p53 Antibody (rTP53/8063) - Azide and BSA Free

Images

 
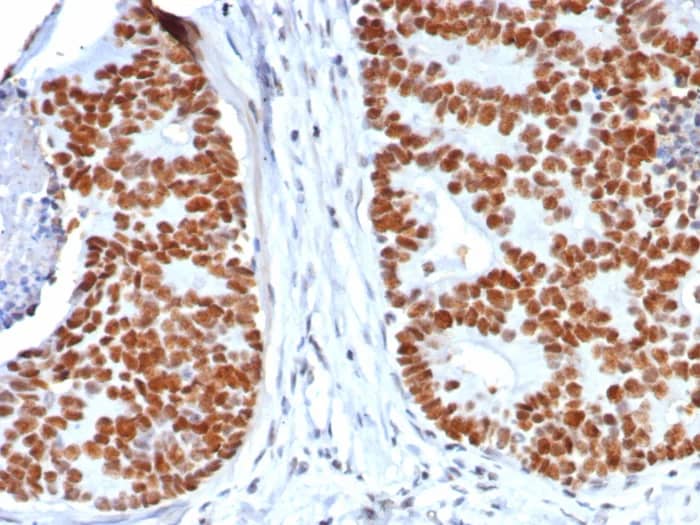
Immunohistochemistry-Paraffin: p53 Antibody (rTP53/8063) - Azide and BSA Free [NBP3-24174] - Formalin-fixed, paraffin-embedded human colon carcinoma stained with p53 Antibody (rTP53/8063). HIER: Tris/EDTA, pH9.0, 45min. ...read more

Product Details

Summary
Reactivity HuSpecies Glossary
Applications IHC
Clone
rTP53/8063
Clonality
Monoclonal
Host
Mouse
Conjugate
Unconjugated
Format
Azide and BSA Free
Concentration
1 mg/ml

Order Details

p53 Antibody (rTP53/8063) - Azide and BSA Free Summary

Description
Antibody without azide - store at -20 to -80C.
Additional Information
Recombinant Monoclonal Antibody
Immunogen
Recombinant full-length human p53 protein
Localization
Nucleus.
Specificity
The specificity of this monoclonal antibody to its intended target was validated by HuProtTM Array, containing more than 19,000, full-length human proteins. Recognizes a 53kDa protein, which is identified as p53 suppressor gene product. It reacts with the mutant as well as the wild form of p53.
Isotype
IgG1 Kappa
Clonality
Monoclonal
Host
Mouse
Gene
TP53
Purity
Protein A or G purified
Innovator's Reward
Test in a species/application not listed above to receive a full credit towards a future purchase.

Applications/Dilutions

Dilutions
  • Immunohistochemistry-Paraffin 1-2ug/ml
Application Notes
Immunohistochemistry-Paraffin: 1-2ug/ml for 30 minutes at RT. Staining of formalin-fixed tissues requires heating tissue sections in 10mM Tris with 1mM EDTA, pH 9.0, for 45 min at 95C followed by cooling at RT for 20 minutes. Optimal dilution for a specific application should be determined.

Packaging, Storage & Formulations

Storage
Store at -20 to -80C. Avoid freeze-thaw cycles.
Buffer
10mM PBS
Preservative
No Preservative
Concentration
1 mg/ml
Purity
Protein A or G purified

Alternate Names for p53 Antibody (rTP53/8063) - Azide and BSA Free

  • Antigen NY-CO-13
  • BCC7
  • FLJ92943
  • LFS1
  • LFS1TRP53
  • p53 tumor suppressor
  • p53
  • P53cellular tumor antigen p53
  • Phosphoprotein p53
  • TP53
  • transformation-related protein 53
  • TRP53
  • tumor protein p53
  • Tumor suppressor p53

Background

p53 is a stress-regulated transcription factor that was first identified as an SV40 large T antigen-binding protein. It plays a major role in the cellular response to DNA damage and other genomic aberrations. The activation of p53 can lead to either cell cycle arrest and DNA repair, or apoptosis. p53 is phosphorylated at multiple sites in vivo and by several different protein kinases in vitro. Mutation of p53 is the most common genetic change so far identified in a number of major carcinomas. This antibody can be used for the specific detection of human p53 that is synthesized in the presence of p53 from other species.

Limitations

This product is for research use only and is not approved for use in humans or in clinical diagnosis. Primary Antibodies are guaranteed for 1 year from date of receipt.

Customers Who Viewed This Item Also Viewed...

NBP2-29463
Species: Pm, Hu, Pm, Mu
Applications: Flow, ICC/IF, IHC,  IHC-P, WB
NB200-106
Species: Mu, Rt
Applications: ELISA, ICC/IF, IHC, IHC-Fr,  IHC-P, WB
NBP2-46085
Species: Hu
Applications: IHC,  IHC-P, WB
H00027065-M01
Species: Hu, Rt
Applications: ELISA, ICC/IF, S-ELISA, WB
NB100-56098
Species: Ca, Hu, Mu, Rt
Applications: IHC,  IHC-P, IP, WB
NB100-2736
Species: Hu, Mu, Rt
Applications: IHC, IHC-Fr,  IHC-P, IP, WB
NBP1-28566
Species: Bv, Hu, Pm, Mu, Po, Rt
Applications: Func, IHC, IHC-Fr,  IHC-P, WB
AF6897
Species: Hu, Mu
Applications: IHC, Simple Western, WB
NB500-106
Species: Ch, Dr, Fi, Hu, Mar, Mu, Po, Pm, Rb, Rt, Ye, Ze
Applications: ChIP, ChIP, ELISA, Flow, ICC/IF, IHC-FrFl, IHC, IHC-Fr,  IHC-P, IP, Simple Western, WB
MAB6495
Species: Hu
Applications: ICC, Simple Western, WB
NB600-302
Species: Bv, Dr, Hu, Mu
Applications: ChIP, ELISA, Flow-IC, Flow, IB, ICC/IF, IHC, IHC-Fr,  IHC-P, IP, PLA, S-ELISA, Simple Western, WB
AF231
Species: Hu
Applications: CyTOF-ready, Dual ISH-IHC, ELISA(Cap), ELISA(Det), ELISA(Sta), Flow, ICC, IHC, IP, Simple Western, WB
1129-ER
Species: Hu
Applications: BA
NBP2-32840
Species: Hu, Pm, Mu, Rt
Applications: Flow, ICC/IF, IHC,  IHC-P, WB
NB100-56104
Species: Ca, Hu, Mu, Rt
Applications: IHC, IHC-Fr,  IHC-P, IP, WB
NBP2-42864
Species: Hu, Mu, Rt
Applications: ICC/IF, IHC,  IHC-P, IP, WB
NBP2-68858
Species: Hu
Applications: IHC,  IHC-P

Publications for p53 Antibody (NBP3-24174) (0)

There are no publications for p53 Antibody (NBP3-24174).
By submitting your publication information earn gift cards and discounts for future purchases.

Reviews for p53 Antibody (NBP3-24174) (0)

There are no reviews for p53 Antibody (NBP3-24174). By submitting a review you will receive an Amazon e-Gift Card or Novus Product Discount.
  • Review with no image -- $10/€7/£6/$10 CAD/¥70 Yuan/¥1110 Yen
  • Review with an image -- $25/€18/£15/$25 CAD/¥150 Yuan/¥2500 Yen

Product General Protocols

Find general support by application which include: protocols, troubleshooting, illustrated assays, videos and webinars.

FAQs for p53 Antibody (NBP3-24174) (0)

There are no specific FAQs related to this product. Read our general customer & technical service FAQs.

Secondary Antibodies

 

Isotype Controls

Additional p53 Products

Research Areas for p53 Antibody (NBP3-24174)

Find related products by research area.

Blogs on p53. Showing 1-10 of 19 blog posts - Show all blog posts.

Developmental regulator Daam2 promotes glial cell tumors by degrading Von Hippel-Lindau protein
By Jamshed Arslan Pharm.D. Glioblastoma is an aggressive type of cancer that forms from the star-shaped glial cells of the central nervous system, called astrocytes. Intriguingly, several genes linked to glioblasto...  Read full blog post.

Autophagy independent roles of the core ATG proteins
By Christina Towers, PhD. Autophagy and ATG ProteinsAutophagy is a nutrient recycling process that cells use to fuel metabolism, particularly in response to nutrient deprivation.  It is critical for removal of dam...  Read full blog post.

Killing two birds with one stone: Treating inflammation and cancer by inhibiting prolyl-4-hydroxylase-1
By Jamshed Arslan Pharm.D. The cell’s oxygen-sensing machinery comprises prolyl-4-hydroxylases (P4Hs 1-3, PHDs 1-3, or EGLN 1-3) and their canonical target hypoxia-inducible factors (HIFs). When oxygen levels ...  Read full blog post.

Pathway Highlight: Which caspase substrates contribute to the morphological features associated with apoptosis?
Apoptosis, or programmed cell death, is controlled by a caspase signal cascade that activates downstream signals to induce the morphological changes used to differentiate apoptosis from other forms of cell death.  Novus Biologicals offers a variet...  Read full blog post.

The role of p53 in UV radiation DNA damage and subsequent tumorogenesis
p53, the protein product of the tp53 gene, is one of the most widely studied tumor suppressor proteins in cancer research.  p53 is unique in that it demonstrates both tumor suppressive and tumor progressive properties depending on whether it is fu...  Read full blog post.

MAPK8/JNK1 - A multifunctional kinase and drug target for cancer therapeutics
The c-Jun N-terminal kinase (JNK) family is a group of regulatory kinases with important functions in cell morphogenesis, inflammation, differentiation, and cell death (1). Aberrant activation of JNK family proteins in cancers has led to interest i...  Read full blog post.

p53 - Investigating an important tumor suppressor
p53 is a tumor suppressor that has a central role in regulating cell cycle arrest, DNA repair, and apoptosis. p53 is widely studied for its role in cancer and is mutated or altered in more than half of all cancers (1). This widespread role in tumor...  Read full blog post.

ATM - detecting and responding to DNA damage
Ataxia telangiectasia mutated (ATM) is essential for the maintenance of genomic stability. ATM is a 370 kDa serine-threonine kinase that is constitutively expressed in various tissues. Although primarily nuclear, ATM is also found at lower levels ...  Read full blog post.

NOXA - a BH3-only protein balancing cell death decisions
Noxa is a BH3-only protein involved in regulating cell death decisions. Noxa is a primary p53-response gene and is upregulated in response to p53 overexpression or DNA damage. Noxa can also be induced by alternative mechanisms including through a ...  Read full blog post.

p73: An Important Tumor Suppressor Cousin of p53
p73 has been identified as a long-lost cousin of the p53 tumor suppressor protein. It has high homology with both p53 and with p63, a gene implicated in the maintenance of epithelial stem cells. The presence of significant homology between the DNA-bin...  Read full blog post.

Showing 1-10 of 19 blog posts - Show all blog posts.

Customers Who Bought This Also Bought

Contact Information

Product PDFs

Calculators

Concentration Calculator

The concentration calculator allows you to quickly calculate the volume, mass or concentration of your vial. Simply enter your mass, volume, or concentration values for your reagent and the calculator will determine the rest.

=
÷

Review this Product

Be the first to review our p53 Antibody (rTP53/8063) - Azide and BSA Free and receive a gift card or discount.

Bioinformatics

Gene Symbol TP53