PLK1 [p Thr210] Antibody (2A3)

Images

 
Western Blot: PLK1 [p Thr210] Antibody (2A3) [NBP1-02851] - Western blot using PLK1 [p Thr210] Antibody (2A3)
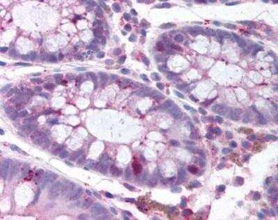
Immunohistochemistry-Paraffin: PLK1 [p Thr210] Antibody (2A3) [NBP1-02851] - Staining of human colon. Immunohistochemistry of formalin-fixed, paraffin-embedded tissue after heat-induced antigen retrieval. Antibody ...read more
Western Blot: PLK1 [p Thr210] Antibody (2A3) [NBP1-02851] - Extracts from untreated Hela cells (Lane 1) or overnight nocodazole-treated Hela cells (Lane 2) were resolved by electrophoresis, transferred to nitrocellulose ...read more

Product Details

Summary
Product Discontinued
View other related PLK1 Primary Antibodies

Order Details


    • Catalog Number
      NBP1-02851
    • Availability
      Product Discontinued

    Can't find what you are looking for? Use our Antibody Concierge Service & we will help you locate your antibody!

    Or feel free to contact us for alternative products.

PLK1 [p Thr210] Antibody (2A3) Summary

Immunogen
Synthetic peptide from human PLK1.
Modification
p Thr210
Marker
Mitosis Marker
Isotype
IgG1
Clonality
Monoclonal
Host
Mouse
Gene
PLK1
Purity
Immunogen affinity purified
Innovator's Reward
Test in a species/application not listed above to receive a full credit towards a future purchase.

Applications/Dilutions

Dilutions
  • Immunohistochemistry 15 ug/ml
  • Immunohistochemistry-Paraffin 15 ug/ml
  • Western Blot 1:100-1:2000
Publications
Read Publication using
NBP1-02851 in the following applications:

Packaging, Storage & Formulations

Storage
Store at 4C. Do not freeze.
Buffer
PBS (pH 7.2). Sourced from tissue culture supernatant.
Preservative
0.09% Sodium Azide
Concentration
0.5 mg/ml
Purity
Immunogen affinity purified

Alternate Names for PLK1 [p Thr210] Antibody (2A3)

  • cell cycle regulated protein kinase
  • EC 2.7.11
  • EC 2.7.11.21
  • PLK
  • PLK1
  • PLK-1
  • polo (Drosophia)-like kinase
  • polo like kinase
  • polo-like kinase 1polo-like kinase (Drosophila)
  • Serine/threonine-protein kinase 13
  • serine/threonine-protein kinase PLK1
  • STPK13

Background

PLK, a Polo type protein kinase, has been shown to function in mitosis. The mRNA is absent or expressed at very low levels during the G1 phase, begins to reaccumulate during the S phase, and reaches maximal levels during the G2/M phase. PLK1 may participate in targeting MPF to the nucleus during prophase and in regulating mitotic spindle function. These functions, in addition to its expression in proliferating cells, suggest that PLK1 has a role in cancer progression.

Limitations

This product is for research use only and is not approved for use in humans or in clinical diagnosis. Primary Antibodies are guaranteed for 1 year from date of receipt.

Customers Who Viewed This Item Also Viewed...

NBP1-85729
Species: Hu, Mu, Rt
Applications: ICC/IF, IHC,  IHC-P, WB
AF6000
Species: Hu, Mu
Applications: IHC, Simple Western, WB
NB200-103
Species: Hu, Mu, Rt, Xp(-), Ye
Applications: CyTOF-ready, ELISA, Flow-IC, Flow, ICC/IF, IHC, IHC-Fr,  IHC-P, IP, WB
MAB4459
Species: Hu, Mu, Rt
Applications: WB
NBP2-29463
Species: Pm, Hu, Pm, Mu
Applications: Flow, ICC/IF, IHC,  IHC-P, WB
AF4197
Species: Hu
Applications: WB
NBP2-33466
Species: Hu
Applications: ICC/IF, IHC,  IHC-P, WB
NBP3-04961
Species: Hu, Mu, Rt
Applications: ELISA, ICC/IF, WB
NBP1-51843
Species: Hu, Mu
Applications: ICC/IF, IHC,  IHC-P, Simple Western, WB
NB100-464
Species: Hu, Mu
Applications: IHC,  IHC-P, IP, WB
NBP3-30941
Species: Hu, Rt
Applications: IHC, WB
NB100-91662
Species: Hu, Mu, Rt
Applications: Flow, ICC/IF, IHC,  IHC-P, Simple Western, WB
AF4885
Species: Mu
Applications: IP, WB
NB500-106
Species: Ch, Dr, Fi, Hu, Mar, Mu, Po, Pm, Rb, Rt, Ye, Ze
Applications: ChIP, ChIP, ELISA, Flow, ICC/IF, IHC-FrFl, IHC, IHC-Fr,  IHC-P, IP, Simple Western, WB
NBP1-33402
Species: Hu
Applications: ICC/IF, WB
NB100-294
Species: Hu, Mu, Rt
Applications: ICC/IF, IHC,  IHC-P, IP, MiAr, WB
NBP1-84671
Species: Hu
Applications: ChIP-EXO-SEQ, IHC,  IHC-P, WB
NBP2-46085
Species: Hu
Applications: IHC,  IHC-P, WB
H00027065-M01
Species: Hu, Rt
Applications: ELISA, ICC/IF, S-ELISA, WB
NBP1-85720
Species: Hu
Applications: ICC/IF, IHC,  IHC-P, WB

Publications for PLK1 Antibody (NBP1-02851)(1)

We have publications tested in 1 confirmed species: Human.

We have publications tested in 1 application: IF/IHC.


Filter By Application
IF/IHC
(1)
All Applications
Filter By Species
Human
(1)
All Species

Reviews for PLK1 Antibody (NBP1-02851) (0)

There are no reviews for PLK1 Antibody (NBP1-02851). By submitting a review you will receive an Amazon e-Gift Card or Novus Product Discount.
  • Review with no image -- $10/€7/£6/$10 CAD/¥70 Yuan/¥1110 Yen
  • Review with an image -- $25/€18/£15/$25 CAD/¥150 Yuan/¥2500 Yen

Product General Protocols

Find general support by application which include: protocols, troubleshooting, illustrated assays, videos and webinars.

Video Protocols

WB Video Protocol

FAQs for PLK1 Antibody (NBP1-02851) (0)

There are no specific FAQs related to this product. Read our general customer & technical service FAQs.

Secondary Antibodies

 

Isotype Controls

Additional PLK1 Products

Research Areas for PLK1 Antibody (NBP1-02851)

Find related products by research area.

Blogs on PLK1

There are no specific blogs for PLK1, but you can read our latest blog posts.

Contact Information

Product PDFs

Calculators

Concentration Calculator

The concentration calculator allows you to quickly calculate the volume, mass or concentration of your vial. Simply enter your mass, volume, or concentration values for your reagent and the calculator will determine the rest.

=
÷

Review this Product

Be the first to review our PLK1 [p Thr210] Antibody (2A3) and receive a gift card or discount.

Bioinformatics

Gene Symbol PLK1
Entrez
Uniprot