NF-H Antibody (NF421 + NFL/736)

Images

 
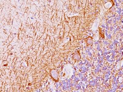
Immunohistochemistry-Paraffin: NF-H Antibody (NF421 + NFL/736) [NBP2-45288] - Human Cerebellum stained with Neurofilament Monoclonal Antibody (NF421 + NFL/736).
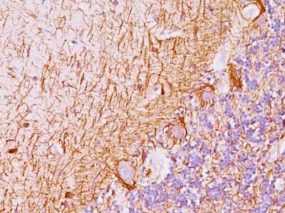
Immunohistochemistry-Paraffin: NF-H Antibody (NF421 + NFL/736) [NBP2-45288] - Human Cerebellum stained with Neurofilament Monoclonal Antibody (NF421 + NFL/736).

Product Details

Summary
Product Discontinued
View other related NF-H Primary Antibodies

Order Details


    • Catalog Number
      NBP2-45288
    • Availability
      Product Discontinued

    Can't find what you are looking for? Use our Antibody Concierge Service & we will help you locate your antibody!

    Or feel free to contact us for alternative products.

NF-H Antibody (NF421 + NFL/736) Summary

Immunogen
Recombinant human neurofilament protein
Localization
Cytoplasmic
Marker
Neuronal Marker
Specificity
This MAb reacts with a 200kDa and 68kDa protein, identified as heavy and light sub-units of neurofilaments (NF-H & NF-L). Neurofilaments make up the main structural elements of axons and dendrites and are found in neurons, peripheral nerves, and sympathetic ganglion cells. Neurofilaments consist of three major subunits with molecular weights of 68kDa (NF-L), 160kDa (NF-M) and 200kDa (NF-H). Anti-neurofilament stains a number of neural, neuroendocrine, and endocrine tumors. Neuromas, ganglioneuromas, gangliogliomas, ganglioneuroblastomas, and neuroblastomas stain positively for anti-neurofilament. Neurofilaments are also present in paragangliomas as well as adrenal and extra-adrenal pheochromocytomas. Carcinoids, neuroendocrine carcinomas of the skin, and oat cell carcinomas of the lung also express neurofilament.
Isotype
IgG
Clonality
Monoclonal
Host
Mouse
Gene
NEFH
Purity
Protein A or G purified
Innovator's Reward
Test in a species/application not listed above to receive a full credit towards a future purchase.

Applications/Dilutions

Dilutions
  • Flow Cytometry 0.5 - 1 ug/million cells in 0.1 ml
  • Immunofluorescence 1:25 - 1:50
  • Immunohistochemistry
  • Immunohistochemistry-Paraffin 0.25 - 0.5 ug/ml
Application Notes
Hu-chromosome location: 22q12.2 (NEFH) & 8p21.2 (NEFL)
Molecular weight of antigen: 200kDa & 68kDa
Immunohistochemistry-Paraffin 0.25 - 0.5 ug/ml for 30 minutes at RT; Staining of formalin-fixed tissues requires boiling tissue sections in 10mM citrate buffer, pH 6.0, for 10 - 20 min followed by cooling at RT for 20 minutes. The 7mL size is a pre-diluted size and no additional dilutions are required before using this item for the intended application.

Packaging, Storage & Formulations

Storage
Store at 4C.
Buffer
10mM PBS and 0.05% BSA
Preservative
0.05% Sodium Azide
Concentration
0.2 mg/ml
Purity
Protein A or G purified

Alternate Names for NF-H Antibody (NF421 + NFL/736)

  • 200 kDa neurofilament protein
  • KIAA0845
  • NEFH
  • Neurofilament Heavy (200kDa)
  • neurofilament heavy polypeptide
  • Neurofilament triplet H protein
  • neurofilament, heavy polypeptide 200kDa
  • neurofilament, heavy polypeptide
  • NF200
  • NFH
  • NF-H

Background

Neurofilaments are 10nm intermediate filament proteins located in vertebrate neurons, which regulate axonal diameter. They are composed predominantly of the three major neurofilament proteins: NF-Light, NF-Medium and NF-Heavy. NF-H is the heavy or high molecular weight microfilament subunit and runs on SDS-PAGE gels in the range 180-220kDa, with some size variation in across species.

Antibodies to NF-H may be used to identify NF-H in neurons and to study neuronal processes in tissue sections and/or culture. NF-H antibodies can also be used to study microfilament accumulations seen in many neurological diseases, such as Lou Geri's disease or Alzheimer's disease.

Limitations

This product is for research use only and is not approved for use in humans or in clinical diagnosis. Primary Antibodies are guaranteed for 1 year from date of receipt.

Customers Who Viewed This Item Also Viewed...

NB300-222
Species: Bv, Ch, Dr, Eq, Hu, Mu, Po, Rt
Applications: IB, ICC/IF, IHC-FrFl, IHC, KD, WB
NB300-131
Species: Bv, Hu, Mu, Po, Rt
Applications: ICC/IF, IHC,  IHC-P, KO, WB
AF3235
Species: Hu, Mu, Rt
Applications: IHC, WB
NB300-141
Species: Bv, Ch, Eq, Gp, Hu, Mu, Po, Rb, Rt
Applications: ICC/IF, IHC, IHC-Fr,  IHC-P, Simple Western, WB
NB300-213
Species: Fe, Hu, Mu, Rt
Applications: ICC/IF, IHC, IHC-Fr,  IHC-P, KD, WB
NBP2-67702
Species: Hu, Mu, Rt
Applications: ICC/IF, IHC, IHC-Fr,  IHC-P, WB
NBP2-37602
Species: Hu, Pm, Rt
Applications: ELISA, Flow, ICC/IF, IHC,  IHC-P, WB
NB300-223
Species: Bv, Ca, Ch, Eq, Hu, Mu, Po, Rt
Applications: ICC/IF, IHC, IHC-Fr,  IHC-P, WB
NBP2-24915
Species: Bv, Hu, Mu, Rt
Applications: IHC,  IHC-P, WB
NB300-140
Species: Bv, Hu, Mu, Po, Rt
Applications: ICC/IF, IHC,  IHC-P, Simple Western, WB
NBP3-05513
Species: Hu
Applications: ICC/IF, IHC,  IHC-P, WB
NB300-137
Species: Bv, Hu, Mu, Po, Rt
Applications: ICC/IF, IHC, IHC-Fr,  IHC-P, WB
NB600-717
Species: Bv
Applications: ELISA, ICC/IF, IHC, IHC-Fr,  IHC-P, RIA, RI, WB
AF1436
Species: Mu
Applications: WB
AF1230
Species: Hu, Mu, Rt
Applications: IHC, KO, WB
NB110-58870
Species: Hu, Mu, Rt
Applications: ICC/IF, IHC, KD, Simple Western, WB
NB300-109
Species: Ch, Dr, Hu, I, Ma, Mu, Rt
Applications: Dual ISH-IHC, ICC/IF, IHC-FrFl, IHC-WhMt, IHC, IHC-Fr,  IHC-P, KO, Simple Western, WB
NBP2-45288
Species: Hu, Mu, Rt, Po
Applications: Flow, IHC, ICC/IF

Publications for NF-H Antibody (NBP2-45288) (0)

There are no publications for NF-H Antibody (NBP2-45288).
By submitting your publication information earn gift cards and discounts for future purchases.

Reviews for NF-H Antibody (NBP2-45288) (0)

There are no reviews for NF-H Antibody (NBP2-45288). By submitting a review you will receive an Amazon e-Gift Card or Novus Product Discount.
  • Review with no image -- $10/€7/£6/$10 CAD/¥70 Yuan/¥1110 Yen
  • Review with an image -- $25/€18/£15/$25 CAD/¥150 Yuan/¥2500 Yen

Product General Protocols

Find general support by application which include: protocols, troubleshooting, illustrated assays, videos and webinars.

FAQs for NF-H Antibody (NBP2-45288) (0)

There are no specific FAQs related to this product. Read our general customer & technical service FAQs.

Secondary Antibodies

 

Isotype Controls

Additional NF-H Products

Research Areas for NF-H Antibody (NBP2-45288)

Find related products by research area.

Blogs on NF-H.

Successful Transplantation of Friedreich Ataxia Induced Pluripotent Stem Cell (iPSC)-Derived Sensory Neurons in Dorsal Root Ganglia of Adult Rodents
Jamshed Arslan, Pharm D, PhD The dorsal root ganglia (DRG) are a collection of cell bodies of sensory nerves carrying sensory information – including nociception, mechanoreception and proprioception – from periphera...  Read full blog post.

Contact Information

Product PDFs

Calculators

Concentration Calculator

The concentration calculator allows you to quickly calculate the volume, mass or concentration of your vial. Simply enter your mass, volume, or concentration values for your reagent and the calculator will determine the rest.

=
÷

Review this Product

Be the first to review our NF-H Antibody (NF421 + NFL/736) and receive a gift card or discount.

Bioinformatics

Gene Symbol NEFH
Uniprot