Nanog Antibody (SC05-70)

Images

 
Western Blot: Nanog Antibody (SC05-70) [NBP2-67562] - Western blot analysis of Nanog on different lysates. Proteins were transferred to a PVDF membrane and blocked with 5% BSA in PBS for 1 hour at room temperature. The ...read more
Immunocytochemistry/ Immunofluorescence: Nanog Antibody (SC05-70) [NBP2-67562] - Staining Nanog in F9 cells (green). The nuclear counter stain is DAPI (blue). Cells were fixed in paraformaldehyde, permeabilised with ...read more
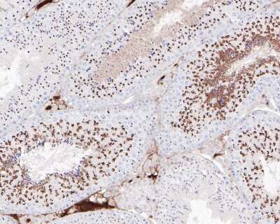
Immunohistochemistry-Paraffin: Nanog Antibody (SC05-70) [NBP2-67562] - Immunohistochemical analysis of paraffin-embedded mouse testis tissue using anti-Nanog antibody. The section was pre-treated using heat mediated ...read more
Flow Cytometry: Nanog Antibody (SC05-70) [NBP2-67562] - Flow cytometric analysis of NCCIT cells with Nanog antibody at 1/50 dilution (red) compared with an unlabelled control (cells without incubation with primary ...read more
Western Blot: Nanog Antibody (SC05-70) [NBP2-67562] - Analysis of Nanog on F9 cell lysates using anti-Nanog antibody at 1/1,000 dilution.

Product Details

Summary
Product Discontinued
View other related Nanog Primary Antibodies

Order Details


    • Catalog Number
      NBP2-67562
    • Availability
      Product Discontinued

    Can't find what you are looking for? Use our Antibody Concierge Service & we will help you locate your antibody!

    Or feel free to contact us for alternative products.

Nanog Antibody (SC05-70) Summary

Additional Information
Recombinant Monoclonal Antibody.
Immunogen
Recombinant protein within Human Nanog aa 9-49 / 305. (SwissProt: Q9H9S0 Human; SwissProt: Q80Z64 Mouse)
Localization
Nucleus.
Isotype
IgG
Clonality
Monoclonal
Host
Rabbit
Gene
NANOG
Purity
Protein A purified
Innovator's Reward
Test in a species/application not listed above to receive a full credit towards a future purchase.

Applications/Dilutions

Dilutions
  • Flow Cytometry 1:50-1:100
  • Immunocytochemistry/ Immunofluorescence 1:50-1:200
  • Immunohistochemistry
  • Immunohistochemistry-Paraffin 1:50-1:800
  • Western Blot 1:500-1:1000

Packaging, Storage & Formulations

Storage
Store at 4C short term. Aliquot and store at -20C long term. Avoid freeze-thaw cycles.
Buffer
TBS (pH7.4), 0.05% BSA, 40% Glycerol
Preservative
0.05% Sodium Azide
Concentration
1 mg/ml
Purity
Protein A purified

Alternate Names for Nanog Antibody (SC05-70)

  • FLJ12581
  • FLJ40451
  • hNanog
  • homeobox protein NANOG
  • Homeobox transcription factor Nanog
  • homeobox transcription factor Nanog-delta 48
  • Nanog homeobox
  • Nanog

Background

Nanog is one of the molecular markers suitable for recognizing the undifferentiated state of stem cells in the mouse and human. Nanog is a divergent homeodomain protein that directs propagation of undifferentiated ES cells. Nanog mRNA is present in pluripotent mouse and human cell lines, and absent from differentiated cells. Nanog-deficient ES cells lose pluripotency and differentiate into extraembryonic endoderm lineage.

Limitations

This product is for research use only and is not approved for use in humans or in clinical diagnosis. Primary Antibodies are guaranteed for 1 year from date of receipt.

Customers Who Viewed This Item Also Viewed...

AF1759
Species: Hu, Mu
Applications: ChIP, ICC, IP, Simple Western, WB
AF2018
Species: Hu, Mu, Rt
Applications: ChIP, ICC, IHC, Simple Western, WB
NB600-302
Species: Bv, Dr, Hu, Mu
Applications: ChIP, ELISA, Flow-IC, Flow, IB, ICC/IF, IHC, IHC-Fr,  IHC-P, IP, PLA, S-ELISA, Simple Western, WB
7734-LF
Species: Hu
Applications: BA
AF3158
Species: Mu
Applications: ChIP, ICC, IHC, WB
NBP1-83976
Species: Hu
Applications: ICC/IF, IHC,  IHC-P
NBP2-37357
Species: Hu, Mu
Applications: CyTOF-ready, ELISA, Flow, IHC,  IHC-P, WB
AF3757
Species: Hu
Applications: ICC, Simple Western, WB
MAB1259
Species: Hu
Applications: CyTOF-reported, ICC, ICFlow
MAB1799
Species: Hu, Mu, Rt
Applications: ICC, IP, ICFlow, KO, WB
NBP1-90095
Species: Hu
Applications: IHC,  IHC-P
NB120-16518
Species: Hu, Mu, Po, Rt
Applications: ChIP, ELISA, Flow, ICC/IF, IHC, IHC-Fr,  IHC-P, WB
BBA10
Species: Hu
Applications: CyTOF-ready, Flow, IHC, IP, KO, Simple Western, WB
NBP1-84862
Species: Hu
Applications: ICC/IF, WB
233-FB
Species: Hu
Applications: BA
NB100-524
Species: Hu, Mu
Applications: Flow-IC, Flow, ICC/IF, IHC, IHC-Fr,  IHC-P, IP, WB
7268-CT
Species: Hu
Applications: BA
NBP2-67562
Species: Hu, Mu
Applications: WB, Flow, ICC/IF, IHC

Publications for Nanog Antibody (NBP2-67562) (0)

There are no publications for Nanog Antibody (NBP2-67562).
By submitting your publication information earn gift cards and discounts for future purchases.

Reviews for Nanog Antibody (NBP2-67562) (0)

There are no reviews for Nanog Antibody (NBP2-67562). By submitting a review you will receive an Amazon e-Gift Card or Novus Product Discount.
  • Review with no image -- $10/€7/£6/$10 CAD/¥70 Yuan/¥1110 Yen
  • Review with an image -- $25/€18/£15/$25 CAD/¥150 Yuan/¥2500 Yen

Product General Protocols

Find general support by application which include: protocols, troubleshooting, illustrated assays, videos and webinars.

Video Protocols

WB Video Protocol
ICC/IF Video Protocol

FAQs for Nanog Antibody (NBP2-67562) (0)

There are no specific FAQs related to this product. Read our general customer & technical service FAQs.

Secondary Antibodies

 

Isotype Controls

Additional Nanog Products

Research Areas for Nanog Antibody (NBP2-67562)

Find related products by research area.

Blogs on Nanog.

Breast cancer stem cells survive chemotherapy through S100A10-ANXA2-SPT6 interaction that epigenetically promotes OCT4-mediated stemness
By Jamshed Arslan, Pharm D, PhDBreast cancer is the most common cancer among women that causes the greatest number of cancer-related deaths worldwide. After radiotherapy or cytotoxic chemotherapy like paclitax...  Read full blog post.

Deriving neural precursor cells from human induced pluripotent stem cells
By Jennifer Sokolowski, MD, PhD.Human induced pluripotent stem cells (iPSCs) can be used to create models of human organ systems and are useful for a) ascertaining the mechanisms underlying pathological conditions...  Read full blog post.

Stemness for Surviving Hypoxia: TGF-beta/Smad Signaling in Multiple Myeloma
By Jamshed Arslan Pharm.D. Multiple myeloma (MM) is a cancer of antibody-producing plasma cells. The bone marrow (BM) of MM patients is hypoxic, and MM cells overexpress many cancerous genes that are regulated by hy...  Read full blog post.

KLF4 as a transcription factor in stem cell differentiation
Kru¨ppel-like factors (KLFs) are evolutionarily conserved zinc finger transcription factors that play a role in cell differentiation, proliferation, and pluripotency. KLF4 has specifically been tied to many diverse cellular processes, including sel...  Read full blog post.

Nanog is a Master Controller of ES cell Pluripotency
Nanog, a homeodomain (HD) transcription factor, plays a critical role in the maintenance of embryonic stem (ES) cell self-renewal. Transcription regulator involved in inner cell mass and ES cell proliferation and self-renewal. Imposes pluripotency on ...  Read full blog post.

Sox2 and Oct4: Roles in Embryonic Stem Cell Pluripotency
Embryonic stem (ES) cells are cells derived from the inner cell mass of the blastocyst, an early-stage embryo. ES cells are distinguished from other cells due to their pluripotency, which is the ability to differentiate into any different type of cell...  Read full blog post.

An Unlikely Pairing: The SOX2 Antibody and Breast Cancer
SOX2 encodes a member of the SOX (SRY-related HMG-box) family of transcription factors, which play a vital role in embryonic development. SOX2 antibody research has identified Sox2 as a key transcription factor in pluripotent stem cells. We at Novus B...  Read full blog post.

Fluorescence Activated Cell Sorting Antibody Techniques
Recently, we at Novus Biologicals added several embryonic stem cell marker products to our antibody catalog, validated for use in fluorescent activated cell sorting (FACS) assays. They included Cripto1, PODXL, SSEA, OCT4, Nanog, SOX2, TRA-1, TERT and ...  Read full blog post.

Contact Information

Product PDFs

Calculators

Concentration Calculator

The concentration calculator allows you to quickly calculate the volume, mass or concentration of your vial. Simply enter your mass, volume, or concentration values for your reagent and the calculator will determine the rest.

=
÷

Review this Product

Be the first to review our Nanog Antibody (SC05-70) and receive a gift card or discount.

Bioinformatics

Gene Symbol NANOG