Podocalyxin Like Antibody (CL0285) - Azide and BSA Free

Images

 
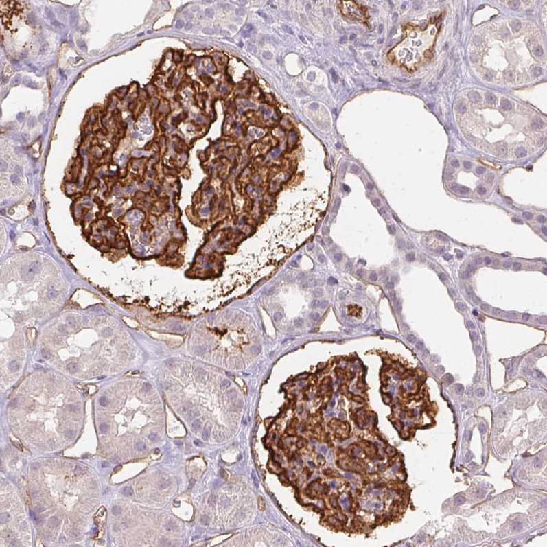
Orthogonal Strategies: Analysis in human kidney and liver tissues using NBP3-43854 antibody. Corresponding Podocalyxin Like RNA-seq data are presented for the same tissues.
Lane 1: Marker [kDa]Lane 2: Human kidney tissue lysate
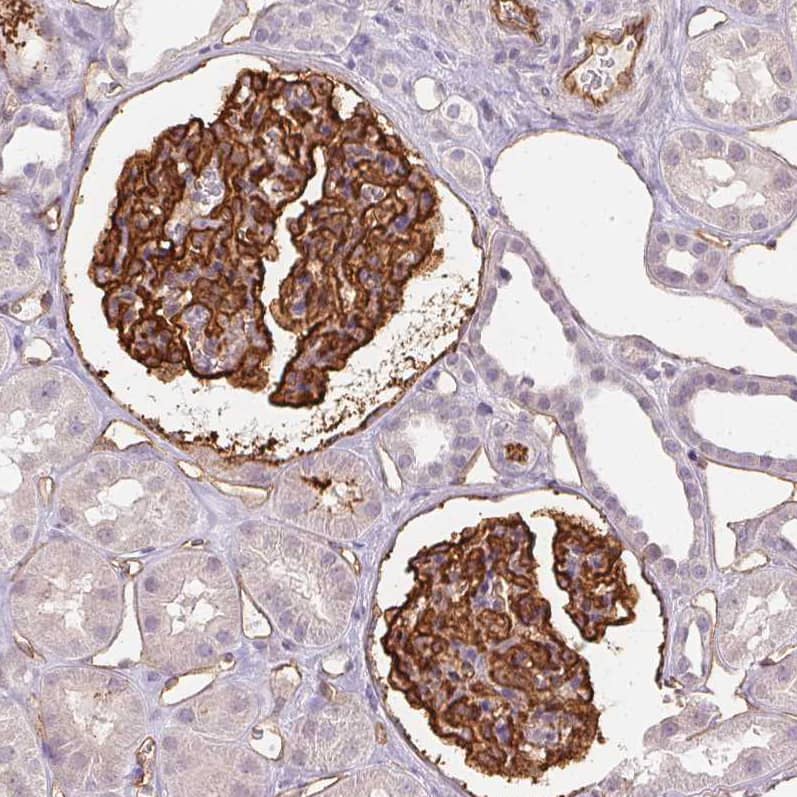
Staining of human kidney shows strong membranous positivity in cells in glomeruli, as well as endothelial cells.
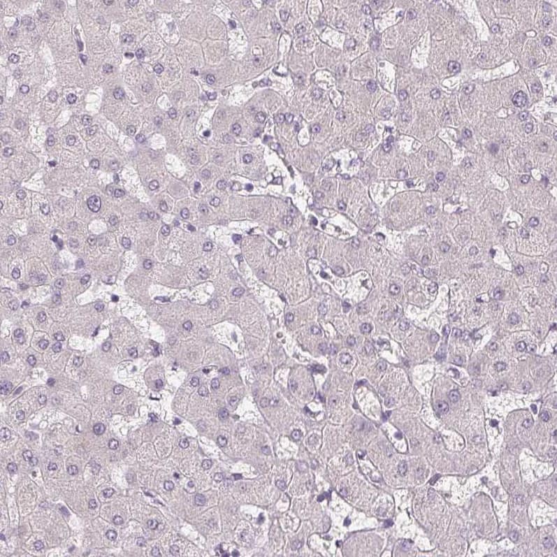
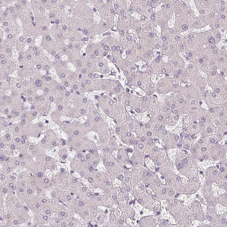
Staining of human liver shows no positivity in hepatocytes as expected.
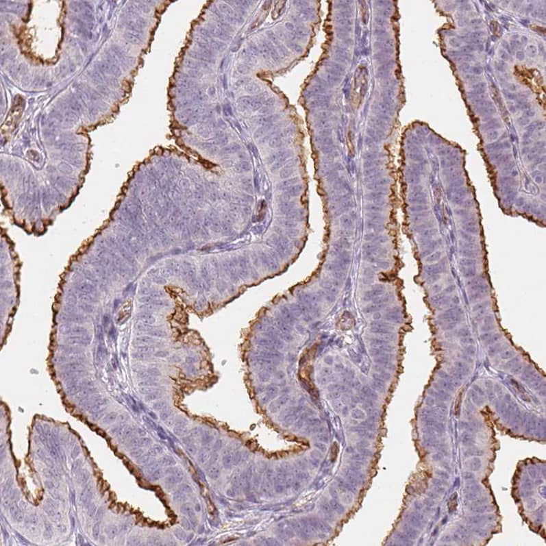
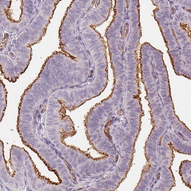
Staining of human fallopian tube shows strong positivity in apical membranes in glandular cells.
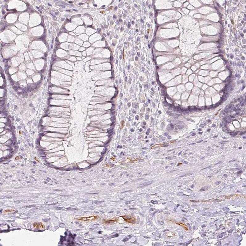
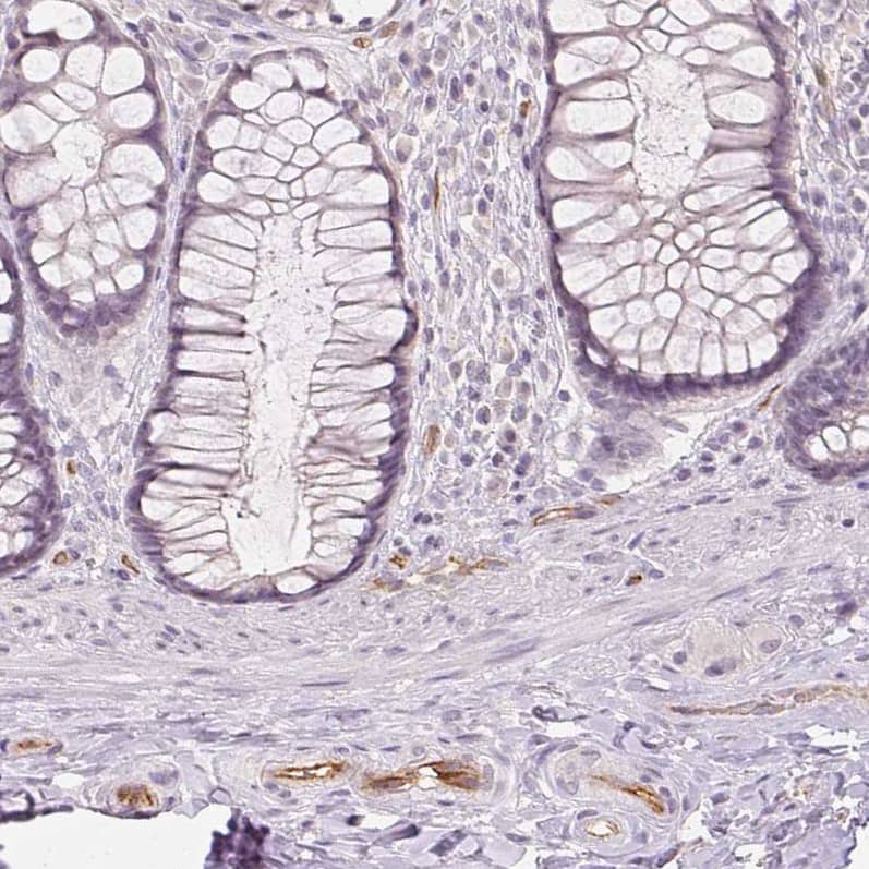
Staining of human rectum shows moderate membranous positivity in endothelial cells.

Product Details

Summary
Reactivity HuSpecies Glossary
Applications WB, IHC
Clone
CL0285
Clonality
Monoclonal
Host
Mouse
Conjugate
Unconjugated
Format
Azide and BSA Free
Concentration
LYOPH
Validated by:
       

Orthogonal Strategies

 

Order Details

Podocalyxin Like Antibody (CL0285) - Azide and BSA Free Summary

Description
Novus Biologicals Mouse Podocalyxin Like Antibody (CL0285) - Azide and BSA Free (NBP2-52904) is a monoclonal antibody validated for use in IHC and WB. All Novus Biologicals antibodies are covered by our 100% guarantee.
Immunogen
This antibody was generated using a recombinant protein sequence of O00592, with the exact immunogen sequence remaining proprietary.
Isotype
IgG2b
Clonality
Monoclonal
Host
Mouse
Gene
PODXL
Purity
Protein A purified
Innovator's Reward
Test in a species/application not listed above to receive a full credit towards a future purchase.

Applications/Dilutions

Dilutions
  • Immunohistochemistry-Paraffin 1:2500 - 1:5000
  • Western Blot 1 ug/ml
Application Notes
For IHC-Paraffin, HIER pH 6 retrieval is recommended.

Packaging, Storage & Formulations

Storage
Store at 4C short term. Aliquot and store at -20C long term. Avoid freeze-thaw cycles.
Buffer
Lyophilized from a 0.2 um filtered solution in PBS with Trehalose
Preservative
No Preservative
Concentration
LYOPH
Purity
Protein A purified
Reconstitution Instructions
Centrifuge the vial of lyophilized antibody at 12,000 x g for 20 seconds. Reconstitute by adding sterile, distilled water to achieve a final antibody concentration of 1mg/ml.

Alternate Names for Podocalyxin Like Antibody (CL0285) - Azide and BSA Free

  • GCTM
  • Gp200MGC138240
  • PCLP
  • PCLP1
  • PCLP-1
  • PCLPGCTM-2 antigen
  • PCpodocalyxin
  • POD XL
  • Podocalyxin
  • Podocalyxin-like protein 1
  • podocalyxin-like
  • PODXL

Background

Podocalyxin (PODXL) is a CD34 family member expressed by podocytes, vascular endothelium, mesothelium, and a subset of hematopoietic progenitors. It is the major sialoprotein in the glycocalyx of glomerular podocytes. The physiological role of podocalyxin in leukemic blasts is unknown. However, it is thought of as a candidate prostate cancer tumor aggressiveness gene. Podocalyxin appears to complement CD34 as a useful cell surface marker for hemangioblasts, the common precursors of hematopoietic and endothelial cells.

Limitations

This product is for research use only and is not approved for use in humans or in clinical diagnosis. Primary Antibodies are guaranteed for 1 year from date of receipt.

Customers Who Viewed This Item Also Viewed...

H00003126-P01
Species: Hu
Applications: ELISA, AP, PA, WB
NBP2-45316
Species: Hu, Pm
Applications: Flow, ICC/IF, IHC,  IHC-P, WB
H00001719-M01
Species: Hu, Mu, Rt, Ye
Applications: ELISA, ICC/IF, S-ELISA, WB
NBP1-32870
Species: Ch, Hu
Applications: IHC,  IHC-P, IP, KD, WB
AF3159
Species: Mu
Applications: IHC
NBP2-61871
Species: Hu
Applications: ELISA, Flow, ICC/IF, IHC,  IHC-P, WB
NB100-64775
Species: Hu
Applications: CyTOF-ready, ELISA, Flow, Func, IHC, IHC-Fr, IHC-P (-), IP
AF4117
Species: Rt
Applications: IHC, WB
664-LI
Species: Hu
Applications: BA
NBP3-07168
Species: Pm, Ca, Pm, Hu, Pm, Sq
Applications: Flow, ICC/IF
NBP3-35275
Species: Hu, Mu, Rt
Applications: ELISA, ICC/IF, IHC,  IHC-P, WB
MAB1455
Species: Hu
Applications: CyTOF-ready, Dual ISH-IHC, ICC, IHC, ICFlow, Simple Western, WB
AF5866
Species: Hu
Applications: IHC, WB
NBP3-48674
Species: Hu, Mu, Rt, Ze
Applications: ICC/IF, IHC,  IHC-P, WB
NBP3-46107
Species: Hu, Mu, Rt
Applications: ELISA, IHC, WB
NB100-56503
Species: Dr, Hu, Mu, Rb, Rt
Applications: Flow-CS, Flow-IC, Flow, IB, ICC/IF, IHC,  IHC-P, Simple Western, WB
AF3398
Species: Hu, Mu, Rt
Applications: ICC, KO, Simple Western, WB
NBP3-43854
Species: Hu
Applications: WB, IHC

Publications for Podocalyxin Like Antibody (NBP3-43854) (0)

There are no publications for Podocalyxin Like Antibody (NBP3-43854).
By submitting your publication information earn gift cards and discounts for future purchases.

Reviews for Podocalyxin Like Antibody (NBP3-43854) (0)

There are no reviews for Podocalyxin Like Antibody (NBP3-43854). By submitting a review you will receive an Amazon e-Gift Card or Novus Product Discount.
  • Review with no image -- $10/€7/£6/$10 CAD/¥70 Yuan/¥1110 Yen
  • Review with an image -- $25/€18/£15/$25 CAD/¥150 Yuan/¥2500 Yen

Product General Protocols

Find general support by application which include: protocols, troubleshooting, illustrated assays, videos and webinars.

Video Protocols

WB Video Protocol

FAQs for Podocalyxin Like Antibody (NBP3-43854) (0)

There are no specific FAQs related to this product. Read our general customer & technical service FAQs.

Customers Who Bought This Also Bought

Contact Information

Product PDFs

Calculators

Concentration Calculator

The concentration calculator allows you to quickly calculate the volume, mass or concentration of your vial. Simply enter your mass, volume, or concentration values for your reagent and the calculator will determine the rest.

=
÷

Review this Product

Be the first to review our Podocalyxin Like Antibody (CL0285) - Azide and BSA Free and receive a gift card or discount.

Bioinformatics

Gene Symbol PODXL