Podocalyxin Like Antibody (5F5)

Images

 
Western Blot: Podocalyxin Like Antibody (5F5) [NBP2-37605] - Western blot analysis using PODXL mAb against human PODXL (AA: 109-324) recombinant protein. (Expected MW is 47.3 kDa)
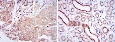
Immunohistochemistry: Podocalyxin Like Antibody (5F5) [NBP2-37605] - Immunohistochemical analysis of paraffin-embedded lung cancer tissues (left) and kidney tissues (right) using PODXL mouse mAb with DAB staining.
Flow Cytometry: Podocalyxin Like Antibody (5F5) [NBP2-37605] - Flow cytometric analysis of Hela cells using PODXL mouse mAb (green) and negative control (purple).
ELISA: Podocalyxin Like Antibody (5F5) [NBP2-37605] - Red: Control Antigen (100ng); Purple: Antigen (10ng); Green: Antigen (50ng); Blue: Antigen (100ng);

Product Details

Summary
Product Discontinued
View other related Podocalyxin Like Primary Antibodies

Order Details


    • Catalog Number
      NBP2-37605
    • Availability
      Product Discontinued

    Can't find what you are looking for? Use our Antibody Concierge Service & we will help you locate your antibody!

    Or feel free to contact us for alternative products.

Podocalyxin Like Antibody (5F5) Summary

Immunogen
Purified recombinant fragment of human PODXL expressed in E. Coli.
Isotype
IgG1
Clonality
Monoclonal
Host
Mouse
Gene
PODXL
Purity
Unpurified
Innovator's Reward
Test in a species/application not listed above to receive a full credit towards a future purchase.

Applications/Dilutions

Dilutions
  • ELISA 1:10000
  • Flow Cytometry 1:200 - 1:400
  • Immunohistochemistry 1:200 - 1:1000
  • Immunohistochemistry-Paraffin 1:200 - 1:1000
  • Western Blot 1:500 - 1:2000
Theoretical MW
49 kDa.
Disclaimer note: The observed molecular weight of the protein may vary from the listed predicted molecular weight due to post translational modifications, post translation cleavages, relative charges, and other experimental factors.

Packaging, Storage & Formulations

Storage
Store at 4C short term. Aliquot and store at -20C long term. Avoid freeze-thaw cycles.
Buffer
Ascites
Preservative
0.03% Sodium Azide
Purity
Unpurified

Alternate Names for Podocalyxin Like Antibody (5F5)

  • GCTM
  • Gp200MGC138240
  • PCLP
  • PCLP1
  • PCLP-1
  • PCLPGCTM-2 antigen
  • PCpodocalyxin
  • POD XL
  • Podocalyxin
  • Podocalyxin-like protein 1
  • podocalyxin-like
  • PODXL

Background

Podocalyxin (PODXL) is a CD34 family member expressed by podocytes, vascular endothelium, mesothelium, and a subset of hematopoietic progenitors. It is the major sialoprotein in the glycocalyx of glomerular podocytes. The physiological role of podocalyxin in leukemic blasts is unknown. However, it is thought of as a candidate prostate cancer tumor aggressiveness gene. Podocalyxin appears to complement CD34 as a useful cell surface marker for hemangioblasts, the common precursors of hematopoietic and endothelial cells.

Limitations

This product is for research use only and is not approved for use in humans or in clinical diagnosis. Primary Antibodies are guaranteed for 1 year from date of receipt.

Customers Who Viewed This Item Also Viewed...

H00003126-P01
Species: Hu
Applications: ELISA, AP, PA, WB
NBP2-45316
Species: Hu, Pm
Applications: Flow, ICC/IF, IHC,  IHC-P, WB
H00001719-M01
Species: Hu, Mu, Rt, Ye
Applications: ELISA, ICC/IF, S-ELISA, WB
NBP1-32870
Species: Ch, Hu
Applications: IHC,  IHC-P, IP, KD, WB
AF3159
Species: Mu
Applications: IHC
NBP2-61871
Species: Hu
Applications: ELISA, Flow, ICC/IF, IHC,  IHC-P, WB
NB100-64775
Species: Hu
Applications: CyTOF-ready, ELISA, Flow, Func, IHC, IHC-Fr, IHC-P (-), IP
AF4117
Species: Rt
Applications: IHC, WB
664-LI
Species: Hu
Applications: BA
NBP3-07168
Species: Pm, Ca, Pm, Hu, Pm, Sq
Applications: Flow, ICC/IF
NBP3-35275
Species: Hu, Mu, Rt
Applications: ELISA, ICC/IF, IHC,  IHC-P, WB
MAB1455
Species: Hu
Applications: CyTOF-ready, Dual ISH-IHC, ICC, IHC, ICFlow, Simple Western, WB
AF5866
Species: Hu
Applications: IHC, WB
NBP3-48674
Species: Hu, Mu, Rt, Ze
Applications: ICC/IF, IHC,  IHC-P, WB
NBP3-46107
Species: Hu, Mu, Rt
Applications: ELISA, IHC, WB
NB100-56503
Species: Dr, Hu, Mu, Rb, Rt
Applications: Flow-CS, Flow-IC, Flow, IB, ICC/IF, IHC,  IHC-P, Simple Western, WB
AF3398
Species: Hu, Mu, Rt
Applications: ICC, KO, Simple Western, WB
NBP2-37605
Species: Hu
Applications: WB, ELISA, Flow, IHC

Publications for Podocalyxin Like Antibody (NBP2-37605) (0)

There are no publications for Podocalyxin Like Antibody (NBP2-37605).
By submitting your publication information earn gift cards and discounts for future purchases.

Reviews for Podocalyxin Like Antibody (NBP2-37605) (0)

There are no reviews for Podocalyxin Like Antibody (NBP2-37605). By submitting a review you will receive an Amazon e-Gift Card or Novus Product Discount.
  • Review with no image -- $10/€7/£6/$10 CAD/¥70 Yuan/¥1110 Yen
  • Review with an image -- $25/€18/£15/$25 CAD/¥150 Yuan/¥2500 Yen

Product General Protocols

Find general support by application which include: protocols, troubleshooting, illustrated assays, videos and webinars.

Video Protocols

WB Video Protocol

FAQs for Podocalyxin Like Antibody (NBP2-37605) (0)

There are no specific FAQs related to this product. Read our general customer & technical service FAQs.

Contact Information

Product PDFs

Calculators

Concentration Calculator

The concentration calculator allows you to quickly calculate the volume, mass or concentration of your vial. Simply enter your mass, volume, or concentration values for your reagent and the calculator will determine the rest.

=
÷

Review this Product

Be the first to review our Podocalyxin Like Antibody (5F5) and receive a gift card or discount.

Bioinformatics

Gene Symbol PODXL