Prosurfactant Protein C Antibody - BSA Free

Images

 
Western Blot: Prosurfactant Protein C Antibody [NBP1-60117] - Titration: 0.2-1 ug/ml, Positive Control: COLO205 cell lysate.
Immunohistochemistry-Paraffin: Prosurfactant Protein C Antibody [NBP1-60117] - Human Lung tissue. Antibody at 5 ug/mL.

Product Details

Summary
Reactivity HuSpecies Glossary
Applications WB, IHC
Clonality
Polyclonal
Host
Rabbit
Conjugate
Unconjugated
Format
BSA Free
Concentration
0.5 mg/ml

Order Details

Prosurfactant Protein C Antibody - BSA Free Summary

Description
The addition of 50% glycerol is optional for those storing this antibody at -20C and not aliquoting smaller units. However, please note that glycerol may interrupt some downstream antibody applications and should be added with caution.
Immunogen
Synthetic peptide corresponding to SFTPC (surfactant, pulmonary-associated protein C). The peptide sequence was selected from the N terminal of SFTPC. Peptide sequence MDVGSKEVLMESPPDYSAAPRGRFGIPCCPVHLKRLLIVVVVVVLIVVVI. The peptide sequence for this immunogen was taken from within the described region.
Isotype
IgG
Clonality
Polyclonal
Host
Rabbit
Gene
SFTPC
Purity
Affinity purified
Innovator's Reward
Test in a species/application not listed above to receive a full credit towards a future purchase.

Applications/Dilutions

Dilutions
  • Immunohistochemistry 1:10 - 1:500
  • Immunohistochemistry-Paraffin 1:10 - 1:500
  • Western Blot 1.0 ug/ml
Theoretical MW
21 kDa.
Disclaimer note: The observed molecular weight of the protein may vary from the listed predicted molecular weight due to post translational modifications, post translation cleavages, relative charges, and other experimental factors.
Reviewed Applications
Read 1 Review rated 1
using
NBP1-60117 in the following applications:

Publications
Read Publications using
NBP1-60117 in the following applications:

Packaging, Storage & Formulations

Storage
Store at 4C short term. Aliquot and store at -20C long term. Avoid freeze-thaw cycles.
Buffer
PBS, 2% Sucrose
Preservative
0.09% Sodium Azide
Concentration
0.5 mg/ml
Purity
Affinity purified

Alternate Names for Prosurfactant Protein C Antibody - BSA Free

  • PSP-C
  • pulmonary surfactant-associated protein C
  • Pulmonary surfactant-associated proteolipid SPL(Val)
  • SFTP2
  • SFTP2pulmonary surfactant apoprotein-2 SP-C
  • SMDP2surfactant, pulmonary-associated protein C
  • SP-CSP5
  • surfactant protein C

Background

This gene encodes the pulmonary-associated surfactant protein C (SPC), an extremely hydrophobic surfactant protein essential for lung function and homeostasis after birth. Pulmonary surfactant is a surface-active lipoprotein complex composed of 90% lipids

Limitations

This product is for research use only and is not approved for use in humans or in clinical diagnosis. Primary Antibodies are guaranteed for 1 year from date of receipt.

Customers Who Viewed This Item Also Viewed...

H00006439-P01
Species: Hu
Applications: ELISA, AP, PA, WB
MAB4077
Species: Hu
Applications: IHC, WB
MAB4218
Species: Hu
Applications: IHC, WB
NBP2-44501
Species: Hu, Mu, Rt
Applications: Flow, ICC/IF, IF, IHC,  IHC-P
AF1920
Species: Hu, Mu, Rt
Applications: Simple Western, WB
251-KG
Species: Hu
Applications: BA
NBP2-67247
Species: Hu
Applications: ICC/IF, WB
NBP3-27122
Species: Hu
Applications: ELISA, Flow, ICC/IF, IHC,  IHC-P, WB
NBP1-89310
Species: Hu
Applications: ICC/IF, IHC,  IHC-P
345-FG
Species: Hu
Applications: BA
H00005555-P01
Species: Hu
Applications: ELISA, AP, PA, PAGE, WB
NB100-93444
Species: Hu
Applications: PEP-ELISA, WB
NB500-106
Species: Ch, Dr, Fi, Hu, Mar, Mu, Po, Pm, Rb, Rt, Ye, Ze
Applications: ChIP, ChIP, ELISA, Flow, ICC/IF, IHC-FrFl, IHC, IHC-Fr,  IHC-P, IP, Simple Western, WB
DVE00
Species: Hu
Applications: ELISA
M6000B
Species: Mu
Applications: ELISA
NBP1-60117
Species: Hu
Applications: WB, IHC

Publications for Prosurfactant Protein C Antibody (NBP1-60117)(3)

We have publications tested in 1 confirmed species: Human.

We have publications tested in 1 application: IHC-P.


Filter By Application
IHC-P
(1)
All Applications
Filter By Species
Human
(1)
All Species
Showing Publications 1 - 3 of 3.
Publications using NBP1-60117 Applications Species
Da Silva Filho J, Herder V, Gibbins M et al. Disease trajectories in hospitalized COVID-19 patients are predicted by clinical and peripheral blood signatures representing distinct lung pathologies medRxiv 2023-09-09 (IHC-P, Human)

Details:
4.17 ug/mL dilution
IHC-P Human
Xiaoying Zhang, Mir Ali, Morgan Alexandra Pantuck, Xiaofeng Yang, Chih-Ru Lin, Karim Bahmed, Beata Kosmider, Ying Tian CD8 T cell response and its released cytokine IFN-gamma are necessary for lung alveolar epithelial repair during bacterial pneumonia Frontiers in Immunology 2023-10-26 [PMID: 37954603]
Panigrahi S, Goswami T, Ferrari B et al. SARS-CoV-2 Spike Protein Destabilizes Microvascular Homeostasis Microbiology spectrum 2021-12-22 [PMID: 34935423]

Review for Prosurfactant Protein C Antibody (NBP1-60117) (1) 11

Average Rating: 1
(Based on 1 review)
We have 1 review tested in 1 species: Pig.

Reviews using NBP1-60117:
Filter by Applications
 IHC-P
(1)
All Applications
Filter by Species
Pig
(1)
All Species
Images Ratings Applications Species Date Details
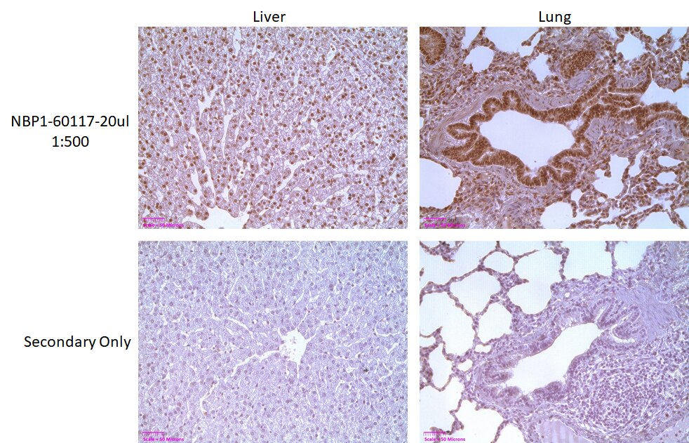
Immunohistochemistry-Paraffin Prosurfactant Protein C NBP1-60117
Enlarge
1
reviewed by:
Maximillian Carlino
 IHC-P Pig 01/12/2021
View

Summary

ApplicationImmunohistochemistry-Paraffin
Sample TestedLiver tissue,Lung tissue
SpeciesPig
LotWC63276-170512

Comments

CommentsUnfortunately unusable for my experiments. Tissue was blocked in 3% H2O2 in PBS for 10 minutes, then PBS containing 1%BSA + 2% FBS + 0.1% Triton X-100 overnight. Primary antibody was diluted 1:500 in the latter buffer and incubated overnight at 4C. Secondary antibody was a ready-to-use goat-anti-rabbit polymer HRP (Vector Labs MP-7451-15) and was incubated at 22C for 2 hours. 0.05% DAB + 0.015% H2O2 in PBS was used as the detection solution and incubated for 5 minutes before washing, counterstaining with hematoxylin for 3 minutes, washing, dehydrating, and mounting coverslips.

Product General Protocols

Find general support by application which include: protocols, troubleshooting, illustrated assays, videos and webinars.

Video Protocols

WB Video Protocol

FAQs for Prosurfactant Protein C Antibody (NBP1-60117) (0)

There are no specific FAQs related to this product. Read our general customer & technical service FAQs.

Customers Who Bought This Also Bought

Contact Information

Product PDFs

Calculators

Concentration Calculator

The concentration calculator allows you to quickly calculate the volume, mass or concentration of your vial. Simply enter your mass, volume, or concentration values for your reagent and the calculator will determine the rest.

=
÷

Recent Reviews

1
5
0
4
0
3
0
2
0
1
1

Maximillian Carlino
01/12/2021
Application:  IHC-P
Species: Pig

Bioinformatics

Gene Symbol SFTPC
Uniprot