PHAX Antibody - BSA Free

Images

 
Immunocytochemistry/ Immunofluorescence: PHAX Antibody [NBP2-48821] - Staining of human cell line CACO-2 shows localization to nucleoplasm.
Orthogonal Strategies: Immunohistochemistry-Paraffin: PHAX Antibody [NBP2-48821] - Staining in human cerebral cortex and pancreas tissues using anti-PHAX antibody. Corresponding PHAX RNA-seq data are presented ...read more
Immunohistochemistry: PHAX Antibody [NBP2-48821] - Staining of human cerebral cortex shows moderate nuclear positivity in neuronal cells and glial cells.
Immunohistochemistry-Paraffin: PHAX Antibody [NBP2-48821] - Staining of human cerebral cortex shows high expression.
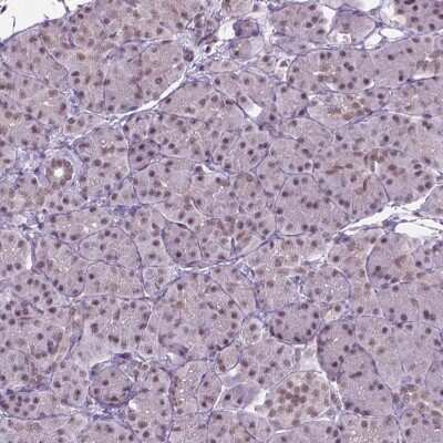
Immunohistochemistry-Paraffin: PHAX Antibody [NBP2-48821] - Staining of human pancreas shows low expression as expected.

Product Details

Summary
Reactivity HuSpecies Glossary
Applications ICC/IF, IHC
Clonality
Polyclonal
Host
Rabbit
Conjugate
Unconjugated
Format
BSA Free
Validated by:
       

Orthogonal Strategies

 

Order Details

View Available Formulations
Catalog# & Formulation Size Price

PHAX Antibody - BSA Free Summary

Description
Novus Biologicals Rabbit PHAX Antibody - BSA Free (NBP2-48821) is a polyclonal antibody validated for use in IHC and ICC/IF. All Novus Biologicals antibodies are covered by our 100% guarantee.
Immunogen
This antibody was developed against a recombinant protein corresponding to amino acids: ESQEHTKDLDKELDEYMHGGKKMGSKEEENGQGHLKRKRPVKDRLGNRPEMNYKGRYEITAEDSQEKVADEISFRLQEPKKDLI
Isotype
IgG
Clonality
Polyclonal
Host
Rabbit
Gene
PHAX
Purity
Immunogen affinity purified
Innovator's Reward
Test in a species/application not listed above to receive a full credit towards a future purchase.

Applications/Dilutions

Dilutions
  • Immunocytochemistry/ Immunofluorescence 0.25-2 ug/ml
  • Immunohistochemistry 1:500 - 1:1000
  • Immunohistochemistry-Paraffin 1:500 - 1:1000
Application Notes
For IHC-Paraffin, HIER pH 6 retrieval is recommended. Immunocytochemistry/Immunofluorescence Fixation Permeabilization: Use PFA/Triton X-100.
Control Peptide
PHAX Recombinant Protein Antigen (NBP2-48821PEP)

Reactivity Notes

Mouse (86%), Rat (87%)

Packaging, Storage & Formulations

Storage
Store at 4C short term. Aliquot and store at -20C long term. Avoid freeze-thaw cycles.
Buffer
PBS (pH 7.2) and 40% Glycerol
Preservative
0.02% Sodium Azide
Purity
Immunogen affinity purified

Alternate Names for PHAX Antibody - BSA Free

  • FLJ13193
  • phosphorylated adapter RNA export protein
  • phosphorylated adaptor for RNA export
  • RNA U small nuclear RNA export adapter protein
  • RNA U, small nuclear RNA export adapter (phosphorylation regulated)
  • RNA U, small nuclear RNA export adaptor (phosphorylation regulated)
  • RNUXA

Background

A phosphoprotein adapter involved in the XPO1-mediated U snRNA export from the nucleus. Bridge components required for U snRNA export, the cap binding complex (CBC)-bound snRNA on the one hand and the GTPase Ran in its active GTP-bound form together with the export receptor XPO1 on the other. Its phosphorylation in the nucleus is required for U snRNA export complex assembly and export, while its dephosphorylation in the cytoplasm causes export complex disassembly. It is recycled back to the nucleus via the importin alpha/beta heterodimeric import receptor. The directionality of nuclear export is thought to be conferred by an asymmetric distribution of the GTP- and GDP-bound forms of Ran between the cytoplasm and nucleus. Its compartmentalized phosphorylation cycle may also contribute to the directionality of export. Binds strongly to m7G-capped U1 and U5 small nuclear RNAs (snRNAs) in a sequence-unspecific manner and phosphorylation-independent manner . Plays also a role in the biogenesis of U3 small nucleolar RNA (snoRNA). Involved in the U3 snoRNA transport from nucleoplasm to Cajal bodies. Binds strongly to m7G-capped U3, U8 and U13 precursor snoRNAs and weakly to trimethylated (TMG)-capped U3, U8 and U13 snoRNAs. Binds also to telomerase RNA

Limitations

This product is for research use only and is not approved for use in humans or in clinical diagnosis. Primary Antibodies are guaranteed for 1 year from date of receipt.

Customers Who Viewed This Item Also Viewed...

NB100-79802
Species: Hu, Mu, Rt
Applications: ICC/IF, IHC,  IHC-P, IP, Simple Western, WB
NBP3-38210
Species: Hu, Mu, Rt
Applications: ELISA, ICC/IF, IHC,  IHC-P, WB
NBP1-31101
Species: Hu
Applications: ICC/IF, IHC,  IHC-P, WB
NBP1-76798
Species: Hu, Mu, Rt
Applications: ELISA, ICC/IF, IHC,  IHC-P, KO, WB
NBP2-20439
Species: Hu, Mu, Rt
Applications: IHC,  IHC-P, WB
NB100-1936
Species: Hu, Mu, Pm, Rt, Xp, Ze
Applications: ELISA, Flow, ICC/IF, IHC,  IHC-P, IP, WB
H00006607-M01
Species: Hu
Applications: ELISA, ICC/IF, IHC,  IHC-P, WB
NBP1-92271
Species: Hu
Applications: ICC/IF, IHC,  IHC-P, WB
NBP2-15939
Species: Hu
Applications: ICC/IF, IHC,  IHC-P, IP, WB
NBP2-36776
Species: Hu
Applications: ICC/IF, IHC,  IHC-P, KD, WB
NBP1-77306
Species: Hu, Mu, Rt
Applications: ELISA, ICC/IF, IHC,  IHC-P, WB
NBP1-83837
Species: Hu
Applications: ICC/IF, IHC,  IHC-P, WB
NBP3-15868
Species: Hu, Mu, Rt
Applications: ELISA, ICC/IF, IHC,  IHC-P, WB
NBP1-88527
Species: Hu, Mu, Rt
Applications: IHC,  IHC-P, WB
NBP1-40354
Species: Hu, Mu
Applications: ICC/IF, IHC,  IHC-P, IP, KD, WB
NBP1-85156
Species: Hu
Applications: IHC,  IHC-P, WB
NBP3-12461
Species: Hu, Rt
Applications: ELISA, IP, WB
NB300-269
Species: Bv, Ce, Ch, Dr, Eq, Hu, Mu, Pl, Po, Rt, Y, Ye
Applications: Flow, ICC/IF, IHC-WhMt, IHC, IHC-Fr,  IHC-P, KD, WB

Publications for PHAX Antibody (NBP2-48821) (0)

There are no publications for PHAX Antibody (NBP2-48821).
By submitting your publication information earn gift cards and discounts for future purchases.

Reviews for PHAX Antibody (NBP2-48821) (0)

There are no reviews for PHAX Antibody (NBP2-48821). By submitting a review you will receive an Amazon e-Gift Card or Novus Product Discount.
  • Review with no image -- $10/€7/£6/$10 CAD/¥70 Yuan/¥1110 Yen
  • Review with an image -- $25/€18/£15/$25 CAD/¥150 Yuan/¥2500 Yen

Product General Protocols

Find general support by application which include: protocols, troubleshooting, illustrated assays, videos and webinars.

Video Protocols

ICC/IF Video Protocol

FAQs for PHAX Antibody (NBP2-48821) (0)

There are no specific FAQs related to this product. Read our general customer & technical service FAQs.

Customers Who Bought This Also Bought

Contact Information

Product PDFs

Calculators

Concentration Calculator

The concentration calculator allows you to quickly calculate the volume, mass or concentration of your vial. Simply enter your mass, volume, or concentration values for your reagent and the calculator will determine the rest.

=
÷

Review this Product

Be the first to review our PHAX Antibody - BSA Free and receive a gift card or discount.

Bioinformatics

Gene Symbol PHAX