MAN2B1 Antibody - BSA Free

Images

 
Immunohistochemistry-Paraffin: MAN2B1 Antibody [NBP1-81326] - Staining of human small intestine shows strong granular cytoplasmic positivity in glandular cells.
Staining of human lung shows strong cytoplasmic positivity in macrophages.
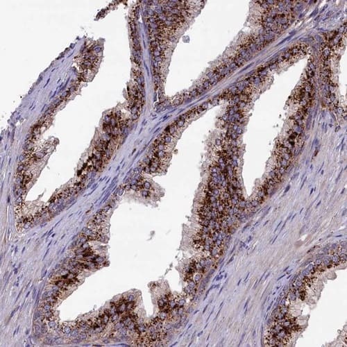
Staining of the human prostate shows strong cytoplasmic granular positivity in glandular cells.
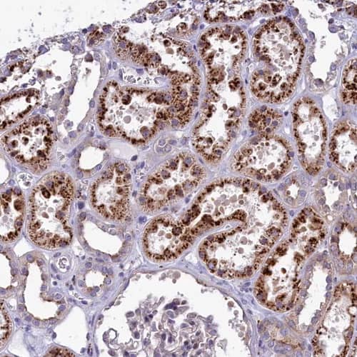
Staining of the human kidney shows strong cytoplasmic granular positivity in cells in tubules.

Product Details

Summary
Reactivity HuSpecies Glossary
Applications IHC
Clonality
Polyclonal
Host
Rabbit
Conjugate
Unconjugated
Format
BSA Free

Order Details

View Available Formulations
Catalog# & Formulation Size Price

MAN2B1 Antibody - BSA Free Summary

Description
Novus Biologicals Rabbit MAN2B1 Antibody - BSA Free (NBP1-81326) is a polyclonal antibody validated for use in IHC. All Novus Biologicals antibodies are covered by our 100% guarantee.
Immunogen
This antibody was developed against Recombinant Protein corresponding to amino acids: TGVLPNGYNPPRNLCWDVLCVDQPLVEDPRSPEYNAKELVDYFLNVATAQGRYYRTNHTVMTMGSDFQYENANMWFKNLDKLIRLVN
Isotype
IgG
Clonality
Polyclonal
Host
Rabbit
Gene
MAN2B1
Purity
Affinity purified
Innovator's Reward
Test in a species/application not listed above to receive a full credit towards a future purchase.

Applications/Dilutions

Dilutions
  • Immunohistochemistry 1:200 - 1:500
  • Immunohistochemistry-Paraffin 1:200 - 1:500
Application Notes
For IHC-Paraffin, HIER pH 6 retrieval is recommended.
Control Peptide
MAN2B1 Protein (NBP1-81326PEP)

Reactivity Notes

Immunogen displays the following percentage of sequence identity for non-tested species: Rat (80%)

Packaging, Storage & Formulations

Storage
Store at 4C short term. Aliquot and store at -20C long term. Avoid freeze-thaw cycles.
Buffer
PBS (pH 7.2) and 40% Glycerol
Preservative
0.02% Sodium Azide
Purity
Affinity purified

Alternate Names for MAN2B1 Antibody - BSA Free

  • alpha B, lysosomal
  • EC 3.2.1
  • EC 3.2.1.24
  • LAMAN
  • Lysosomal acid alpha-mannosidase
  • MAN2B1
  • MANB
  • Mannosidase alpha class 2B member 1
  • Mannosidase Alpha-B
  • mannosidase, alpha, class 2B, member 1

Background

MAN2B1 encodes an enzyme that hydrolyzes terminal, non-reducing alpha-D-mannose residues in alpha-D-mannosides. Its activity is necessary for the catabolism of N-linked carbohydrates released during glycoprotein turnover and it is member of family 38 of glycosyl hydrolases. The full length protein is processed in two steps. First, a 49 aa leader sequence is cleaved off and the remainder of the protein is processed into 3 peptides of 70 kDa, 42 kDa (D) and 13/15 kDa (E). Next, the 70 kDa peptide is further processed into three peptides (A, B and C). The A, B and C peptides are disulfide-linked. Defects in this gene have been associated with lysosomal alpha-mannosidosis. [provided by RefSeq]

Limitations

This product is for research use only and is not approved for use in humans or in clinical diagnosis. Primary Antibodies are guaranteed for 1 year from date of receipt.

Customers Who Viewed This Item Also Viewed...

NBP1-81838
Species: Hu, Mu
Applications: IHC,  IHC-P, WB
NBP3-04803
Species: Hu, Mu
Applications: IHC,  IHC-P, WB
AF3398
Species: Hu, Mu, Rt
Applications: ICC, KO, Simple Western, WB
NBP2-02541
Species: Hu, Pm, Mu, Pm, Rt
Applications: ICC/IF, IHC,  IHC-P, WB
NBP2-58917
Species: Hu
Applications: IHC,  IHC-P, WB
NBP1-86616
Species: Hu
Applications: IHC,  IHC-P, WB
NBP3-32565
Species: Hu, Mu, Rt
Applications: Flow, IHC,  IHC-P, WB
NBP1-87729
Species: Hu
Applications: ICC/IF, IHC,  IHC-P
NBP2-02043
Species: Hu, Rt
Applications: Flow, ICC/IF, IHC,  IHC-P, WB
NBP2-24716
Species: Hu, Mu, Pm
Applications: ICC/IF, IHC,  IHC-P, WB
NBP1-86072
Species: Hu, Mu, Rt
Applications: ICC/IF, IHC,  IHC-P, WB
NB100-74359
Species: Ch, Hu, Mu
Applications: ICC/IF, IHC, IHC-Fr,  IHC-P, IP, WB
NBP1-87511
Species: Hu
Applications: ICC/IF, IHC,  IHC-P, WB
NBP2-27188
Species: Ca, Hu, Po, Pm
Applications: Simple Western, WB
NBP2-24653
Species: Hu, Mu, Rt
Applications: IHC,  IHC-P, WB
DCMP0
Species: Hu
Applications: ELISA
NBP1-32259
Species: Hu, Mu, Rt
Applications: ICC/IF, IHC,  IHC-P, KO, WB
NBP2-45731
Species: Ca, Hu, Pm
Applications: IHC,  IHC-P, WB
NBP3-32565
Species: Hu, Mu, Rt
Applications: Flow, IHC,  IHC-P, WB
NBP1-36953
Species: Hu
Applications: PEP-ELISA, WB

Publications for MAN2B1 Antibody (NBP1-81326) (0)

There are no publications for MAN2B1 Antibody (NBP1-81326).
By submitting your publication information earn gift cards and discounts for future purchases.

Reviews for MAN2B1 Antibody (NBP1-81326) (0)

There are no reviews for MAN2B1 Antibody (NBP1-81326). By submitting a review you will receive an Amazon e-Gift Card or Novus Product Discount.
  • Review with no image -- $10/€7/£6/$10 CAD/¥70 Yuan/¥1110 Yen
  • Review with an image -- $25/€18/£15/$25 CAD/¥150 Yuan/¥2500 Yen

Product General Protocols

Find general support by application which include: protocols, troubleshooting, illustrated assays, videos and webinars.

FAQs for MAN2B1 Antibody (NBP1-81326) (0)

There are no specific FAQs related to this product. Read our general customer & technical service FAQs.

Secondary Antibodies

 

Isotype Controls

Additional MAN2B1 Products

Research Areas for MAN2B1 Antibody (NBP1-81326)

Find related products by research area.

Blogs on MAN2B1

There are no specific blogs for MAN2B1, but you can read our latest blog posts.

Customers Who Bought This Also Bought

Contact Information

Product PDFs

Calculators

Concentration Calculator

The concentration calculator allows you to quickly calculate the volume, mass or concentration of your vial. Simply enter your mass, volume, or concentration values for your reagent and the calculator will determine the rest.

=
÷

Review this Product

Be the first to review our MAN2B1 Antibody - BSA Free and receive a gift card or discount.

Bioinformatics

Gene Symbol MAN2B1