Melan-A/MART-1 Antibody (CL12863) - Azide and BSA Free

Images

 
Orthogonal Strategies: Analysis in human skin and prostate tissues using NBP3-44177 antibody. Corresponding Melan-A/MART-1 RNA-seq data are presented for the same tissues.
Staining of human cervix shows no positivity in squamous epithelial cells as expected.
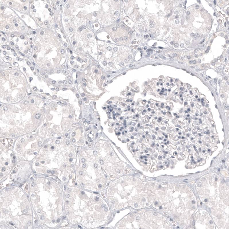
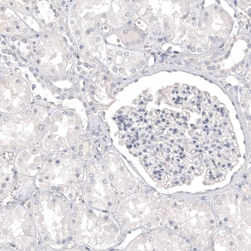
Staining of human kidney shows no positivity as expected.
Staining of human prostate shows no positivity in glandular cells as expected.
Orthogonal Strategies: Analysis in human cell line SK-MEL-30 and human cell line U-2 OS.
Staining of SK-MEL-30 cells using the Anti-MART1 monoclonal antibody) .
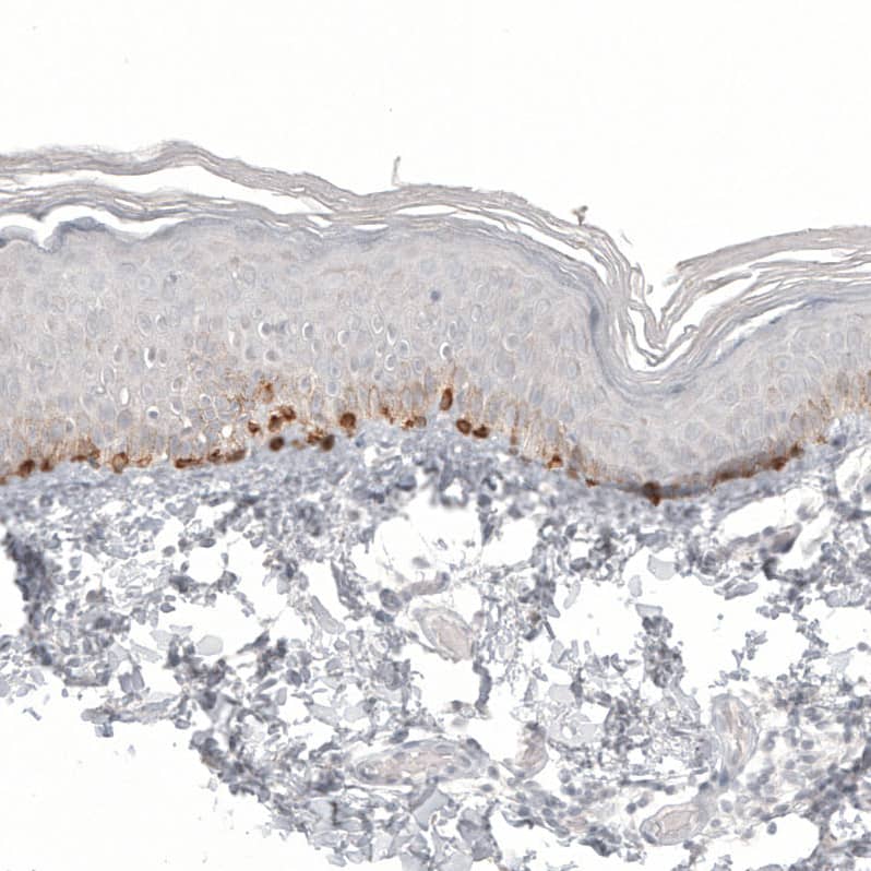
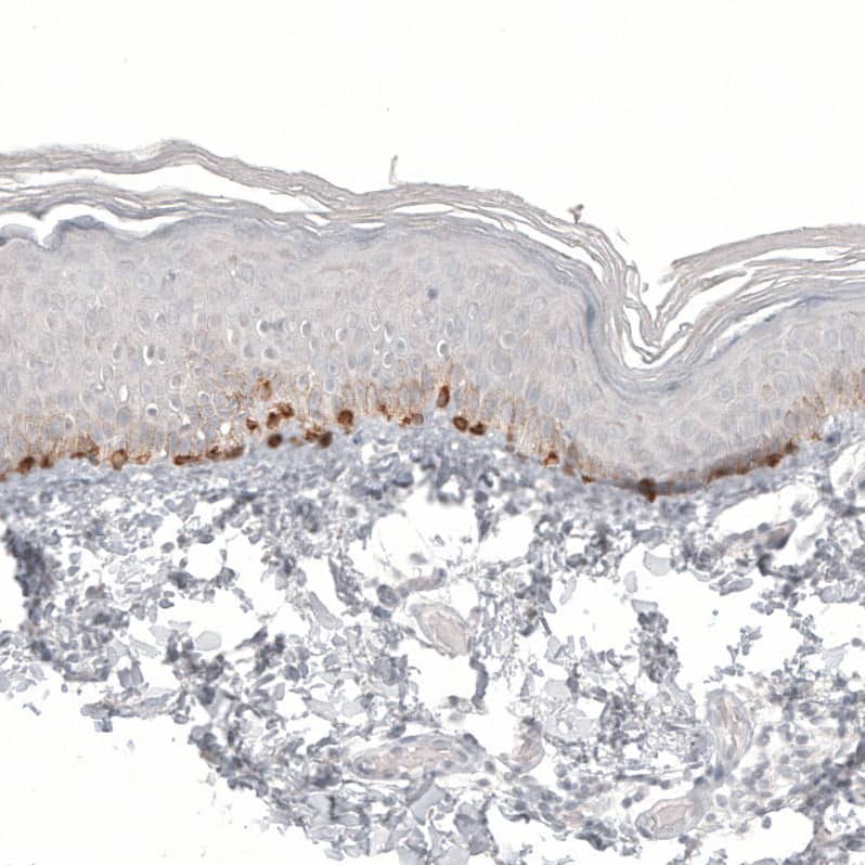
Staining of human skin shows strong cytoplasmic positivity in melanocytes.

Product Details

Summary
Reactivity HuSpecies Glossary
Applications WB, ICC/IF, IHC
Clone
CL12863
Clonality
Monoclonal
Host
Mouse
Conjugate
Unconjugated
Format
Azide and BSA Free
Concentration
LYOPH
Validated by:
       

Orthogonal Strategies

 

Order Details

Melan-A/MART-1 Antibody (CL12863) - Azide and BSA Free Summary

Description
Novus Biologicals Mouse Melan-A/MART-1 Antibody (CL12863) - Azide and BSA Free (NBP3-18576) is a monoclonal antibody validated for use in IHC, WB and ICC/IF. All Novus Biologicals antibodies are covered by our 100% guarantee.
Immunogen
This antibody was generated using a recombinant protein sequence of Q16655, with the exact immunogen sequence remaining proprietary.
Isotype
IgG1
Clonality
Monoclonal
Host
Mouse
Gene
MLANA
Purity
Protein A purified
Innovator's Reward
Test in a species/application not listed above to receive a full credit towards a future purchase.

Applications/Dilutions

Dilutions
  • Immunocytochemistry/ Immunofluorescence 2-10 ug/ml
  • Immunohistochemistry-Paraffin 1:200 - 1:500
  • Western Blot 1 ug/ml
Application Notes
For use with IHC-Paraffin, HIER pH 6 retrieval is recommended. For use with Immunocytochemistry/ Immunofluorescence/IF, PFA/Triton X-100 is recommended for fixation/permeabilization.

Packaging, Storage & Formulations

Storage
Store at 4C short term. Aliquot and store at -20C long term. Avoid freeze-thaw cycles.
Buffer
Lyophilized from a 0.2 um filtered solution in PBS with Trehalose
Preservative
No Preservative
Concentration
LYOPH
Purity
Protein A purified
Reconstitution Instructions
Centrifuge the vial of lyophilized antibody at 12,000 x g for 20 seconds. Reconstitute by adding sterile, distilled water to achieve a final antibody concentration of 1mg/ml.

Alternate Names for Melan-A/MART-1 Antibody (CL12863) - Azide and BSA Free

  • Antigen LB39-AA
  • Antigen SK29-AA
  • Mart 1 Melan A
  • MART-1
  • MART1MART-1
  • MelanA
  • Melan-A
  • melanoma antigen recognized by T-cells 1
  • MLANA
  • Protein Melan-A

Background

MART-1 (Melanoma Antigen Recognized by T cells 1) or Melan-A1 is a newly identified melanocyte differentiation antigen recognized by autologous cytotoxic T lymphocytes. Seven other melanoma associated antigens recognized by autologous cytotoxic T cells include MAGE-1, MAGE-3, tyrosinase, gp100, gp75, BAGE-1, and GAGE-1. Subcellular fractionation shows that MART-1 is present in melanosomes and endoplasmic reticulum.

Limitations

This product is for research use only and is not approved for use in humans or in clinical diagnosis. Primary Antibodies are guaranteed for 1 year from date of receipt.

Customers Who Viewed This Item Also Viewed...

NBP2-67232
Species: Hu, Mu
Applications: ICC/IF, IHC,  IHC-P, WB
NBP2-44520
Species: Ca(-), Hu, Rt(-)
Applications: Flow-IC, Flow, ICC/IF, IF, IHC,  IHC-P, MI, WB
NBP1-49045
Species: Mu, Rt
Applications: Cell Depl, CyTOF-ready, Flow, ICC/IF, IHC, IHC-Fr,  IHC-P, IP, InhibTFunc
202-IL
Species: Hu
Applications: BA
485-MI
Species: Mu
Applications: BA
NBP1-72042
Species: Hu, Mu, Rt
Applications: ICC/IF, IHC,  IHC-P, PEP-ELISA, WB
NBP1-87102
Species: Hu, Mu, Rt
Applications: ICC/IF, IHC,  IHC-P, WB
NBP1-87103
Species: Hu, Mu
Applications: IHC,  IHC-P, WB
NB100-64775
Species: Hu
Applications: CyTOF-ready, ELISA, Flow, Func, IHC, IHC-Fr, IHC-P (-), IP
AF5769
Species: Hu
Applications: IHC, WB
7268-CT
Species: Hu
Applications: BA
NBP3-20167
Species: Hu
Applications: ELISA, Flow, ICC/IF, IHC, IP, WB
NB300-223
Species: Bv, Ca, Ch, Eq, Hu, Mu, Po, Rt
Applications: ICC/IF, IHC, IHC-Fr,  IHC-P, WB
NBP1-88370
Species: Hu, Mu
Applications: ICC/IF, IHC,  IHC-P, WB
NBP1-47714
Species: Hu
Applications: Flow, ICC/IF, IHC,  IHC-P, WB
NBP1-86893
Species: Hu
Applications: ICC/IF, IHC,  IHC-P, WB
NB100-524
Species: Hu, Mu
Applications: Flow-IC, Flow, ICC/IF, IHC, IHC-Fr,  IHC-P, IP, WB
NBP2-79843
Species: Hu
Applications: CyTOF-ready, ELISA, Flow, ICC/IF, IHC,  IHC-P, PA, WB
NBP1-19371
Species: Ca, Hu, Mu, Po, Rb, Rt
Applications: Dual ISH-IHC, Flow, ICC/IF, IHC, IHC-Fr,  IHC-P, Simple Western, WB
AF3844
Species: Hu, Mu
Applications: IHC

Publications for Melan-A/MART-1 Antibody (NBP3-44177) (0)

There are no publications for Melan-A/MART-1 Antibody (NBP3-44177).
By submitting your publication information earn gift cards and discounts for future purchases.

Reviews for Melan-A/MART-1 Antibody (NBP3-44177) (0)

There are no reviews for Melan-A/MART-1 Antibody (NBP3-44177). By submitting a review you will receive an Amazon e-Gift Card or Novus Product Discount.
  • Review with no image -- $10/€7/£6/$10 CAD/¥70 Yuan/¥1110 Yen
  • Review with an image -- $25/€18/£15/$25 CAD/¥150 Yuan/¥2500 Yen

Product General Protocols

Find general support by application which include: protocols, troubleshooting, illustrated assays, videos and webinars.

Video Protocols

WB Video Protocol
ICC/IF Video Protocol

FAQs for Melan-A/MART-1 Antibody (NBP3-44177) (0)

There are no specific FAQs related to this product. Read our general customer & technical service FAQs.

Secondary Antibodies

 

Isotype Controls

Additional Melan-A/MART-1 Products

Research Areas for Melan-A/MART-1 Antibody (NBP3-44177)

Find related products by research area.

Blogs on Melan-A/MART-1

There are no specific blogs for Melan-A/MART-1, but you can read our latest blog posts.

Customers Who Bought This Also Bought

Contact Information

Product PDFs

Calculators

Concentration Calculator

The concentration calculator allows you to quickly calculate the volume, mass or concentration of your vial. Simply enter your mass, volume, or concentration values for your reagent and the calculator will determine the rest.

=
÷

Review this Product

Be the first to review our Melan-A/MART-1 Antibody (CL12863) - Azide and BSA Free and receive a gift card or discount.

Bioinformatics

Gene Symbol MLANA