NLRP2/NALP2 Antibody

Images

 
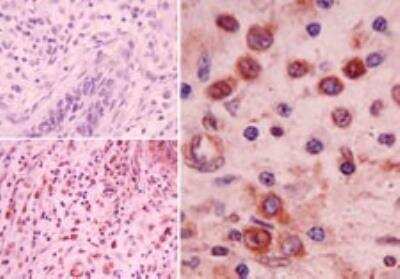
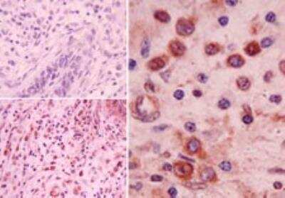
Immunohistochemistry-Paraffin: NLRP2/NALP2 Antibody [NBP2-24667] - Analysis of NALP2 in formalin-fixed, paraffin-embedded human colon tumor tissue using an isotype control (top left) and this antibody (bottom left, ...read more

Product Details

Summary
Product Discontinued
View other related NLRP2/NALP2 Primary Antibodies

Order Details


    • Catalog Number
      NBP2-24667
    • Availability
      Product Discontinued

    Can't find what you are looking for? Use our Antibody Concierge Service & we will help you locate your antibody!

    Or feel free to contact us for alternative products.

NLRP2/NALP2 Antibody Summary

Immunogen
A portion of amino acids 1030-1080 of human NALP2 was used as the immunogen.
Predicted Species
Mouse (100%), Rat (100%), Chicken (100%), Canine (100%), Equine (100%), Zebrafish (100%), Bovine (100%), Chimpanzee (100%). Backed by our 100% Guarantee.
Isotype
IgG
Clonality
Polyclonal
Host
Rabbit
Gene
NLRP2
Purity
Protein A purified
Innovator's Reward
Test in a species/application not listed above to receive a full credit towards a future purchase.

Applications/Dilutions

Dilutions
  • Immunohistochemistry
  • Immunohistochemistry-Paraffin 5 ug/ml
  • Western Blot
Application Notes
Use in Western blot reported in scientific literature (PMID 21483755)
Publications
Read Publications using
NBP2-24667 in the following applications:

  • WB
    1 publication

Packaging, Storage & Formulations

Storage
Store at 4C short term. Aliquot and store at -20C long term. Avoid freeze-thaw cycles.
Buffer
0.2 ml PBS and 0.05% BSA
Preservative
0.05% Sodium Azide
Concentration
0.5 mg/ml
Purity
Protein A purified

Alternate Names for NLRP2/NALP2 Antibody

  • CLR19.9
  • FLJ20510
  • NACHT, leucine rich repeat and PYD containing 2
  • NACHT, LRR and PYD domains-containing protein 2
  • NALP2
  • NALP2NACHT, LRR and PYD containing protein 2
  • NBS1
  • NBS1PYRIN-containing APAF1-like protein 2
  • NLR family, pyrin domain containing 2
  • NLRP2
  • nucleotide-binding oligomerization domain, leucine rich repeat and pyrin domaincontaining 2
  • PAN1
  • PAN1Nucleotide-binding site protein 1
  • PYPAF2
  • PYPAF2PYRIN domain and NACHT domain-containing protein 1

Background

NLRP2/NALP2, aka PAN1 and PYPAF2, belongs to a cytoplasmic proteins family containing a NACHT domain, leucine rich repeat (NLR) and N-terminal pyrin-containing domain (PYD). As an intracellular pathogen-recognition receptors (PRRs), NLRP2/NALP2 is a 1062 amino acid protein associated in cell responses to apoptotic and inflammatory stimuli. PRRs are key components of immune systems involving in an innate effector mechanisms and activation of adaptive immunity. By interacting with ASC in addition to CARD8 and caspase 1, NLRP2/NALP2 forms an inflammasome functioning as a modulator of NF-kB and procaspase-1 activation in macrophages. Similar to TLRs, activation of the inflammasome by NLRs occurs through the recognition of pathogen-associated molecular patterns (PAMPs) through their LRR domains. NLRP2/NALP2 expressions varies in several human tumor cell lines though the highest were found in MDA-MB-435 and MCF-7 breast cancer, UACC62 melanoma, and Caco2 colon cancer cells.

Limitations

This product is for research use only and is not approved for use in humans or in clinical diagnosis. Primary Antibodies are guaranteed for 1 year from date of receipt.

Customers Who Viewed This Item Also Viewed...

NB100-143
Species: Ha, Hu, Ma, Mu, Pm
Applications: ChIP, ChIP, ELISA, Flow, IB, ICC/IF, IHC,  IHC-P, IP, ISH, KD, KO, PAGE, WB
AF1085
Species: Mu
Applications: IHC, Neut, WB
NB100-147
Species: Hu, Pm, Mu, Rt
Applications: ICC/IF, IHC,  IHC-P, IP, In vitro, KD, WB
NB100-309
Species: Hu, Pm, Mu, Rt
Applications: ChIP, ELISA, Flow, ICC/IF, IHC,  IHC-P, IP, KD, PAGE, Single-Cell Western, WB
NBP2-71688
Species: Ca, Hu, Mu, Rt
Applications: CyTOF-ready, Flow, ICC/IF, IHC,  IHC-P, IP, WB
NB200-103
Species: Hu, Mu, Rt, Xp(-), Ye
Applications: CyTOF-ready, ELISA, Flow-IC, Flow, ICC/IF, IHC, IHC-Fr,  IHC-P, IP, WB
NB100-598
Species: Hu
Applications: CyTOF-ready, Flow, ICC/IF, IP, WB
NB100-308
Species: Hu, Mu
Applications: Func, ICC/IF, IP, In vitro, KO, WB
NBP2-03417
Species: Hu, Mu, Rt
Applications: Flow, IHC,  IHC-P, WB
NB100-56585
Species: Hu
Applications: ICC/IF, IHC,  IHC-P, WB
NB100-464
Species: Hu, Mu
Applications: IHC,  IHC-P, IP, WB
NB100-304
Species: Bt, Bv, Ca, Fi, Gt, Hu, Mu, Pm, Rt
Applications: ChIP, ChIP, Flow-IC, Flow, IB, ICC/IF, IHC, IHC-Fr,  IHC-P, IP, ISH, KD, KO, WB
NB100-148
Species: Ch, Hu, Mu, Rt
Applications: ChIP, ICC/IF, IHC, IHC-Fr,  IHC-P, IP, In vitro, KD, PLA, WB
NB100-395
Species: Hu, Mu
Applications: ICC/IF, IP, WB
NBP1-80992
Species: Hu, Mu, Rt
Applications: ICC/IF, IHC,  IHC-P, WB
NBP2-22128
Species: Hu
Applications: ELISA, ICC/IF, IHC,  IHC-P, WB
NB100-79809
Species: Hu, Mu
Applications: ChIP, ICC/IF, IP
MAB2476
Species: Hu
Applications: IHC, WB
Supplier Logo

Publications for NLRP2/NALP2 Antibody (NBP2-24667)(2)

We have publications tested in 1 confirmed species: Human.

We have publications tested in 1 application: WB.


Filter By Application
WB
(1)
All Applications
Filter By Species
Human
(1)
All Species

Reviews for NLRP2/NALP2 Antibody (NBP2-24667) (0)

There are no reviews for NLRP2/NALP2 Antibody (NBP2-24667). By submitting a review you will receive an Amazon e-Gift Card or Novus Product Discount.
  • Review with no image -- $10/€7/£6/$10 CAD/¥70 Yuan/¥1110 Yen
  • Review with an image -- $25/€18/£15/$25 CAD/¥150 Yuan/¥2500 Yen

Product General Protocols

Find general support by application which include: protocols, troubleshooting, illustrated assays, videos and webinars.

Video Protocols

WB Video Protocol

FAQs for NLRP2/NALP2 Antibody (NBP2-24667) (0)

There are no specific FAQs related to this product. Read our general customer & technical service FAQs.

Secondary Antibodies

 

Isotype Controls

Additional NLRP2/NALP2 Products

Research Areas for NLRP2/NALP2 Antibody (NBP2-24667)

Find related products by research area.

Blogs on NLRP2/NALP2

There are no specific blogs for NLRP2/NALP2, but you can read our latest blog posts.

Contact Information

Product PDFs

Calculators

Concentration Calculator

The concentration calculator allows you to quickly calculate the volume, mass or concentration of your vial. Simply enter your mass, volume, or concentration values for your reagent and the calculator will determine the rest.

=
÷

Review this Product

Be the first to review our NLRP2/NALP2 Antibody and receive a gift card or discount.

Bioinformatics

Gene Symbol NLRP2
Uniprot