Mesothelin Antibody (rMSLN/8764) - Azide and BSA Free

Images

 
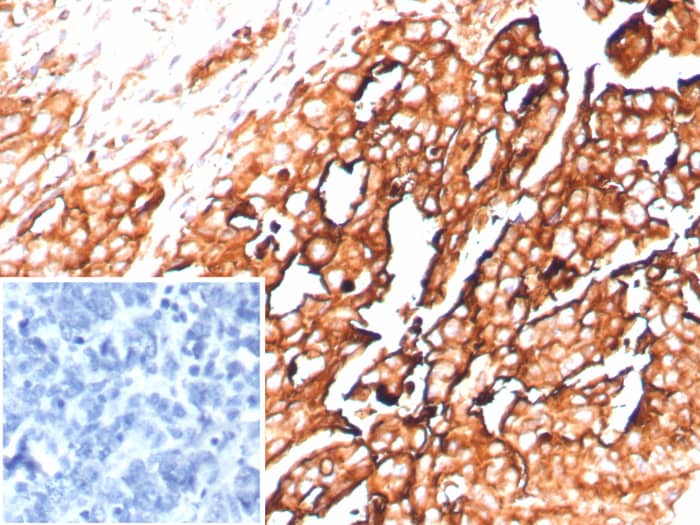
Formalin-fixed, paraffin-embedded human ovarian cancer stained with Mesothelin Recombinant Mouse Monoclonal (rMSLN/8764). Inset: PBS instead of primary antibody; secondary only negative control.

Product Details

Summary
Reactivity HuSpecies Glossary
Applications IHC
Clone
rMSLN/8764
Clonality
Monoclonal
Host
Mouse
Conjugate
Unconjugated
Format
Azide and BSA Free
Concentration
1 mg/ml

Order Details

Mesothelin Antibody (rMSLN/8764) - Azide and BSA Free Summary

Description
Positive Controls: CAPAN-2 or HeLa cells. Lung Mesothelioma.

Antibody with azide - store at 2 to 8C. Antibody without azide - store at -20 to -80C. Non-hazardous. No MSDS required.
Additional Information
Recombinant Monoclonal Antibody
Immunogen
Recombinant fragment (around aa 273-407) of human Mesothelin protein (exact sequence is proprietary)
Localization
Cell Surface. Secreted.
Isotype
IgG2b Kappa
Clonality
Monoclonal
Host
Mouse
Gene
MSLN
Purity
Protein A or G purified
Innovator's Reward
Test in a species/application not listed above to receive a full credit towards a future purchase.

Applications/Dilutions

Dilutions
  • Immunohistochemistry-Paraffin 1-2 ug/ml
Application Notes
Immunohistochemistry (Formalin-fixed): 1-2ug/ml for 30 minutes. at RT. Staining of formalin-fixed tissues requires heating tissue sections in 10mM Tris with 1mM EDTA, pH 9.0, for 45 min at 95C followed by cooling at RT for 20 minutes.

Optimal dilution for a specific application should be determined.

Packaging, Storage & Formulations

Storage
Store at -20 to -70C. Avoid freeze-thaw cycles.
Buffer
10mM PBS
Preservative
No Preservative
Concentration
1 mg/ml
Purity
Protein A or G purified

Alternate Names for Mesothelin Antibody (rMSLN/8764) - Azide and BSA Free

  • CAK1 antigen
  • CAK1
  • megakaryocyte potentiating factor
  • Mesothelin
  • MPF
  • MPFSMRP
  • MSLN
  • Pre-pro-megakaryocyte-potentiating factor
  • SMR
  • soluble MPF mesothelin related protein

Background

MSLN, also known as Mesothelin, has 4 isoforms, a 630 amino acid isoform that is 69 kDa, a 622 amino acid isoform that is 68 kDa, a 656 amino acid isoform that is 71 kDa, and a 621 amino acid isoform that is 68 kDa, expressed in lung, heart, placenta kidney, and overexpressed in mesotheliomas, ovarian cancers, and some squamous cell carcinomas. Membrane-anchored forms may play a role in cellular adhesion and megakaryocyte-potentiating factor (MPF) potentiates megakaryocyte colony formation in vitro. Current research is being performed on several diseases and disorders including squamous cell carcinoma, ovarian cancer, carcinoma, malignant biphasic mesothelioma, bile duct adenoma, malignant mesothelioma, malignant pleural mesothelioma, gastrointestinal stromal tumor, renal clear cell carcinoma, epithelioid sarcoma, benign mesothelioma, pancreatic ductal adenocarcinoma, asbestosis, pancreatic ductal carcinoma, thymic carcinoma, acute myeloid leukemia, epithelial ovarian cancer, myeloid leukemia, thoracic cancer, and pancreatitis. This protein has also shown an interaction with MUC16 and RSG1 in cell adhesion and pancreas development processes and pathways.

Limitations

This product is for research use only and is not approved for use in humans or in clinical diagnosis. Primary Antibodies are guaranteed for 1 year from date of receipt.

Customers Who Viewed This Item Also Viewed...

NBP1-85729
Species: Hu, Mu, Rt
Applications: ICC/IF, IHC,  IHC-P, WB
NBP2-33466
Species: Hu
Applications: ICC/IF, IHC,  IHC-P, WB
AF6000
Species: Hu, Mu
Applications: IHC, Simple Western, WB
NBP1-86241
Species: Hu
Applications: IHC,  IHC-P, WB
NBP2-45184
Species: Hu, Mu, Rt
Applications: Flow, ICC/IF, IHC,  IHC-P, WB
AF808
Species: Mu
Applications: ELISA(Cap), ELISA(Det), ELISA(Sta), ICC, IHC, Neut, WB
NBP2-13304
Species: Hu
Applications: ICC/IF, IHC,  IHC-P, WB
MAB4459
Species: Hu, Mu, Rt
Applications: WB
NBP2-14243
Species: Hu, Mu
Applications: ICC/IF, IHC,  IHC-P, Simple Western, WB
5609-MU
Species: Hu
Applications: Bind
NB500-106
Species: Ch, Dr, Fi, Hu, Mar, Mu, Po, Pm, Rb, Rt, Ye, Ze
Applications: ChIP, ChIP, ELISA, Flow, ICC/IF, IHC-FrFl, IHC, IHC-Fr,  IHC-P, IP, Simple Western, WB
7954-GM/CF
Species: Hu
Applications: BA
NBP1-85727
Species: Hu
Applications: ICC/IF, IHC,  IHC-P
NBP2-42388
Species: Hu
Applications: ICC/IF, IHC,  IHC-P, KD, WB
NBP2-22203
Species: Hu, Pm, Mu, Rt
Applications: ELISA, Flow, ICC/IF, IHC,  IHC-P, WB
AF1230
Species: Hu, Mu, Rt
Applications: IHC, KO, WB
H00000902-M01
Species: Hu
Applications: ELISA, ICC/IF, IHC,  IHC-P, S-ELISA, WB
288-TPN/CF
Species: Hu
Applications: BA
NBP1-87905
Species: Hu
Applications: ICC/IF, IHC,  IHC-P, WB
NBP3-20892
Species: Hu
Applications: IHC

Publications for Mesothelin Antibody (NBP3-20892) (0)

There are no publications for Mesothelin Antibody (NBP3-20892).
By submitting your publication information earn gift cards and discounts for future purchases.

Reviews for Mesothelin Antibody (NBP3-20892) (0)

There are no reviews for Mesothelin Antibody (NBP3-20892). By submitting a review you will receive an Amazon e-Gift Card or Novus Product Discount.
  • Review with no image -- $10/€7/£6/$10 CAD/¥70 Yuan/¥1110 Yen
  • Review with an image -- $25/€18/£15/$25 CAD/¥150 Yuan/¥2500 Yen

Product General Protocols

Find general support by application which include: protocols, troubleshooting, illustrated assays, videos and webinars.

FAQs for Mesothelin Antibody (NBP3-20892) (0)

There are no specific FAQs related to this product. Read our general customer & technical service FAQs.

Secondary Antibodies

 

Isotype Controls

Additional Mesothelin Products

Research Areas for Mesothelin Antibody (NBP3-20892)

Find related products by research area.

Blogs on Mesothelin

There are no specific blogs for Mesothelin, but you can read our latest blog posts.

Customers Who Bought This Also Bought

Contact Information

Product PDFs

Calculators

Concentration Calculator

The concentration calculator allows you to quickly calculate the volume, mass or concentration of your vial. Simply enter your mass, volume, or concentration values for your reagent and the calculator will determine the rest.

=
÷

Review this Product

Be the first to review our Mesothelin Antibody (rMSLN/8764) - Azide and BSA Free and receive a gift card or discount.

Bioinformatics

Gene Symbol MSLN