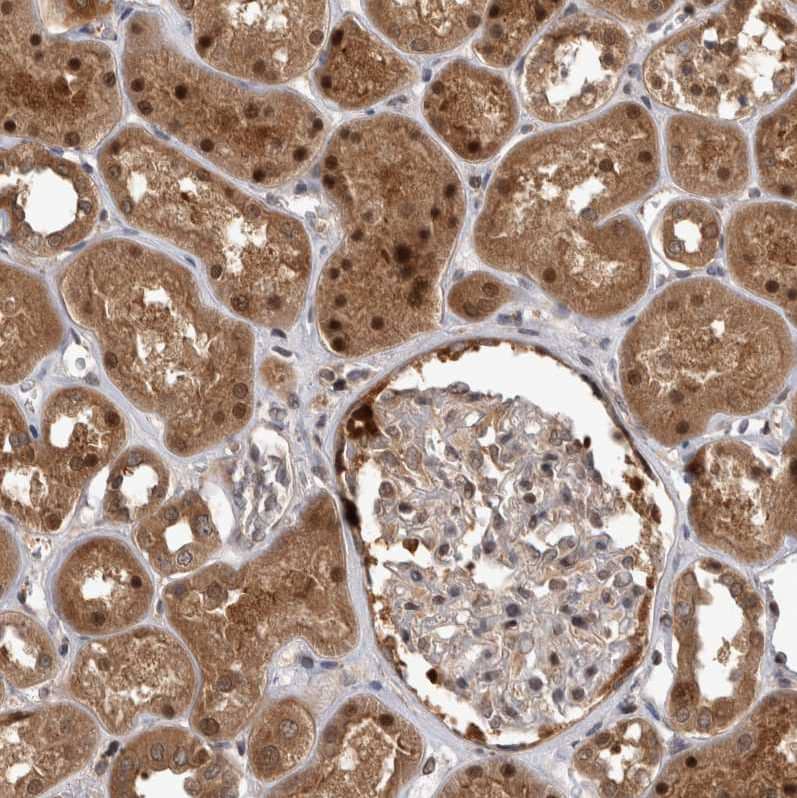
Staining of human kidney shows moderate to strong nuclear and cytoplasmic positivity in cells in tubules.
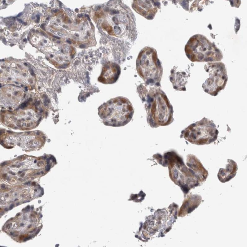
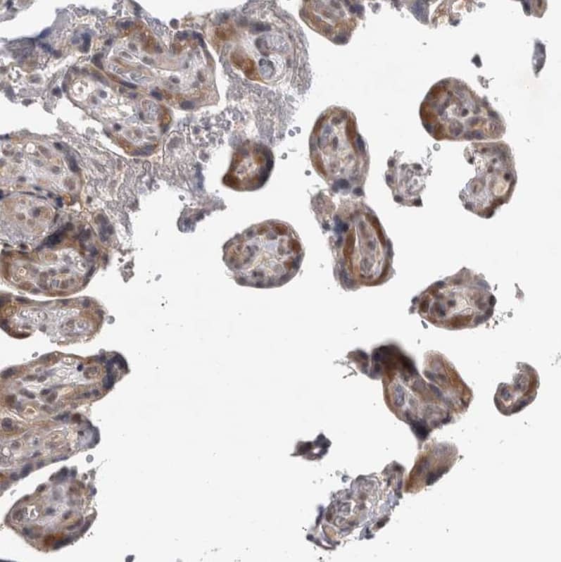
Staining of human placenta shows moderate to strong nuclear and cytoplasmic positivity in trophoblastic cells.
Lane 1: NIH-3T3 cell lysate (Mouse embryonic fibroblast cells)Lane 2: NBT-II cell lysate (Rat Wistar bladder tumour cells)
Staining of human cerebral cortex shows weak to moderate cytoplasmic positivity in neurons.
Staining of human colon shows strong cytoplasmic positivity in glandular cells.

Product Details

Summary
Reactivity Hu, Mu, RtSpecies Glossary
Applications WB, ICC/IF, IHC
Clonality
Polyclonal
Host
Rabbit
Conjugate
Unconjugated
Format
BSA Free

Order Details

View Available Formulations
Catalog# & Formulation Size Price

Proteasome 20S beta2 Antibody - BSA Free Summary

Description
Novus Biologicals Rabbit Proteasome 20S beta2 Antibody - BSA Free (NBP1-92294) is a polyclonal antibody validated for use in IHC, WB and ICC/IF. Anti-Proteasome 20S beta2 Antibody: Cited in 2 publications. All Novus Biologicals antibodies are covered by our 100% guarantee.
Immunogen
This antibody was developed against Recombinant Protein corresponding to amino acids: LLLAGYDEHEGPALYYMDYLAALAKAPFAAHGYGAFLTLSILDRYYTPTISRERAVELLRKCLEELQKRFILNLPTF
Isotype
IgG
Clonality
Polyclonal
Host
Rabbit
Gene
PSMB2
Purity
Affinity purified
Innovator's Reward
Test in a species/application not listed above to receive a full credit towards a future purchase.

Applications/Dilutions

Dilutions
  • Immunocytochemistry/ Immunofluorescence 0.25-2 ug/ml
  • Immunohistochemistry 1:20 - 1:50
  • Immunohistochemistry-Paraffin 1:20 - 1:50
  • Western Blot 0.04-0.4 ug/ml
Application Notes
For IHC-Paraffin, HIER pH 6 retrieval is recommended. ICC/IF Fixation Permeabilization: Use PFA/Triton X-100.
Control Peptide
Proteasome 20S beta2 Protein (NBP1-92294PEP)
Publications
Read Publications using NBP1-92294.

Packaging, Storage & Formulations

Storage
Store at 4C short term. Aliquot and store at -20C long term. Avoid freeze-thaw cycles.
Buffer
PBS (pH 7.2) and 40% Glycerol
Preservative
0.02% Sodium Azide
Purity
Affinity purified

Alternate Names for Proteasome 20S beta2 Antibody - BSA Free

  • EC 3.4.25.1
  • HC7-I
  • Macropain subunit C7-I
  • MGC104215
  • MGC126885
  • multicatalytic endopeptidase complex subunit C7-1
  • Multicatalytic endopeptidase complex subunit C7-I
  • proteasome (prosome, macropain) subunit, beta type, 2
  • Proteasome 20S beta2
  • proteasome beta 2 subunit
  • Proteasome component C7-I
  • proteasome subunit beta type-2
  • proteasome subunit, beta type, 2
  • PSMB2

Background

The proteasome is a multicatalytic proteinase complex with a highly ordered ring-shaped 20S core structure. The core structure is composed of 4 rings of 28 non-identical subunits; 2 rings are composed of 7 alpha subunits and 2 rings are composed of 7 beta subunits. Proteasomes are distributed throughout eukaryotic cells at a high concentration and cleave peptides in an ATP/ubiquitin-dependent process in a non-lysosomal pathway. An essential function of a modified proteasome, the immunoproteasome, is the processing of class I MHC peptides. This gene encodes a member of the proteasome B-type family, also known as the T1B family, that is a 20S core beta subunit.

Limitations

This product is for research use only and is not approved for use in humans or in clinical diagnosis. Primary Antibodies are guaranteed for 1 year from date of receipt.

Customers Who Viewed This Item Also Viewed...

H00005696-M01
Species: Hu
Applications: ELISA, ICC/IF, IHC,  IHC-P, IP, WB
NBP2-01817
Species: Hu, Mu, Rt
Applications: Flow, ICC/IF, IHC,  IHC-P, WB
NBP2-13820
Species: Hu
Applications: ICC/IF, IHC,  IHC-P, WB
NBP1-88660
Species: Hu
Applications: ICC/IF, IHC,  IHC-P, WB
NBP3-38629
Species: Hu, Mu, Rt
Applications: ELISA, IHC,  IHC-P, WB
NB600-1160
Species: Bv, Ca, Hu, Mu, Po, Rt, Ze
Applications: Flow, ICC/IF, IHC, IHC-Fr,  IHC-P, Simple Western, WB
NBP3-38181
Species: Hu, Mu, Rt
Applications: ELISA, ICC/IF, IHC,  IHC-P, WB
NBP1-92293
Species: Hu, Mu, Rt
Applications: ICC/IF, IHC,  IHC-P, WB
MAB6529
Species: Hu
Applications: Simple Western, WB
NBP1-83121
Species: Hu
Applications: IHC,  IHC-P, Simple Western, WB
NBP2-30852
Species: Hu
Applications: ICC/IF, IHC,  IHC-P, WB
NBP2-46297
Species: Hu, Mu, Rt
Applications: IHC,  IHC-P, WB
NBP2-76836
Species: Hu, Mu, Rt
Applications: ICC/IF, WB
NBP1-85448
Species: Hu, Mu, Rt
Applications: ICC/IF, IHC,  IHC-P, WB
NBP2-01832
Species: Hu, Pm, Mu, Pm, Rt
Applications: IHC,  IHC-P, WB
NBP2-01225
Species: Hu, Mu, Rt
Applications: IHC,  IHC-P, WB
NBP1-89755
Species: Hu, Mu, Rt
Applications: ICC/IF, IHC,  IHC-P, KD, WB
NBP1-89714
Species: Hu
Applications: ICC/IF, IHC,  IHC-P, WB
NBP2-03836
Species: Ca, Hu, Pm, Mu, Pm, Rt
Applications: Flow, IHC,  IHC-P, WB
NBP1-92294
Species: Hu, Mu, Rt
Applications: WB, ICC/IF, IHC

Publications for Proteasome 20S beta2 Antibody (NBP1-92294)(2)

Reviews for Proteasome 20S beta2 Antibody (NBP1-92294) (0)

There are no reviews for Proteasome 20S beta2 Antibody (NBP1-92294). By submitting a review you will receive an Amazon e-Gift Card or Novus Product Discount.
  • Review with no image -- $10/€7/£6/$10 CAD/¥70 Yuan/¥1110 Yen
  • Review with an image -- $25/€18/£15/$25 CAD/¥150 Yuan/¥2500 Yen

Product General Protocols

Find general support by application which include: protocols, troubleshooting, illustrated assays, videos and webinars.

Video Protocols

WB Video Protocol
ICC/IF Video Protocol

FAQs for Proteasome 20S beta2 Antibody (NBP1-92294) (0)

There are no specific FAQs related to this product. Read our general customer & technical service FAQs.

Customers Who Bought This Also Bought

Contact Information

Product PDFs

Calculators

Concentration Calculator

The concentration calculator allows you to quickly calculate the volume, mass or concentration of your vial. Simply enter your mass, volume, or concentration values for your reagent and the calculator will determine the rest.

=
÷

Review this Product

Be the first to review our Proteasome 20S beta2 Antibody - BSA Free and receive a gift card or discount.

Bioinformatics

Gene Symbol PSMB2