NFATC2/NFAT1 Antibody (JA11-08)

Images

 
Western Blot: NFATC2/NFAT1 Antibody (JA11-08) [NBP2-66974] - Analysis of NFATC2/NFAT1 on different lysates with Rabbit anti-NFATC2/NFAT1 antibody at 1/500 dilution. Lane 1: MCF-7 cell lysate Lane 2: Daudi cell lysate ...read more
Immunocytochemistry/ Immunofluorescence: NFATC2/NFAT1 Antibody (JA11-08) [NBP2-66974] - Staining NFAT1 in MCF-7 cells (red). The nuclear counter stain is DAPI (blue). Cells were fixed in paraformaldehyde, permeabilised ...read more
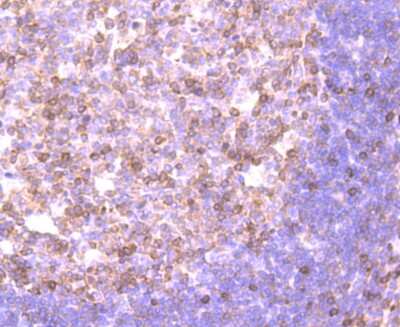
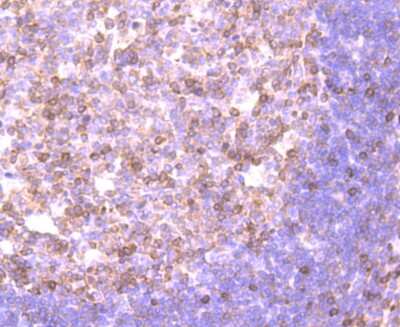
Immunohistochemistry-Paraffin: NFATC2/NFAT1 Antibody (JA11-08) [NBP2-66974] - Analysis of paraffin-embedded human tonsil tissue using anti-NFAT1 antibody. Counter stained with hematoxylin.
Flow Cytometry: NFATC2/NFAT1 Antibody (JA11-08) [NBP2-66974] - Analysis of Jurkat cells with NFAT1 antibody at 1/50 dilution (red) compared with an unlabelled control (cells without incubation with primary antibody; ...read more
Immunocytochemistry/ Immunofluorescence: NFATC2/NFAT1 Antibody (JA11-08) [NBP2-66974] - Staining NFAT1 in Hela cells (red). The nuclear counter stain is DAPI (blue). Cells were fixed in paraformaldehyde, permeabilised ...read more
Immunocytochemistry/ Immunofluorescence: NFATC2/NFAT1 Antibody (JA11-08) [NBP2-66974] - Staining NFAT1 in SHG-44 cells (red). The nuclear counter stain is DAPI (blue). Cells were fixed in paraformaldehyde, permeabilised ...read more
Immunohistochemistry-Paraffin: NFATC2/NFAT1 Antibody (JA11-08) [NBP2-66974] - Analysis of paraffin-embedded human colon cancer tissue using anti-NFAT1 antibody. Counter stained with hematoxylin.
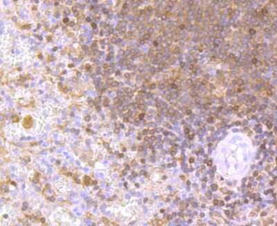
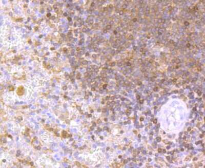
Immunohistochemistry-Paraffin: NFATC2/NFAT1 Antibody (JA11-08) [NBP2-66974] - Analysis of paraffin-embedded human spleen tissue using anti-NFAT1 antibody. Counter stained with hematoxylin.

Product Details

Summary
Product Discontinued
View other related NFATC2/NFAT1 Primary Antibodies

Order Details


    • Catalog Number
      NBP2-66974
    • Availability
      Product Discontinued

    Can't find what you are looking for? Use our Antibody Concierge Service & we will help you locate your antibody!

    Or feel free to contact us for alternative products.

NFATC2/NFAT1 Antibody (JA11-08) Summary

Additional Information
Recombinant Monoclonal Antibody.
Immunogen
Synthetic peptide within Human NFATC2/NFAT1 aa 21-70 / 925. (SwissProt: Q13469 Human)
Localization
Cytoplasm. Nucleus.
Isotype
IgG
Clonality
Monoclonal
Host
Rabbit
Gene
NFATC2
Purity
Protein A purified
Innovator's Reward
Test in a species/application not listed above to receive a full credit towards a future purchase.

Applications/Dilutions

Dilutions
  • Flow Cytometry 1:50-1:100
  • Immunocytochemistry/ Immunofluorescence 1:50-1:200
  • Immunohistochemistry
  • Immunohistochemistry-Paraffin 1:50-1:200
  • Western Blot 1:500

Packaging, Storage & Formulations

Storage
Store at 4C short term. Aliquot and store at -20C long term. Avoid freeze-thaw cycles.
Buffer
TBS (pH7.4), 0.05% BSA, 40% Glycerol
Preservative
0.05% Sodium Azide
Concentration
1 mg/ml
Purity
Protein A purified

Alternate Names for NFATC2/NFAT1 Antibody (JA11-08)

  • NFAT pre-existing subunit
  • NFAT transcription complex, preexisting component
  • NFAT1
  • NFAT1nuclear factor of activated T-cells, cytoplasmic 2
  • NFATC2
  • NF-ATc2
  • NFATP
  • NF-ATp
  • NFATPnuclear factor of activated T-cells, preexisting component
  • nuclear factor of activated T-cells, cytoplasmic, calcineurin-dependent 2
  • preexisting nuclear factor of activated T-cells 2
  • T cell transcription factor NFAT1
  • T-cell transcription factor NFAT1

Background

The nuclear factor of activated T-cells (NFAT) transcription complex is required for the expression of a group of proteins that collectively regulate the immune response. Four NFAT proteins, encoded on separate genes and expressed as several splice variants, have been described: NFAT1, NFAT2, NFAT3, and NFAT4. These proteins show a low level of sequence similarity with the Dorsal/Rel/NFkB family of transcription factors. Another NFAT-related protein termed NFAT5 differs from isoforms 1-4 in that it lacks many of the Fos/Jun contact sites observed in its predecessors and its subcellular localization is not calcineurin-dependent.

Limitations

This product is for research use only and is not approved for use in humans or in clinical diagnosis. Primary Antibodies are guaranteed for 1 year from date of receipt.

Customers Who Viewed This Item Also Viewed...

202-IL
Species: Hu
Applications: BA
NB100-56732
Species: Hu, Mu
Applications: CUT&Tag, ICC/IF, IHC, WB
6507-IL/CF
Species: Hu
Applications: BA
NBP2-67471
Species: Hu, Mu, Rt
Applications: ICC/IF, IHC,  IHC-P, WB
NBP2-50037
Species: Hu, Mu, Rt
Applications: ICC/IF, IHC, KO, WB
AF5834
Species: Hu
Applications: WB
NBP1-89544
Species: Hu
Applications: ChIP-EXO-SEQ, ICC/IF, IHC,  IHC-P, WB
AF2214
Species: Hu
Applications: ICC, IHC, WB
NBP3-16602
Species: Hu, Mu, Rt
Applications: IHC,  IHC-P, IP, WB
NBP1-19371
Species: Ca, Hu, Mu, Po, Rb, Rt
Applications: Dual ISH-IHC, Flow, ICC/IF, IHC, IHC-Fr,  IHC-P, Simple Western, WB
NB100-56583
Species: Hu, Rb, Rt
Applications: Flow, IHC,  IHC-P, KO, Simple Western, WB
DY413
Species: Mu
Applications: ELISA
DCDL40
Species: Hu
Applications: ELISA
485-MI
Species: Mu
Applications: BA
MAB342
Species: Hu
Applications: AgAct, ICC, WB
7268-CT
Species: Hu
Applications: BA
NB100-39002
Species: Bv, Hu, Mu, Rt
Applications: Dual ISH-IHC, Flow, IB, ICC/IF, IHC,  IHC-P, IP, Single-Cell Western, WB
NBP2-29463
Species: Pm, Hu, Pm, Mu
Applications: Flow, ICC/IF, IHC,  IHC-P, WB
NBP2-66974
Species: Hu
Applications: WB, Flow, ICC/IF, IHC

Publications for NFATC2/NFAT1 Antibody (NBP2-66974) (0)

There are no publications for NFATC2/NFAT1 Antibody (NBP2-66974).
By submitting your publication information earn gift cards and discounts for future purchases.

Reviews for NFATC2/NFAT1 Antibody (NBP2-66974) (0)

There are no reviews for NFATC2/NFAT1 Antibody (NBP2-66974). By submitting a review you will receive an Amazon e-Gift Card or Novus Product Discount.
  • Review with no image -- $10/€7/£6/$10 CAD/¥70 Yuan/¥1110 Yen
  • Review with an image -- $25/€18/£15/$25 CAD/¥150 Yuan/¥2500 Yen

Product General Protocols

Find general support by application which include: protocols, troubleshooting, illustrated assays, videos and webinars.

Video Protocols

WB Video Protocol
ICC/IF Video Protocol

FAQs for NFATC2/NFAT1 Antibody (NBP2-66974) (0)

There are no specific FAQs related to this product. Read our general customer & technical service FAQs.

Contact Information

Product PDFs

Calculators

Concentration Calculator

The concentration calculator allows you to quickly calculate the volume, mass or concentration of your vial. Simply enter your mass, volume, or concentration values for your reagent and the calculator will determine the rest.

=
÷

Review this Product

Be the first to review our NFATC2/NFAT1 Antibody (JA11-08) and receive a gift card or discount.

Bioinformatics

Gene Symbol NFATC2