Neprilysin/CD10 Antibody (rMME/8584) - Azide and BSA Free

Images

 
Immunohistochemistry-Paraffin: Neprilysin/CD10 Antibody (rMME/8584) - Azide and BSA Free [NBP3-24233] - Formalin-fixed, paraffin-embedded human kidney stained with Neprilysin/CD10 Antibody (rMME/8584). HIER: Tris/EDTA, ...read more
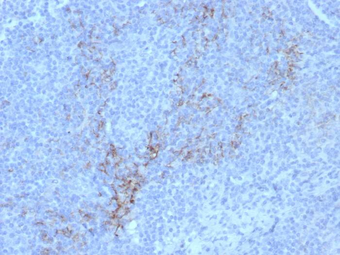
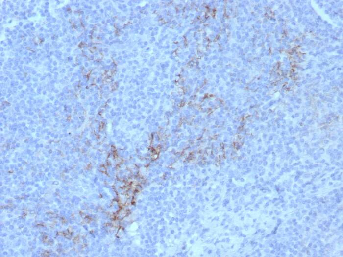
Immunohistochemistry-Paraffin: Neprilysin/CD10 Antibody (rMME/8584) - Azide and BSA Free [NBP3-24233] - Formalin-fixed, paraffin-embedded human lymph node stained with Neprilysin/CD10 Antibody (rMME/8584). HIER: ...read more

Product Details

Summary
Reactivity HuSpecies Glossary
Applications IHC
Clone
rMME/8584
Clonality
Monoclonal
Host
Mouse
Conjugate
Unconjugated
Format
Azide and BSA Free
Concentration
1 mg/ml

Order Details

Neprilysin/CD10 Antibody (rMME/8584) - Azide and BSA Free Summary

Description
Antibody without azide - store at -20 to -80C.
Additional Information
Recombinant Monoclonal Antibody
Immunogen
Recombinant human Neprilysin/CD10 protein fragment (aa 54-181) (exact sequence is proprietary)
Localization
Cell surface. Cytoplasm.
Isotype
IgG1 Kappa
Clonality
Monoclonal
Host
Mouse
Gene
MME
Purity
Protein A or G purified
Innovator's Reward
Test in a species/application not listed above to receive a full credit towards a future purchase.

Applications/Dilutions

Dilutions
  • Immunohistochemistry-Paraffin 1-2ug/ml
Application Notes
Immunohistochemistry-Paraffin: 1-2ug/ml for 30 minutes at RT. Staining of formalin-fixed tissues requires heating tissue sections in 10mM Tris with 1mM EDTA, pH 9.0, for 45 min at 95C followed by cooling at RT for 20 minutes. Optimal dilution for a specific application should be determined.

Packaging, Storage & Formulations

Storage
Store at -20 to -80C. Avoid freeze-thaw cycles.
Buffer
10mM PBS
Preservative
No Preservative
Concentration
1 mg/ml
Purity
Protein A or G purified

Alternate Names for Neprilysin/CD10 Antibody (rMME/8584) - Azide and BSA Free

  • Atriopeptidase
  • CALLA
  • CALLAmembrane metallo-endopeptidase (neutral endopeptidase, enkephalinase)
  • CD10 antigen
  • CD10
  • CD10)
  • CD10membrane metallo-endopeptidase variant 1
  • Common acute lymphocytic leukemia antigen
  • DKFZp686O16152
  • EC 3.4.24
  • EC 3.4.24.11
  • Enkephalinase
  • EPN
  • Leu-19
  • membrane metallo-endopeptidase variant 2
  • membrane metallo-endopeptidase
  • MGC126681
  • MGC126707
  • MME
  • NEPmembrane metallo-endopeptidase (neutral endopeptidase, enkephalinase, CALLA
  • Neprilysin
  • Neutral Endopeptidase 24.11
  • Neutral endopeptidase
  • NKH1
  • SFE
  • Skin fibroblast elastase

Background

CD10, also known as the Common Acute Lymphocytic Leukemia Antigen (CALLA), is a cell surface enzyme with neutral metalloendopeptidase activity which inactivates a variety of biologically active peptides. CD10 is expressed on the cells of lymphoblastic, Burkitt's, and follicular germinal center lymphomas, immature B cells with in adult bone marrow and on cells from patients with chronic myelocytic leukemia (CML). CD10 is also present on breast myoepithelial cells, bile canaliculi, fibroblasts, with especially high expression on the brush border of kidney and gut epithelial cells.

Limitations

This product is for research use only and is not approved for use in humans or in clinical diagnosis. Primary Antibodies are guaranteed for 1 year from date of receipt.

Customers Who Viewed This Item Also Viewed...

AF1513
Species: Mu
Applications: CyTOF-ready, Flow, IHC, IP, Simple Western, WB
NBP2-67309
Species: Hu, Rt
Applications: Flow, ICC/IF, IHC,  IHC-P, IP, WB
MAB4375
Species: Hu, Mu, Rt
Applications: IHC
NBP2-54591
Species: Hu
Applications: CyTOF-ready, Flow, ICC/IF, IHC,  IHC-P, PA
AF2335
Species: Mu
Applications: CyTOF-ready, Flow, ICC, IHC, IP, WB
NBP2-25196
Species: Hu, Mu
Applications: CyTOF-ready, Flow, ICC/IF, In vitro, WB
7268-CT
Species: Hu
Applications: BA
NBP2-79843
Species: Hu
Applications: CyTOF-ready, ELISA, Flow, ICC/IF, IHC,  IHC-P, PA, WB
NB100-524
Species: Hu, Mu
Applications: Flow-IC, Flow, ICC/IF, IHC, IHC-Fr,  IHC-P, IP, WB
NBP2-59786
Species: Hu
Applications: ICC/IF, IHC,  IHC-P, Simple Western
NB100-56098
Species: Ca, Hu, Mu, Rt
Applications: IHC,  IHC-P, IP, WB
NBP2-70360
Species: Hu
Applications: CyTOF-ready, Flow, IMC, ICC/IF, IHC,  IHC-P, WB
AF4117
Species: Rt
Applications: IHC, WB
AF3366
Species: Hu
Applications: ICC, IHC, Simple Western, WB
AF1396
Species: Hu
Applications: WB
NBP1-81838
Species: Hu, Mu
Applications: IHC,  IHC-P, WB
NBP1-30027
Species: Hu, Mu, Rt
Applications: ICC/IF, IHC,  IHC-P, WB
NBP2-13075
Species: Ba, Hu, Pm, Mu, Rt
Applications: DB, ELISA, IB, ICC/IF, IHC-FrFl, IHC, IHC-Fr,  IHC-P, IP, WB

Publications for Neprilysin/CD10 Antibody (NBP3-24233) (0)

There are no publications for Neprilysin/CD10 Antibody (NBP3-24233).
By submitting your publication information earn gift cards and discounts for future purchases.

Reviews for Neprilysin/CD10 Antibody (NBP3-24233) (0)

There are no reviews for Neprilysin/CD10 Antibody (NBP3-24233). By submitting a review you will receive an Amazon e-Gift Card or Novus Product Discount.
  • Review with no image -- $10/€7/£6/$10 CAD/¥70 Yuan/¥1110 Yen
  • Review with an image -- $25/€18/£15/$25 CAD/¥150 Yuan/¥2500 Yen

Product General Protocols

Find general support by application which include: protocols, troubleshooting, illustrated assays, videos and webinars.

FAQs for Neprilysin/CD10 Antibody (NBP3-24233) (0)

There are no specific FAQs related to this product. Read our general customer & technical service FAQs.

Customers Who Bought This Also Bought

Contact Information

Product PDFs

Calculators

Concentration Calculator

The concentration calculator allows you to quickly calculate the volume, mass or concentration of your vial. Simply enter your mass, volume, or concentration values for your reagent and the calculator will determine the rest.

=
÷

Review this Product

Be the first to review our Neprilysin/CD10 Antibody (rMME/8584) - Azide and BSA Free and receive a gift card or discount.

Bioinformatics

Gene Symbol MME