PPP4R2 Antibody - BSA Free

Images

 
Immunocytochemistry/ Immunofluorescence: PPP4R2 Antibody [NBP2-38453] - Immunofluorescent staining of human cell line U-2 OS shows localization to nucleoplasm.
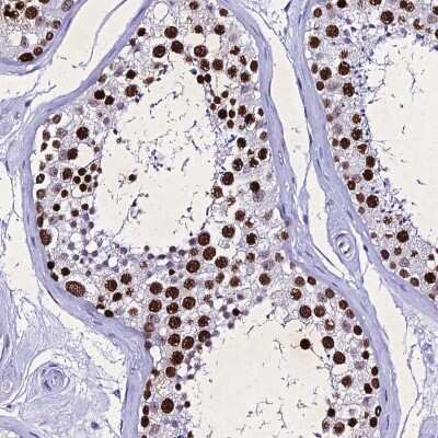
Immunohistochemistry: PPP4R2 Antibody [NBP2-38453] - Staining of human testis shows strong nuclear positivity in cells in seminiferus ducts.

Product Details

Summary
Reactivity Hu, Mu, RtSpecies Glossary
Applications ICC/IF, IHC
Clonality
Polyclonal
Host
Rabbit
Conjugate
Unconjugated
Format
BSA Free

Order Details

View Available Formulations
Catalog# & Formulation Size Price

PPP4R2 Antibody - BSA Free Summary

Description
Novus Biologicals Rabbit PPP4R2 Antibody - BSA Free (NBP2-38453) is a polyclonal antibody validated for use in IHC and ICC/IF. All Novus Biologicals antibodies are covered by our 100% guarantee.
Immunogen
This antibody was developed against a recombinant protein corresponding to amino acids: FTIQRLCELLTDPRRNYTGTDKFLRGVEKNVMVVSCVYPSSEKNNSNSLNRMNGVMFPGNSPSYTERSNINGPGTPRPLNRPKVSLSAPMTTNGLPESTD
Predicted Species
Mouse (95%), Rat (95%). Backed by our 100% Guarantee.
Isotype
IgG
Clonality
Polyclonal
Host
Rabbit
Gene
PPP4R2
Purity
Immunogen affinity purified
Innovator's Reward
Test in a species/application not listed above to receive a full credit towards a future purchase.

Applications/Dilutions

Dilutions
  • Immunocytochemistry/ Immunofluorescence 0.25-2 ug/ml
  • Immunohistochemistry 1:50 - 1:200
  • Immunohistochemistry-Paraffin 1:50 - 1:200
Application Notes
For IHC-Paraffin, HIER pH 6 retrieval is recommended. Immunocytochemistry/Immunofluorescence Fixation Permeabilization: Use PFA/Triton X-100.
Control Peptide
PPP4R2 Protein (NBP2-38453PEP)

Packaging, Storage & Formulations

Storage
Store at 4C short term. Aliquot and store at -20C long term. Avoid freeze-thaw cycles.
Buffer
PBS (pH 7.2) and 40% Glycerol
Preservative
0.02% Sodium Azide
Purity
Immunogen affinity purified

Alternate Names for PPP4R2 Antibody - BSA Free

  • MGC131930
  • PP4R2
  • protein phosphatase 4, regulatory subunit 2
  • serine/threonine-protein phosphatase 4 regulatory subunit 2

Background

Regulatory subunit of serine/threonine-protein phosphatase 4 (PP4). May regulate the activity of PPP4C atcentrosomal microtubule organizing centers. Its interaction with the SMN complex leads to enhance the temporallocalization of snRNPs, suggesting a role of PPP4C in maturation of spliceosomal snRNPs. The PPP4C-PPP4R2-PPP4R3A PP4complex specifically dephosphorylates H2AFX phosphorylated on 'Ser-140' (gamma-H2AFX) generated during DNA replicationand required for DNA DSB repair

Limitations

This product is for research use only and is not approved for use in humans or in clinical diagnosis. Primary Antibodies are guaranteed for 1 year from date of receipt.

Customers Who Viewed This Item Also Viewed...

MAB5074
Species: Hu
Applications: WB
NBP2-29373
Species: Hu, Mu, Rt
Applications: Flow-CS, Flow, ICC/IF
NB100-2350
Species: Hu, Mu, Rt
Applications: ChIP, ICC/IF, IHC,  IHC-P, IP, WB
NBP1-47833
Species: Hu, Mu, Rt
Applications: ICC/IF, IHC,  IHC-P, WB
NBP2-71688
Species: Ca, Hu, Mu, Rt
Applications: CyTOF-ready, Flow, ICC/IF, IHC,  IHC-P, IP, WB
NBP1-81393
Species: Hu
Applications: ICC/IF
NBP1-87242
Species: Hu
Applications: ICC/IF, IHC,  IHC-P, KD, WB
NBP2-49223
Species: Hu
Applications: IHC,  IHC-P
NB100-1936
Species: Hu, Mu, Pm, Rt, Xp, Ze
Applications: ELISA, Flow, ICC/IF, IHC,  IHC-P, IP, WB
H00006607-M01
Species: Hu
Applications: ELISA, ICC/IF, IHC,  IHC-P, WB
AF2288
Species: Hu
Applications: ICC, IHC, Simple Western, WB
NBP3-14356
Species: Hu
Applications: ICC/IF, IHC,  IHC-P
NBP2-43853
Species: Bv, Hu, Mu, Rt
Applications: ELISA, ICC/IF, IHC, IHC-Fr,  IHC-P, WB
NB100-308
Species: Hu, Mu
Applications: Func, ICC/IF, IP, In vitro, KO, WB
AF4036
Species: Hu
Applications: Simple Western, WB
NBP2-02009
Species: Hu, Mu
Applications: ICC/IF, IHC,  IHC-P, WB
AF1749
Species: Rt
Applications: IHC, WB
H00004646-M02
Species: Hu, Mu
Applications: ELISA, IHC, S-ELISA, WB
NBP2-38453
Species: Hu, Mu, Rt
Applications: ICC/IF, IHC

Publications for PPP4R2 Antibody (NBP2-38453) (0)

There are no publications for PPP4R2 Antibody (NBP2-38453).
By submitting your publication information earn gift cards and discounts for future purchases.

Reviews for PPP4R2 Antibody (NBP2-38453) (0)

There are no reviews for PPP4R2 Antibody (NBP2-38453). By submitting a review you will receive an Amazon e-Gift Card or Novus Product Discount.
  • Review with no image -- $10/€7/£6/$10 CAD/¥70 Yuan/¥1110 Yen
  • Review with an image -- $25/€18/£15/$25 CAD/¥150 Yuan/¥2500 Yen

Product General Protocols

Find general support by application which include: protocols, troubleshooting, illustrated assays, videos and webinars.

Video Protocols

ICC/IF Video Protocol

FAQs for PPP4R2 Antibody (NBP2-38453) (0)

There are no specific FAQs related to this product. Read our general customer & technical service FAQs.

Customers Who Bought This Also Bought

Contact Information

Product PDFs

Calculators

Concentration Calculator

The concentration calculator allows you to quickly calculate the volume, mass or concentration of your vial. Simply enter your mass, volume, or concentration values for your reagent and the calculator will determine the rest.

=
÷

Review this Product

Be the first to review our PPP4R2 Antibody - BSA Free and receive a gift card or discount.

Bioinformatics

Gene Symbol PPP4R2
Uniprot