NOP56 Antibody (CL2603) - Azide and BSA Free

Images

 
Staining of human breast cancer shows strong nucleolar positivity in tumor cells.
Staining in HeLa cell line with Anti-NOP56 monoclonal antibody) .
Staining in A431 cell line with Anti-NOP56 monoclonal antibody) .
Staining in U251 cell line with Anti-NOP56 monoclonal antibody) .
Staining in U2OS cell line with Anti-NOP56 monoclonal antibody) .
Staining in MCF7 cell line with Anti-NOP56 monoclonal antibody) .
Lane 1: Marker [kDa]Lane 2:Human cell line U-251 MG
Staining of human fallopian tube shows strong nucleolar immunoreactivity in glandular and connective tissue cells.
Staining of human kidney shows strong nucleolar positivity in renal tubules.
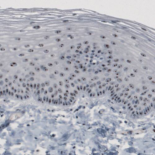
Staining of human cervix shows strong nucleolar immunoreactivity in the epithelial cells.
Staining of human prostate cancer shows strong nucleolar positivity in glandular cells.
Staining of human liver shows strong nucleolar positivity in hepatocytes.
Genetic Strategies: Analysis in U-251MG cells transfected with control siRNA, target specific siRNA probe #1 and #2, using Anti-NOP56 antibody. Remaining relative intensity is presented. Loading control: ...read more

Product Details

Summary
Reactivity HuSpecies Glossary
Applications WB, ICC/IF, IHC
Clone
CL2603
Clonality
Monoclonal
Host
Mouse
Conjugate
Unconjugated
Format
Azide and BSA Free
Concentration
LYOPH
Validated by:
     

Genetic Strategies

   

Order Details

NOP56 Antibody (CL2603) - Azide and BSA Free Summary

Description
Novus Biologicals Mouse NOP56 Antibody (CL2603) - Azide and BSA Free (NBP2-36778) is a monoclonal antibody validated for use in IHC, WB and ICC/IF. All Novus Biologicals antibodies are covered by our 100% guarantee.
Immunogen
This antibody was generated using a recombinant protein sequence of O00567, with the exact immunogen sequence remaining proprietary.
Isotype
IgG1
Clonality
Monoclonal
Host
Mouse
Gene
NOP56
Purity
Protein A purified
Innovator's Reward
Test in a species/application not listed above to receive a full credit towards a future purchase.

Applications/Dilutions

Dilutions
  • Immunocytochemistry/ Immunofluorescence 2-10 ug/ml
  • Immunohistochemistry-Paraffin 1:500 - 1:1000
  • Western Blot 1 ug/ml
Application Notes
For IHC-Paraffin, HIER pH 6 retrieval is recommended. Immunocytochemistry/ Immunofluorescence/IF Fixation Permeabilization: Use PFA/Triton X-100.

Packaging, Storage & Formulations

Storage
Store at 4C short term. Aliquot and store at -20C long term. Avoid freeze-thaw cycles.
Buffer
Lyophilized from a 0.2 um filtered solution in PBS with Trehalose
Preservative
No Preservative
Concentration
LYOPH
Purity
Protein A purified
Reconstitution Instructions
Centrifuge the vial of lyophilized antibody at 12,000 x g for 20 seconds. Reconstitute by adding sterile, distilled water to achieve a final antibody concentration of 1mg/ml.

Alternate Names for NOP56 Antibody (CL2603) - Azide and BSA Free

  • NOL5A
  • NOP56 ribonucleoprotein homolog (yeast)
  • nucleolar protein 56
  • nucleolar protein 5A (56kD with KKE/D repeat)
  • nucleolar protein 5A (56kDa with KKE/D repeat)
  • Nucleolar protein 5A

Background

Nop56p is a yeast nucleolar protein that is part of a complex with the nucleolar proteins Nop58p and fibrillarin. Nop56p is required for assembly of the 60S ribosomal subunit and is involved in pre-rRNA processing. The protein encoded by this gene is similar in sequence to Nop56p and is also found in the nucleolus. Multiple transcript variants encoding several different isoforms have been found for this gene, but the full-length nature of most of them have not been determined.

Limitations

This product is for research use only and is not approved for use in humans or in clinical diagnosis. Primary Antibodies are guaranteed for 1 year from date of receipt.

Customers Who Viewed This Item Also Viewed...

NBP1-81680
Species: Hu, Mu, Rt
Applications: ICC/IF, IHC,  IHC-P, WB
NB300-269
Species: Bv, Ce, Ch, Dr, Eq, Hu, Mu, Pl, Po, Rt, Y, Ye
Applications: Flow, ICC/IF, IHC-WhMt, IHC, IHC-Fr,  IHC-P, KD, WB
NBP1-32732
Species: Hu, Mu, Rt, Ze
Applications: ICC/IF, IHC-WhMt, IHC,  IHC-P, IP, WB
NBP2-57100
Species: Hu
Applications: ICC/IF
NB100-55409
Species: Hu
Applications: Flow, ICC/IF, PEP-ELISA, WB
NB100-2269
Species: Hu, Mu
Applications: IHC,  IHC-P, IP, KD, WB
NBP3-05567
Species: Hu, Mu
Applications: ICC/IF, WB
NB110-61646
Species: Hu, Mu
Applications: ICC/IF, IHC,  IHC-P, IP, WB
H00150094-D01P
Species: Hu, Mu
Applications: ICC/IF, WB
NB100-56603
Species: Ca, Hu, Mu, Pm, Rt
Applications: IHC,  IHC-P, WB
NBP1-40354
Species: Hu, Mu
Applications: ICC/IF, IHC,  IHC-P, IP, KD, WB
NBP1-86908
Species: Hu
Applications: ICC/IF, IHC,  IHC-P, WB
NBP2-20245
Species: Hu, Mu, Rt
Applications: ICC/IF, IHC,  IHC-P, IP, KD, WB
NB600-302
Species: Bv, Dr, Hu, Mu
Applications: ChIP, ELISA, Flow-IC, Flow, IB, ICC/IF, IHC, IHC-Fr,  IHC-P, IP, PLA, S-ELISA, Simple Western, WB
NBP2-20383
Species: Hu, Mu
Applications: ICC/IF, IHC,  IHC-P, WB
NBP2-02623
Species: Ca, Hu, Mu, Rt
Applications: Flow, ICC/IF, IHC,  IHC-P, WB
NBP1-90063
Species: Hu, Mu
Applications: ICC/IF, IHC,  IHC-P
NBP2-55754
Species: Hu
Applications: ICC/IF, IHC,  IHC-P
NBP2-13656
Species: Hu, Mu
Applications: IHC,  IHC-P, WB
NBP3-44458
Species: Hu
Applications: WB, ICC/IF, IHC

Publications for NOP56 Antibody (NBP3-44458) (0)

There are no publications for NOP56 Antibody (NBP3-44458).
By submitting your publication information earn gift cards and discounts for future purchases.

Reviews for NOP56 Antibody (NBP3-44458) (0)

There are no reviews for NOP56 Antibody (NBP3-44458). By submitting a review you will receive an Amazon e-Gift Card or Novus Product Discount.
  • Review with no image -- $10/€7/£6/$10 CAD/¥70 Yuan/¥1110 Yen
  • Review with an image -- $25/€18/£15/$25 CAD/¥150 Yuan/¥2500 Yen

Product General Protocols

Find general support by application which include: protocols, troubleshooting, illustrated assays, videos and webinars.

Video Protocols

WB Video Protocol
ICC/IF Video Protocol

FAQs for NOP56 Antibody (NBP3-44458) (0)

There are no specific FAQs related to this product. Read our general customer & technical service FAQs.

Customers Who Bought This Also Bought

Contact Information

Product PDFs

Calculators

Concentration Calculator

The concentration calculator allows you to quickly calculate the volume, mass or concentration of your vial. Simply enter your mass, volume, or concentration values for your reagent and the calculator will determine the rest.

=
÷

Review this Product

Be the first to review our NOP56 Antibody (CL2603) - Azide and BSA Free and receive a gift card or discount.

Bioinformatics

Gene Symbol NOP56