NFYB Antibody

Images

 
Immunocytochemistry/ Immunofluorescence: NFYB Antibody [NBP2-19535] - HeLa cells were fixed in 4% paraformaldehyde at RT for 15 min. Green: NFYB protein stained by NFYB antibody diluted at 1:500. Red: Phalloidin, a ...read more
Immunohistochemistry-Paraffin: NFYB Antibody [NBP2-19535] - Rat stomach. NFYB antibody diluted at 1:500. Antigen Retrieval: Citrate buffer, pH 6.0, 15 min.
Chromatin Immunoprecipitation (ChIP): NFYB Antibody [NBP2-19535] - Cross-linked ChIP was performed with HeLa chromatin extract and 5 ug of either control rabbit IgG or anti-NFYB antibody. The precipitated DNA was ...read more
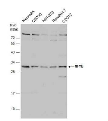
Western Blot: NFYB Antibody [NBP2-19535] - Various whole cell extracts (30 ug) were separated by 12% SDS-PAGE, and the membrane was blotted with NFYB antibody diluted at 1:1000. The HRP-conjugated anti-rabbit IgG ...read more
Western Blot: NFYB Antibody [NBP2-19535] - Various whole cell extracts (30 ug) were separated by 12% SDS-PAGE, and the membrane was blotted with NFYB antibody diluted at 1:1000. The HRP-conjugated anti-rabbit IgG ...read more
Immunohistochemistry-Paraffin: NFYB Antibody [NBP2-19535] - Mouse intestine. NFYB antibody diluted at 1:500. Antigen Retrieval: Citrate buffer, pH 6.0, 15 min.
Immunoprecipitation: NFYB Antibody [NBP2-19535] - 293T whole cell lysate/extract A : 40 ug whole cell lysate/extract of NFYB protein expressing 293T cells B : Control with 2.5 ug of pre-immune rabbit IgG C : ...read more
Western Blot: NFYB Antibody [NBP2-19535] - Various tissue extracts (30 ug) were separated by 12% SDS-PAGE, and the membrane was blotted with NFYB antibody (NBP2-19535) diluted at 1:1000. The HRP-conjugated anti-rabbit ...read more
Immunohistochemistry: NFYB Antibody [NBP2-19535] - Immunohistochemical analysis of paraffin-embedded zebrafish tissue, using NFYB antibody (NBP2-19535) at 1:300 dilution.
Western Blot: NFYB Antibody [NBP2-19535] - HeLa whole cell and nuclear extracts (30 ug) were separated by 12% SDS-PAGE, and the membrane was blotted with NFYB antibody (NBP2-19535) diluted at 1:1000. The HRP-conjugated ...read more
Immunohistochemistry: NFYB Antibody [NBP2-19535] - Immunohistochemical analysis (whole mount) of zebrafish embryo, using NFYB antibody (NBP2-19535) at 1:200 dilution.

Product Details

Summary
Reactivity Hu, Mu, Rt, Ze, Po, Bv, RM, XpSpecies Glossary
Applications WB, ICC/IF, IHC, IP, ChIP
Clonality
Polyclonal
Host
Rabbit
Conjugate
Unconjugated

Order Details

NFYB Antibody Summary

Description
Novus Biologicals Rabbit NFYB Antibody (NBP2-19535) is a polyclonal antibody validated for use in IHC, WB, ICC/IF, IP and ChIP. All Novus Biologicals antibodies are covered by our 100% guarantee.
Immunogen
Recombinant protein encompassing a sequence within the center region of human NFYB. The exact sequence is proprietary.
Localization
Nucleus
Predicted Species
Porcine (99%), Bovine (98%), Rhesus Macaque (100%), Xenopus (92%). Backed by our 100% Guarantee.
Isotype
IgG
Clonality
Polyclonal
Host
Rabbit
Gene
NFYB
Purity
Antigen Affinity-purified
Innovator's Reward
Test in a species/application not listed above to receive a full credit towards a future purchase.

Applications/Dilutions

Dilutions
  • Chromatin Immunoprecipitation (ChIP)
  • Immunocytochemistry/ Immunofluorescence 1:100-1:1000
  • Immunohistochemistry
  • Immunohistochemistry-Paraffin 1:100-1:1000
  • Immunoprecipitation 1:100-1:500
  • Western Blot 1:500-1:3000
Application Notes
Chip-Assay dependent
Theoretical MW
23 kDa.
Disclaimer note: The observed molecular weight of the protein may vary from the listed predicted molecular weight due to post translational modifications, post translation cleavages, relative charges, and other experimental factors.

Reactivity Notes

Xenopus laevis (92%).

Packaging, Storage & Formulations

Storage
Aliquot and store at -20C or -80C. Avoid freeze-thaw cycles.
Buffer
PBS, 1% BSA, 20% Glycerol
Preservative
0.025% Proclin 300
Purity
Antigen Affinity-purified

Alternate Names for NFYB Antibody

  • CAAT box DNA-binding protein subunit B
  • CBF-A
  • HAP3CBF-B
  • NF-YBCCAAT-binding transcription factor subunit A
  • Nuclear transcription factor Y subunit B
  • nuclear transcription factor Y subunit beta
  • nuclear transcription factor Y, beta
  • Transcription factor NF-Y, B subunit

Background

The protein encoded by this gene is one subunit of a trimeric complex, forming a highly conserved transcription factor that binds with high specificity to CCAAT motifs in the promoter regions in a variety of genes. This gene product, subunit B, forms a tight dimer with the C subunit, a prerequisite for subunit A association. The resulting trimer binds to DNA with high specificity and affinity. Subunits B and C each contain a histone-like motif. Observation of the histone nature of these subunits is supported by two types of evidence; protein sequence alignments and experiments with mutants. [provided by RefSeq]

Limitations

This product is for research use only and is not approved for use in humans or in clinical diagnosis. Primary Antibodies are guaranteed for 1 year from date of receipt.

Customers Who Viewed This Item Also Viewed...

NBP2-47525
Species: Hu
Applications: IHC,  IHC-P, WB
NBP2-19533
Species: Hu, Mu, Rt
Applications: ICC/IF, IHC,  IHC-P, WB
H00004802-M01
Species: Hu
Applications: ELISA, ICC/IF, IHC,  IHC-P, KD, WB
NB110-74569
Species: Hu, Mu, Rt
Applications: Flow, ICC/IF, IHC, IHC-Fr,  IHC-P, IP, WB
NB100-116
Species: Hu, Mu, Pm, Rt
Applications: ChIP, ELISA, GS, IB, ICC/IF, IHC, IHC-Fr,  IHC-P, IP, KD, PLA, Simple Western, WB
NB100-2593
Species: Hu, Mu
Applications: IHC,  IHC-P, IP, WB
NB100-56082
Species: Hu, Mu, Rt
Applications: IHC,  IHC-P, IP, WB
NB200-323
Species: Hu, Rt
Applications: WB
NBP1-88871
Species: Hu
Applications: ICC/IF, IHC,  IHC-P
NB600-232
Species: Hu, Mu
Applications: ChIP, IHC,  IHC-P, IP, WB
3047-CC
Species: Hu
Applications: BA
DPSG10
Species: Hu
Applications: ELISA
NBP2-45731
Species: Ca, Hu, Pm
Applications: IHC,  IHC-P, WB
NBP2-36776
Species: Hu
Applications: ICC/IF, IHC,  IHC-P, KD, WB
NBP2-16865
Species: Hu, Ze
Applications: ChIP, ICC/IF, IHC-WhMt, IHC,  IHC-P, IP, KO, WB
NBP3-48071
Species: Hu, Mu, Rt
Applications: ELISA, IHC, WB
NBP1-86872
Species: Hu, Mu, Rt
Applications: ICC/IF, IHC,  IHC-P, WB
NB100-616
Species: Hu, Mu, Md, Pm, Rt
Applications: ChIP, EM, Flow-IC, Flow, ICC/IF, IP, In vitro, KD, WB

Publications for NFYB Antibody (NBP2-19535) (0)

There are no publications for NFYB Antibody (NBP2-19535).
By submitting your publication information earn gift cards and discounts for future purchases.

Reviews for NFYB Antibody (NBP2-19535) (0)

There are no reviews for NFYB Antibody (NBP2-19535). By submitting a review you will receive an Amazon e-Gift Card or Novus Product Discount.
  • Review with no image -- $10/€7/£6/$10 CAD/¥70 Yuan/¥1110 Yen
  • Review with an image -- $25/€18/£15/$25 CAD/¥150 Yuan/¥2500 Yen

Product General Protocols

Find general support by application which include: protocols, troubleshooting, illustrated assays, videos and webinars.

Video Protocols

WB Video Protocol
ICC/IF Video Protocol

FAQs for NFYB Antibody (NBP2-19535) (0)

There are no specific FAQs related to this product. Read our general customer & technical service FAQs.

Secondary Antibodies

 

Isotype Controls

Additional NFYB Products

Research Areas for NFYB Antibody (NBP2-19535)

Find related products by research area.

Blogs on NFYB

There are no specific blogs for NFYB, but you can read our latest blog posts.

Customers Who Bought This Also Bought

Contact Information

Product PDFs

Calculators

Concentration Calculator

The concentration calculator allows you to quickly calculate the volume, mass or concentration of your vial. Simply enter your mass, volume, or concentration values for your reagent and the calculator will determine the rest.

=
÷

Review this Product

Be the first to review our NFYB Antibody and receive a gift card or discount.

Bioinformatics

Gene Symbol NFYB
Uniprot