Myt1 Antibody

Images

 
Immunocytochemistry/ Immunofluorescence: Myt1 Antibody [NBP2-97801] - Immunofluorescence staining of Myt1 in SHSY5Y cells. Cells were fixed with 4% PFA, permeabilzed with 0.1% Triton X-100 in PBS, blocked with 10% ...read more
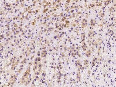
Immunohistochemistry-Paraffin: Myt1 Antibody [NBP2-97801] - Immunochemical staining of human Myt1 in human adrenal gland with rabbit polyclonal antibody at 1:500 dilution, formalin-fixed paraffin embedded sections.

Product Details

Summary
Product Discontinued
View other related Myt1 Primary Antibodies

Order Details


    • Catalog Number
      NBP2-97801
    • Availability
      Product Discontinued

    Can't find what you are looking for? Use our Antibody Concierge Service & we will help you locate your antibody!

    Or feel free to contact us for alternative products.

Myt1 Antibody Summary

Description
This antibody can be stored at 2C to 8C for one month without detectable loss of activity. Antibody products are stable for twelve months from date of receipt when stored at -20C to -80C. Avoid repeated freeze-thaw cycles.
Immunogen
Produced in rabbits immunized with E. coli-derived Human Myt1 fragment.
Isotype
IgG
Clonality
Polyclonal
Host
Rabbit
Gene
MYT1
Purity
Antigen Affinity-purified
Innovator's Reward
Test in a species/application not listed above to receive a full credit towards a future purchase.

Applications/Dilutions

Dilutions
  • Immunocytochemistry/ Immunofluorescence
  • Immunohistochemistry
  • Immunohistochemistry-Paraffin

Packaging, Storage & Formulations

Storage
Store at 4C short term. Aliquot and store at -20C long term. Avoid freeze-thaw cycles.
Buffer
PBS (pH 7.0)
Preservative
0.03% Proclin 300
Purity
Antigen Affinity-purified

Alternate Names for Myt1 Antibody

  • C20orf36
  • KIAA0835
  • KIAA1050
  • MTF1
  • MTF1proteolipid protein binding protein
  • myelin transcription factor 1
  • Myelin transcription factor I
  • Myt1
  • MyTI
  • MYTIKIAA0835
  • PLPB1
  • PLPB1KIAA1050
  • Proteolipid protein-binding protein

Background

MYT1, also known as Myelin transcription factor 1, consists of a long 1,121 amino acid isoform that is 122 kDa, and is involved in the development of the central nervous system and the regulation of oligodendrocyte lineage development. Current research is being conducted on the relationship between MYT1 and a variety of diseases and disorders, including multiple sclerosis, papillary thyroid carcinoma, leukomalacia, neuronitis, sporadic breast cancer, skin cancer, pancreatitis, schizophrenia, thyroiditis, and carcinoma. The protein interacts with SIN3B, PIN1, PLK1, HDAC1, and CDK1, and has been linked to pancreatic and breast cancer pathways, as well as G1 to S cell cycle control.

Limitations

This product is for research use only and is not approved for use in humans or in clinical diagnosis. Primary Antibodies are guaranteed for 1 year from date of receipt.

Customers Who Viewed This Item Also Viewed...

NBP1-85729
Species: Hu, Mu, Rt
Applications: ICC/IF, IHC,  IHC-P, WB
NBP1-33506
Species: Hu, Mu
Applications: IHC,  IHC-P, WB
NBP2-33466
Species: Hu
Applications: ICC/IF, IHC,  IHC-P, WB
NBP1-87781
Species: Hu, Mu
Applications: IHC,  IHC-P, WB
MAB4459
Species: Hu, Mu, Rt
Applications: WB
AF6000
Species: Hu, Mu
Applications: IHC, Simple Western, WB
NBP3-32740
Species: Hu, Mu, Rt
Applications: Flow, ICC/IF, IHC,  IHC-P, IP, WB
NBP2-93574
Species: Hu, Mu, Rt
Applications: ICC/IF, IHC,  IHC-P, WB
MAB6734
Species: Hu
Applications: IHC
NBP1-85727
Species: Hu
Applications: ICC/IF, IHC,  IHC-P
NB600-717
Species: Bv
Applications: ELISA, ICC/IF, IHC, IHC-Fr,  IHC-P, RIA, RI, WB
NBP2-02275
Species: Hu, Mu, Rt
Applications: Flow, ICC/IF, IHC,  IHC-P, WB
NBP2-81742
Species: Hu, Mu, Rt
Applications: ELISA, ICC/IF, WB
NBP2-00776
Species: Ca, Hu, Pm, Mu, Rt
Applications: Flow, ICC/IF, IHC,  IHC-P, WB
NBP1-48291
Species: Hu, Mu, Rt
Applications: Flow, IHC,  IHC-P, IP, WB
MAB32652
Species: Hu
Applications: CyTOF-ready, ELISA, Flow, KO
NB100-464
Species: Hu, Mu
Applications: IHC,  IHC-P, IP, WB
AF3444
Species: Hu
Applications: IHC, WB
NBP3-04784
Species: Hu, Mu, Rt
Applications: ELISA, ICC/IF, IHC,  IHC-P, WB
AF2307
Species: Hu
Applications: ELISA(Cap), ELISA(Det), ELISA(Sta), WB

Publications for Myt1 Antibody (NBP2-97801) (0)

There are no publications for Myt1 Antibody (NBP2-97801).
By submitting your publication information earn gift cards and discounts for future purchases.

Reviews for Myt1 Antibody (NBP2-97801) (0)

There are no reviews for Myt1 Antibody (NBP2-97801). By submitting a review you will receive an Amazon e-Gift Card or Novus Product Discount.
  • Review with no image -- $10/€7/£6/$10 CAD/¥70 Yuan/¥1110 Yen
  • Review with an image -- $25/€18/£15/$25 CAD/¥150 Yuan/¥2500 Yen

Product General Protocols

Find general support by application which include: protocols, troubleshooting, illustrated assays, videos and webinars.

Video Protocols

ICC/IF Video Protocol

FAQs for Myt1 Antibody (NBP2-97801) (0)

There are no specific FAQs related to this product. Read our general customer & technical service FAQs.

Secondary Antibodies

 

Isotype Controls

Additional Myt1 Products

Array NBP2-97801

Research Areas for Myt1 Antibody (NBP2-97801)

Find related products by research area.

Blogs on Myt1

There are no specific blogs for Myt1, but you can read our latest blog posts.

Contact Information

Product PDFs

Calculators

Concentration Calculator

The concentration calculator allows you to quickly calculate the volume, mass or concentration of your vial. Simply enter your mass, volume, or concentration values for your reagent and the calculator will determine the rest.

=
÷

Review this Product

Be the first to review our Myt1 Antibody and receive a gift card or discount.

Bioinformatics

Gene Symbol MYT1