MMP21 Antibody - BSA Free

Images

 
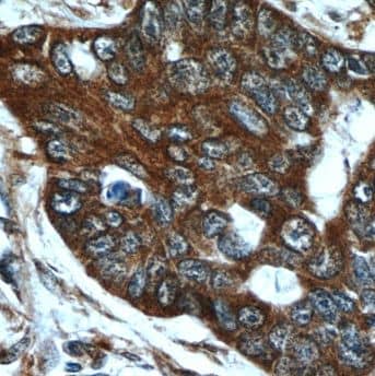
Immunohistochemistry: MMP21 Antibody - BSA Free [NBP3-47081] - Immunohistochemistry of paraffin-embedded human skin cancer tissue slide using (MMP21 Antibody) at dilution of 1:50
Western Blot: MMP21 Antibody - BSA Free [NBP3-47081] - Mouse liver tissue were subjected to SDS PAGE followed by western blot with (MMP21 Antibody) at dilution of 1:600

Product Details

Summary
Reactivity Hu, MuSpecies Glossary
Applications WB, ELISA, IHC
Clonality
Polyclonal
Host
Rabbit
Conjugate
Unconjugated
Format
BSA Free

Order Details

MMP21 Antibody - BSA Free Summary

Description
Novus Biologicals Rabbit MMP21 Antibody - BSA Free (NBP3-47081) is a polyclonal antibody validated for use in IHC, WB and ELISA. All Novus Biologicals antibodies are covered by our 100% guarantee.
Immunogen
matrix metallopeptidase 21. (Uniprot# Q8N119)
Isotype
IgG
Clonality
Polyclonal
Host
Rabbit
Gene
MMP21
Purity
Immunogen affinity purified
Innovator's Reward
Test in a species/application not listed above to receive a full credit towards a future purchase.

Applications/Dilutions

Dilutions
  • ELISA
  • Immunohistochemistry 1:20-1:200
  • Western Blot 1:500-1:2000
Theoretical MW
67 kDa.
Disclaimer note: The observed molecular weight of the protein may vary from the listed predicted molecular weight due to post translational modifications, post translation cleavages, relative charges, and other experimental factors.

Packaging, Storage & Formulations

Storage
Store at -20C. Avoid freeze-thaw cycles.
Buffer
PBS, 50% Glycerol, pH (7.3)
Preservative
0.02% Sodium Azide
Purity
Immunogen affinity purified

Alternate Names for MMP21 Antibody - BSA Free

  • EC 3.4.24
  • EC 3.4.24.-
  • matrix metallopeptidase 21
  • matrix metalloproteinase 21
  • matrix metalloproteinase-21
  • MMP21
  • MMP-21

Background

Matrix metalloproteinases (MMPs) play key roles in tissue remodelling under normal development and, especially, in diseases ranging from malignancies to stroke. Expression of MMP-21 is controlled uniquely by Pax and Notch transcription factors known to be critical for organogenesis. MMP-21 is expressed transiently in mouse embryogenesis and increased in embryonic neuronal tissues. Observations indicate that there is an important specific function for MMP-21 in embryogenesis, especially in neuronal cells (1). MMP-21 is expressed in various human fetal and adult tissues as well as in cancer cell lines. MMP-21 protein can also be detected in malignancies such as ovarian and colon carcinomas by immunohistochemical staining. Findings suggest that MMP-21 functions in embryogenesis and tumor progression (2). Results suggest that during development, MMP-21 expression is temporally and spatially tightly controlled. Unlike many classical MMPs, it is present in various normal adult tissues. Among epithelial MMPs, MMP-21 has a unique expression pattern in cancer (3).

Limitations

This product is for research use only and is not approved for use in humans or in clinical diagnosis. Primary Antibodies are guaranteed for 1 year from date of receipt.

Customers Who Viewed This Item Also Viewed...

H00056547-M01
Species: Hu
Applications: ELISA, S-ELISA, WB
NBP3-47079
Species: Hu, Mu, Rt
Applications: ELISA, IHC, WB
DMP700
Species: Hu
Applications: ELISA
DM1000
Species: Hu
Applications: ELISA
DM1300
Species: Hu
Applications: ELISA
DMP900
Species: Hu
Applications: ELISA
AB924
Species: Hu, Mu
Applications: IHC, IP, WB
AF6790
Species: Hu
Applications: IHC, WB
NBP2-67670
Species: Hu, Mu, Rt
Applications: ICC/IF, IHC,  IHC-P, WB
236-EG
Species: Hu
Applications: BA
MMP200
Species: Ca, Hu, Mu, Po, Rt
Applications: ELISA
DMP300
Species: Hu
Applications: ELISA
7754-BH/CF
Species: Hu
Applications: BA
DTM100
Species: Hu
Applications: ELISA
NB120-14817
Species: Hu, Rt
Applications: ICC/IF, IHC, S-ELISA, WB
NBP3-47081
Species: Hu, Mu
Applications: WB, ELISA, IHC

Publications for MMP21 Antibody (NBP3-47081) (0)

There are no publications for MMP21 Antibody (NBP3-47081).
By submitting your publication information earn gift cards and discounts for future purchases.

Reviews for MMP21 Antibody (NBP3-47081) (0)

There are no reviews for MMP21 Antibody (NBP3-47081). By submitting a review you will receive an Amazon e-Gift Card or Novus Product Discount.
  • Review with no image -- $10/€7/£6/$10 CAD/¥70 Yuan/¥1110 Yen
  • Review with an image -- $25/€18/£15/$25 CAD/¥150 Yuan/¥2500 Yen

Product General Protocols

Find general support by application which include: protocols, troubleshooting, illustrated assays, videos and webinars.

Video Protocols

WB Video Protocol

FAQs for MMP21 Antibody (NBP3-47081) (0)

There are no specific FAQs related to this product. Read our general customer & technical service FAQs.

Secondary Antibodies

 

Isotype Controls

Additional MMP21 Products

Research Areas for MMP21 Antibody (NBP3-47081)

Find related products by research area.

Blogs on MMP21

There are no specific blogs for MMP21, but you can read our latest blog posts.

Customers Who Bought This Also Bought

Contact Information

Product PDFs

Calculators

Concentration Calculator

The concentration calculator allows you to quickly calculate the volume, mass or concentration of your vial. Simply enter your mass, volume, or concentration values for your reagent and the calculator will determine the rest.

=
÷

Review this Product

Be the first to review our MMP21 Antibody - BSA Free and receive a gift card or discount.

Bioinformatics

Gene Symbol MMP21